INSTRUCCIÓN ORTOPÉDICA DE POSGRADO - IMÁGENES

 

Presentación del caso

 

Rodrigo Re

Servicio de Diagnóstico por Imágenes, Jefe del Área Osteoarticular/Musculoesquelético - Intervencionismo, Sanatorio Allende, Córdoba, Argentina

 

Resolución en la página 369.

 

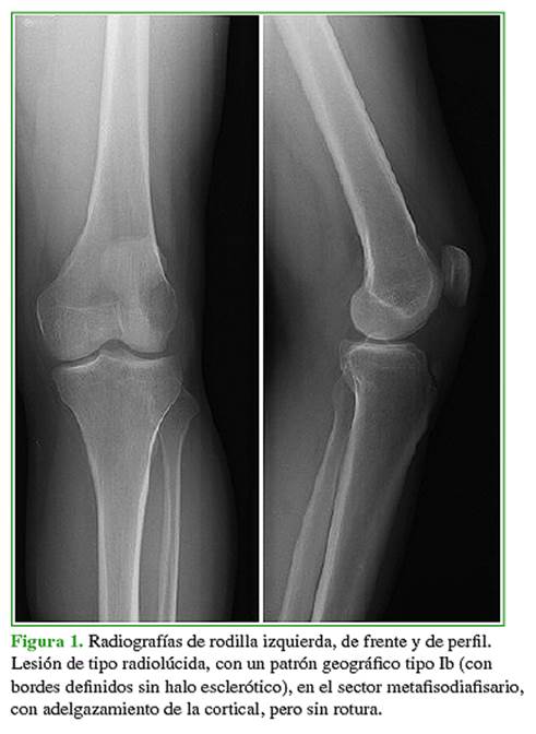
Hombre de 36 años que consulta por gonalgia izquierda luego de la actividad física, sin un antecedente de trauma. No refiere dolor durante las maniobras dinámicas ni palpatorias. Se solicitan radiografías de rodilla izquierda, de frente y de perfil, y se completa la evaluación con una resonancia magnética sin medio de contraste.

 

HallazgoS e interpretación de los estudios por imágenes

En las radiografías de rodilla izquierda, de frente y de perfil, se visualiza una lesión radiolúcida, con un patrón de tipo geográfico, de bordes definidos, pero sin halo esclerótico, en íntimo contacto con la cortical externa en el sector metafisodiafisario distal del fémur (Figura 1).

 

 

En la resonancia magnética de rodilla izquierda, se puede observar edema óseo en el cóndilo femoral externo, con compromiso de los sectores metafisario y epifisario. También se visualiza una lesión hipointensa en la secuencia potenciada en T1 (Figura 2A) y ligeramente heterogénea en secuencias sensibles a los líquidos, con algunos tabiques en su interior (Figura 2B).

 

 

Se le indica al paciente reposo deportivo y analgésicos. Se plantea el caso en el Comité de Tumores Musculoesqueléticos.

El paciente acude a una nueva consulta y se le solicitan una resonancia magnética con medio de contraste y una tomografía computarizada.

 

 

Dr. Rodrigo Re rodrigo_re@hotmail.com https://orcid.org/0000-0001-7382-9459

 

Cómo citar este artículo: Re R. Instrucción Ortopédica de Posgrado - Imágenes. Presentación del caso. Rev Asoc Argent Ortop Traumatol 2023;88(3):267-268. https://doi.org/10.15417/issn.1852-7434.2023.88.3.1747

 

 

Información del artículo

Identificación: https://doi.org/10.15417/issn.1852-7434.2023.88.3.1747

Fecha de publicación: Junio, 2023

Conflicto de intereses: El autor no declara conflictos de intereses.

Copyright: © 2023, Revista de la Asociación Argentina de Ortopedia y Traumatología.

Licencia: Este artículo está bajo una Licencia Creative Commons Atribución-No Comercial-Compartir Obras Derivadas Igual 4.0 Internacional. (CC-BY-NC-SA 4.0)