PRESENTACIÓN DE CASOS

 

Síndrome de embolia grasa secundario a fracturas de huesos cortos: Presentación de casos

 

Andrés J. Uribe Jiménez,* Juan Esteban Quiroz Álvarez,* Carlos G. Vidal Vargas,* Víctor A. Avendaño Arango,** Ricardo Londoño García**

*Departamento de Urgencias, Hospital “Pablo Tobón Uribe”, Medellín, Colombia

**Universidad Pontificia Bolivariana, Medellín, Colombia

 

RESUMEN

Introducción: Se presenta el caso clínico de un varón de 15 años con fracturas de huesos cortos del pie derecho como consecuencia de un accidente de tránsito. Tras 24 h de evolución, ingresa con disnea, desaturación, pico febril objetivo y posterior desarrollo de insuficiencia respiratoria. Ante la sospecha clínica de síndrome de embolia grasa, se solicita una angiotomografía pulmonar que confirma el diagnóstico. Se trata de una entidad inusual en pacientes con este tipo de fractura. El tratamiento inicial consistió en vigilancia estrecha en la unidad de cuidados intensivos, medidas de soporte con oxígeno suplementario, terapia respiratoria y manejo quirúrgico de las fracturas. La evolución clínica del paciente fue adecuada y el cuadro respiratorio se resolvió por completo. Conclusiones: El síndrome de embolia grasa secundario a fracturas de huesos cortos es un cuadro infrecuente; por lo tanto, es preciso tener un alto grado de sospecha diagnóstica, no solo en los escenarios más comunes, sino también en este tipo de contextos inusuales y retadores, que permita su identificación temprana y, de esta forma, implementar un manejo oportuno y generar un impacto favorable en los desenlaces clínicos y en la disminución del riesgo de secuelas a largo plazo.

Palabras clave: Embolia grasa; fracturas; insuficiencia respiratoria.

Nivel de Evidencia: IV

 

Fat Embolism Syndrome Secondary to Short Bone Fracture: Case Presentation

 

ABSTRACT

Introduction: We present the clinical case of a 15-year-old male who sustained fractures to the short bones of his right foot as a result of a traffic accident. After 24 hours of evolution, he was admitted for dyspnea, desaturation, an objective febrile peak, and the development of respiratory failure. Given the clinical suspicion of fat embolism syndrome, pulmonary angiotomography was requested, which confirmed the diagnosis. This is a rare finding in patients with this type of fracture. The initial treatment included close monitoring in the intensive care unit, supportive measures such as supplemental oxygen, respiratory therapy, and surgical fracture management. The patient’s clinical progression was adequate, and the respiratory condition resolved completely. Conclusion: Fat embolism syndrome resulting from short bone fractures is a rare condition; therefore, it is necessary to have a high level of diagnostic suspicion, not only in the most common scenarios, but also in these unusual and challenging contexts, which allows for its early detection and, as a result, timely management, which has a positive impact on clinical outcomes and reduces the risk of long-term sequelae.

Keywords: Fat embolism; bone fractures; respiratory insufficiency.

Level of Evidence: IV

 

INTRODUCCIÓN

La embolia grasa es la presencia de glóbulos de grasa en la circulación sistémica, principalmente en sitios de mayor vascularización, como los pulmones y el cerebro, mientras que el síndrome de embolia grasa hace referencia a las manifestaciones clínicas que aparecen como complicaciones secundarias del embolismo graso.1

La embolia grasa es mucho más frecuente y, por lo general, su curso es benigno en comparación con el del síndrome de embolia grasa que puede generar una alta morbimortalidad. Es más común en el sexo masculino entre los 10 y 40 años, y la incidencia estimada oscila entre el 1% y el 30%, según los criterios diagnósticos usados, los antecedentes patológicos y el contexto clínico. Su presentación se asocia al trauma ortopédico, sobre todo a las fracturas de huesos largos, como el fémur y la tibia, es muy inusual, aunque se ha descrito en pacientes con fracturas de huesos cortos y en casos de cuadros o contextos no ortopédicos, como pancreatitis, crisis de anemia de células falciformes, trasplante o aspirado de médula ósea y liposucción.2

