PRESENTACIÓN DE CASOS

 

Fractura por avulsión de la tuberosidad anterior de la tibia en pacientes pediátricos. Reporte de un caso

 

Fabián P. Caruso, Diego González, Danny Muñoz, Facundo Moyano, Santiago Falco

Servicio de Ortopedia y Traumatología, Hospital Interzonal General de Agudos “Eva Perón”, San Martín, Buenos Aires, Argentina

 

RESUMEN

Introducción: Las epifisiólisis de la tuberosidad anterior de la tibia en adolescentes representan el 1% de las lesiones fisarias y el 3% de las fracturas de la tibia proximal, y pueden comprometer la fisis; por lo tanto, ameritan un diagnóstico y un tratamiento correctos para evitar complicaciones. El objetivo de este artículo es comunicar un caso clínico, compararlo con casos similares publicados, analizar las diferencias y, sobre la base de la experiencia, llegar a una conclusión para su resolución. Presentamos a un varón de 13 años que consultó tras sufrir un traumatismo directo en la rodilla derecha, durante la carrera en la práctica deportiva, un mes atrás. La radiografía mostró epifisiólisis por avulsión de la tuberosidad anterior de la tibia (Ogden IIIA y Jones III), por lo que fue sometido a reducción abierta y fijación. Como la recuperación y el retorno a la actividad habitual fueron rápidos, se tomaron un par radiográfico para el diagnóstico y una tomografía para la planificación quirúrgica. Conclusión: Si bien no hay un consenso sobre el diagnóstico y el tratamiento por la baja cantidad de casos publicados, es conveniente sospechar este cuadro en pacientes jóvenes que sufren un traumatismo en la rodilla que limita la extensión.

Palabras clave: Paciente pediátrico; rodilla; avulsión; tuberosidad anterior de la tibia; osteosíntesis; tendón rotuliano.

Nivel de Evidencia: IV

 

Anterior TibialTubercle Avulsion Fracture in Pediatric Patients. Case Report

 

ABSTRACT

Epiphysiolysis of the anterior tibial tubercle in adolescents accounts for 1% of physeal injuries and 3% of proximal tibial fractures, and it may involve the physis; therefore, they require a proper diagnosis and treatment to avoid complications. Objective: To report a clinical case, compare it with similar published cases, examine the differences, and, based on our experience, arrive at a resolution. We present a13-year-old male who consulted after suffering direct trauma to his right knee while running in sports practice one month earlier. Radiography revealed epiphysiolysis due to avulsion of the anterior tibial tubercle (Odgen IIIA and Jones III), thus the patient underwent open reduction and internal fixation with two partially-threaded cannulated screws and washers. A plaster cast was placed and removed after six weeks to begin rehabilitation. Because healing and return to regular activity were quick, AP and lateral radiographs were obtained for diagnosis and a CT scan for surgery planning. Then, open reduction and internal fixation with two cannulated screws surrounding the physis was performed, although the patellar tendon was explored first since it had a higher risk of invagination within the fracture line. Conclusion: Although there is no consensus on diagnosis and treatment due to the small number of reported cases of this injury, which is increasing due to the growing popularity of sports among young people, it is advisable to suspect it in young patients who sustain knee injuries with extension limitation.

Keywords: Pediatric patient; knee; tibial tubercle avulsion; osteosynthesis; patellar tendon.

Level of Evidence: IV

 

INTRODUCCIÓN

Las epifisiólisis de la tuberosidad anterior de la tibia (TAT) en adolescentes representan el 1% de las lesiones fisarias y el 3% de las fracturas de la tibia proximal.1 La fisiopatología de este tipo de fracturas está directamente relacionada con el patrón de osificación de la rodilla. La fisis de la TAT que se continúa con la meseta tibial es más vulnerable a fracturarse entre los 13 y 16 años de edad, ya que el cartílago se cierra de posterior hacia anterior. La tibia proximal cuenta con dos centros de osificación. El principal se localiza en la fisis de la tibia proximal, y el secundario, a nivel del tubérculo anterior. El cierre de estos se inicia de posterior a anterior y de proximal a distal, el centro de osificación de la tuberosidad anterior es el último en cerrarse.2 Es fundamental conocer los diagnósticos diferenciales y las posibles formas de tratamiento para la avulsión de la TAT en adolescentes, ya que, según publicaciones, es una afección poco común, pero que está aumentando debido a que la práctica deportiva crece cada vez más en los jóvenes. Las fracturas de la TAT en adolescentes son lesiones características de la infancia, comprometen directamente la fisis, y ameritan un diagnóstico oportuno y un tratamiento óptimo, a fin de evitar complicaciones en el crecimiento, genu recurvatum, pérdida de la flexo-extensión, rótula alta y osteonecrosis (infrecuente).

