PRESENTACIÓN DE CASOS

 

Reconstrucción de defectos óseos en la región del tobillo mediante la técnica de Masquelet. Presentación de casos

 

Fernando Vago Anaya, Juan Ignacio Crosa, Mauro A. Goveo, Emiliano Loncharich, César Á. Pesciallo

Sector Pie y Tobillo, Servicio de Ortopedia y Traumatología, Hospital Británico de Buenos Aires, Ciudad Autónoma de Buenos Aires, Argentina

 

RESUMEN

Los defectos óseos segmentarios en la región del tobillo y el pie representan un desafío dadas sus características anatómicas con limitada vascularización y pobre cobertura muscular. La técnica descrita por Masquelet para el tratamiento de defectos óseos segmentarios en huesos largos ha logrado excelentes resultados. Sin embargo, se han publicado pocos estudios sobre su uso en la región del pie y tobillo. La técnica de la membrana inducida ofrece una alternativa terapéutica válida para resolver problemas de difícil solución en Ortopedia, como los defectos óseos. Permite tratarlos sin necesidad de procedimientos complejos, como el uso de injertos óseos vascularizados o de callotasis, con una alta tasa de consolidación, conservando la longitud del miembro y con una buena función. Entre enero de 2016 y diciembre de 2018, tres pacientes con defectos óseos segmentarios fueron tratados mediante la técnica de Masquelet en nuestra institución. Pese a que no podemos probar que este procedimiento es el más indicado en este tipo de casos, sí podemos afirmar que se logró la consolidación en todos los pacientes y se resolvió el defecto óseo, lo que nos anima a seguir utilizando esta misma técnica.

Palabras clave: Defecto óseo; pie y tobillo; tibia distal; técnica de Masquelet.

Nivel de Evidencia: IV

 

Use of Masquelet Technique for the Reconstruction of Bone Defects in the Ankle. Case Report

 

ABSTRACT

Segmental bone defects in the foot and ankle represent a challenge due to their anatomical characteristics, limited vascularization, and poor muscle coverage. The technique described by Masquelet has shown excellent results for the treatment of segmental bone defects in long bones. However, there are few studies in the literature on its use in the foot and ankle. The induced membrane technique offers a valid treatment alternative to solve bone defects. It allows treatment without the need for complex procedures, such as vascularized bone grafts or distraction osteogenesis, with a high rate of consolidation, preserving the length and function of the limb. Although we cannot prove that this procedure is the most indicated for the treatment of bone defects, we can affirm that all our patients have achieved consolidation, which encourages us to continue performing this same technique.

Keywords: Bone defect; foot and ankle; distal tibia; Masquelet technique.

Level of Evidence: IV

 

INTRODUCCIÓN

  La región anatómica del tobillo es un gran desafío para el tratamiento de los defectos óseos segmentarios (DOS) debido a su limitada vascularización y la pobre cobertura de partes blandas.1,2 Entre las principales técnicas para la reconstrucción se encuentran la callogénesis por distracción, el injerto de peroné vascularizado, la elongación mediante clavos intramedulares y los implantes de titanio trabecular.3,4 Se trata de procedimientos quirúrgicamente complejos y demandantes, que no están exentos de complicaciones, y cuyos resultados son poco predecibles y pueden ser catastróficos.5-7

  Masquelet describe una nueva técnica para el tratamiento de los DOS.8 Este procedimiento permite reconstruir la superficie ósea, sin necesidad de contar con habilidades microquirúrgicas, ni infraestructura hospitalaria de alta complejidad.9-14 En una primera etapa, se coloca un espaciador de cemento de polimetilmetacrilato que genera una reacción de cuerpo extraño, con el ulterior desarrollo de una membrana biológica inducida. En la segunda etapa, que se puede realizar entre las 6 y 10 semanas, se retira el espaciador, y se rellena la cavidad generada con un injerto óseo, preferentemente autólogo. La función de la biomembrana no es solo prevenir la reabsorción del injerto y evitar la interposición de partes blandas, sino que también fundamentalmente se caracteriza por secretar factores de crecimiento que contribuyen a la consolidación ósea.15-18

  El objetivo de este artículo es presentar una serie de pacientes con defectos óseos en la región del tobillo tratados mediante la técnica de Masquelet, y describir los diferentes usos de la técnica en esta región.

