INSTRUCCIÓN ORTOPÉDICA DE POSGRADO - IMÁGENES

 

Presentación del caso

 

Rodrigo Re,* Santiago L. Iglesias,** Bartolomé L. Allende**

*Servicio de Diagnóstico por Imágenes, Área Osteoarticular/Musculoesquelético - Intervencionismo, Sanatorio Allende, Córdoba, Argentina **Servicio de Ortopedia y Traumatología, Sanatorio Allende, Córdoba, Argentina

 

Resolución en la página 257.

 

Mujer de 28 años, oriunda de La Rioja, de profesión enfermera de una Unidad de Terapia Intensiva. Consulta por coxalgia derecha progresiva de un año de evolución. Refiere limitación al caminar y que últimamente debe perma-necer en reposo. Fue diagnosticada con síndrome de fricción acetabular y la respuesta al tratamiento analgésico fue pobre. Le habían recomendado una artroscopia por lo que acudió a nuestra institución.

En la consulta, refiere dolor progresivo más intenso, con mucha dificultad para la marcha. Durante el examen físico, se detecta dolor a los movimientos activos y pasivos. No se palpan tumoraciones y no refiere antecedente de trauma.

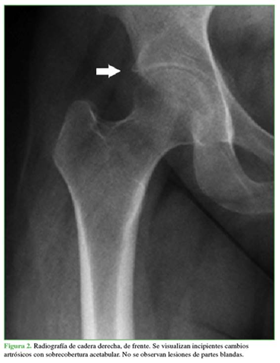
Se solicitan radiografías panorámica de pelvis (Figura 1) y de cadera derecha, de frente (Figura 2).

 

 

 

 

 

 

 

Hallazgos e interpretación de los estudios por imágenes

Las radiografías panorámica de pelvis y de cadera derecha, de frente muestran incipientes cambios artrósicos con mínima sobrecobertura acetabular. No se visualizan lesiones líticas ni blásticas.

Debido a la persistencia del dolor se completan los estudios por imágenes con una resonancia magnética de cadera derecha.

 

 

ORCID de S. L. Iglesias: https://orcid.org/0000-0002-1823-0416

ORCID de B. L. Allende: https://orcid.org/0000-0003-2757-4381

 

Dr. Rodrigo Re  rodrigo_re@hotmail.com https://orcid.org/0000-0001-7382-9459

 

Cómo citar este artículo: Re R, Iglesias SL, Allende BL. Instrucción Ortopédica de Posgrado - Imágenes. Presentación del caso. Rev Asoc Argent Ortop Traumatol 2023;88(2):130-131. https://doi.org/10.15417/issn.1852-7434.2023.88.2.1730

 

 

Información del artículo

Identificación: https://doi.org/10.15417/issn.1852-7434.2023.88.2.1730

Fecha de publicación: Abril, 2023

Conflicto de intereses: Los autores no declaran conflictos de intereses.

Copyright: © 2023, Revista de la Asociación Argentina de Ortopedia y Traumatología.

Licencia: Este artículo está bajo una Licencia Creative Commons Atribución-No Comercial-Compartir Obras Derivadas Igual 4.0 Internacional. (CC-BY-NC-SA 4.0)