PRESENTACIÓN DE CASOS

 

Fractura de tibia como complicación del uso de un dispositivo de fijación elástica en la sindesmosis

 

Marcelo Rio, Patricio Salonia, Duilio Gabas, Guillermo Gotter, Fernando Barrera Oro, Enzo D. Sperone

Servicio de Ortopedia y Traumatología, Clínica Zabala, Ciudad Autónoma de Buenos Aires, Argentina

 

RESUMEN

La fijación elástica en las lesiones de la sindesmosis es un procedimiento que se realiza ampliamente y brinda buenos resultados. Presentamos un caso de una fractura de tibia como complicación de la fijación elástica de la sindesmosis, su tratamiento y una revisión bibliográfica en la cual no hemos encontrado reportes sobre esta complicación.

Palabras clave: Fractura de tobillo; fijación sindesmal elástica; fractura de tibia.

Nivel de Evidencia: IV

 

Tibial Fracture as a Complication of the Use of an Elastic Fixation Device in the Syndesmosis

 

ABSTRACT

Elastic fixation in syndesmosis injuries is a widely performed procedure with good outcomes. We report a case of a tibial fracture as a complication of the elastic fixation of the syndesmosis, its treatment, and a literature review, in which we have not found reports of this complication.

Keywords: Ankle fracture; elastic syndesmotic fixation; tibial fracture.

Level of Evidence: IV

 

INTRODUCCIÓN

  Las fracturas de tobillo son lesiones frecuentes, la incidencia comunicada es de 180 casos cada 100.000 personas por año.1 En el 23% de las fracturas de tobillo, se detecta una lesión de la articulación tibioperonea inferior (sindesmosis),2 que requiere estabilización quirúrgica para obtener buenos resultados.3 La técnica y el implante para la fijación de la sindesmosis mediante fijación elástica4 tienen algunas ventajas sobre la fijación rígida con tornillos,5 aunque también se han publicado complicaciones asociadas al uso de estos dispositivos, como lesiones neurovasculares,6 reacción a cuerpo extraño7 y osteólisis8.

  Presentamos el caso de una complicación asociada a la fijación elástica de la sindesmosis, sobre la cual no hemos encontrado una descripción en la bibliografía.

 

CASO CLÍNICO

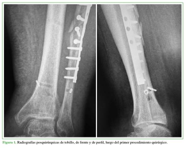
  Hombre de 60 años, obeso (índice de masa corporal 35), sin antecedentes de relevancia. Había sufrido una caída desde su propia altura en su domicilio, que le provocó tumefacción y dolor en el tobillo derecho, por lo que concurre al Servicio de Urgencia donde se le tomaron radiografías de tobillo, de frente y perfil. El diagnóstico fue luxofractura de tobillo. Se le realizó una reducción, se le colocó una valva posterior de yeso y quedó hospitalizado. A las 24 h, fue sometido a una reducción y osteosíntesis con tornillos interfragmentarios y placa de neutralización en el peroné y fijación de la sindesmosis con Endobutton® por fuera de la placa (Figura 1).

 

 

 

 

 

 

  El paciente evolucionó favorablemente y, a las 48 h, fue dado de alta y controlado por Consultorios Externos. Dos meses después de la cirugía, se le indicó empezar con carga en forma progresiva. A los pocos días, comenzó con dolor de aparición súbita en la zona distal de la pierna, que no mejoró con analgésicos y reposo, por lo que consultó en el Servicio de Urgencia, a las 48 horas.

  Se le realizaron radiografías (Figura 2) y reconstrucción tridimensional del tobillo (Figura 3), se diagnosticó una fractura de tibia distal OTA/AO42-A3.3 en la zona por donde transcurre la sutura del Endobutton®, y fue inmovilizado con una valva posterior de yeso.

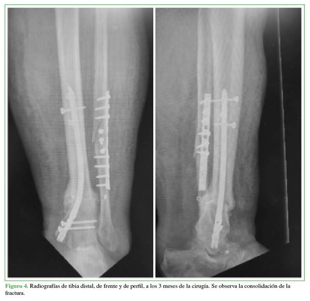
  En enero de 2023, concurrió a nuestra institución donde recibió tratamiento para la fractura de tibia con clavo endomedular de ingreso maleolar (Figura 4). Se decidió utilizar un clavo endomedular de ingreso maleolar a causa de la mala calidad de las partes blandas en la zona anterointerna de la pierna y el índice de masa corporal elevado.9 La evolución posquirúrgica fue favorable, se constató la consolidación de la fractura de tibia a los cuatro meses del procedimiento quirúrgico.

 

 

 

 

 

 

 

DISCUSIÓN

  Con el aumento del uso de los dispositivos de fijación elástica para tratar las lesiones de la sindesmosis del tobillo también se han comunicado complicaciones. Storey y cols.8 observaron tres complicaciones frecuentes: osteomielitis alrededor de la sutura de alta resistencia, pérdida de la reducción obtenida en el procedimiento quirúrgico y osteólisis aséptica alrededor de la sutura, y hacen especial referencia a la posibilidad de fracturar alguna de las corticales del peroné; por lo tanto, recomiendan colocar el dispositivo a través de la placa de osteosíntesis del peroné o utilizar una arandela. Kaiser y cols.10 reportaron la fractura de peroné cuando se utilizan dispositivos elásticos, en especial si no se colocan sobre una placa. Como causas de esta complicación refieren que la perforación del peroné se hace con una mecha que puede variar de 3,2 mm a 3,7 mm según la marca comercial del implante, a diferencia de la mecha de 2,5 mm que se utiliza para colocar un tornillo. La segunda causa es la forma anatómica del peroné en los 2-4 cm proximales a la sindesmosis donde se debe perforar el peroné y la tercera causa es la mala orientación en el punto de inicio de la perforación en el peroné.

