PRESENTACIÓN DE CASOS

 

Anquilosis de cadera por osificación heterotópica: reporte de un caso

 

Ricardo Londoño García,* Víctor A. Avendaño,* Miguel Á. Cano González,* Juan Pablo Arboleda,** José L. Moore Velásquez#

*Universidad Pontificia Bolivariana, Medellín, Colombia

**Universidad de Antioquia, Medellín, Colombia

#Departamento de Ortopedia y Traumatología, Hospital Pablo Tobón Uribe, Medellín, Colombia

 

RESUMEN

Se presenta el caso de un paciente de 59 años con una osificación heterotópica en la cadera derecha. Este trastorno se desarrolló como resultado de una hemiplejia derecha secundaria a un traumatismo craneoencefálico sufrido en un accidente de tránsito. Posteriormente, el paciente sufrió una fractura intracapsular en la cadera izquierda que requirió una cirugía de reemplazo articular. Debido a sus limitaciones, derivadas de su condición neurológica y el reposo posoperatorio, se desarrolló una osificación heterotópica grado IV de Brooker, con anquilosis en la cadera no operada. Esta osificación requirió una resección quirúrgica, se detectó una notoria vascularización y proximidad al paquete neurovascular inguinal. Luego de la cirugía, el paciente recibió radioterapia y antinflamatorios no esteroides. Se observó una notable mejoría en los arcos de movilidad y en la independencia durante el seguimiento de un año, sin evidencia de recurrencias.

Palabras clave: Osificación heterotópica; cadera; reemplazo articular de cadera; clasificación de Brooker.

Nivel de Evidencia: IV

 

Hip Ankylosis Caused by Heterotopic Ossification: A Case Report

 

ABSTRACT

We present the case of a 59-year-old patient with heterotopic ossification in the right hip. This condition developed as a result of right hemiplegia secondary to a traumatic brain injury sustained in a traffic accident. Subsequently, the patient suffered an intracapsular fracture of the left hip, which required joint replacement surgery. Due to the patient’s neurological limitations and postoperative immobility, Brooker grade IV heterotopic ossification with ankylosis developed in the non-operated hip. Surgical resection of the ossification was necessary, and it was found to be highly vascularized and in close proximity to the pelvic neurovascular bundle. Postoperatively, the patient was treated with radiation therapy and non-steroidal anti-inflammatory drugs. At the one-year follow-up, significant improvements in range of motion and independence were observed, with no signs of recurrence.

Keywords: Heterotopic ossification; hip; hip replacement; Brooker.

Level of Evidence: IV

 

INTRODUCCIÓN

  La osificación heterotópica (OH) se define como la neoformación de hueso ectópico lamelar que se localiza en tejidos no esqueléticos, músculos, tendones o tejidos. Si bien su etiología es desconocida, con frecuencia, se detecta en pacientes postrados en cama, con traumatismo craneoencefálico (TCE) y lesiones medulares, los sometidos a cirugías ortopédicas o que tienen hipoxia tisular, estados inflamatorios, quemaduras y predisposición genética.1 Fue descrita, por primera vez, en 1883, por Reidel, pero recién en 1918, Dejerne y Ceillier notaron una mayor prevalencia de OH entre soldados que sufrían algún traumatismo de la médula espinal, como combatientes de la Primera Guerra Mundial.2

  La prevalencia anual de la OH es del 1,3% durante 10 años y las articulaciones afectadas con más frecuencia son: la cadera (89,4%), la rodilla (15,7%), el codo (14,5%) y el hombro (8,5%). Por lo general, se ha descrito su correlación de lateralidad respecto al lado traumatizado o con secuelas neurológicas; en el 83% de los casos, la OH es homolateral; en el 14,9%, bilateral y, en el 2,12%, contralateral.3

  La ausencia de signos y síntomas específicos convierte a este cuadro en un reto diagnóstico para el médico clínico, sobre todo en sus etapas iniciales. En la etapa temprana, la OH puede manifestarse con dolor, fiebre, edema, eritema y leve disminución en los arcos de movilidad. En esta fase, podría simular una infección de tejidos blandos, celulitis, tromboflebitis u osteomielitis. Finalmente, podría evolucionar hasta una disminución severa en los arcos de movilidad y una anquilosis completa de la articulación.2

  Se presenta un caso clínico de OH severa de cadera espontánea, de origen atraumático secundaria al reposo y la hemiplejia por un TCE en un paciente de 59 años.

