INVESTIGACIÓN BÁSICA

 

Planificación basada en imágenes de resonancia magnética para la cirugía de columna de acceso lateral. ¿Es un procedimiento seguro? Estudio descriptivo de distribución de grandes vasos y psoas

 

Máximo de Zavalía,* Inés Pierro,** Juan J. Mazzeo** Enrique A. Gobbi*

*Unidad de Cirugía de Columna, Servicio de Ortopedia y Traumatología, Hospital Universitario CEMIC, Ciudad Autónoma de Buenos Aires, Argentina

**Unidad de Cirugía de Columna, Servicio de Ortopedia y Traumatología, Hospital Alemán, Ciudad Autónoma de Buenos Aires, Argentina

 

RESUMEN

Objetivo: Realizar una descripción anatómica de las estructuras involucradas en el abordaje para la técnica de abordaje lateral (fusión intersomática lateral extrema) basada en imágenes de resonancia magnética en decúbito dorsal. Materiales y Métodos: Se llevó a cabo un estudio observacional, descriptivo, retrospectivo, de 200 pacientes evaluados con resonancia magnética de columna lumbosacra. Se tomaron mediciones en cortes axiales para determinar el posicionamiento de la vena cava, la arteria aorta, y el ancho y la altura del músculo psoas a fin de delimitar zonas de seguridad y de riesgo. Resultados: La muestra final incluyó a 164 pacientes con una edad media de 50.4 años en los hombres y 50.6 años en las mujeres. La arteria aorta abdominal en su recorrido hasta el espacio L3-L4 se ubica predominantemente del lado izquierdo en la zona A y, al llegar al espacio L4-L5, en el 95,7% de los pacientes, se observó la bifurcación de las arterias ilíacas. La vena cava mostró una tendencia de localización hacia el lado derecho y su bifurcación a nivel de L4-L5. Conclusiones: La planificación preoperatoria y la delimitación de la zona segura representan un método sencillo para evaluar la posición relativa de las estructuras anatómicas neurales y vasculares en relación con el área quirúrgica. Este método puede ayudar a los cirujanos de columna a prevenir complicaciones perioperatorias.

Palabras clave: Fusión intersomática lateral extrema; grandes vasos; resonancia magnética; psoas.

Nivel de Evidencia: IV

 

MRI-based Planning for an Extreme Lateral Interbody Fusion Procedure. Is It Safe? An MRI Study Describing the Statistical Distribution of Safe and Danger Zones

 

ABSTRACT

Objective: The objective of this study is to provide an anatomical description of the structures involved in the extreme lateral interbody fusion (XLIF) technique based on MRI images in the dorsal decubitus position. Materials and Methods: An observational, descriptive, and retrospective study of 200 patients treated at our institution was conducted using MRI images of the lumbosacral spine. The vena cava, aorta artery, and the width and height of the psoas muscle were measured in axial images to establish the safe and danger zones. Results: The final sample consisted of 164 patients, with a mean age of 50.4 for males and 50.6 for females. The abdominal aorta artery is located predominantly on the left side zone A on its path to the L3-L4 space. When it reaches the L4-L5 area, the iliac arteries bifurcate in 95.7% of the patients. The vena cava tends to be located on the right side, bifurcating at the L4-L5 level. Conclusions: Preoperative planning and safe zone delimitation are simple methods for determining the relative position of neural and vascular anatomical structures in relation to the surgical area. This technique can help spine surgeons prevent perioperative complications.

Keywords: XLIF; big blood vessels; lateral interbody fusion; nuclear magnetic resonance; psoas.

Level of Evidence: IV

 

INTRODUCCIÓN

En la actualidad, la cirugía de columna pasa por un momento de transición entre lo que llamamos cirugía convencional y cirugía mínimamente invasiva de columna. Hay ventajas y desventajas cuando se trata de optar por uno u otro tipo de procedimiento y está claro que el camino nos está llevando a ser cada vez menos agresivos e invasivos, pero también no podemos ignorar los problemas que tienen varios centros de columna vertebral en todo el mundo, donde, en muchos lugares, no disponen de la tecnología necesaria para realizar este tipo de cirugías de forma segura.

