PRESENTACIÓN DE CASOS

 

Sarcoma sinovial de rodilla: reporte de un caso

 

Francisco Tálamo, José M. Varaona, Fernando Jorge, Alberto Muzzio

Servicio de Ortopedia y Traumatología, Hospital Alemán de Buenos Aires, Ciudad Autónoma de Buenos Aires, Argentina

 

RESUMEN

Presentamos el caso de una paciente de 22 años con dolor crónico medial en la rodilla izquierda que inicialmente fue interpretado como un síndrome meniscal y, luego de diversos estudios, se diagnosticó como un sarcoma sinovial intrarticular. La resonancia magnética realizada en el momento de la consulta mostraba una masa homogénea bien circunscrita y de características inespecíficas dentro del compartimento interno de la rodilla. En el examen histológico posterior, se informó que dicha lesión se correspondía a un sarcoma sinovial que surgía de la membrana sinovial de esa articulación. Tras presentar el caso en un ateneo multidisciplinario, se procedió a la resección amplia de la lesión como único tratamiento y a la posterior reconstrucción ligamentaria y capsular. El sarcoma sinovial es un tumor mesenquimatoso raro que representa <10% de los sarcomas de partes blandas. Las características inespecíficas de la resonancia magnética, así como sus manifestaciones clínicas plantean un desafío en el diagnóstico precoz. Este cuadro debe considerarse dentro de los diagnósticos diferenciales ante dolores articulares inespecíficos y cuando las imágenes no son características de otras enfermedades.

Palabras clave: Sarcoma sinovial; dolor de rodilla; tumor intrarticular; tumor de partes blandas; tumor mesenquimatoso.

Nivel de Evidencia: IV

 

Synovial Sarcoma of the Knee: Case Report

 

ABSTRACT

We present the case of a 22-year-old patient with chronic medial pain in the left knee, initially interpreted as a meniscal syndrome, who was later diagnosed with intra-articular synovial sarcoma (SS) after undergoing various diagnostic studies. Magnetic resonance imaging (MRI) at the time of consultation revealed a well-circumscribed, homogeneous mass with nonspecific characteristics in the medial compartment of the knee. Subsequent histological examination confirmed that the lesion was a synovial sarcoma originating from the synovial membrane. After review by a multidisciplinary team, wide resection of the lesion was performed, followed by ligament and capsular reconstruction. Synovial sarcoma is a rare mesenchymal tumor, accounting for less than 10% of soft tissue sarcomas. Its nonspecific MRI characteristics, along with ambiguous symptoms, make early diagnosis challenging. This condition should be considered in the differential diagnosis of nonspecific joint pain, especially when imaging findings do not align with more common pathologies.

Keywords: Synovial sarcoma; knee pain; intra-articular tumor; soft tissue sarcoma; mesenchymal tumor.

Level of Evidence: IV

 

INTRODUCCIÓN

  El sarcoma sinovial (SS) es un tumor maligno de células fusiformes mesenquimatosas con diferenciación epitelial variable e histogénesis incierta (monofásico o bifásico) y representa <10% de los sarcomas de partes blandas. El SS intrarticular es, por otro lado, extremadamente infrecuente.1,2

  El SS típicamente afecta a pacientes de entre 15 y 35 años de edad, con un ligero predominio en los hombres, y aunque se ha descrito en casi todas las localizaciones anatómicas, alrededor del 90% de los SS surge en el tejido periarticular y la vaina del tendón de las extremidades, y la rodilla es el sitio afectado más frecuente.2 Debido a su crecimiento lento y a las características clínicas y radiológicas inespecíficas, el diagnóstico y el tratamiento del SS intrarticular pueden retrasarse.3-5 Mientras que las lesiones más grandes tienden a visualizarse en la resonancia magnética (RM), de una forma más heterogénea, los SS más pequeños (<5 cm) pueden tener márgenes bien delimitados y una intensidad de señal homogénea simulando lesiones benignas, como, por ejemplo, la sinovitis nodular localizada intrarticular.5 Por lo tanto, es importante considerar al SS dentro de los diagnósticos diferenciales en el contexto de este tipo de presentaciones.