Debido a su presentación heterogénea y a los síntomas inespecíficos, el diagnóstico es complejo y de exclusión, y se basa en la combinación de hallazgos en el examen físico, los análisis de laboratorio, los estudios por imágenes y la aplicación de diferentes escalas como apoyo diagnóstico.3

El tratamiento consiste en la implementación de conductas profilácticas, como la inmovilización y la fijación quirúrgica temprana o, en su defecto, en el manejo de la causa de base, el control de los síntomas y medidas de apoyo, por ejemplo, el soporte ventilatorio.4

El objetivo de este reporte de caso es destacar la alta sospecha diagnóstica del síndrome de embolia grasa en este escenario manifestado como una insuficiencia respiratoria en un contexto atípico, como lo son las fracturas de huesos cortos del pie, y su enfoque terapéutico oportuno dado por un tratamiento quirúrgico temprano asociado al cuidado clínico, hemodinámico y las medidas de soporte con una adecuada evolución y resolución completa del cuadro.

 

CASO CLÍNICO

Varón de 15 años, estudiante, sin antecedentes personales de importancia, que tiene un accidente de tránsito mientras conduce una motocicleta al colisionar con otra motocicleta y sufre un trauma en el miembro inferior derecho. Inicialmente fue llevado al hospital local de baja complejidad, en donde le realizaron lavado y afrontamiento de la herida en el pie derecho, y fue dejado en observación clínica para el control del dolor. A las 24 h del trauma, comenzó con taquicardia, fiebre objetiva y desaturación.

A las 30 h, fue trasladado e ingresó en nuestra institución de alta complejidad, con signos vitales y los siguientes parámetros: presión arterial 114/67 mmHg, frecuencia cardíaca 123 lat./min, frecuencia respiratoria 21 resp./min y saturación de oxígeno del 82%, por lo que se le administró oxígeno suplementario por cánula nasal y se llegó a metas de saturación >90%, sin signos clínicos de insuficiencia respiratoria.

En el examen físico inicial, los hallazgos fueron: edema en el dorso del pie derecho de predominio en la región del primer metatarsiano hasta la falange distal del hallux con una herida en la cara medial afrontada, sin sangrado activo ni déficit neurovascular distal. No se observaron traumas craneoencefálico, toracoabdominal ni otros estigmas de trauma o hallazgos patológicos.

Los resultados de los análisis de laboratorio básicos no mostraron anemia, leucocitosis, disfunción renal ni trastorno electrolítico y gases arteriales sin acidosis, hipoxemia ni hiperlactatemia.

Se solicitaron radiografías para caracterizar el compromiso óseo y se observó una fractura intrarticular cerrada de la falange distal del hallux, una fractura abierta conminuta del primer metatarsiano y un fragmento óseo avulsivo en el dorso del navicular (Figura 1). En consecuencia, fue inmovilizado con una férula suropédica y se continuó el tratamiento antibiótico, según el protocolo institucional, con cefazolina 2 g, por vía intravenosa, cada 8 h, por 72 h. Los médicos del Servicio de Ortopedia programaron el lavado, el desbridamiento y la corrección quirúrgica de las fracturas.

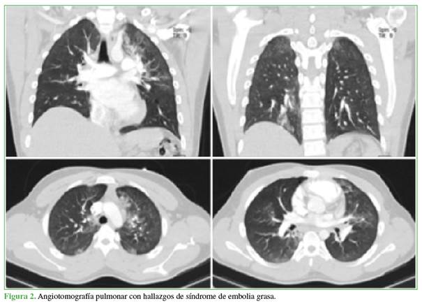
El mismo día, fue evaluado por los médicos de Medicina Interna quienes, ante el cuadro clínico, solicitaron una angiotomografía pulmonar. El informe oficial de Radiología descartó tromboembolismo pulmonar, focos consolidativos, contusiones, laceraciones pulmonares, neumotórax, derrame pleural o atelectasias, pero señaló opacidades en vidrio esmerilado, parcheadas, algunas de apariencia nodular, que comprometían principalmente los lóbulos superior izquierdo e inferior derecho y, en menor proporción, la región subpleural del ápice derecho que confirman la embolia grasa (Figura 2).