El objetivo principal de la cirugía espinal es disminuir el dolor y corregir el déficit neurológico si existiera, lo que se busca con los métodos mínimamente invasivos es cambiar a un objetivo más ambicioso que apunta a mejorar la calidad de vida a través de tres acciones importantes: preservar las estructuras vertebrales anatómicas, preservar la musculatura paravertebral y preservar la funcionalidad del segmento. Para lograr estos objetivos, surgieron tres conceptos: a) cirugía mínima; b) cirugía de acceso mínimo; c) cirugía para preservar la movilidad. Estos tres conceptos están cubiertos por un único término: cirugía mínimamente invasiva de columna.1

En 2006, Ozgur y cols. describen un nuevo tipo de cirugía mínimamente invasiva llamada fusión intersomática lateral extrema (extreme lateral interbody fusion, XLIF).2 El abordaje XLIF pasa a través del espacio retroperitoneal, separa el psoas mayor entre el tercio medio y el tercio anterior, y llega a los espacios intervertebrales lumbares. Es fundamental elegir, con precisión, el punto en el que se ingresa a través del psoas. Esta precisión es necesaria para llegar al espacio intervertebral lumbar y evitar la lesión de los grandes vasos y los nervios. Si el sitio de punción es demasiado anterior, se puede lesionar a los grandes vasos. Sin embargo, si el sitio de punción es demasiado posterior, se puede dañar a las raíces nerviosas lumbares que han descendido dentro del músculo psoas.3-10 Además, el ancho del psoas en la ubicación del punto de ingreso también influye en la seguridad del procedimiento. Si el psoas es muy ancho, el peritoneo se disecciona fácilmente, el espacio retroperitoneal es más grande, la cirugía es más segura y se reduce el riesgo de lesiones peritoneales y de víscera abdominal.11 Sin embargo, la distribución de los vasos grandes abdominales y los músculos psoas principales de cada espacio intervertebral lumbar es inconsistente.12-15

Hay pocas publicaciones que describen la anatomía usando imágenes por resonancia magnética (RM),12,16 y la muestra es pequeña.

Nuestro objetivo fue describir la distribución estadística de las estructuras importantes con el fin de proponer zonas de seguridad y zonas de riesgo para el enfoque XLIF utilizando un tamaño de muestra más grande que el del resto de las estadísticas publicadas.

 

MATERIALES Y MÉTODOS

Diseño del estudio

Se elaboró un protocolo de investigación que fue presentado y avalado por el comité de docencia e investigación del Hospital Alemán de Buenos Aires, Argentina.

Se realizó un análisis descriptivo, retrospectivo, observacional. Se incluyó a 200 pacientes >18 años de ambos sexos, tratados en nuestra institución, a quienes se les realizó una RM, cualquiera sea el motivo de consulta, entre

2017 y 2020. La muestra fue elegida al azar hasta alcanzar 200 participantes. Los criterios de exclusión fueron: escoliosis (ángulo de Cobb >10º), espondilolistesis (grado >1 de la clasificación de Meyerding), fractura vertebral y lesiones oncológicas. Los pacientes fueron contactados telefónicamente y se les solicitó su aprobación para ser incluidos en el estudio.