 

CASO CLÍNICO 1

  Hombre de 40 años, sin antecedentes clínicos de relevancia, que había sufrido una fractura expuesta del pilón tibial derecho en un accidente automovilístico.

  El manejo inicial consistió en lavado quirúrgico, desbridamiento amplio y estabilización con tutor externo transarticular de tobillo.

  A las dos semanas, se procedió a realizar una osteosíntesis de peroné por vía lateral y, ante la severa conminución articular, se decidió mantener la tibia distal con un tutor externo transarticular para recuperar stock óseo, mantener la longitud y plantear una artrodesis tibioastragalina diferida.

  A los tres meses del trauma inicial, se llevó a cabo una artrodesis de tobillo con placa anterior específica y tornillos canulados tomando metáfisis y epífisis tibial con astrágalo más aloinjerto óseo molido del banco de huesos de nuestro Hospital.

  La evolución de las partes blandas fue buena; sin embargo, hubo un retraso de la consolidación en la fusión tibioastragalina.

  A los 11 meses de la cirugía, las radiografías revelaron una fatiga de la placa tibial, asociada a seudoartrosis tibioastragalina y, en el examen físico, se detectó movilidad en el sitio de fusión (Figura 1).

 

 

 

 

  Se solicitaron análisis de laboratorio completos y los resultados estaban dentro de los valores normales: glóbulos blancos 8500/mm3 (valor normal: 4000-10.000/mm3), proteína C reactiva 0,9 mg/dl (valor normal: 0,8-1,2 mg/dl) y velocidad de sedimentación globular 12 mm (valor normal: 8-20 mm).

  Se optó por una revisión en dos tiempos según los principios de Masquelet, ante la sospecha de infección, debido a la falta de consolidación, asociada a la fatiga del implante y la persistencia del dolor.

  En el primer tiempo, mediante un abordaje anteromedial de tibia distal, se comprobó la ausencia de integración del injerto óseo a nivel de la fusión y, a través de un abordaje lateral, la falta de consolidación en el foco de fractura en el peroné. Se retiraron los implantes tanto de tibia como de peroné, se realizó un desbridamiento quirúrgico amplio del tejido óseo y de partes blandas que se visualizó desvitalizado y sin sangrado, hasta obtener extremos sangrantes en ambos cabos. Luego de un lavado, se tomaron muestras de hueso y tejidos remanentes para cultivo y anatomía patológica. Se generó un defecto óseo correspondiente a la metáfisis, epífisis tibial y a la cúpula astragalina.

  El defecto óseo remanente (5 cm) se rellenó con dos dosis de cemento con 2 g de vancomicina por dosis, luego de la estabilización con clavo tibio-astrágalo-calcáneo retrógrado (Figura 2).

 

 

  Los cultivos fueron positivos para Staphylococcus aureus sensible a la meticilina tanto en hueso como en tejidos de partes blandas.

  Luego de completar el tratamiento con rifampicina y ciprofloxacina, según las pruebas de sensibilidad, la infección remitió a las ocho semanas. Por esa razón, se procedió con el segundo tiempo de la técnica de Masquelet.

  Se realizó un abordaje anteromedial por la cicatriz previa. Una vez que se visualizó que los tejidos estaban vitales, se incidió la membrana de Masquelet y se procedió a remover completamente el cemento con antibiótico. Por último, se rellenó el defecto óseo remanente con mitades iguales de aloinjerto molido del banco de huesos y de autoinjerto (obtenido de la cresta ilíaca) (Figura 3).

  Se tomaron muestras del hueso remanente para cultivo y anatomía patológica, cuyos resultados fueron negativos. De todos modos y debido a los antecedentes del paciente, se decidió completar un mes de tratamiento antibiótico en el posoperatorio, según la indicación del Servicio de Infectología.

