INSTRUCCIÓN ORTOPÉDICA DE POSGRADO - IMÁGENES

 

Resolución del caso

 

Rodrigo Re,* Santiago L. Iglesias,** Bartolomé L. Allende**

*Servicio de Diagnóstico por Imágenes, Área Osteoarticular/Musculoesquelético - Intervencionismo, Sanatorio Allende, Córdoba, Argentina **Servicio de Ortopedia y Traumatología, Sanatorio Allende, Córdoba, Argentina

 

Presentación del caso en la página 130.

 

DIAGNÓSTICO: Sarcoidosis extrapulmonar.

 

DISCUSIÓN

En la resonancia magnética de cadera derecha (Figura 3), se visualizó una lesión de aspecto infiltrativo a nivel del hueso ilíaco, en el techo acetabular, heterogénea, hipointensa en la secuencia potenciada en T1 e hiperintensa en la secuencia potenciada en T2, con discreta hiperseñal en las secuencias de difusión, asociada a adelgazamiento de la cortical. Se acompañaba de derrame articular a nivel coxofemoral, de señal heterogénea, con distensión capsular.

 

 

 

 

 

Con estos hallazgos radiológicos y ante la sospecha de un proceso neoproliferativo, se solicitaron otros estudios por imágenes y análisis bioquímicos.

Las ecografías tocoginecológica y mamaria no revelaron particularidades. La mamografía y los análisis completos con antígeno carcinoembrionario, CA15.3 y fosfatasa alcalina eran normales.

La evaluación también incluyó una tomografía por emisión de positrones (Figura 4) que mostró una lesión en el lóbulo pulmonar derecho superior, con tractos fibrosos y bronquiectasias asociadas con hipermetabolismo glucídico (SUVmáx. 4,2). Además, se visualizó una lesión osteolítica con disrupción de la cortical e intenso hipermetabolismo glucídico en el sector anterosuperior del acetábulo derecho (SUVmáx. 14,2). Se acompañaba de hipermetabolismo de morfología anular rodeando la cabeza femoral, que mantenía su esfericidad, lo que sugiere una patología capsular. En el músculo obturador externo, entre el isquion y el macizo trocantérico, se observó una imagen hipodensa hipermetabólica de 30 mm (SUVmáx 11).

 

 

 

 

 

La paciente refirió que había tenido COVID-19 cuatro meses antes. En el ámbito laboral, tenía contacto estrecho con pacientes que presentaban síntomas respiratorios altos.

Debido a los hallazgos en la resonancia magnética y la tomografía por emisión de positrones, se decidió tomar una biopsia de la lesión acetabular guiada por tomografía (Figura 5).

 

 

 

 

 

En el estudio anatomopatológico, se observó una muestra con estructuras trabeculares fragmentadas que, en sectores, tenían una apariencia desvitalizada. No había criterios de malignidad.

Con estos resultados, los médicos del comité de tumores decidieron solicitar una evaluación pulmonar debido a las lesiones visualizadas en la tomografía por emisión de positrones.

La paciente fue revaluada en el Servicio de Neumonología, negó antecedentes sistémicos y no fumaba. Ante el diagnóstico de COVID-19 y la imagen de la tomografía por emisión de positrones, se solicitaron una prueba funcional respiratoria y una radiografía de tórax.

En la prueba funcional, la paciente tenía un patrón restrictivo y la radiografía de tórax reveló una opacidad alveolar en el lóbulo superior derecho.

Con los resultados de la evaluación respiratoria, se decidió completar los estudios con una tomografía computarizada de tórax con contraste que mostró una condensación con trayectos lineales densos y broncograma aéreo, nodulillos subpleurales con un patrón en árbol en brote (Figura 6).

 

 

 

 

 

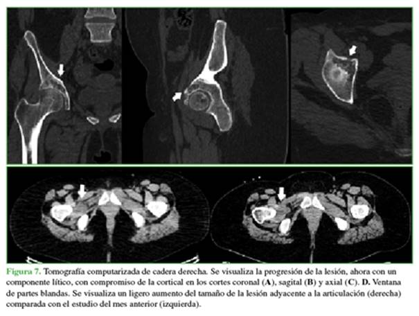
Tras descartar un cuadro respiratorio agudo y un proceso neoplásico en la cadera, se realizó una interconsulta con el Servicio de Reumatología. Se solicitó una nueva evaluación de la cadera con una tomografía (Figura 7).

 

 

 

 

 

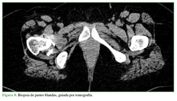
Ante el aumento del componente de partes blandas que rodea el acetábulo, se procedió a tomar una nueva biopsia del plano de los obturadores (Figura 8), con muestras para bacteriología y anatomía patológica.

 

 

 

 

 

El estudio bacteriológico fue negativo y el anatomopatológico indicó una sinovitis crónica con granulomas de tipo sarcoidótico.

La escasa respuesta al tratamiento médico llevó a indicar un reemplazo total de cadera con limpieza y toma de biopsia intraquirúrgica (Figura 9). Se confirmó el diagnóstico de sinovitis granulomatosa crónica.

 

 

 

 

 

 

DIAGNÓSTICO

Con todos estos hallazgos se diagnostica sarcoidosis musculoesquelética.

La sarcoidosis es una enfermedad multisistémica, inflamatoria, granulomatosa y de causa desconocida, más frecuente en adultos jóvenes (de entre 35 y 50 años). Hay un ligero predominio en el sexo femenino. Clínicamente se puede presentar como sarcoidosis pulmonar, con adenopatías hiliares bilaterales (90%), o sarcoidosis extrapulmonar; también puede afectar, en orden de frecuencia, la piel, los ojos y el sistema musculoesquelético (Tabla).

 

 

 

 

 

El diagnóstico requiere detectar un granuloma no caseificante y presentaciones compatibles después de excluir otras causas identificables. Remite en forma espontánea.

El tratamiento consiste en glucocorticoides o medicamentos biológicos.

Los diagnósticos diferenciales más frecuentes son procesos neoplásicos (Figura 10), infecciones u otros procesos granulomatosos (tuberculosis).

 

 

 

 

 

 

ORCID de S. L. Iglesias: https://orcid.org/0000-0002-1823-0416

ORCID de B. L. Allende: https://orcid.org/0000-0003-2757-4381

 

Dr. Rodrigo Re rodrigo_re@hotmail.com https://orcid.org/0000-0001-7382-9459

 

Cómo citar este artículo: Re R, Iglesias SL, Allende BL. Instrucción Ortopédica de Posgrado – Imágenes. Resolución del caso. Rev Asoc Argent Ortop Traumatol 2023;88(2):257-263. https://doi.org/10.15417/issn.1852-7434.2023.88.2.1731

 

 

Información del artículo

Identificación: https://doi.org/10.15417/issn.1852-7434.2023.88.2.1731

Fecha de publicación: Abril, 2023

Copyright: © 2023, Revista de la Asociación Argentina de Ortopedia y Traumatología.

Licencia: Este artículo está bajo una Licencia Creative Commons Atribución-No Comercial-Compartir Obras Derivadas Igual 4.0 Internacional. (CC-BY-NC-SA 4.0)