 

Mecanismo del trauma

1.    Despegue para salto, se produce en la última fase con la rodilla en extensión, por lo cual se fractura solo la tuberosidad.

2.    Durante el aterrizaje en un salto, la rodilla está en flexión, por lo cual se fracturan ambos.

3.    Extensión contra resistencia. Causa avulsión de la tuberosidad.

4.    Flexión forzada. Causa avulsión de la tuberosidad.3

Las clasificaciones más utilizadas son:

Clasificación de  Ogden (Figura 1):

-    Tipo IA: Fractura a través del centro de osificación de la tuberosidad.

-    Tipo IB: Como el tipo IA, pero con desplazamiento.

-    Tipo IIA: Fractura-separación de toda la tuberosidad.

-    Tipo IIB: Como el tipo IIA, pero con conminución del centro de osificación.

-    Tipo IIIA: Fractura que se extiende hasta la articulación femorotibial con algún desplazamiento.

-    Tipo IIIB: Como el tipo IIIA con conminución (tipo I incruento) (tipos II y III quirúrgico).4

 (tipos IA, IB y IIA: tratamiento incruento), (tipos IIB, IIIA y IIIB: tratamiento quirúrgico)

 

 

Clasificación de Watson-Jones (Figura 2):

-   Tipo I: Fractura-separación en el centro de osificación secundario del tubérculo al mismo nivel del borde posterior de la inserción del tendón rotuliano.

-    Tipo II: Fractura-separación en la unión de los centros de osificación primaria y secundaria de la epífisis tibial proximal. Entre el tubérculo y la epífisis.

-    Tipo III: Lesión tipo III de Salter y Harris. La línea de separación sigue un trayecto ascendente por el centro de osificación primario de la epífisis tibial proximal, afectando la articulación.

- Tipos A y B. De acuerdo con el grado de desplazamiento y fragmentación.

 

 

OBJETIVO

El objetivo de este artículo es dar a conocer la presentación, el diagnóstico y el tratamiento de un caso clínico, compararlo con casos similares publicados, analizar las diferencias y llegar a una conclusión sobre la base de la experiencia obtenida para su resolución.

 

CASO CLÍNICO

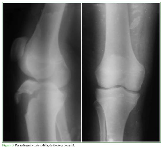
Varón de 13 años que refirió haber sufrido un traumatismo directo en la rodilla derecha durante la carrera en la práctica deportiva (fútbol), de un mes de evolución. En el examen físico, se observó una marcha antiálgica, asistida con muletas e inmovilizador de rodilla, edema en la región de la TAT, rótula alta y se detectó dolor tanto a la palpación como a la flexo-extensión. Un par radiográfico (Figura 3) y una comparativa contralateral constataron la avulsión de la TAT, tipo IIIA de la clasificación de Ogden. La tomografía computarizada mostró la avulsión de la TAT con un trazo que se extendía hasta la superficie articular de la tibia, con desplazamiento.

 

 

La cirugía consistió en una reducción abierta más osteosíntesis con colocación de dos tornillos paralelos sin afectar la fisis (uno en la región de la metáfisis y otro en la región de la epífisis). Durante la operación, se constató la lesión del tendón rotuliano con invaginación de las fibras distales en el foco fracturario, se continuó con su liberación y se realizó una sutura a nivel del periostio, en la región anterior de la tibia proximal (Figuras 4 y 5), se procedió a la reducción y osteosíntesis con dos tornillos paralelos de 3,5 mm y la colocación de arandela, ubicados en la epífisis y la metáfisis (Figuras 6-8). Se le colocó un yeso cruropedio en extensión sin carga por seis semanas para luego continuar con el tratamiento de rehabilitación (Figura 9).

Tres meses después de la cirugía, el paciente realizaba carga completa durante la marcha y la carrera, las radiografías no mostraron cambios ni se observaron complicaciones, el arco de movilidad era de 0º a 120º de flexo-extensión. A los seis meses de la operación, reanudó su práctica deportiva con una flexo-extensión de 0° a 135°, lo que mostró un buen arco de movilidad, sin dolor ni molestias.