 

CASO CLÍNICO

  Mujer de 22 años que fue atendida, por primera vez, en nuestro Centro, en agosto de 2020. La paciente buscaba una segunda opinión sobre un dolor crónico del lado medial de la rodilla izquierda, que se incrementaba tras la actividad física. Había sido evaluada por un cirujano ortopédico aproximadamente 12 meses antes. En ese momento, le solicitaron varios estudios, entre ellos, una RM informada como normal.

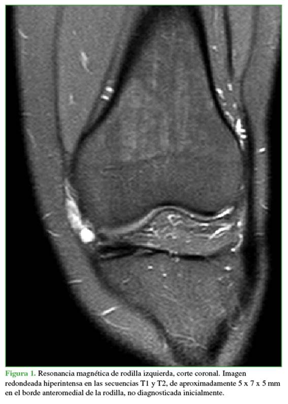
  La revisión de esa RM reveló una imagen redondeada hiperintensa en las secuencias T1 y T2 de aproximadamente 5 x 7 x 5 mm en el borde anteromedial de la rodilla (Figura 1).

 

 

 

 

  La paciente nos informó que continuaba con dolor, ya de 18 meses de evolución y que no había sufrido traumatismos. Describió el dolor como sordo y localizado en la interlínea interna, levemente anterior.

  En el examen físico, se detectó una franca laxitud ligamentaria y un leve derrame articular (sin evidencia de eritema o flogosis); la fuerza estaba conservada y la evaluación neurovascular resultó normal.

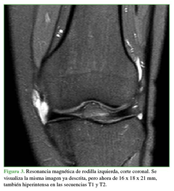
  En ese momento, se solicitó el par radiográfico correspondiente, una ecografía Doppler y una RM. La radiografía no mostró particularidades. En la ecografía, la lesión fue informada como un “proceso nodular mixto sólido quístico con calcificación proximal, de aproximadamente 22 x 5 mm, impresionando estar en la relación con la articulación femororotuliana, sugestivo de origen sinovial” (Figura 2). En la RM, se visualizó la misma imagen ya descrita, pero ahora de 16 x 18 x 21 mm, también hiperintensa en las secuencias T1 y T2 (Figura 3).

  Ante estos hallazgos se indicó una biopsia por punción guiada por ecografía e inmunomarcación de la pieza.

  En la microscopia, se observó un cilindro de tejido infiltrado por neoplasia fusocelular de núcleos ovoides y citoplasma elongado dispuestos en fascículos densos convergentes acompañados de vasos. Se identificaron, además, aisladas figuras mitóticas.

  Los resultados de la inmunomarcación fueron: S100, positivo focal; CK AE1/AE3: negativo; CK7: negativo;

EMA: positivo focal; CD99: positivo; CD34: positivo en estructuras vasculares; Bcl-2: positivo; desmina: negativo; AML: negativo; SOX10: positivo focal; hallazgos inmunofenotípicos compatibles con un SS monofásico.

  Este caso fue presentado en un ateneo multidisciplinario y, junto con el Servicio de Oncología de nuestro hospital, se decidió la resección amplia de la lesión como único tratamiento.

  En un primer tiempo, se realizó un abordaje longitudinal medial incluyendo el trayecto de la biopsia y resecándolo. Luego se extirpó el tumor con márgenes amplios que incluyó como margen profundo la cápsula articular de la rodilla (se incluyen en la resección el ligamento, patelofemoral medial y una porción del ligamento colateral interno). Se envió dicha pieza para el estudio anatomopatológico por congelación y se constataron márgenes limpios.

  Después, se tomó un injerto de fascia lata e isquiotibiales (recto interno y semitendinoso) de la misma rodilla y se reconstruyó la cápsula anteromedial de la rodilla con dicho injerto de fascia mediante 5 arpones remedando la técnica de Gallie6 para la reconstrucción capsular en las inestabilidades recurrentes del hombro. En un segundo tiempo, se realizó la plástica del ligamento medial con un injerto de semitendinoso (fijación femoral y tibial con tornillos interferenciales de 7 x 20 mm), luego la plicatura de la cápsula posteromedial fue fijada con un arpón de 5 mm y finalmente la plástica del ligamento patelofemoral medial, con un arpón de 5 mm (Figura 4). Se constató una buena estabilidad articular mediante maniobras intraoperatorias.