La RM de columna lumbar se realizó con equipos Philips© 1,5 Tesla y General Electric© 3 Tesla. Se tomaron medidas en secciones axiales de los segmentos L1-L2, L2-L3, L3-L4 y L4-L5, en las que se determinó la posición de la vena cava, la arteria aorta, el ancho y la altura de los psoas en zona de cada segmento de ambos lados. Se registró también si la posición del psoas era demasiado anterior (signo de Mickey Mouse o the rising psoas).16

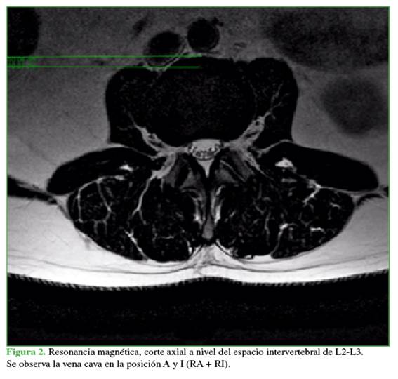
Se utilizó el método Moro17 que divide el espacio intervertebral en seis zonas que van de anterior a posterior (Figuras 1 y 2). El aspecto anterior del margen anterior del cuerpo vertebral fue definido como zona A; el aspecto posterior del margen posterior, como zona P; las zonas I, II, III, IV fueron distribuidas igualmente entre el margen anterior y el margen posterior, del anterior al posterior. La distribución de los grandes vasos abdominales en cada zona de cada espacio intervertebral lumbar fue analizada sobre la base de las imágenes de RM; el ancho del psoas en cada zona de cada espacio intervertebral lumbar de ambos lados se midió con el programa del análisis de imagen (PACS Carestream©). El espesor del psoas se definió como la distancia entre los puntos medios de los márgenes interior y exterior del psoas mayor en cada zona (Figura 3).

 

 

 

RESULTADOS

Se analizaron 200 RM de columna lumbar que se realizaron en nuestra institución. Se excluyó a 36 pacientes por cumplir con alguno de los criterios de exclusión (tuberculosis, espondilolistesis, escoliosis y fractura vertebral). La muestra final fue de 164 pacientes, 87 mujeres y 77 hombres. La media de la edad era de 50.4 años en los hombres y de 50.6 años en las mujeres (Figura 4).

 

Distribución de la aorta abdominal

La arteria aorta abdominal en su recorrido por los niveles L1-L2, L2-L3 y L3-L4 se ubica predominantemente en el lado izquierdo, en la zona A (n = 159, n = 157 y n = 137, respectivamente). Al llegar a L4-L5, el 95,7% (n = 157) de los pacientes presenta la bifurcación a las arterias ilíacas en dicho nivel (Figura 5).

 

Distribución de la vena cava inferior

La vena cava en su recorrido por el nivel L1-L2 muestra una tendencia del 67,7% a la localización en el lado derecho, en la zona A (n = 111) y del 32,3% en el lado derecho, en la zona A y zona I (n = 53). En L2-L3, se observa una distribución del 51,2% (n = 84) a la derecha, entre la zona A y la zona I, mientras que el 48,8% (n = 80) se localiza en el lado derecho, en la zona A. En L3-L4, el 68,3% (n = 112) se encuentra en la derecha, entre la zona A y la zona I; el 28,7% (n = 47), en la derecha, en la zona A; el 1,8% (n = 3) presenta la bifurcación en dicho nivel y el 1,2% (n = 2) está en el lado derecho, en la zona I. Por último, en L4-L5, el 73,2% (n = 120) presenta la bifurcación en dicho nivel; el 21,3% (n = 35), en el lado derecho, entre la zona A y la zona I; en el 2,4% de los pacientes (n = 4), se localiza a la vena cava en el lado derecho en la zona A; en el 2,4% (n = 4), en el lado derecho, entre la zona I y la zona II; en el 0,6% (n = 1) se ubica a la vena cava en el lado derecho, en la zona I (Figura 6).

 

 

 

 

Distribución del psoas mayor derecho

Se evaluó el grosor del músculo psoas derecho en cada nivel y en las zonas I, II, III y IV. En L1-L2, las mujeres presentaron una media de 0,24 mm para la zona I; 2,94 mm para la zona II; 6,46 mm para la zona III y 11,05 mm para la zona IV. En L2-L3, se observó una media de 1,81 mm para la zona I; 9,87 mm para la zona II; 13,85 mm para la zona III y 17,04 mm para la zona IV. En L3-L4, las medias fueron: 6,44 mm; 18,31 mm; 22,98 mm y 25,19 mm, respectivamente. Por último, en L4-L5, las medias fueron: 21,47 mm; 30,81 mm; 31,93 mm y 26,03 mm, respectivamente (Tabla 1).

