INVESTIGACIÓN CLÍNICA

 

Epidemiología y manejo de las fracturas de fémur por arma de fuego. Nuestra experiencia

 

Fernando J. Taboadela, Daniela Mantella Gorosito, Florencia Borre, Fabián Narváez

Servicio de Ortopedia y Traumatología, Hospital Interzonal General de Agudos “Prof. Dr. Luis Güemes”, Haedo, Buenos Aires, Argentina

 

RESUMEN

Introducción: Cada vez con más frecuencia, la población civil sufre lesiones por proyectil de arma de fuego. El 57% de los pacientes presenta compromiso óseo y la fractura de fémur es la más común. La elevada incidencia y la ausencia de un protocolo estandarizado para su tratamiento motivaron este estudio. Materiales y Métodos: Estudio retrospectivo, descriptivo. Entre 2019 y 2021, se incluyeron pacientes con fracturas de fémur causadas por arma de fuego. Se analizaron las siguientes variables: región anatómica involucrada, clasificación, tratamiento y complicaciones. Resultados: La muestra incluyó a 35 pacientes, 25 (71,43%) con fracturas completas y 10 (28,57%), con fracturas incompletas. Según la localización, el fémur distal fue la zona más afectada (48,57%). Veintiséis pacientes fueron tratados mediante reducción y osteosíntesis y 9, de forma incruenta. Conclusiones: Recurrimos a una clasificación sencilla que divide a las fracturas en completas o incompletas. Todas las fracturas completas se consideraron inestables independientemente de su localización; y las incompletas, estables, salvo las del tercio proximal, donde es conveniente realizar una fijación profiláctica. Las fracturas diafisarias incompletas pueden tratarse de forma incruenta y todas las fracturas completas se trataron con reducción y osteosíntesis. El clavo endomedular es el método de elección para las fracturas en las zonas I y II. En la zona III, se requiere un análisis individualizado para cada patrón. Creemos que el manejo inicial y la correcta selección del implante según la zona afectada son factores determinantes para lograr resultados satisfactorios.

Palabras clave: Arma de fuego; fractura de fémur; epidemiología; clasificación.

Nivel de Evidencia: IV

 

Epidemiology and Management of Femoral Gunshot Fractures. Our Experience

 

ABSTRACT

Introduction: Gunshot injuries affect the civilian population with increasing frequency. 57% of the patients present bone compromise, with femur fractures being the most common. The lack of a standardized protocol for its treatment prompted the development of this study. Materials and Methods: A retrospective, descriptive study was conducted. Patients with femur fractures caused by firearms between 2019 and 2021 were included. The anatomical region, classification, treatment, and complications were analyzed. Results: Of a total of 35 patients, 25 (71.43%) had complete fractures and 10 (28.57%) had incomplete fractures. The distal femur was the most affected area (48.57%), according to the location. Reduction and osteosynthesis were used to treat 26 patients, with 9 being treated noninvasively. Conclusions: We used a simple classification system to categorize fractures as complete or incomplete. All complete ones were deemed unstable regardless of location, and all incomplete ones were deemed stable, with the exception of those in the proximal third, for which prophylactic fixation is advised. Incomplete shaft fractures can be treated noninvasively, but complete shaft fractures require reduction and osteosynthesis. For zone I and II fractures, the intramedullary nail is the preferred treatment. In zone III, an individualized analysis is required for each pattern. We believe that the initial management and the correct selection of the implant according to the affected area are decisive factors in achieving satisfactory outcomes.

Keywords: Firearm; femur fracture; epidemiology; classification.