 

CASO CLÍNICO

  Hombre de 59 años, que había tenido un accidente de tránsito el 21 de enero de 2021 mientras conducía una motocicleta. Sufrió un TCE severo que requirió craneotomía y drenaje de un hematoma intraparenquimatoso en la región temporo-parietal izquierda. Las secuelas del accidente fueron: hemiplejia derecha y afasia mixta con predominio motor. En marzo de 2021, el paciente tuvo un episodio convulsivo que le ocasionó una caída y una fractura intracapsular de la cadera izquierda. En otro centro médico, fue sometido a una cirugía de reemplazo de cadera con una prótesis con copa de doble movilidad.

  Fue derivado para su evaluación por el equipo especializado en cadera. En los seguimientos radiográficos, se observó una formación de OH con puente óseo desde el cuello femoral hasta el alerón ilíaco a nivel de la cadera no intervenida. Esta afección se clasificó como una OH grado IV de Brooker, y se había desarrollado como resultado de la inmovilidad y la hemiplejia, y provocó anquilosis y una contractura que limitó la flexión a 45°, lo que, a su vez, dificultó la sedestación, la movilización independiente y la marcha.

  Se solicitó una tomografía computarizada de pelvis para planificar el manejo; además, el paciente fue evaluado por los equipos de Fisiatría y Anestesiología (Figura 1).

 

 

 

 

  El equipo de Fisiatría indicó comenzar la terapia física junto con la aplicación de un antiespástico local en los músculos isquiotibiales para mejorar parcialmente el patrón de la marcha. Aunque hubo una mejoría parcial, no se logró alcanzar una marcha efectiva e independiente. En consecuencia, se decidió llevar a cabo una cirugía para la resección de la OH, a cargo del grupo de cirugía de cadera y ortopedia oncológica.

  En la cirugía, se identificó una OH grado IV de Brooker con compromiso desde la ceja acetabular hasta el trocánter menor de la cadera derecha, con una marcada vascularización en la lesión. Se realizó un abordaje iliofemoral de la cadera derecha, se exploraron los vasos y el nervio femoral, y se rechazaron hacia la región medial. Luego, se procedió a la disección tanto proximal como distal para localizar ambos focos de osificación, seguida de una osteotomía central. Se resecaron el tercio medio y la región distal, y se realizó una osteotomía de la osificación a nivel del trocánter menor, disecando por planos. Se ubicó la cápsula de la cadera y se efectuó una osteotomía proximal de la osificación, la cual fue retirada en bloque. Se verificaron los arcos de movilidad, que tenían una mejora significativa, y se comprobó la estabilidad de la cadera (Figura 2). La cirugía continuó con aumentación con peróxido de hidrógeno, seguida de un lavado con 3000 cc de solución salina al 0,9%, hemostasia exhaustiva y la aplicación de cera ósea. Se dejaron dos Spongostan® proximales debido al sangrado importante, por lo que fue necesario mantener al paciente bajo observación en la Unidad de Cuidados Intensivos; se administró una transfusión de 5 unidades de glóbulos rojos, 3 unidades de plasma fresco y una aféresis de plaquetas, además de soporte vasopresor.

  Se solicitó una interconsulta con el equipo de radioterapia, que recomendó un tratamiento con radioterapia conformacional en 3D en la cadera. Se prescribió también celecoxib durante 30 días.