  No hemos hallado algún reporte bibliográfico sobre una fractura de tibia como complicación por el uso de este tipo de dispositivos. Creemos que la causa de la fractura en nuestro paciente fue la orientación muy posterior de la mecha al perforar el peroné y la tibia, lo que generó una fractura incompleta de la tibia que se completó cuando el paciente comenzó con la carga de peso. Para evitar esta complicación recomendamos visualizar correctamente el peroné cuando se lo perfora, angular la mecha a 30° de posterior hacia anterior y controlar el inicio de la perforación en la tibia con el intensificador de imágenes.

 

CONCLUSIONES

  El uso de dispositivos elásticos (Endobutton®) para el tratamiento de las fracturas de tobillo con lesiones de la sindesmosis es muy frecuente y logra buenos resultados.

  A pesar de los múltiples reportes en la bibliografía internacional, hasta la fecha, no hemos encontrado una descripción de una complicación tan incapacitante, como lo es una fractura de tibia distal debido al uso de estos implantes. Sugerimos tomar ciertos recaudos técnicos en el momento de la perforación del peroné y la tibia para evitar lesiones óseas iatrogénicas.

 

BIBLIOGRAFÍA

 

1.    Daly PJ, Fitzgerald RH Jr, Melton LJ, Ilstrup DM. Epidemiology of ankle fractures in Rochester, Minnesota. Acta Orthop Scand 1987;58:539-44. https://doi.org/10.3109/17453678709146395

2.    Van Heest TJ, Lafferty PM. Injuries to the ankle syndesmosis. J Bone Joint Surg Am 2014;96:603-13. https://doi.org/10.2106/JBJS.M.00094

3.    Lubberts B, van Dijk PAD, Donovan N, van Dijk CN, Calder JD. Stable and unstable grade II syndesmotic injuries require different treatment strategies and vary in functional outcomes: a systematic review. J ISAKOS 2016;1(4):192-7. https://doi.org/10.1136/jisakos-2015-000026

4.    Clanton TO, Whitlow SR, Williams BT, Liechti DJ, Backus JD, Dornan GJ, et al. Biomechanical comparison of 3 current ankle syndesmosis repair techniques. Foot Ankle Int 2017;38(2):200-7. https://doi.org/10.1177/1071100716666278

5.    Zhang P, Liang Y, He J, Fang Y, Chen P, Wang J. A systematic review of suture-button versus syndesmotic screw in the treatment of distal tibiofibular syndesmosis injury. BMC Musculoskelet Disord 2017;18(1):286-90. https://doi.org/10.1186/s12891-017-1645-7

6.    Boyd B, Doty J, Kluemper Ch, Kadakia A. Anatomic risk to the neurovascular structures with a medially based all-inside syndesmosis suture button technique. J Foot Ankle Surg 2020;59:95-9. https://doi.org/10.1053/j.jfas.2019.07.016

7.    Willmott H, Singh B, David L. Outcome and complications of treatment of ankle diastasis with tightrope fixation. Injury 2009;40(11):1204-6. https://doi.org/10.1016/j.injury.2009.05.008

8.    Storey P, Gadd R, Blundell C, Davies M. Complications of suture button ankle syndesmosis stabilization with modifications of surgical technique. Foot Ankle Int 2012;33(9):717-21. https://doi.org/10.3113/FAI.2012.0717

9.    Kuhn S, Appelmann P, Mehler D, Pairon P, Rommens P. Retrograde tibial nailing: a minimally invasive and biomechanically superior alternative to angle-stable plate osteosynthesis in distal tibia fractures. J Orthop Surg Res 2014;9:35-43. https://doi.org/10.1186/1749-799X-9-35

10. Kaiser PB, Cronin P, Stenquist DS, Miller CP, Velasco BT, Kwon JY. Getting the starting point right prevention of skiving and fibular cortical breach during suture button placement for syndesmotic ankle injuries. Foot Ankle Spec 2020;13(4):351-5. https://doi.org/10.1177/1938640020914679

 

 

ORCID de P. Salonia: https://orcid.org/0000-0002-3241-3622            

ORCID de F. Barrera Oro: https://orcid.org/0000-0001-5995-7083

ORCID de D. Gabas: https://orcid.org/0000-0003-3768-9801

ORCID de E. D. Sperone: https://orcid.org/0000-0001-5028-9584

ORCID de G. Gotter: https://orcid.org/0000-0001-6156-0261

                                                                                                                                     

Recibido el 3-7-2023. Aceptado luego de la evaluación el 3-11-2023 Dr. Marcelo Rio  marcelowrio@yahoo.com.ar   https://orcid.org/0000-0001-7339-5558

 

Cómo citar este artículo: Rio M, Salonia P, Gabas D, Gotter G, Barrera Oro F, Sperone ED. Fractura de tibia como complicación del uso de un dispositivo de fijación elástica en la sindesmosis. Rev Asoc Argent Ortop Traumatol 2024;89(2):158-163. https://doi.org/10.15417/issn.1852-7434.2024.89.2.1790

 

 

Información del artículo

Identificación: https://doi.org/10.15417/issn.1852-7434.2024.89.2.1790

Fecha de publicación: April, 2024

Conflicto de intereses: Los autores no declaran conflictos de intereses.

Copyright: © 2024, Revista de la Asociación Argentina de Ortopedia y Traumatología.

Licencia: Este artículo está bajo una Licencia Creative Commons Atribución-No Comercial-Compartir Obras Derivadas Igual 4.0 Internacional. (CC-BY-NC-SA 4.0)