  El protocolo de rehabilitación consistió en seis meses sin carga e inmovilización con bota walker y muletas. Luego el paciente continuó con el apoyo progresivo y asistido con muletas. Se autorizó la carga completa a los 11 meses del segundo tiempo quirúrgico.

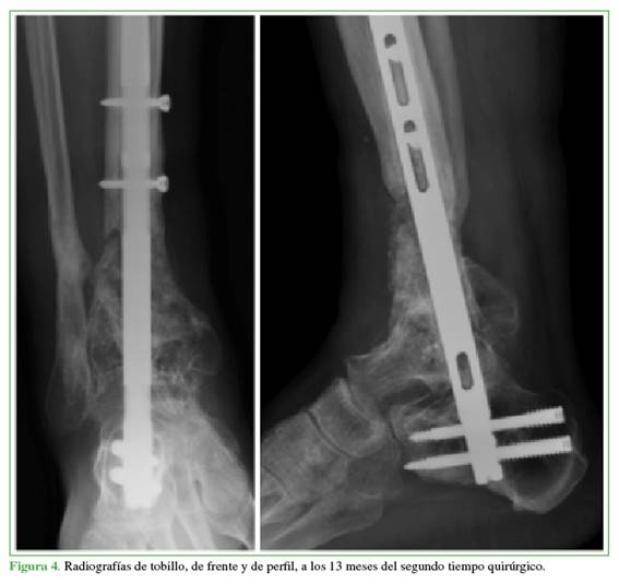
  Se realizaron controles clínicos y radiográficos seriados. A los 13 meses del segundo tiempo quirúrgico, se constató la fusión radiográfica y se autorizó la marcha sin asistencia, con retorno a la vida habitual (Figura 4).

  Tras dos años de seguimiento, el paciente camina sin asistencia y sin dolor en el miembro operado.

 

 

 

 

 

 

CASO CLÍNICO 2

  Hombre de 47 años, con antecedentes clínicos de hipertensión arterial, que había sufrido una fractura de astrágalo en un accidente de motocicleta vs. automóvil en 2015 y que había sido tratado con reducción abierta y fijación interna con tornillos retrógrados y una placa medial.

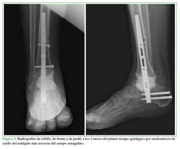
  En el posoperatorio, sufrió una necrosis parcial del cuerpo astragalino y seudoartrosis del cuello asociada al desarrollo de artrosis subastragalina, por lo cual, en 2017, fue sometido a una revisión de la osteosíntesis con artrodesis subastragalina, en nuestra institución. A los tres años, continuaba con dolor y caminaba con la ayuda de una muleta.

  En los controles radiográficos periódicos y excepcionales por la persistencia del dolor, se detectó la seudoartrosis de la fractura del cuello del astrágalo asociada a necrosis ósea avascular del cuerpo astragalino y la falta de consolidación de la artrodesis subastragalina, además, del desarrollo de artrosis tibioastragalina.

  Con el diagnóstico presuntivo de seudoartrosis infectada debido a la persistencia del dolor, la fatiga del implante y la falta de consolidación, se optó por una revisión en dos tiempos según los principios de Masquelet. En la primera cirugía, se realizó un abordaje medial ampliado sobre la cicatriz quirúrgica. Se retiró la osteosíntesis, se observó un secuestro óseo a dicho nivel del cual se tomaron muestras para cultivos y se continuó con el desbridamiento agresivo hasta obtener hueso vital y sangrante.

  Se generó un defecto correspondiente al cuerpo astragalino, la superficie articular tibial y el maléolo medial. Se tomaron muestras para cultivo de hueso remanente de tibia, astrágalo y de tejidos de partes blandas con fascia superficial y vaina del tendón tibial anterior.

  Se estabilizó el calcáneo con la tibia por medio de un clavo tibiocalcáneo retrógrado manteniendo la longitud del miembro y rellenando el defecto con dos dosis de cemento con 2 g de vancomicina por dosis (Figura 5). En los cultivos, se aisló Staphylococcus epidermidis en el tejido óseo de tibia distal.