 

 

En L1-L2, los hombres presentaron una media de 1,30 mm para la zona I; 6,73 mm para la zona II; 11,07 mm para la zona III y 15,55 mm para la zona IV. En L2-L3, se observó una media de 8,55 mm para la zona I; 18,27 mm para la zona II; 21,63 mm para la zona III y 24,37 mm para la zona IV. En L3-L4, las medias fueron: 21,22 mm; 30,31 mm; 32,70 mm y 31,94 mm, respectivamente. Por último, en L4-L5, las medias fueron: 37,96 mm; 41,16 mm; 37,29 mm y 27,05 mm, respectivamente (Tabla 2).

 

 

Distribución del psoas mayor izquierdo

Se evaluó el grosor del músculo psoas izquierdo en cada nivel y en las zonas I, II, III y IV. En el nivel L1-L2 de la zona I, las mujeres presentaron una media de 0,41 mm; 4,12 mm para la zona II; 7,32 mm para la zona III y 10,51 mm para la zona IV. En L2-L3, se observó una media de 2,67 mm para la zona I; 10,56 mm para la zona II; 14,08 mm para la zona III y 16,76 mm para la zona IV. En L3-L4, la media fue de 8,80 mm para la zona I; 18,78 mm para la zona II; 22,33 mm para la zona III y 24,06 mm para la zona IV. Por último, en L4-L5, la media fue de 23,89 mm para la zona I; 30,26 mm para la zona II; 30,83 mm para la zona III y 24,49 mm para la zona IV (Tabla 3).

 

 

En el nivel L1-L2 de la zona I, los hombres presentaron una media de 1,87 mm; 8,31 mm para la zona II; 12,18 mm para la zona III y 15,92 mm para la zona IV. En L2-L3, se observó una media de 9,57 mm para la zona I; 18,68 mm para la zona II; 21,68 mm para la zona III y 24,38 mm para la zona IV. En L3-L4, se observó una media de 22,62 mm para la zona I; 30,56 mm para la zona II; 32,26 mm para la zona III y 30,77 mm para la zona IV. Por último, en L4-L5, la media fue de 39,24 mm para la zona I; 40,94 mm para la zona II; 36,59 mm para la zona III y 25,65 mm para la zona IV (Tabla 4).

 

 

Los resultados de ambos sexos se muestran en la Figura 7.

 

 

Signo de Mickey Mouse o rising psoas sign

El 8,5% de los pacientes evaluados tenía el signo de Mickey Mouse.

 

DISCUSIÓN

Este estudio tuvo como objetivo la descripción mediante imágenes de RM del posicionamiento de las estructuras nobles a la hora de realizar una cirugía espinal por vía lateral (XLIF) y correlacionarlas con los corredores de seguridad en los abordajes laterales.

El plexo lumbar se conforma por las ramas anteriores de L1-L4 en íntima relación con el músculo psoas ilíaco. La zona de seguridad para la vía lateral se encuentra entre dichas raíces. Existen múltiples variantes anatómicas, tanto en relación con la morfología y la ubicación de dicho músculo, tal como el signo de Mickey Mouse o rising psoas sign, como así también del plexo lumbar y sus ramas. El músculo psoas mayor se eleva lateral o anterior al nivel de L4-L5 separándose de la parte más posterior del espacio discal, desprotegiendo, de esta manera, al plexo lumbar, lo que representa una contraindicación para la cirugía de acceso lateral y, por lo tanto, es imprescindible realizar una correcta planificación prequirúrgica con el fin de evitar complicaciones. Esta variante anatómica se denomina signo de Mickey Mouse o rising psoas sign.18