 

 

 

 

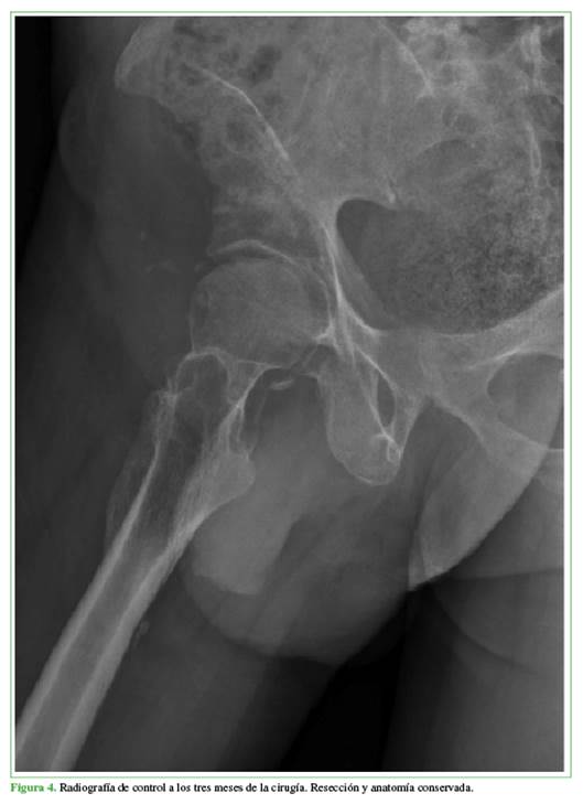
  En el seguimiento radiográfico inmediato y a los tres meses de la cirugía (Figuras 3 y 4), se confirmó la resección completa de la osificación. Clínicamente, al año de la cirugía, el paciente tenía una notable mejora en los arcos de movilidad, con extensión completa y flexión de 110°. Además, logró retomar la marcha con la ayuda de un caminador. Continúa con terapia física y fortalecimiento del cuádriceps bajo la supervisión de Fisiatría, sin dolor ni complicaciones adicionales hasta la fecha.

 

 

 

 

 

 

 

DISCUSIÓN

  La OH también conocida como paraosteoartropatía, miositis osificante y calcificación heterotópica es una condición común que se caracteriza por la formación ectópica de tejido óseo en tejidos blandos. Se la puede clasificar según su etiología y gravedad. En cuanto a la etiología, puede ser congénita o adquirida. Entre las condiciones congénitas, la fibrodisplasia osificante progresiva y la hiperplasia ósea progresiva están específicamente asociadas con la formación extensa de tejido óseo ectópico. No obstante, las causas de origen adquirido son más prevalentes: el 44% de los pacientes sometidos a artroscopia o reemplazo de cadera, el 10-20% de aquellos con lesiones del sistema nervioso central o medulares, y el 4% de los que sufren quemaduras que afectan más del 30% de la superficie corporal.4-6 DeBaun y cols. comunicaron tasas de hasta el 90% y el 40% de OH en pacientes sometidos a artroplastia total de cadera y reducción abierta con fijación interna de cadera, respectivamente.7 En cuanto a la gravedad, históricamente se ha empleado la clasificación de Brooker para referirse al nivel de compromiso de la osificación, el grado IV indica un mayor compromiso, incluso anquilosis ósea en la articulación (Tabla).8

 

 

 

 

 