 

 

 

  Luego de un tratamiento de nueve semanas con levofloxacina y rifampicina, según la sensibilidad del germen aislado de las muestras quirúrgicas, se curó la infección.

  Con el correcto tratamiento de la infección a las 10 semanas de la cirugía, se decidió realizar el segundo tiempo quirúrgico. Se abordó por la cicatriz previa y, luego de visualizar que los tejidos tenían un aspecto vital y sangrante, se incidió la membrana de Masquelet. Se procedió a remover todo el cemento con antibiótico, se trabajaron los extremos óseos remanentes y se tomaron muestras para cultivo y anatomía patológica, que resultaron negativas. Por último, se rellenó el defecto óseo remanente con mitades iguales de hueso autólogo (obtenido de la cresta ilíaca) y aloinjerto molido.

  Junto con el Servicio de Infectología, se decidió no administrar antibióticos luego del segundo tiempo.

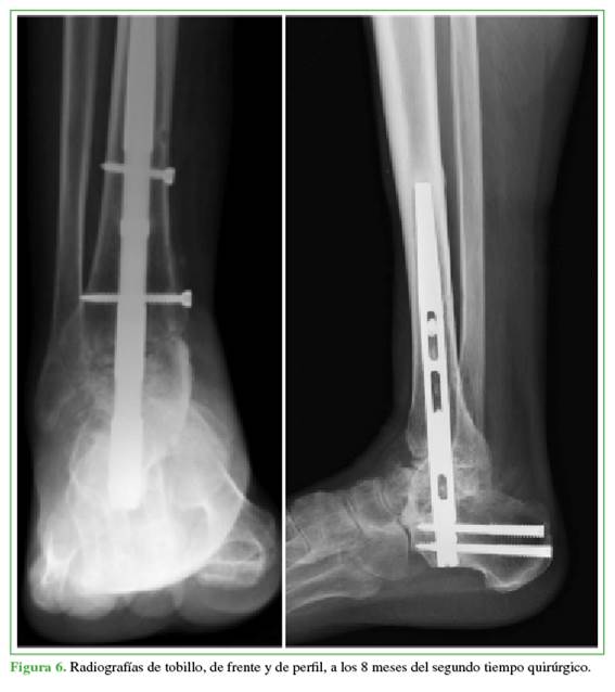
  Se observó la consolidación completa a los 12 meses de la cirugía (Figura 6). El protocolo de rehabilitación consistió en seis meses sin carga inmovilizado con bota walker y carga parcial asistida con bota walker y dos muletas a los seis meses del segundo tiempo quirúrgico.

  El paciente logró la carga completa sin asistencia a los 14 meses del segundo tiempo quirúrgico.

 

 

 

CASO CLÍNICO 3

  Hombre de 61 años, sin antecedentes clínicos de relevancia, que había sido sometido a una artroplastia de tobillo izquierdo por artrosis primaria en agosto de 2017, en otra institución. Sufrió una infección aguda de la prótesis que, al mes de la cirugía, requirió dos desbridamientos quirúrgicos. Recibió tratamiento antibiótico durante tres meses y los cultivos finales de ambos desbridamientos quirúrgicos fueron negativos.

  Evolucionó con un defecto de cobertura anterior que fue tratado mediante un sistema de presión negativa tipo VAC®, con el cual se logró el cierre de la herida a los nueve meses del posoperatorio inicial.

  El paciente consultó en nuestra institución al año de la cirugía por la persistencia del dolor en el tobillo izquierdo. El examen físico reveló un rango de movilidad limitado y doloroso. Las heridas estaban cicatrizadas, sin signos de infección activa.

  En las radiografías, se pudo observar una alteración de la estructura compatible con aflojamiento de la prótesis (Figura 7).

 

 

 

 

  Ante la sospecha de aflojamiento séptico, debido a los antecedentes de infección, un defecto de cobertura durante nueve meses y la persistencia del dolor, al año y tres meses, se optó por una revisión en dos tiempos según los principios de Masquelet.

