NOTA TÉCNICA

 

Hernia extraforaminal en el espacio L5-S1 tratada por abordaje transfacetario endoscópico. Presentación de un caso y nota técnica

 

Máximo de Zavalía, Enrique Gobbi, Santiago Yeregui

Unidad de Columna, Servicio de Ortopedia y Traumatología, Hospital Universitario CEMIC, Grupo Médico Vertebral, Ciudad Autónoma de Buenos Aires, Argentina

 

RESUMEN

Las hernias de disco extraforaminales en el espacio L5-S1 suelen ser difíciles de tratar por su complicado acceso y el riesgo de lesión nerviosa. Se presenta el caso de un paciente con discopatía en L5-S1 izquierda que fue tratado mediante discectomía endoscópica por abordaje símil Wiltse transfacetario. Este tipo de abordaje permite el acceso seguro a las hernias extraforaminales en el espacio L5-S1 evitando la manipulación e irritación de la raíz de L5.

Palabras clave: Endoscopia; abordaje mínimamente invasivo; columna vertebral; lumbar; discopatía.

Nivel de Evidencia: IV

 

Extraforaminal L5-S1 Disc Herniation Treated by Endoscopic Transfacet Approach. Case Report and Technical Note

 

ABSTRACT

Extraforaminal L5-S1 disc herniations are usually difficult to treat due to their complicated access and risk of nerve injury. We present the case of a patient with left L5-S1 disc disease who was treated by endoscopic discectomy using a transfacet Wiltse-like approach. This method provides safe access to L5-S1 extraforaminal herniations while avoiding manipulation and irritation of the L5 root.

Keywords: Endoscopy; minimally invasive; spine; lumbar; disc disease.

Level of Evidence: IV

 

INTRODUCCIÓN

Las hernias de disco laterales representan entre el 1% y el 12% de todas las hernias lumbares1 y pueden clasificarse en intraforaminales o extraforaminales, según su ubicación con respecto al foramen.2 Estas últimas fueron descritas, por primera vez, por Abdullah y cols., en 1974 y son más frecuentes en pacientes añosos, y L4-L5 es, a menudo, el nivel más afectado.3,4

El tratamiento quirúrgico de estas lesiones discales suele ser más dificultoso que el de las hernias centrales, en especial en el espacio L5-S1, donde el acceso resulta más complejo debido, principalmente, a la altura de las crestas ilíacas y al volumen de las apófisis transversas de L5.5 Actualmente, entre las opciones quirúrgicas para este tipo de lesiones, contamos con la discectomía clásica mediante el abordaje de Wiltse posterolateral;6-10 técnicas mínimamente invasivas, como microdiscectomía tubular por vía homolateral o contralateral,5,11 o las crecientes técnicas de discectomía endoscópica, por ejemplo, el abordaje interlaminar contralateral y el acceso al foramen.12

La cirugía endoscópica tiene beneficios sobre el resto de las técnicas: menos sangrado, preservación de la musculatura paravertebral y hospitalización más corta.12 Existen, a su vez, distintos abordajes para poder acceder a la hernia discal en el espacio L5-S1: extraforaminal contralateral, transilíaco y posterolateral, el cual puede realizarse con fresado de la faceta o sin este procedimiento. Las principales complicaciones de estas técnicas son el dolor posoperatorio, la paresia transitoria o la lesión nerviosa causada por la manipulación de la raíz de L5.

Se presenta el caso de un paciente con una hernia extraforaminal en el espacio L5-S1 tratado mediante técnica endoscópica por abordaje posterolateral con fresado facetario. En nuestro país, la experiencia con esta técnica y el conocimiento sobre ella son escasos; por lo tanto, se llevó a cabo la revisión bibliográfica correspondiente.

 

CASO CLÍNICO

Hombre de 45 años de edad que concurre a la consulta por una radiculopatía de L5 izquierda, de siete meses de evolución (escala analógica visual 8/10). En el examen físico, la movilidad y la fuerza están conservadas y no hay déficit motor. En la resonancia magnética, se visualiza una hernia extraforaminal en el espacio L5-S1 del lado izquierdo (Figura 1). El paciente refiere haberse sometido a 20 sesiones de terapia física, dos bloqueos radiculares selectivos de L5-S1 y haber recibido tratamiento con pregabalina 75 mg por tres meses, con mejoría de los síntomas, pero de corta duración. Ante la falta de respuesta al tratamiento conservador, se le propone una discectomía endoscópica.