  Los mecanismos fisiopatológicos subyacentes a la formación de OH aún no están completamente definidos. En la bibliografía, se sugiere una diversidad de posibles células precursoras que incluye células satélite musculares, células de músculo liso e incluso células endoteliales.9 Se ha identificado la presencia común de células multipotenciales en el tejido local como un factor desencadenante de este cuadro. Para que se produzca la OH, se requiere un agente inductor, un precursor osteogénico y un ambiente propicio para la osteogénesis.9 Bidner y cols. proponen que una desregulación en el sistema inmunológico que resulta en una respuesta inflamatoria descontrolada, conduce a la liberación de factores que promueven la OH.10 Investigaciones adicionales a cargo de Salisbury y cols. implican a la proteína morfogénica ósea tipo 2 como un agente proinflamatorio que estimula la liberación de sustancia P y el péptido relacionado con el gen de la calcitonina de los nervios sensoriales.11 Otros factores contribuyentes propuestos son las prostaglandinas, específicamente la prostaglandina E2, que actúa como mediador en la diferenciación de las células progenitoras, la hipoxia tisular y un desequilibrio entre la hormona paratiroidea y la calcitonina.2 Kurer y cols. llevaron a cabo un estudio utilizando muestras de sangre de cuatro pacientes parapléjicos con OH y cuatro pacientes parapléjicos sin OH. Las muestras se incubaron con osteoblastos humanos en cultivos de tejido y se midió cuantitativamente su actividad metabólica. Los resultados revelaron que los pacientes con formación ósea anormal tenían niveles significativamente más altos de factores que estimulan la actividad osteoblástica, lo que podría contribuir a la patogenia de la OH.12 En una revisión de Cholok y cols., se señala la existencia de múltiples linajes celulares potenciales que podrían contribuir, así como vías de señalización variables, y se destaca la actual falta de comprensión sobre la formación de la OH.13 En resumen, los mecanismos exactos que subyacen a la formación de la OH siguen siendo poco claros y requieren una mayor investigación.

  La tomografía computarizada optimiza la planificación preoperatoria al proporcionar una visualización tridimensional mejorada de la OH en relación con puntos anatómicos relevantes. En ciertos casos, puede ser necesario recurrir a una resonancia magnética para definir, con mayor precisión, el alcance del compromiso neurovascular o de los tejidos blandos locales. Estos estudios resultan más eficaces cuando la OH se localiza próxima a estructuras anatómicas dentro del potencial campo operatorio.14

  Se han descrito múltiples medidas farmacológicas y no farmacológicas para prevenir el desarrollo de OH. Entre ellas, se destaca el uso de antinflamatorios no esteroides (AINE), tanto selectivos como no selectivos, la radioterapia, la fisioterapia y combinaciones de estas intervenciones.

 

Antinflamatorios no esteroides selectivos y no selectivos

  Los AINE previenen la OH al inhibir la diferenciación osteogénica de las células progenitoras. La prostaglandina E2 contribuye, de manera importante, a la formación de OH, la curación de fracturas y la regeneración ósea.15,16 Hay numerosas recomendaciones sobre la dosificación. La indometacina es el AINE no selectivo más común para la profilaxis de OH en pacientes que serán sometidos a una artroplastia total de cadera, se administra una dosis de 75-100 mg/día, 24-48 h antes de la cirugía y se continúa por los siguientes 7-14 días.17 En uno de los metanálisis más grandes que incluyó ensayos clínicos aleatorizados y estudios observacionales, se detectó que ambos, tanto los AINE selectivos como los no selectivos, disminuyen el riesgo de OH después de una artroplastia total de cadera comparados con un placebo (cociente de posibilidades [odds ratio] -1,35; intervalo de confianza del 95% [IC95%] de -1,83 a -0,86 y cociente de posibilidades -1,58; IC95% de -2,41 a -0,75, respectivamente).18

  Si bien los AINE son eficaces como profilaxis contra la OH, también es importante considerar el impacto de estos medicamentos en la consolidación de la fractura. La profilaxis de la OH con indometacina aumenta el riesgo de seudoartrosis de huesos largos, y expone a un riesgo más alto de sangrado en pacientes que reciben anticoagulación concomitante por otro cuadro médico.19,20 Dados estos riesgos, los AINE deben administrarse con precaución después de lesiones ortopédicas debido al riesgo potencial de falta de consolidación o seudoartrosis, considerar el uso en conjunto con un inhibidor de la bomba de protones para disminuir el riesgo de lesión gastroduodenal y un subsiguiente sangrado gastrointestinal por el uso de AINE. Aún no se han determinado el momento óptimo, la dosis y la duración del tratamiento.