  En la primera cirugía, se efectuó un abordaje anterior de tobillo ampliado sobre la cicatriz quirúrgica. Se retiraron los componentes de la prótesis, se tomaron muestras de hueso remanente para estudio bacteriológico y se desbridó hasta obtener hueso vital y sangrante. Se constató un defecto óseo remanente de 2,5 cm. Se procedió a la distracción para mantener la longitud del miembro y se colocó, de forma retrógrada, un clavo tibio-astrágalo-calcáneo. El defecto óseo se rellenó con dos dosis de cemento con 2 g de vancomicina por dosis (Figura 8).

 

 


  Tras 10 semanas de tratamiento con minociclina y ciprofloxacina, y cultivos negativos, se decidió continuar con el segundo tiempo de Masquelet.

  Se realizó el abordaje a través de la cicatriz quirúrgica. Luego de observar que los tejidos tenían un aspecto vital y sangrante, se incidió la membrana de Masquelet y se procedió a remover todo el cemento con antibiótico. Se tomaron muestras de hueso remanente, que fueron negativas. Por último, se rellenó el defecto óseo con mitades iguales de hueso autólogo (de la cresta ilíaca homolateral) y de aloinjerto molido del banco de huesos.

  Se inmovilizó al paciente con una bota de yeso durante tres semanas para luego continuar con una bota walker sin carga. La carga parcial progresiva comenzó a los tres meses protegida con una bota walker y dos muletas. Se logró la consolidación a los ocho meses de la cirugía. El paciente pudo cargar, de manera completa, su miembro sin ningún tipo de asistencia a los 9.5 meses del segundo tiempo quirúrgico (Figura 9).

 

 

 

DISCUSIÓN

  Los DOS en la región del tobillo y el pie representan un desafío debido a sus características anatómicas con limitada vascularización y pobre cobertura muscular.1,2 Con la técnica descrita por Masquelet se han obtenido excelentes resultados para el tratamiento de DOS en huesos largos.9,10,12-14 Sin embargo, existen pocos estudios sobre su uso en la región del pie y el tobillo.

  Las causas por las cuales se generan DOS en esta región son numerosas. Si bien la mayoría de los estudios publicados corresponden a defectos secundarios a fracturas expuestas, también se reportan causas, como los tofos gotosos y la osteomielitis.19-21 En nuestra serie de casos, el DOS fue generado por desbridamientos quirúrgicos amplios. En dos de ellos, como tratamiento de una infección profunda secundaria a una infección del sitio quirúrgico y, en el restante, como consecuencia del aflojamiento de una prótesis de tobillo.

  Inicialmente utilizada para el tratamiento de los DOS de huesos largos, la técnica de Masquelet comenzó a emplearse en otras regiones del cuerpo, debido a sus buenos resultados.9-14 Este procedimiento en dos tiempos tiene características que lo hacen único. El bloque de cemento actúa como cuerpo extraño, haciendo que el organismo genere una especie de cápsula vascularizada o biomembrana que lo envuelve. Esta aporta un entorno privilegiado para el crecimiento y la incorporación del injerto óseo. También, tiene la función de evitar la reabsorción del injerto, y de secretar y mantener los factores de crecimiento osteoinductores.15-18 En la bibliografía, se comunica que, a la sexta semana, la membrana tiene 1-2 mm de espesor, está hipervascularizada y no presenta adherencias con el espaciador subyacente, momento ideal para el segundo tiempo quirúrgico.15,17,18 En nuestra serie de casos, el tiempo transcurrido entre la primera y segunda cirugía fue de ocho semanas (2 pacientes) y 10 semanas en el paciente restante. Estos tiempos son muy similares a los publicados cuando se trata de esta región. Luo y cols. realizaron el segundo tiempo a las ocho semanas en su estudio de 19 pacientes que fueron tratados por osteomielitis en el tercio distal de la tibia.22 En un estudio sobre seudoartrosis infectadas en la región metatarsiana, Giannoudis y cols. llevaron a cabo el segundo tiempo entre la 6ta y 8va semana.11