Moro publicó estudios anatómicos basados en la cirugía de columna por vía laparoscópica peritoneal posterior, cuyos resultados revelaron que el plexo lumbar está localizado a nivel de la zona P en el espacio intervertebral L1-L2, en la zona IV a nivel de L2-L3, en la zona III a nivel de L3-L4 y L4-L5.6 Esto es muy útil para evaluar en qué zonas existen menos probabilidades de ocasionar una lesión neurológica. De esta manera, para accesos de XLIF a niveles de L1-L2 y L2-L3, se recomienda que se realicen en las zonas II o III. En cambio, en L4-L5 se recomienda separar el psoas mayor en la zona II donde los nervios ascienden en la parte superior de la masa muscular y así disminuir el riesgo de lesión. En L3-L4, el plexo pasa oblicuamente a través del psoas mayor en dirección de posterior a anterior. Debido a esto aquellos abordajes a este nivel plantean un mayor riesgo de lesión, si se efectúan en la zona II.

Sobre la base de las mediciones obtenidas en este estudio, establecimos zonas de seguridad según el abordaje sea derecho o izquierdo. En los abordajes derechos, según la distribución de la vena cava, no se producen lesiones de esta en las zonas II/III/IV/P, en todos los niveles lumbares. Si estos datos se combinan con la distribución del plexo según Moro, la zona de seguridad a nivel de L1-L2 se ubica en la zona II-IV; en L2-L3, en la zona II-III, a en L3-L4 y L4-L5, en la zona II.

Según el espesor del psoas, en los hombres, encontramos que, en L1-L2 y L2-L3, su grosor es mayor en la zona IV, mientras que, en L3-L4 es en la zona III y, en L4-L5, en la zona II. En las mujeres, en cambio, en los niveles L1-L2, L2-L3 y L3-L4, el grosor del psoas es mayor en la zona IV y, en L4-L5, en la zona III.

En cuanto a los abordajes izquierdos, de acuerdo con la distribución de la arteria aorta, los sitios de seguridad se encuentran a nivel de L1-L2, L2-L3 y L3-L4 en la zona II, mientras que, en L4-L5, está en la zona I. Si estos datos se combinan con la distribución del plexo según Moro, la zona de seguridad en L1-L2 se ubica en la zona II-IV; en L2-L3, en la zona II-III; en L3-L4, en la zona II y, en L4-L5, en la zona I-II.

Sobre la base del espesor del psoas; en los hombres, encontramos que, en L1-L2, L2-L3, su grosor es mayor en la zona IV, mientras que, en L3-L4, es en la zona III y, en L4-L5, en la zona I-II. En las mujeres, al igual que del lado derecho; el grosor es mayor en L1-L2, L2-L3 y L3-L4, en la zona IV, y en L4-L5, en la zona III.

Las limitaciones de este estudio fueron que varios de los pacientes incluidos ya se habían sometido a una cirugía de columna, lo que condujo a un posible cambio en la anatomía normal. Por otro lado, se realizaron búsquedas en las RM en el sistema de base de datos de nuestro centro, ya que las RM se realizaron por algún motivo y no por el solo hecho de colaborar con el estudio. Asimismo, existen variables que pueden hacer modificar la anatomía según distintas situaciones en un mismo paciente. Buckland y cols. describen mecanismos compensatorios, como la flexión del tronco y el aumento de la cifosis torácica en pacientes con estenosis del canal leve y moderada,19 lo que no se ha tenido en cuenta al incluir pacientes en el estudio. Finalmente, como la posición del paciente al realizar la técnica de acceso lateral es en decúbito lateral con las caderas y rodillas en flexión, esto origina cambios tanto en la vasculatura como de ambos psoas, lo cual es una relación anatómica distinta de la que ocurre con el paciente en decúbito dorsal durante el procedimiento.