 

Radioterapia

  La radioterapia logra buenos resultados en la cadera; sin embargo, no se ha estudiado adecuadamente la utilidad de la radiación como profilaxis en articulaciones distintas de la cadera. La radiación se puede administrar a una dosis de 700-800 cGy en una sola fracción desde 24 h antes de la operación hasta 48 y 72 h después.21 Se observó que tanto la radiación preoperatoria como la radiación posoperatoria eran igualmente efectivas en la cadera y no se establecieron diferencias específicas en las complicaciones.22 Aunque, hasta la fecha, no se han informado casos de malignidad después de la radiación profiláctica, esta es una complicación teórica para considerar. Los efectos secundarios adicionales incluyen contractura progresiva de los tejidos blandos, retraso de la cicatrización de las heridas, seudoartrosis e inhibición del crecimiento interno de los implantes de cadera encajados a presión.23

 

Fisioterapia

  Existen opiniones diferentes sobre el valor de la fisioterapia en el tratamiento de la OH, ya que no hay evidencia clara sobre el efecto final del movimiento articular sobre la progresión de este cuadro. Mientras que algunos creen que demasiado movimiento inmediatamente después de la lesión exacerba la OH, otros creen que la OH progresa debido a la falta de movimiento. Aunque no existe un consenso, la fisioterapia puede ser útil cuando empeora el rango de movilidad que limita la funcionalidad diaria.24

  En un metanálisis que comparó radioterapia con AINE para la prevención de OH después de cirugías mayores de cadera, Pakos y cols. observaron que la radioterapia tendió a ser más eficaz que los AINE en la prevención de la OH grado III o IV de Brooker (riesgo relativo 0,42; IC95% 0,18-0,97) o cualquier grado de OH (riesgo relativo 0,75; IC95% 0,37-1,71), pero con una heterogeneidad significativa entre los estudios para el segundo análisis. La diferencia de riesgo absoluto general para el grado III o IV de Brooker fue pequeña (-1,18%; IC95% de -2,45% a 0,09%).25

 

CONCLUSIONES

  La OH se presenta como un problema importante en pacientes con los factores de riesgo mencionados. A pesar de las múltiples teorías en torno a su fisiopatología, su impacto puede ser grave en las etapas avanzadas, y llegar a la anquilosis ósea limitando gravemente la movilidad articular, tal como ocurrió en el paciente presentado con un estadio grave de origen atraumático secundario al reposo y la hemiplejia por un TCE. Por lo tanto, es esencial un manejo médico integral que incluya fisioterapia, AINE y radioterapia para reducir el riesgo, la progresión y la recurrencia de la OH. Además, el tratamiento quirúrgico debe ser considerado como una opción crucial, ya que se convierte en el pilar fundamental para mejorar la calidad de vida y la movilidad.

 

BIBLIOGRAFÍA

 

1.     Zurriaga J, Argüelles F, Mifsut D, Silvestre A. Osificación heterotópica de cadera: revisión bibliográfica y presentación de un caso. Rev Esp Cir Osteoarticular [Internet] 2019;54(227). Disponible en: https://rodrigo.uv.es/bitstream/handle/10550/71856/7058135.pdf?sequence=1&isAllowed=y

2.     Shehab D, Elgazzar AH, Collier BD. Heterotopic ossification. J Nucl Med 2002;43(3):346-53. PMID: 11884494

3.     Cunha DA, Camargos S, Passos VMA, Mello CM, Vaz LS, Lima LRS. Heterotopic ossification after stroke: Clinical profile and severity of ossification. J Stroke Cerebrovasc Dis 2019;28(2):513-20. https://doi.org/10.1016/j.jstrokecerebrovasdis.2018.10.032

4.     Bedi A, Zbeda RM, Bueno VF, Downie B, Dolan M, Kelly BT. The incidence of heterotopic ossification after hip arthroscopy. Am J Sports Med 2012;40(4):854-63. https://doi.org/10.1177/0363546511434285