  En el segundo tiempo, la cavidad remanente debe rellenarse con injerto óseo. Por sus propiedades osteogénicas, osteoconductivas y osteoinductivas, la cresta ilíaca es el sitio de referencia.14,15,18 En los casos de defectos mayores, donde el injerto sea insuficiente, se puede utilizar aloinjerto molido de banco de tejidos, pero sin superar la relación 1 a 3.11,14 A pesar de esto se han publicado tasas de consolidación >90% utilizando una relación de 1 a 1.23,24 Pesciallo y cols. usaron hasta un 64% de injerto autólogo, y obtuvieron una tasa de consolidación >90%.23 En nuestra serie, los defectos fueron rellenados con mitades iguales de injerto óseo autólogo y aloinjerto molido para evitar la necesidad de abordar ambas crestas ilíacas y se lograron tasas de consolidación similares a las publicadas para la región de la tibia diafisaria y distal.19,25,26

  Con respecto al tamaño o la longitud de los defectos, al igual que en el resto de los huesos largos, no parece condicionar las tasas de consolidación, así como tampoco el tiempo para que el paciente pueda cargar de forma completa.19 Sin embargo, en la región del pie y el tobillo, estos tiempos son un poco mayores. Siboni y cols. trataron a pacientes con defectos de hasta 18 cm secundarios a seudoartrosis sépticas en la tibia distal y lograron la consolidación en el 93% de los casos, en un promedio de 14 meses (rango 3-32).27 De igual manera, Zooler y cols. informaron defectos de entre 3 y 10 cm en la región de la tibia distal, con una tasa de consolidación del 100% entre los dos y los nueve meses.28 En nuestra serie, los defectos medían 2,5; 6 y 5 cm, dimensiones bastantes similares a las publicadas, y se logró la consolidación en todos los pacientes, en un promedio de 10.3 meses.

  Una fortaleza de este estudio es ser uno de los pocos de su tipo a nivel nacional sobre una enfermedad con escaso número de publicaciones internacionales, para la que existen múltiples opciones de tratamiento y el manejo adecuado continúa siendo un interrogante. Su carácter retrospectivo, el bajo número de pacientes y la heterogeneidad de las variables en estudio son sus principales debilidades.

  Consideramos que se necesitan más estudios con más pacientes y estudios prospectivos comparativos con otras técnicas para, de esta forma, obtener hallazgos que permitan lograr un consenso terapéutico en el manejo de los DOS.

 

CONCLUSIONES

  La técnica de la membrana inducida nos ofrece una alternativa de tratamiento válida para resolver problemas de difícil solución en Ortopedia, como los defectos óseos. Nos permite tratarlos sin la necesidad de procedimientos complejos, como el uso de injertos óseos vascularizados o de callotasis, con una alta tasa de consolidación, conservando la longitud del miembro y una buena función.

  A pesar de que no podemos probar que este procedimiento es el más indicado en este tipo de casos, podemos afirmar que se logró la consolidación en todos los pacientes y la resolución del defecto óseo, lo cual nos anima a seguir empleando esta misma técnica.

 

BIBLIOGRAFÍA

 

1.    Andrzejowski P, Masquelet A, Giannoudis PV. Induced membrane technique (Masquelet) for bone defects in the distal tibia, foot, and ankle: Systematic review, case presentations, tips, and techniques. Foot Ankle Clin 2020;25(4):537-86. https://doi.org/10.1016/j.fcl.2020.08.013

2.    Pelissier P, Bollecker V, Martin D, Baudet J. Foot reconstruction with the “bi-Masquelet” procedure. Ann Chir Plast Esthet 2002;47(4):304-7. https://doi.org/10.1016/s0294-1260(02)00123-1

3.    Cattaneo R, Catagni M, Johnson EE. The treatment of infected nonunions and segmental defects of the tibia by the methods of Ilizarov. Clin Orthop Relat Res 1992;(280):143-52. PMID: 1611734

4.    DeCoster TA, Gehlert RJ, Mikola EA, Pirela-Cruz MA. Management of posttraumatic segmental bone defects. J Am Acad Orthop Surg 2004;12(1):28-38. https://doi.org/10.5435/00124635-200401000-00005

