INSTRUCCIÓN ORTOPÉDICA DE POSGRADO - IMÁGENES

 

Resolución del caso

 

Rodrigo Re

Servicio de Diagnóstico por Imágenes, Jefe del Área Osteoarticular/Musculoesquelético, Intervencionismo, Sanatorio Allende, Córdoba, Argentina

 

Presentación del caso en la página 267.

 

DIAGNÓSTICO: Tumor de células gigantes.

 

DISCUSIÓN

La resonancia magnética con medio de contraste sirvió para definir la lesión y el proceso inflamatorio en las partes blandas (Figura 3).

 

 

La tomografía computarizada (Figura 4) reveló una lesión que adelgaza la cortical y, en algunos sectores, la rompe.

 

 

Con la información de los estudios, el traumatólogo de cabecera y los médicos del Comité de Tumores Musculoesqueléticos deciden la toma de una biopsia guiada por tomografía (Figura 5) y la estadificación con una tomografía de tórax, que transcurrieron sin inconvenientes. El paciente nunca tuvo pérdida de peso ni alteración de la masa muscular.

 

 

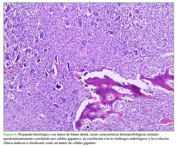
El estudio de anatomía patológica informó que los cortes mostraron un tumor constituido predominantemente por numerosas células gigantes multinucleadas de tipo osteoclásticas entremezcladas en sectores con células fusadas mononucleares. Se reconoció un foco de proliferación fusocelular de disposición verticilada, en el cual se distinguieron macrófagos de apariencia espumosa (Figura 6).

 

 

Con el diagnóstico de tumor de células gigantes sin lesión a distancia, se plantearon las posibilidades de neoadyuvancia con posterior cirugía o cirugía amplia con colocación de relleno de hueso de banco y autólogo de cresta.

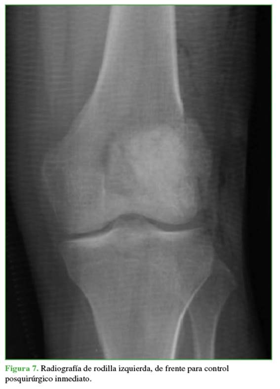
Se realizó una cirugía de curetaje con relleno de hueso de banco y autólogo de cresta, con la que se obtuvieron buenos resultados (Figura 7).

 

 

DIAGNÓSTICO

Con todos estos hallazgos se llegó al diagnóstico de tumor de células gigantes. Se trata de un tumor óseo generalmente benigno, formado por dos hojas de células mononucleares ovaladas intercaladas con células gigantes. Este tumor rara vez es maligno (5% de todos los tumores de células gigantes). Se origina en la metáfisis, con posible extensión hacia la epífisis. Compromete, en orden de frecuencia, el fémur distal, la tibia proximal y el radio distal.

Se manifiesta con signos y síntomas, como dolor, inflamación, limitación de movimientos y fractura patológica (5-10%). La incidencia máxima es a los 20-50 años (80%). Existe un ligero predominio en el sexo femenino (1,5:1) y la tasa de recidiva es elevada tras la resección marginal (25%). Se prefiere la resección amplia.

En las radiografías, se observa como una lesión lítica, excéntrica, con origen en la metáfisis. Los bordes geográficos tienen una zona de transición estrecha, sin margen escleroso y con adelgazamiento de la cortical. En la tomografía computarizada, se confirma el adelgazamiento cortical con penetración.

En la resonancia magnética, las imágenes en secuencias potenciadas en T1muestran una intensidad de señal de baja a intermedia, no homogénea. En secuencias sensibles a líquidos, la intensidad de señal es alta, no homogénea. Tras la inyección del medio de contraste, se puede ver un realce heterogéneo.

En los preparados histológicos, se debe tener en cuenta la clasificación de  Campanacci:

I: Radiología e histología con baja agresividad.

II: Radiología con agresividad y con periostio intacto. Histología benigna.

III:       Crecimiento agresivo y masa de tejidos blandos tanto en los estudios radiológicos como en la histología. Los diagnósticos diferenciales más frecuentes son: condroblastoma (Figura 8), quiste óseo aneurismático (Figura 9) y osteosarcoma de tipo telangiectásico.

 

 

 

Dr. Rodrigo Re rodrigo_re@hotmail.com https://orcid.org/0000-0001-7382-9459

 

Cómo citar este artículo: Re R. Instrucción Ortopédica de Posgrado – Imágenes. Resolución del caso. Rev Asoc Argent Ortop Traumatol 2023;88(3):369-374. https://doi.org/10.15417/issn.1852-7434.2023.88.3.1748

 

 

Información del artículo

Identificación: https://doi.org/10.15417/issn.1852-7434.2023.88.3.1748

Fecha de publicación: Junio, 2023

Copyright: © 2023, Revista de la Asociación Argentina de Ortopedia y Traumatología.

Licencia: Este artículo está bajo una Licencia Creative Commons Atribución-No Comercial-Compartir Obras Derivadas Igual 4.0 Internacional. (CC-BY-NC-SA 4.0)