5.     Cipriano CA, Pill SG, Keenan MA. Heterotopic ossification following traumatic brain injury and spinal cord injury. J Am Acad Orthop Surg 2009;17(11):689-97. https://doi.org/10.5435/00124635-200911000-00003

6.     Medina A, Shankowsky H, Savaryn B, Shukalak B, Tredget EE. Characterization of heterotopic ossification in burn patients. J Burn Care Res 2014;35(3):251-6. https://doi.org/10.1097/BCR.0b013e3182957768

7.     DeBaun MR, Ziino C, LaPrade C, Pun S, Avedian RS, Bellino MJ. An anatomic classification for heterotopic ossification about the hip. J Orthop 2020;28;21:228-31. https://doi.org/10.1016/j.jor.2020.03.038

8.     Hug KT, Alton TB, Gee AO. Classifications in brief: Brooker classification of heterotopic ossification after total hip arthroplasty. Clin Orthop Relat Res 2015;473(6):2154-7. https://doi.org/10.1007/s11999-014-4076-x

9.     Wosczyna MN, Biswas AA, Cogswell CA, Goldhamer DJ. Multipotent progenitors resident in the skeletal muscle interstitium exhibit robust BMP dependent osteogenic activity and mediate heterotopic ossification. J Bone Miner Res 2012;27(5):1004-17. https://doi.org/10.1002/jbmr.1562

10.  Bidner SM, Rubins IM, Desjardins JV, Zukor DJ, Goltzman D. Evidence for a humoral mechanism for enhanced osteogenesis after head injury. J Bone Joint Surg Am 1990;72(8):1144-9. PMID: 2398084

11.  Salisbury E, Rodenberg E, Sonnet C, Hipp J, Gannon FH, Vadakkan TJ, et al. Sensory nerve induced inflammation contributes to heterotopic ossification. J Cell Biochem 2011;112(10):2748-58. https://doi.org/10.1002/jcb.23225

12.  Kurer MH, Khoker MA, Dandona P. Human osteoblast stimulation by sera from paraplegic patients with heterotopic ossification. Paraplegia 1992;30(3):165-8. https://doi.org/10.1038/sc.1992.48

13.  Cholok D, Chung MT, Ranganathan K, Ucer S, Day D, Davis TA, et al. Heterotopic ossification and the elucidation of pathologic differentiation. Bone 2018;109:12-21. https://doi.org/10.1016/j.bone.2017.09.019

14.  Ranganathan K, Loder S, Agarwal S, Wong VW, Forsberg J, Davis TA, et al. Heterotopic ossification: Basic-science principles and clinical correlates. J Bone Joint Surg Am 2015;1;97(13):1101-11. https://doi.org/10.2106/JBJS.N.01056

15.  Barbato M, D’Angelo E, Di Loreto G, Menna A, Di Francesco A, Salini V, et al. Adherence to routine use of pharmacological prophylaxis of heterotopic ossification after total hip arthroplasty: results from an Italian multicenter, prospective, observational survey. J Orthop Traumatol 2012;13(2):63-7. https://doi.org/10.1007/s10195-012-0180-4

16.  Blackwell KA, Raisz LG, Pilbeam CC. Prostaglandins in bone: bad cop, good cop? Trends Endocrinol Metab 2010; 21(5):294-301. https://doi.org/10.1016/j.tem.2009.12.004

17.  Joice M, Vasileiadis GI, Amanatullah DF. Non-steroidal anti-inflammatory drugs for heterotopic ossification prophylaxis after total hip arthroplasty: a systematic review and meta-analysis. Bone Joint J 2018;100-B(7):915-22. https://doi.org/10.1302/0301-620X.100B7.BJJ-2017-1467.R1