Level of Evidence: IV

 

INTRODUCCIÓN

Cada vez es más frecuente que la población civil sufra lesiones por proyectil de arma de fuego y las principales causas son los conflictos colectivos, la violencia, la delincuencia o el terrorismo. Son más comunes en los hombres y el promedio de la edad es de 32 años, esto implica un impacto económico muy grande.1

El compromiso de las extremidades es habitual y el 57% de los pacientes que sufre lesiones no mortales por arma de fuego tiene compromiso óseo, y la fractura de fémur es la más frecuente.2

Para clasificar las fracturas de fémur por arma de fuego se utilizan sistemas universalmente aceptados. Al margen del tamaño de la herida, se incluyen en el tipo III de la clasificación de Gustilo y Anderson.3 Esta clasificación ha sido cuestionada, porque no contempla los daños ocasionados por el proyectil, ya que el principal factor pronóstico es la energía disipada a los tejidos. Por su parte, el sistema de clasificación propuesto por la Orthopaedic Trauma Association evalúa el compromiso de los tegumentos, el grado de contaminación, la lesión arterial y la pérdida ósea, generando un orden de gravedad de rango creciente. Sin embargo, aún no se ha determinado cuál es la forma ideal de usar este esquema y, en la actualidad, se usa solo junto con otras clasificaciones populares.4,5

El objetivo principal del tratamiento se basa en reducir, al mínimo, la probabilidad de complicaciones y restaurar la función de la extremidad afectada. A pesar de que las fracturas por arma de fuego son comunes, aún hay controversia sobre el manejo del tratamiento antibiótico profiláctico y muchos centros de trauma todavía no cuentan con protocolos establecidos.6

En la actualidad, el enclavado endomedular es el tratamiento definitivo de elección para las fracturas diafisarias en adultos, sus beneficios incluyen menor exposición y agresión a las partes blandas.7 Las fracturas supracondíleas con conminución metafisaria representan un desafío. A fin de determinar cuál es el mejor método de fijación se han realizado numerosos estudios biomecánicos para averiguar cuál es la configuración más estable.8 Cuando la fractura se acerca a las articulaciones vecinas, aumentan las opciones de tratamiento, así como también las complicaciones. Una fractura conminuta del cuello femoral por arma de fuego en un paciente joven es una lesión rara y potencialmente devastadora. La toxicidad del plomo y los contaminantes aumentarían el riesgo de seudoartrosis, necrosis avascular, artritis séptica y daños en la superficie articular.9

La alta incidencia de lesiones por disparos de arma de fuego en nuestro medio y la falta de un protocolo estandarizado para su tratamiento motivó este estudio.

Los objetivos de este estudio fueron analizar la epidemiología de las fracturas de fémur por arma de fuego, describir nuestro protocolo de tratamiento y comunicar los resultados obtenidos.

 

MATERIALES Y MÉTODOS

Se llevó a cabo un estudio retrospectivo, descriptivo entre 2019 y 2021 que incluyó a todos los pacientes que ingresaron en nuestro hospital con fracturas de fémur causadas por arma de fuego.

Se extrajeron de los registros de nuestro hospital las siguientes variables: edad, sexo, región anatómica involucrada, clasificación, tratamiento inicial y definitivo. También se analizaron las complicaciones: lesión vasculonerviosa asociada, osteomielitis, artritis séptica, seudoartrosis y rigidez articular.

La evaluación y el manejo ortopédico se realizaron luego de tratar los cuadros de peligro inmediato siguiendo los lineamientos del Advanced Trauma Life Support (ATLS) e incluyó la inspección sistemática de cada miembro y un examen neurovascular. Después de la evaluación inicial, el control de la hemorragia, la administración de la vacuna antitetánica y antibióticos profilácticos (cefazolina 2 g, cada 8 h más gentamicina 240 mg/día, durante 72 h), las heridas se cubren con apósitos estériles y se inmovilizan con férulas las extremidades lesionadas.

Se definió el “tiempo lesión-antibiótico” como el tiempo transcurrido desde la lesión inicial hasta la administración de la primera dosis de antibiótico. Se distribuyó a los pacientes en tres grupos según el momento de la primera dosis: grupo 1, dosis temprana, antes de los 30 min; grupo 2, dosis intermedia, entre los 30 y los 180 min, y grupo 3, dosis tardía, luego de los 180 min.

Tras el diagnóstico, mediante los exámenes clínico y radiológico, el fémur se dividió en tres zonas para enfatizar el riesgo del compromiso articular. La zona I (cadera en riesgo) incluye fracturas del fémur proximal al extremo distal del trocánter menor. La zona II (diáfisis femoral) se define como una fractura distal al extremo distal del trocánter menor y proximal a la unión diafisaria-metafisaria distal. La zona III (rodilla en riesgo) incluye fracturas por debajo de la unión diafisaria-metafisaria distal.