 

 

 

 

 

 

 

 

 

  La paciente fue protegida con un inmovilizador de rodilla, se permitió el apoyo de la punta del pie por un mes y medio, la flexión de la rodilla supervisada por un kinesiólogo progresivamente y de manera pasiva asistida hasta lograr la flexión de 90°. Luego de ese período, todos los ejercicios fueron según tolerancia.

 

DISCUSIÓN

El SS suele presentarse como una masa de tejido blando periarticular en pacientes adolescentes y adultos jóvenes.7 Su etiología es   desconocida; sin embargo, se han identificado diversos factores, como síndromes genéticos, radioterapia o quimioterapia previa, carcinógenos químicos, linfedema crónico e irritación.3

  Desde un punto de vista oncológico, se considera a esta lesión como un sarcoma de alto grado caracterizado por un crecimiento tumoral lento y una propensión a invadir estructuras locales. Los niños y adolescentes con un SS de bajo grado, tratados con escisión quirúrgica tienen una supervivencia libre de eventos del 72-90% a los 5 años.8

  El SS surge típicamente en las proximidades de una articulación (en general de <5 cm) y afecta, con más frecuencia, a la extremidad inferior, principalmente alrededor de la rodilla.9

  Múltiples autores han descrito las características radiográficas del SS; sin embargo, no existen características específicas.7,8 La RM es el estudio de elección para evaluar el SS intrarticular, el tamaño del tumor, la invasión regional, así como la invasión de estructuras anatómicas adyacentes. Estas lesiones suelen observarse como una masa de tejido blando hemorrágica heterogénea, con calcificaciones internas (aproximadamente un tercio de los casos) e hiperintensa en la RM.7 Desafortunadamente, estos hallazgos solo tienen una alta especificidad en tumores que miden más de 5 cm. Los tumores de <5 cm pueden tener una intensidad de señal homogénea con márgenes bien delimitados, lo que dificulta el diagnóstico preciso.

  El SS tiene cuatro tipos histológicos: tipo bifásico (20-30%) con componentes epiteliales y de células fusiformes en proporciones variables; tipo de células fusiformes monofásicas (50-60%); tipo de células epiteliales monofásicas (<5%) y tipo pobremente diferenciado (células redondas) (10-15%). El tipo monofásico fibroso o fusocelular, como el de nuestra paciente, está constituido por una densa población de células fusiformes en cordones, formado por células pequeñas-medianas que contienen núcleos pálidos, citoplasma disperso y bordes celulares inaparentes; este suele ser el subtipo más frecuente.10

  El diagnóstico diferencial del SS incluye, pero no se limita a la sinovitis nodular, la fibromatosis, el tumor fibroso solitario, el tumor maligno de la vaina del nervio periférico, el sarcoma de Ewing y el rabdomiosarcoma.

  En la bibliografía, los tratamientos propuestos son variados e incluyen escisión completa/resección del tumor, quimioterapia (doxorrubicina e ifosfamida), radioterapia, amputación o la combinación de algunos de ellos. Todos los pacientes sometidos a resección quirúrgica completa con márgenes quirúrgicos óptimos como único tratamiento, como el que se realizó en nuestro Centro, y con datos de seguimiento acordes, estaban vivos sin signos de enfermedad entre 1 año y 12.5 años después del diagnóstico.8

 

CONCLUSIONES

  El SS suele presentarse como una lesión articular desafiante para el diagnóstico. Es esencial que los cirujanos ortopédicos reconozcan casos como el descrito para así mantener un alto índice de sospecha ante lesiones de etiología desconocida. Es importante tener presente al SS intrarticular como diagnóstico diferencial en pacientes con dolor de rodilla inexplicable de larga duración o rigidez articular. Una biopsia en casos sospechosos podría evitar retrasos en el diagnóstico y en el tratamiento definitivo.