 

CONCLUSIONES

Podemos afirmar que conocer la anatomía y el uso de vías de acceso seguras para la colocación de implantes a través del acceso lateral es de suma importancia, ya que la mayoría de las complicaciones en estas cirugías derivan de ello. El principal desafío que plantea este tipo de intervenciones es tener una visualización directa de las estructuras neurovasculares, lo que puede llevar a dañarlas, razón por la cual es fundamental la planificación preoperatoria con los estudios correspondientes, dadas las variaciones anatómicas del segmento; y así poder realizar un seguro y correcto procedimiento.

 

BIBLIOGRAFÍA

 

1.     Soriano-Sánchez JA, Baabor-Aqueveque M, Silva-Morales F. Philosophy and concepts of modern spine surgery. Acta Neurochir Suppl 2011;108:23-31. https://doi.org/10.1007/978-3-211-99370-5_5

2.     Ozgur BM, Aryan HE, Pimenta L, Taylor WR. Extreme lateral interbody fusion (XLIF): a novel surgical technique for anterior lumbar interbody fusion. Spine J 2006;6(4):435-43. https://doi.org/10.1016/j.spinee.2005.08.012

3.     Tubbs RI, Gabel B, Jeyamohan S, Moisi M, Chapman JR, Hanscom RD, et al. Relationship of the lumbar plexus branches to the lumbar spine: anatomical study with application to lateral approaches. Spine J 2017;17(7):1012-6. https://doi.org/10.1016/j.spinee.2017.03.011

4.     Mandelli C, Colombo EV, Sicuri GM, Mortini P. Lumbar plexus nervous distortion in XLIF® approach: an anatomic study. Eur Spine J 2016;25(12):4155-63. https://doi.org/10.1007/s00586-016-4617-y

5.     Dakwar E, Vale FL, Uribe JS. Trajectory of the main sensory and motor branches of the lumbar plexus outside the psoas muscle related to the lateral retroperitoneal transpsoas approach. J Neurosurg Spine 2011;14(2):290-5. https://doi.org/10.3171/2010.10.SPINE10395

6.     Park DK, Lee MJ, Lin EL, Singh K, An HS, Phillips FM. The relationship of intrapsoas nerves during a transpsoas approach to the lumbar spine: anatomic study. J Spinal Disord Tech 2010;23(4):223-8. https://doi.org/10.1097/BSD.0b013e3181a9d540

7.     Banagan K, Gelb D, Poelstra K, Ludwig S. Anatomic mapping of lumbar nerve roots during a direct lateral transpsoas approach to the spine: a cadaveric study. Spine (Phila PA 1976) 2011;36(11):E687-E691. https://doi.org/10.1097/BRS.0b013e3181ec5911

8.     Davis TT, Bae HW, Mok JM, Rasouli A, Delamarter RB. Lumbar plexus anatomy within the psoas muscle: implications for the transpsoas lateral approach to the L4-L5 disc. J Bone Joint Surg Am 2011;93(16):1482-7. https://doi.org/10.2106/JBJS.J.00962

9.     Guerin P, Obeid I, Bourghli A, Masquefa T, Luc S, Gille O, et al. The lumbosacral plexus: anatomic considerations for minimally invasive retroperitoneal transpsoas approach. Surg Radiol Anat 2012;34(2):151-7. https://doi.org/10.1007/s00276-011-0881-z

10.  He L, Kang Z, Tang WJ, Rong LM. A MRI study of lumbar plexus with respect to the lateral transpsoas approach to the lumbar spine. Eur Spine J 2015;24(11):2538-45. https://doi.org/10.1007/s00586-015-3847-8

11.  Walker CT, Farber SH, Cole TS, Xu DS, Godzik J, Whiting AC, et al. Complications for minimally invasive lateral interbody arthrodesis: a systematic review and meta-analysis comparing prepsoas and transpsoas approaches. J Neurosurg Spine 2019;30(4):417-550. https://doi.org/10.3171/2018.9.SPINE18800

12.  Hu WK, He SS, Zhang SC, Liu YB, Li M, Hou TS, et al. An MRI study of psoas major and abdominal large vessels with respect to the X/DLIF approach. Eur Spine J 2011;20(4):557-62. https://doi.org/10.1007/s00586-010-1609-1

13.  Gary MF, Wang MY. Approaching a deformity from the concavity versus convexity. En: Wang M, Sama A, Uribe J (eds). Lateral access minimally invasive spine surgery. Berlin: Springer Verlag; 2016:297-304.