En las 12 h posteriores a su ingreso, el paciente presentó deterioro clínico, mayor requerimiento de oxígeno, desaturación e insuficiencia respiratoria hipoxémica, por lo que se indicó continuar el manejo de soporte con oxigenoterapia, incentivo respiratorio, traslado inmediato a la Unidad de Cuidados Intensivos y se autorizó el procedimiento quirúrgico inmediato con lavado y desbridamiento de la herida en el pie, curetaje óseo, reducción abierta y osteosíntesis del primer metatarsiano derecho, que se llevó a cabo sin complicaciones (Figura 3).

 

 

 

 

El paciente evolucionó adecuadamente tras la operación. Continuó con analgesia que logró un buen control del dolor. Se avanzó con dieta. Se progresó con terapia e incentivo respiratorio y se inició la disminución progresiva de oxígeno, con buena tolerancia hasta que se logró el retiro al cuarto día.

El paciente fue trasladado a una sala de clínica sin deterioro clínico ni respiratorio, con variables hemodinámicas normales; los síntomas se resolvieron a los siete días del ingreso hospitalario.

 

DISCUSIÓN

El embolismo graso es frecuente en pacientes con fracturas de huesos largos y de pelvis, pero la mayoría no cursa con signos sugestivos de síndrome de embolia grasa, el cual es considerado un diagnóstico de exclusión. Se manifiesta con síntomas respiratorios, neurológicos y brote cutáneo, pero su presentación es heterogénea, inespecífica y no todos desarrollan esta tríada clínica, por lo que se tienen en cuenta otros factores, como los resultados de los análisis de laboratorio, los estudios por imágenes y los criterios diagnósticos, sin olvidar que ningún hallazgo es patognomónico de la enfermedad.5

En la presentación de este caso, se muestra como solo con los síntomas respiratorios y el compromiso pulmonar manifestado por la hipoxemia progresiva hasta la insuficiencia respiratoria y los hallazgos en la angiotomografía se llega al diagnóstico de síndrome de embolia grasa.

Al evaluar los criterios con los que hoy se cuenta para la identificación, ninguno está estandarizado para su aplicación sistemática ni es confirmatorio de la enfermedad, pero está ampliamente aceptado el uso de la combinación de los criterios de Gurd y Wilson, y los de Lindeque.1

En la revisión bibliográfica realizada, se destacan solo dos metanálisis que evalúan las características clínicas de los pacientes con síndrome de embolia grasa: uno limitado a una subpoblación específica de enfermos que desarrollan la entidad después de un traumatismo musculoesquelético y otro en el que la enfermedad se manifiesta debido a cualquier causa; en ambos, se llegó a la conclusión de que, aunque es un cuadro raro, se asoció, con más frecuencia, a fracturas de huesos largos, principalmente de fémur y, en segunda instancia, de tibia y peroné.6,7

Asimismo, hay algunos reportes de casos que guardan proximidad anatómica con nuestro caso. Ramírez y Dawkins publicaron la aparición del síndrome en un hombre de 36 años de edad, con luxofractura del astrágalo derecho y fractura de la cabeza del 4.º y 5.º metacarpiano derecho secundaria a un accidente de tránsito. A las 48 h del ingreso, comenzó con disnea, desaturación, dolor pleurítico derecho, taquipnea y taquicardia, sin déficit neurológico, por lo que fue trasladado a la Unidad de Cuidados Intensivos, donde se le realizó una tomografía computarizada de tórax con contraste que mostró infiltrados alveolares bilaterales de predominio basal sugestivos de embolia grasa. El paciente tuvo una adecuada evolución clínica con medidas de soporte.8

En 2016, González Murillo y cols. describieron a un paciente de 24 años con una fractura abierta del calcáneo derecho secundaria a una herida por arma de fuego. A las 24 h del trauma, comenzó con fiebre, inquietud, taquipnea y desaturación, y se decidió administrar corticoides y oxigenoterapia en una unidad de alta dependencia. Se confirmó el diagnóstico con una tomografía computarizada de tórax que reveló un patrón en vidrio deslustrado parcheado, bilateral y difuso, con pequeñas áreas de compromiso alveolar y bronquiolar distal de predominio periférico.9

En general, los pilares del tratamiento son similares y ninguno es específico de la entidad, se basan en el diagnóstico temprano, las medidas iniciales de estabilización, el soporte hemodinámico y respiratorio, la corrección y el manejo de la causa subyacente. En los casos secundarios a fracturas, es clave la implementación de conductas, como la inmovilización, la corrección quirúrgica temprana y finalmente el proceso de rehabilitación.4

 

CONCLUSIONES

El síndrome de embolia grasa secundario a fracturas de huesos cortos es un cuadro infrecuente, lo que requiere de un alto grado de sospecha diagnóstica, no solo en los escenarios más comunes, sino también en este tipo de contextos inusuales y retadores, que permita su identificación temprana y, de esta forma, implementar un manejo oportuno y generar un impacto favorable en los desenlaces clínicos y en la disminución del riesgo de secuelas a largo plazo.