18.  Grohs JG, Schmidt M, Wanivenhaus A. Selective COX-2 inhibitor versus indomethacin for the prevention of heterotopic ossification after hip replacement: a double-blind randomized trial of 100 patients with 1-year follow-up. Acta Orthop 2007;78(1):95-8. https://doi.org10.1080/17453670610013484

19.  Haran M, Bhuta T, Lee B. Pharmacological interventions for treating acute heterotopic ossification. Cochrane Database Syst Rev 2004;(4):CD003321. https://doi.org/10.1002/14651858.CD003321.pub3

20.  Fransen M, Anderson C, Douglas J, MacMahon S, Neal B, Norton R, et al. Safety and efficacy of routine postoperative ibuprofen for pain and disability related to ectopic bone formation after hip replacement surgery (HIPAID): randomised controlled trial. BMJ 2006;9;333(7567):519. https://doi.org/10.1136/bmj.38925.471146.4F

21.  Popovic M, Agarwal A, Zhang L, Yip C, Kreder HJ, Nousiainen MT, et al. Radiotherapy for the prophylaxis of heterotopic ossification: a systematic review and meta-analysis of published data. Radiother Oncol 2014;113(1):10-7. https://doi.org/10.1016/j.radonc.2014.08.025

22.  Seegenschmiedt MH, Martus P, Goldmann AR, Wölfel R, Keilholz L, Sauer R. Preoperative versus postoperative radiotherapy for prevention of heterotopic ossification (HO): first results of a randomized trial in high-risk patients. Int J Radiat Oncol Biol Phys 1994;30;30(1):63-73. https://doi.org/10.1016/0360-3016(94)90520-7

23.  Ploumis A, Belbasis L, Ntzani E, Tsekeris P, Xenakis T. Radiotherapy for prevention of heterotopic ossification of the elbow: a systematic review of the literature. J Shoulder Elbow Surg 2013;22(11):1580-8. https://doi.org/10.1016/j.jse.2013.07.045

24.  Coons D, Godleski M. Range of motion exercises in the setting of burn-associated heterotopic ossification at the elbow: case series and discussion. Burns 2013;39(4):e34-8. https://doi.org/10.1016/j.burns.2012.10.014

25.  Pakos EE, Ioannidis JP. Radiotherapy vs. nonsteroidal anti-inflammatory drugs for the prevention of heterotopic ossification after major hip procedures: a meta-analysis of randomized trials. Int J Radiat Oncol Biol Phys 2004;60(3):888-95. https://doi.org/10.1016/j.ijrobp.2003.11.015

 

 

ORCID de R. Londoño García: https://orcid.org/0000-0002-6568-9166              

ORCID de J. P. Arboleda: https://orcid.org/0009-0006-9597-3375

ORCID de V. A. Avendaño: https://orcid.org/0000-0002-2976-3269

ORCID de J. L. Moore Velásquez: https://orcid.org/0000-0002-9947-1384

 

Recibido el 18-1-2024. Aceptado luego de la evaluación el 14-7-2024 Dr. Miguel Á. Cano González mac.canogonzalez@gmail.com https://orcid.org/0009-0002-9832-2085

 

Cómo citar este artículo: Londoño García R, Avendaño VA, Cano González MÁ, Arboleda JP, Moore Velásquez JL. Anquilosis de cadera por osificación heterotópica: reporte de un caso. Rev Asoc Argent Ortop Traumatol 2024;89(5):519-527. https://doi.org/10.15417/issn.1852-7434.2024.89.5.1909

 

 

Información del artículo

Identificación: https://doi.org/10.15417/issn.1852-7434.2024.89.5.1909

Fecha de publicación: Octubre, 2024

Conflicto de intereses: Los autores no declaran conflictos de intereses.

Copyright: © 2024, Revista de la Asociación Argentina de Ortopedia y Traumatología.

Licencia: Este artículo está bajo una Licencia Creative Commons Atribución-No Comercial-Compartir Obras Derivadas Igual 4.0 Internacional. (CC-BY-NC-SA 4.0)