 

 

 

 

Técnica quirúrgica

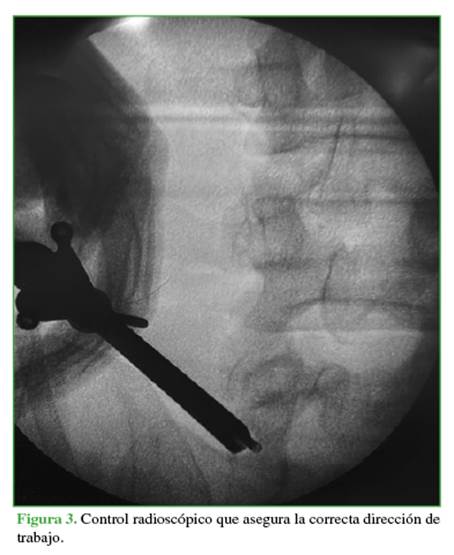
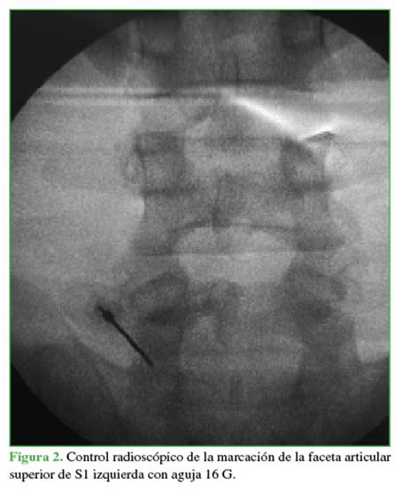
Bajo anestesia general, se ubica al paciente en decúbito ventral, y se procede al embrocado con clorhexidina y a la colocación de campos quirúrgicos para el abordaje posterior lumbar. Mediante radioscopia directa en posición de frente, se marca con una aguja 16 G en la punta de la faceta articular superior de S1 izquierda (Figura 2). Se realiza la incisión cutánea de 8 mm y la apertura de la fascia lumbar. A continuación, se desciende la cánula de trabajo junto con un endoscopio transforaminal Elliquence®, con óptica de 30º. Se procede al fresado lateral de la faceta de S1 con una fresa con adaptador para cirugía endoscópica. A medida que se genera el espacio en dirección ventral, se desciende la cánula de trabajo. Una vez localizada la cortical anterior de la faceta, se la reseca con una pinza Kerrison Rongeur de 3 mm. Luego, se efectúa un control radioscópico para asegurarse de la correcta dirección de trabajo (Figura 3).

 

 

 

 

Mediante la introducción de un gancho separador, se palpa el fragmento discal extruido en el espacio extrafo-raminal (Figura 4). Se procede a la exéresis del fragmento extruido con la pinza fórceps de disco (Figura 5) y se verifica la correcta liberación de la raíz de L5 (Figura 6 y Video).

 

 

 

 

 

 

 

Evolución clínica

El paciente se recuperó de la anestesia sin complicaciones en el posoperatorio inmediato. En cuanto al dolor, refirió ausencia de radiculopatía inmediatamente después de la cirugía y fue dado de alta a las 12 h de la intervención. El puntaje de la escala analógica visual radicular era de 1/10 al mes y de 1/10 a los tres meses. No hubo recurrencia de los síntomas ni de la lumbalgia a los cinco meses de la cirugía.

 