 

 

 

 

 

 

 

 

DISCUSIÓN

Se han planteado distintos tipos de cirugía para las lesiones que afectan la articulación (tipo III de Ogden). Agrelo y cols. sugieren que la reducción abierta y fijación interna con dos tornillos paralelos es un tratamiento adecuado que no causa complicaciones, luego de un seguimiento de seis meses.3 Pesl y Havranek recomiendan la reducción cerrada y la fijación interna mediante tornillos canulados percutáneos como primera línea de tratamiento para las lesiones tipo III de Ogden; en caso de apertura fisaria aún demostrable, sugieren la colocación de clavijas (tasa de éxito >80%),5 pero obviando la exploración del tendón rotuliano. Bauer y cols. aconsejan tener mucho cuidado con este tipo de lesiones y recomiendan buscar lesiones asociadas. Estos autores protegen la cicatrización del ligamento rotuliano mediante un cerclaje y evitan el uso de arandelas para la osteosíntesis.6 Nikiforidis y cols. recomiendan también el refuerzo con cerclaje, porque la fijación permitirá una rehabilitación más temprana y más fácil, pero requerirá de un segundo tiempo quirúrgico para extraer el material.7 Medus y Maestu también optaron por la colocación de cerclaje y la inmovilización hasta la tercera semana y continuar con carga parcial a la cuarta semana, alcanzando 90° de flexión en la octava semana, para proseguir con el retiro del cerclaje y una nueva intervención a las 12 semanas.8

Casas-López y cols. recomiendan siempre la exploración del mecanismo extensor, descartar la interposición de tejidos blandos u otras estructuras que se puedan involucrar en las lesiones tipos II y III, también refieren que el uso de clavijas o tornillos no depende de la edad del paciente, sino del tipo de lesión y las dimensiones de los fragmentos, con la finalidad de prevenir desplazamientos. La fijación y la colocación correctas del material serán cruciales en caso de un potencial de crecimiento en dicha fisis de la tibia proximal.9

El tipo de material que utilizamos al igual que otros autores (Balmat y cols.)10 son dos tornillos canulados con rosca incompleta más arandela, colocados en paralelo, uno en la epífisis y otro en la metáfisis salteando la fisis, explorando previamente el trazo fracturario por presentar interposición del tendón rotuliano sin la colocación de cerclaje, a diferencia de Nikiforidis y cols. que utilizan ese método de cerclaje, rehabilitación precoz sin inmovilización y marcha sin carga asistida con muletas hasta la sexta semana para continuar con el retiro del cerclaje en la octava semana, y necesitan un segundo tiempo quirúrgico para el retiro del material, lo que demora el retorno al deporte y provoca casos con atrofia de cuádriceps. También tenemos diferencias con Pesl y Havranek, quienes realizan una primera fijación interna con colocación de tornillos percutáneos como primer intento obviando la exploración tendinosa; en este caso, el tiempo de inmovilización, la carga completa y el retorno a la actividad deportiva fueron más rápidos, iguales a los descritos por Agrelo y cols., y Casas-López y cols. En nuestro caso, no fue posible realizar una resonancia magnética como sugieren Tuca y Pineda11 por no disponer de un resonador y porque el paciente no tuvo síntomas meniscales en los controles clínicos.

Este autor realizó un seguimiento de 5 años, y constató un rango de movilidad totalmente recuperado entre las semanas 4 y 8, los pacientes en evaluación retornaron a sus actividades a los tres meses, pero todos tuvieron atrofia cuadricipital. Medus y Maestu también optaron por la colocación de cerclaje e inmovilización con yeso hasta la tercera semana, a continuación, retiro del material, y carga parcial en la cuarta semana, alcanzando una movilidad de 90° de flexión en la octava semana, para continuar con retiro del cerclaje y nueva intervención quirúrgica a las 12 semanas.

 

Conclusiones

El fútbol es uno de los deportes más practicados en la Argentina; por lo tanto, llama la atención la baja incidencia de estos casos tanto reportados como atendidos en la práctica diaria. Sin embargo, es posible que sea la principal causa en nuestro país. En otros países donde el deporte principal es el básquetbol o el atletismo, como salto en alto y salto en largo, estos se llevan la mayor proporción de casos. Si bien no hay un consenso sobre el diagnóstico y el tratamiento por la baja cantidad de casos publicados, la práctica deportiva creciente en jóvenes hace aumentar la cantidad de casos; por lo tanto, es conveniente sospechar este cuadro en jóvenes que sufren un traumatismo en la rodilla que limita la extensión.

 

BIBLIOGRAFÍA

 

1.     Delgado Martínez AD. Cirugía ortopédica y traumatología, 2ª ed., Buenos Aires: Editorial Médica Panamericana; 2012, p. 633-4.