 

BIBLIOGRAFÍA

 

1.     Fukumoto LE, Fukumoto KD. Fat embolism syndrome. Nurs Clin North Am 2018;53(3):335-47. https://doi.org/10.1016/j.cnur.2018.04.003

2.     Kosova E, Bergmark B, Piazza G. Fat embolism syndrome. Circulation 2015;131(3):317-20. https://doi.org/10.1161/CIRCULATIONAHA.114.010835

3.     Akhtar S. Fat embolism. Anesthesiol Clin 2009;27(3):533-50, table of contents. https://doi.org/10.1016/j.anclin.2009.07.018

4.     Taviloglu K, Yanar H. Fat embolism syndrome. Surg Today 2007;37(1):5-8. https://doi.org/10.1007/s00595-006-3307-5

5.     Hershey K. Fracture complications. Crit Care Nurs Clin North Am 2013;25(2):321-31. https://doi.org/10.1016/j.ccell.2013.02.004

6.     Kainoh T, Iriyama H, Komori A, Saitoh D, Naito T, Abe T. Risk factors of fat embolism syndrome after trauma: A nested case-control study with the use of a nationwide trauma registry in Japan. Chest 2021;159(3):1064-71. https://doi.org/10.1016/j.chest.2020.09.268

7.     He Z, Shi Z, Li C, Ni L, Sun Y, Arioli F, et al. Single-case metanalysis of fat embolism syndrome. Int J Cardiol 2021;345:111-7. https://doi.org/10.1016/j.ijcard.2021.10.151

8.     Ramírez SV, Dawkins AF. Embolia grasa asociado a luxofractura astragalina. Rev Med Cos Cen 2012;69(602):205-10. Disponible en: https://www.binasss.sa.cr/revistas/rmcc/602/art8.pdf

9.     González Murillo M, Gómez Rice AR, Rubio Torres JA, De Cabo Tejerina G. Síndrome de embolia grasa tras fractura abierta de calcáneo por arma de fuego. Rev Asoc Argent Ortop Traumatol (Supl.) 2017;82:39-42. https://doi.org/10.15417/2525-1015.2017.82.717

 

 

ORCID de A. J. Uribe Jiménez: https://orcid.org/0009-0005-8682-3511

ORCID de V. A. Avendaño Arango: https://orcid.org/0000-0002-2976-3269

ORCID de C. G. Vidal Vargas: https://orcid.org/0009-0008-9595-9471

ORCID de R. Londoño García: https://orcid.org/0000-0002-6568-9166

 

Recibido el 29-8-2023. Aceptado luego de la evaluación el 6-2-2024 Dr. Juan E. Quiroz Álvarez jesteban.q15@gmail.com https://orcid.org/0000-0001-6746-4166

 

Cómo citar este artículo: Uribe Jiménez AJ, Quiroz Álvarez JE, Vidal Vargas CG, Avendaño Arango VA, Londoño García R. Síndrome de embolia grasa secundario a fractura de huesos cortos: Presentación de casos. Rev Asoc Argent Ortop Traumatol 2024;89(3):284-289. https://doi.org/10.15417/issn.1852-7434.2024.89.3.1817

 

 

Información del artículo

Identificación: https://doi.org/10.15417/issn.1852-7434.2024.89.3.1817

Fecha de publicación: Junio, 2024

Conflicto de intereses: Los autores no declaran conflictos de intereses.

Copyright: © 2024, Revista de la Asociación Argentina de Ortopedia y Traumatología.

Licencia: Este artículo está bajo una Licencia Creative Commons Atribución-No Comercial-Compartir Obras Derivadas Igual 4.0 Internacional. (CC-BY-NC-SA 4.0)