DISCUSIÓN

Las hernias de disco foraminales y extraforaminales tienen manifestaciones clínicas específicas que incluyen, en particular, un severo dolor radicular.1 Se ha señalado al ganglio de la raíz dorsal como uno de los responsables de los síntomas antes mencionados.13,14 El tratamiento de estas hernias de disco tiene como objetivo lograr la descompresión nerviosa con el menor traumatismo posible. Este objetivo resulta complejo cuando se trata de hernias foraminales o extraforaminales y la dificultad aumenta aún más cuando el nivel afectado es L5-S1, debido a las particularidades anatómicas del segmento, como la cresta ilíaca alta y la estrechez foraminal frecuente a ese nivel.15 La discectomía endoscópica por abordaje interlaminar, a menudo, es una solución que permite superar esas barreras anatómicas mencionadas.16 Sin embargo, este abordaje suele ser más apropiado para tratar hernias ubicadas en la axila o hernias migradas. Por otro lado, el abordaje transforaminal puede ser una opción para tratar las hernias foraminales o extraforaminales; sin embargo, no es de fácil acceso en pacientes con crestas ilíacas altas o mega-apófisis transversas (Castellvi 2, 3 y 4).17 El abordaje transfacetario abierto convencional se ha utilizado ampliamente en la cirugía de columna, porque es adecuado para la descompresión del disco que comprime el saco dural ventral y el ligamento amarillo hipertrofiado.18 En nuestro caso, usamos este abordaje por vía endoscópica, que nos permitió acceder a la hernia de manera más sencilla.

La clave del éxito de esta técnica es establecer un paso de trabajo preciso y adecuado sin destruir la estabilidad mecánica del segmento. El uso de la fresa nos permite tener más espacio de trabajo en una zona sin el riesgo de lesionar estructuras nerviosas o vasculares. No obstante, hay que ser cuidadoso con la resección ósea para disminuir la probabilidad de inestabilidad del segmento, la cual se evita controlando cuidadosamente bajo radioscopia la dirección de trabajo e intentando la menor resección posible. En nuestro caso, resecamos aproximadamente el 15% de la faceta, esto nos permitió generar un buen espacio de trabajo sin inestabilizar el segmento.

Ante un paciente con hernia de disco extraforaminal en el espacio L5-S1, optamos por una discectomía endoscópica por abordaje posterolateral transfacetario con el empleo de la fresa, y el resultado posoperatorio fue satisfactorio.

 

CONCLUSIONES

El abordaje endoscópico permite el acceso seguro a las hernias extraforaminales en el espacio L5-S1, evitando la manipulación e irritación de la raíz de L5. Por lo tanto, consideramos esta técnica como una opción segura por tener en cuenta a la hora de abordar este tipo de hernias.

 

BIBLIOGRAFÍA

 

1.     Jang JS, An SH, Lee SH. Transforaminal percutaneous endoscopic discectomy in the treatment of foraminal and extraforaminal lumbar disc herniations. J Spinal Disord Tech 2006;19(5):338-43. https://doi.org/10.1097/01.bsd.0000204500.14719.2e

2.     Postacchini F, Cinotti G, Gumina S. Microsurgical excision of lateral lumbar disc herniation through an interlaminar approach. J Bone Joint Surg Br 1998;80(2):201-7. https://doi.org/10.1302/0301-620x.80b2.8163

3.     Abdullah AF, Ditto EW 3rd, Byrd EB, Williams R. Extreme-lateral lumbar disc herniations. Clinical syndrome and special problems of diagnosis. J Neurosurg 1974;41(2):229-34. https://doi.org/10.3171/jns.1974.41.2.0229

4.     Siebner HR, Faulhauer K. Frequency and specific surgical management of far lateral lumbar disc herniations. Acta Neurochir (Wien) 1990;105(3-4):124-31. https://doi.org/10.1007/BF01669995

5.     Yeom JS, Kim KH, Hong SW, Park KW, Chang BS, Lee CK, et al. A minimally invasive technique for L5-S1 intraforaminal disc herniations: microdiscectomy with a tubular retractor via a contralateral approach. J Neurosurg Spine 2008;8(2):193-8. https://doi.org/10.3171/SPI/2008/8/2/193

6.     Garrido E, Connaughton PN. Unilateral facetectomy approach for lateral lumbar disc herniation. J Neurosurg 1991;74(5):754-6. https://doi.org/10.3171/jns.1991.74.5.0754

7.     Jane JA, Haworth CS, Broaddus WC, Lee JH, Malik J. A neurosurgical approach to far-lateral disc herniation. Technical note. J Neurosurg 1990;72(1):143-4. https://doi.org/10.3171/jns.1990.72.1.0143

8.     Kunogi J, Hasue M. Diagnosis and operative treatment of intraforaminal and extraforaminal nerve root compression. Spine (Phila Pa 1976) 1991;16(11):1312-20. https://doi.org/10.1097/00007632-199111000-00012