 

BIBLIOGRAFÍA

 

1.     Weiss SW, Goldblum JR. Enzinger and Weiss’s soft tissue tumors. 5th ed. Philadelphia PA: Mosby-Elsevier; 2008.

2.     Friedman MV, Kyriakos M, Matava MJ, McDonald DJ, Jennings JW, Wessell DE. Intra-articular synovial sarcoma. Skeletal Radiol 2013;42(6):859-67. https://doi.org/10.1007/s00256-013-1589-4

3.     Hellwinkel JE, Farmer RP, Heare A, Smith J, Donaldson N, Fadell M, et al. Primary intra-articular synovial sarcoma of the knee: a report of two cases and review of the literature. Int J Radiol Imaging Technol 2018;4(1):1. https://doi.org/10.23937/2572-3235.1510031

4.     Al-Mohrej OA, Al-Jarallah SA, Al-Dakhil Allah HH, Pant R, Al-Zayed ZS. Synovial sarcoma presenting as an intraarticular mass in a pediatric patient: a case report. BMC Musculoskelet Disord 2020;21(1):283. https://doi.org/10.1186/s12891-020-03312-3

5.     Caravias P. Sarcoma sinovial de rodilla. Rev Asoc Argent Ortop Traumatol 1996;60(2):79-83. Disponible en: https://www.aaot.org.ar/revista/1993_2002/1996/1996_1/610112.pdf

6.     Bateman JE. Gallie technique for repair of recurrent dislocation of the shoulder. Surg Clin North Am 1963;43:1655-62. https://doi.org710.1016/s0039-6109(16)37157-2

7.     Murphey MD, Gibson MS, Jennings BT, Crespo-Rodríguez AM, Fanburg-Smith J, Gajewski DA. Imaging of synovial sarcoma with radiologic-pathologic correlation. Radiographics 2006;26:1543-65. https://doi.org/10.1148/rg.265065084

8.     Ferrari A, Chi YY, De Salvo GL, Orbach D, Brennan B, Randall RL, et al. Surgery alone is sufficient therapy for children and adolescents with low-risk synovial sarcoma: a joint analysis from the european paediatric soft tissue sarcoma study group and the children’s oncology group. Eur J Cancer 2017;78:1-6. https://doi.org/10.1016/j.ejca.2017.03.003

9.     Kransdorf MJ. Malignant soft-tissue tumors in a large referral population: distribution of diagnoses by age, sex, and location. Am J Roentgenol 1995;164:129-34. https://doi.org/10.2214/ajr.164.1.7998525

10.  Weiss SW, Goldblum JR, Folpe AL. Malignant soft tissue tumors of uncertain type. En: Enzinger & Weiss’s softtissue tumors. 5th ed. Philadelphia PA: Mosby-Elsevier; 2008.

 

 

ORCID de J. M. Varaona: https://orcid.org/0000-0003-3540-4809

ORCID de A. Muzzio: https://orcid.org/0009-0008-6922-2310

ORCID de F. Jorge: https://orcid.org/0000-0002-2596-9147

                                                                                                                                           

Recibido el 9-6-2023. Aceptado luego de la evaluación el 31-5-2024 Dr. Francisco Tálamo frantalamo@gmail.com https://orcid.org/0000-0001-9060-6433

 

Cómo citar este artículo: Tálamo F, Varaona JM, Jorge F, Muzzio A. Sarcoma sinovial de rodilla: Reporte de un caso. Rev Asoc Argent Ortop Traumatol 2024;89(5):538-543. https://doi.org/10.15417/issn.1852-7434.2024.89.5.1819

 

Información del artículo

Identificación: https://doi.org/10.15417/issn.1852-7434.2024.89.5.1819

Fecha de publicación: Octubre, 2024

Conflicto de intereses: Los autores no declaran conflictos de intereses.

Copyright: © 2024, Revista de la Asociación Argentina de Ortopedia y Traumatología.

Licencia: Este artículo está bajo una Licencia Creative Commons Atribución-No Comercial-Compartir Obras Derivadas Igual 4.0 Internacional. (CC-BY-NC-SA 4.0)