5.    Obremskey WT, Molina CS, Collinge C, Tornetta P, Sagi C, Schmidt A, et al. Current practice in the management of segmental bone defects among orthopaedic trauma surgeons. J Orthop Trauma 2014;28(8):e203-7. https://doi.org/10.1097/BOT.0000000000000034

6.    Gaskill TR, Urbaniak JR, Aldridge JM. Free vascularized fibular transfer for femoral head osteonecrosis: donor and graft site morbidity. J Bone Joint Surg Am 2009;91(8):861-7. https://doi.org/10.2106/JBJS.H.01105

7.    Myeroff C, Archdeancon M. Autogenous bone graft: donor sites and techniques. J Bone Joint Surg Am 2011;93(3): 222-7. https://doi.org/10.2106/JBJS.J.01513

8.    Masquelet AC, Fitoussi F, Begue T, Muller GP. Reconstruction of the long bones by the induced membrane and spongy autograft. Ann Chir Plast Esthet 2000;45(3):346-53. PMID: 10929461

9.    Masquelet A, Kanakaris NK, Obert L, Stafford P, Giannoudis PV. Bone repair using the Masquelet technique. J Bone Joint Surg Am 2019;101(11):1024-36. https://doi.org/10.2106/JBJS.18.00842

10. Giannoudis PV, Faour O, Goff T, Kanakaris N, Dimitriou R. Masquelet technique for the treatment of bone defects: tips-tricks and future directions. Injury 2011;42(6):591-8. https://doi.org/10.1016/j.injury.2011.03.036

11. Giannoudis PV, Harwood PJ, Tosounidis T, Kanakaris NK. Restoration of long bone defects treated with the induced membrane technique: protocol and outcomes. Injury 2016;47(Suppl 6):S53-61. https://doi.org/10.1016/S0020-1383(16)30840-3

12. Wong TM, Lau TW, Li X, Fang C, Yeung K, Leung F. Masquelet technique for treatment of posttraumatic bone defects. Sci World J 2014;2014:710302. https://doi.org/10.1155/2014/710302

13. Mauffrey C, Hake ME, Chadayammuri V, Masquelet AC. Reconstruction of long bone infections using the induced membrane technique: Tips and tricks. J Orthop Trauma 2016;30(6):e188-93. https://doi.org/10.1097/BOT.0000000000000500

14. Pesciallo C, Garabano G, Montero Vinces A, Gómez DJ, Bidolegui F, Cid Casteulani A. Defectos óseos segmentarios infectados en huesos largos: tratamiento con técnica de Masquelet. Rev Asoc Argent Ortop Traumatol 2019;84(1):15-26. https://doi.org/10.15417/issn.1852-7434.2019.84.1.853

15. Taylor BC, French BG, Fowler TT, Russell J, Poka A. Induced membrane technique for reconstruction to manage bone loss. J Am Acad Orthop Surg 2012;20(3):142-50. https://doi.org/10.5435/JAAOS-20-03-142

16. Klaue K, Knothe U, Masquelet A. Effet biologique des membranes à corps étranger induites in situ sur la consolidation des greffes d’os spongieux. Rev Chir Orthop Suppl 1995:109-10 (70e réunion annuelle de la SOFCOT).

17. Masquelet AC, Begue T. The concept of induced membrane for reconstruction of long bone defects. Orthop Clin North Am 2010;41(1):27-37. https://doi.org/10.1016/j.ocl.2009.07.011

18. Pelissier P, Masquelet AC, Bareille R, Mathoulin Pelissier S, Amedee J. Induced membranes secrete growth factors including vascular and osteoinductive factors and could stimulate bone regeneration. J Orthop Res 2004;22(1):73-9. https://doi.org/10.1016/S0736-0266(03)00165-7

19. Largey A, Faline A, Hebrard W, Hamoui M, Canovas F. Management of massive traumatic compound defects of the foot. Orthop Traumatol Surg Res 2009;95(4):301-4. https://doi.org/10.1016/j.otsr.2009.02.005