14.  Lu S, Xu YQ, Ding ZH, Wang YL, Shi JH, Zhong SZ. Clinical anatomic study of the lower lumbar anterolateral vein: with respect to retroperitoneal endoscopic surgery. Chin J Traumatol 2008;11(2):110-3. https://doi.org/10.1016/s1008-1275(08)60023-1

15.  Hamid M, Toussaint PJ, Delmas V, Gillot C, Coutaux A, Plaisant O. Anatomical and radiological evidence for the iliolumbar vein as an inferior lumbar venous system. Clin Anat 2007;20(5):545-52. https://doi.org/10.1002/ca.20489

16.  Marchi L, Pimenta L, Oliveira L, Fortti F, Amaral R, Abdala N. Distance between great vessels and the lumbar spine: MRI study for anterior longitudinal ligament release through a lateral approach. J Neurol Surg A Cent Eur Neurosurg 2017;78(2):144-53. https://doi.org/10.1055/s-0036-1592144

17.  Moro T, Kikuchi S, Konno S, Yaginuma H. An anatomic study of the lumbar plexus with respect to retroperitoneal endoscopic surgery. Spine (Phila Pa 1976) 2003;28(5):423-8 (discussion 427-8). https://doi.org/10.1097/01.BRS.0000049226.87064.3B

18.  Voyadzis JM, Felbaum D, Rhee J. The rising psoas sign: an analysis of preoperative imaging characteristics of aborted minimally invasive lateral interbody fusions at L4-5. J Neurosurg Spine 2014;20(5):531-7. https://doi.org/10.3171/2014.1.SPINE13153

19.  Buckland AJ, Vira S, Oren JH, Lafage R, Harris BY, Spiegel MA, et al. When is compensation for lumbar spinal stenosis a clinical sagittal plane deformity? Spine J 2016;16:971-81. https://doi.org/10.1016/j.spinee.2016.03.047

 

 

––––––––––––––––––

Conflicto de intereses: El doctor Enrique Gobbi recibe honorarios como disertante de Nuvasive®. El resto de los autores no declara conflictos de intereses.

 

ORCID de I. Pierro: https://orcid.org/0000-0002-6614-6921

ORCID de E. A. Gobbi: https://orcid.org/0000-0001-7310-6170

ORCID de J. J. Mazzeo: https://orcid.org/0000-0001-5531-2624

 

Recibido el 3-1-2023. Aceptado luego de la evaluación el 9-3-2023 Dr. Máximo de Zavalía maximodezavalia@gmail.com https://orcid.org/0000-0002-4022-4100

 

Cómo citar este artículo: de Zavalía M, Pierro I, Mazzeo JJ, Gobbi EA. Planificación basada en resonancia magnética para la cirugía de columna de acceso lateral. ¿Es un procedimiento seguro? Estudio descriptivo de distribución de grandes vasos y psoas. Rev Asoc Argent Ortop Traumatol 2023;88(3):351-361. https://doi.org/10.15417/issn.1852-7434.2023.88.3.1702

 

 

Información del artículo

Identificación: https://doi.org/10.15417/issn.1852-7434.2023.88.3.1702

Fecha de publicación: Junio, 2023

Copyright: © 2023, Revista de la Asociación Argentina de Ortopedia y Traumatología.

Licencia: Este artículo está bajo una Licencia Creative Commons Atribución-No Comercial-Compartir Obras Derivadas Igual 4.0 Internacional. (CC-BY-NC-SA 4.0)