9.     Müller A, Reulen HJ. A paramedian tangential approach to lumbosacral extraforaminal disc herniations. Neurosurgery 1998;43(4):854-61; discussion 861-2. https://doi.org/10.1097/00006123-199810000-00077

10.  O’Brien MF, Peterson D, Crockard HA. A posterolateral microsurgical approach to extreme-lateral lumbar disc herniation. J Neurosurg 1995;83(4):636-40. https://doi.org/10.3171/jns.1995.83.4.0636

11.  Kapetanakis S, Gkasdaris G, Angoules AG, Givissis P. Transforaminal percutaneous endoscopic discectomy using transforaminal endoscopic spine system technique: Pitfalls that a beginner should avoid. World J Orthop 2017;8(12):874-80. https://doi.org/10.5312/wjo.v8.i12.874

12.  Yeung AT, Tsou PM. Posterolateral endoscopic excision for lumbar disc herniation: Surgical technique, outcome, and complications in 307 consecutive cases. Spine (Phila Pa 1976) 2002;27(7):722-31. https://doi.org/10.1097/00007632-200204010-00009

13.  Kikuchi S, Sato K, Konno S, Hasue M. Anatomic and radiographic study of dorsal root ganglia. Spine (Phila Pa 1976) 1994;19(1):6-11. https://doi.org/10.1097/00007632-199401000-00002

14.  Vanderlinden RG. Subarticular entrapment of the dorsal root ganglion as a cause of sciatic pain. Spine (Phila Pa 1976) 1984;9(1):19-22. https://doi.org/10.1097/00007632-198401000-00006

15.  Dasenbrock HH, Juraschek SP, Schultz LR, Witham TF, Sciubba DM, Wolinsky JP, et al. The efficacy of minimally invasive discectomy compared with open discectomy: a meta-analysis of prospective randomized controlled trials. J Neurosurg Spine 2012;16(5):452-62. https://doi.org/10.3171/2012.1.SPINE11404

16.  Wang B, Lü G, Patel AA, Ren P, Cheng I. An evaluation of the learning curve for a complex surgical technique: the full endoscopic interlaminar approach for lumbar disc herniations. Spine J 2011;11(2):122-30. https://doi.org/10.1016/j.spinee.2010.12.006

17.  Nie H, Zeng J, Song Y, Chen G, Wang X, Li Z, et al. Percutaneous endoscopic lumbar discectomy for L5-S1 disc herniation via an interlaminar approach versus a transforaminal approach: A prospective randomized controlled study with 2-year follow up. Spine (Phila Pa 1976) 2016;41 Suppl 19:B30-B37. https://doi.org/10.1097/BRS.0000000000001810

18.  Yang X, Liu X, Zheng Y. Surgical treatment of thoracic disc herniations using a modified transfacet approach. Indian J Orthop 2014;48(2):158-62. https://doi.org/10.4103/0019-5413.128756

 

 

ORCID de E. Gobbi: https://orcid.org/0000-0001-7310-6170

ORCID de S. Yeregui: https://orcid.org/0009-0005-8992-0368

 

Recibido el 27-11-2023. Aceptado luego de la evaluación el 16-12-2023 Dr. Máximo de Zavalía maximodezavalia@gmail.com https://orcid.org/0000-0002-4022-4100

 

Cómo citar este artículo: de Zavalía M, Gobbi E, Yeregui S. Hernia extraforaminal en el espacio L5-S1 tratada por abordaje transfacetario endoscópico. Presentación de un caso y nota técnica. Rev Asoc Argent Ortop Traumatol 2024;89(1):70-75. https://doi.org/10.15417/issn.1852-7434.2024.89.1.1856

 

 

Información del artículo

Identificación: https://doi.org/10.15417/issn.1852-7434.2024.89.1.1856

Fecha de publicación: Febrero, 2024

Conflicto de intereses: Los autores no declaran conflictos de intereses.

Copyright: © 2024, Revista de la Asociación Argentina de Ortopedia y Traumatología.

Licencia: Este artículo está bajo una Licencia Creative Commons Atribución-No Comercial-Compartir Obras Derivadas Igual 4.0 Internacional. (CC-BY-NC-SA 4.0)