20. Mak MF, Stern R, Assal M. Masquelet technique for midfoot reconstruction following osteomyelitis in charcot diabetic neuropathy: a case report. JBJS Case Connect 2015;5(2):e281-5. https://doi.org/10.2106/JBJS.CC.N.00112

21. Liu F, Huang RK, Xie M, Pan H, Zhao JJ, Lei B. Use of Masquelet’s technique for treating the first metatarsophalangeal joint in cases of gout combined with a massive bone defect. Foot Ankle Surg 2018;24(2):159-63. https://doi.org/10.1016/j.fas.2017.01.009

22. Luo F, Wang X, Wang S, Fu J, Xie Z. Induced membrane technique combined with two stage internal fixation for the treatment of tibial osteomyelitis defects. Injury 2017;48(7):1623-7. https://doi.org/10.1016/j.injury.2017.04.052

23. Pesciallo CA, Garabano G, Dainotto T, Ernst G. Masquelet technique in post-traumatic infected femoral and tibial segmental bone defects. Union and reoperation rates with high proportions (up to 64%) of allograft in the second stage. Injury 2021;52(11):3471-7. https://doi.org/10.1016/j.injury.2021.08.031

24. Karger C, Kishi T, Schneider L, Fitoussi F, Masquelet AC. Treatment of posttraumatic bone defects by the induced membrane technique. Orthop Traumatol Surg Res 2012;98:97-102. https://doi.org/10.1016/j.otsr.2011.11.001

25. Khan SN, Cammisa FP Jr, Sandhu HS, Diwan AD, Girardi FP, Lane JM. The biology of bone grafts. J Am Acad Orthop Surg 2003;26:923-4. PMID: 15712985

26. Pelissier P, Masquelet AC, Lepreux S, Martin D, Baudet J. Behavior of cancellous bone graft placed in induced membranes. Br J Plast Surg 2002;55:598-600. https://doi.org/10.1054/bjps.2002.3936

27. Siboni R, Joseph E, Blasco L, Barbe C, Bajolet O, Diallo S, et al. Management of septic non-union of the tibia by the induced membrane technique. What factors could improve results? Orthop Traumatol Surg Res 2018;104(6):911. https://doi.org/10.1016/j.otsr.2018.04.013

28. Zoller SD, Cao LA, Smith RA, Sheppard W, Lord EL, Hamad CD, et al. Staged reconstruction of diaphyseal fractures with segmental defects: Surgical and patient-reported outcomes. Injury 2017;48(10):2248-52. https://doi.org/10.1016/j.injury.2017.06.018

 

 

ORCID de J. I. Crosa: https://orcid.org/0000-0003-2373-013X           

ORCID de E. Loncharich: https://orcid.org/0009-0002-1106-3544

ORCID de M. A. Goveo: https://orcid.org/0009-0009-4761-6148

ORCID de C. Á. Pesciallo: https://orcid.org/0000-0002-4461-8465

 

Recibido el 27-7-2023. Aceptado luego de la evaluación el 14-2-2024 Dr. FERNANDO VAGO ANAYA  fervagoanaya@gmail.com https://orcid.org/0000-0001-8589-7782

 

Cómo citar este artículo: Vago Anaya F, Crosa JI, Goveo MA, Loncharich E, Pesciallo CÁ. Reconstrucción de defectos óseos en la región del tobillo mediante la técnica de Masquelet. Presentación de casos. Rev Asoc Argent Ortop Traumatol 2024;89(2):164-175. https://doi.org/10.15417/issn.1852-7434.2024.89.2.1800

 

 

Información del artículo

Identificación: https://doi.org/10.15417/issn.1852-7434.2024.89.2.1800

Fecha de publicación: April, 2024

Conflicto de intereses: Los autores no declaran conflictos de intereses.

Copyright: © 2024, Revista de la Asociación Argentina de Ortopedia y Traumatología.

Licencia: Este artículo está bajo una Licencia Creative Commons Atribución-No Comercial-Compartir Obras Derivadas Igual 4.0 Internacional. (CC-BY-NC-SA 4.0)