2.     Levy E, Garabano G, Robador N, del Sel H. Fracturas de la tuberosidad anterior de la tibia en adolescentes con esqueleto inmaduro. Rev Asoc Argent Ortop Traumatol 2012;77:39-44. Disponible en: https://www.aaot.org.ar/revista/2012/n1/5.pdf

3.     Agrelo D, Apecechea Cairone DJ, Chima Garcia JP. Fractura avulsión bilateral de tuberosidad anterior de la tibia. Rev Asoc Argent Traumatol Deporte 2021;8(1):1-8. Disponible en: https://revista.aatd.org.ar/wp-content/uploads/2022/01/07-REVISTA-AATD-2021-Fractura-tibial.pdf

4.     Ogden JA, Tross RB, Murphy MJ. Fractures of the tibial tuberosity in adolescents. J Bone Joint Surg Am 1980;62(2):205-15. PMID: 7358751

5.     Pesl T, Havranek P. Acute tibial tubercle avulsion fractures in children: selective use of the closed reduction and internal fixation method. J Child Orthop 2008;2(5):353-6. https://doi.org/10.1007/s11832-008-0126-9

6.     Bauer T, Milet A, Odent T, Padovani J-P, Glorion C. Fracture-avulsion de la tubérosité tibiale antérieure chez l’adolescent: À propos de 22 cas et revue de la literature. Rev Chir Orthop Reparatrice Appar Mot 2005;91(8):758-67. https://doi.org/10.1016/S0035-1040(05)84487-3

7.     Nikiforidis PA, Babis GC, Triantafillopoulos IK, Themistocleous GS, Nikolopoulos K. Avulsion fractures of the tibial tuberosity in adolescent athletes treated by internal fixation and tension band wiring. Knee Surg Sports Traumatol Arthrosc 2004;12(4):271-6. https://doi.org/10.1007/s00167-003-0417-0

8.     Medus M, Maestu R. Avulsión de la tuberosidad tibial anterior combinada con desinserción del tendón rotuliano en paciente con fisis abierta. Resolución quirúrgica. Reporte de un caso. Artroscopia 2022;29(1):33-8. Disponible en: https://www.revistaartroscopia.com/index.php/revista/article/view/191

9.     Casas-López M, Romero-Ibarra J, Orivio-Gallegos JS. Tratamiento de la tuberosidad anterior de la tibia por avulsión en adolescentes. Acta Ortopédica Mexicana 2013;27(3):160-9. Disponible en: https://www.medigraphic.com/pdfs/ortope/or-2013/or133e.pdf

10.  Balmat P, Vichard P, Pem R. The treatment of avulsion fractures of the tibial tuberosity in adolescent athletes. Sports Med 1990,9(5):311-6. https://doi.org/10.2165/00007256-199009050-00005

11.  Tuca M, Pineda T. Lesiones traumáticas de rodilla en niños y adolescentes. Revista Médica Clínica Las Condes 2021;32(3):319-28. https://doi.org/10.1016/j.rmclc.2021.01.009

 

 

ORCID de D. González: https://orcid.org/0000-0002-4761-4275         

ORCID de F. Moyano: https://orcid.org/0009-0002-7558-0698

ORCID de D. Muñoz: https://orcid.org/0009-0004-4154-6517

ORCID de S. Falco: https://orcid.org/0009-0004-8524-9207

 

Recibido el 19-2-2023. Aceptado luego de la evaluación el 14-11-2023 Dr. Fabián P. Caruso Fabianpabloc@gmail.com https://orcid.org/0009-0000-7210-2725

 

Cómo citar este artículo: Caruso FP, González D, Muñoz D, Moyano F, Falco S. Fractura por avulsión de la tuberosidad anterior de la tibia en pacientes pediátricos. Reporte de un caso. Rev Asoc Argent Ortop Traumatol 2024;89(3):290-298. https://doi.org/10.15417/issn.1852-7434.2024.89.3.1729

 

 

Información del artículo

Identificación: https://doi.org/10.15417/issn.1852-7434.2024.89.3.1729

Fecha de publicación: Junio, 2024

Conflicto de intereses: Los autores no declaran conflictos de intereses.

Copyright: © 2024, Revista de la Asociación Argentina de Ortopedia y Traumatología.

Licencia: Este artículo está bajo una Licencia Creative Commons Atribución-No Comercial-Compartir Obras Derivadas Igual 4.0 Internacional. (CC-BY-NC-SA 4.0)