Para evaluar el compromiso óseo, las fracturas se clasificaron en completas o incompletas según la continuidad radiológica de las corticales. Cuando la trayectoria del proyectil dio como resultado la integridad de, al menos, una cortical, se denominaron fracturas incompletas. También se empleó la clasificación OTA/AO, pero no nos basamos en ella para definir la conducta terapéutica.

La tomografía computarizada solo se solicitó a los pacientes con patrones complejos para conseguir una mejor caracterización visuoespacial o valorar el compromiso articular.

Siguiendo los lineamientos del protocolo de nuestra institución para el manejo inicial de las fracturas expuestas, todos los pacientes fueron sometidos a una limpieza mecánico-quirúrgica, lavado profuso con solución fisiológica, desbridamiento superficial del tejido desvitalizado con cierre primario de la herida sin tensión y estabilización con fijador externo en caso de fracturas completas, restituyendo la longitud, alineación y rotación del miembro y así permitir un apropiado control de partes blandas. Esto constituyó uno de los pilares del tratamiento.

En los casos de contaminación extensa, evolución tórpida de la herida o signos de flogosis tempranos, se procedió a la exploración de la herida a las 48-72 h y a la toma de muestra para cultivo microbiológico.

Los principales factores considerados para seleccionar el tratamiento definitivo fueron: la localización anatómica en relación con la zona afectada, el tipo de fractura y la integridad de las corticales.

Las fracturas incompletas tratadas de forma incruenta requirieron un seguimiento estricto. Se indicó la carga parcial de peso a partir de los 45 días, según tolerancia, con controles radiológicos semanales durante el primer mes y luego cada 15 días hasta observar signos de consolidación ósea.

 

RESULTADOS

La muestra estaba conformada por 35 pacientes: 33 hombres (94,29%) y dos, mujeres (5,71%), con una media de la edad de 31.5 años (rango 16-59).

Teniendo en cuenta la clasificación de las fracturas, 25 (71,43%) eran completas y 10 (28,57%), incompletas (Figuras 1 y 2). Ocho (22,86%) tenían únicamente orificio de entrada y 27 (77,14%), orificio de salida asociado.

 

 

 

 

Según la localización, la lesión estaba ubicaba en la zona I, en tres pacientes (8,57%); en la zona II, en 15 pacientes (42,86%) y, en la zona III, en 17 casos (48,57%) (Figura 3). La distribución de las fracturas completas e incompletas en relación con la zona afectada se muestra en la Figura 4.

 

 

 

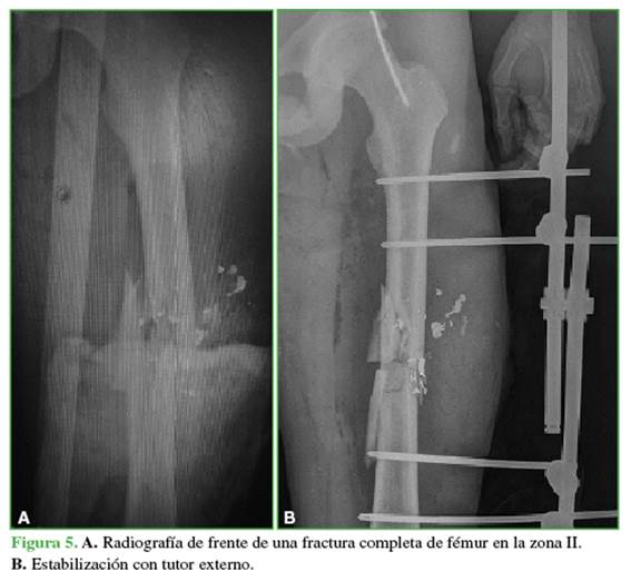
Con respecto al tratamiento inicial, los pacientes con fracturas completas (71,43%) fueron estabilizados con fijador externo (Figura 5).

A los pacientes con fracturas incompletas en la zona I (5,71%) se les indicó reposo absoluto y a aquellos cuya fractura correspondía a las zonas II o III (22,85%), inmovilización con valva de yeso cruropedio. En relación con el “tiempo lesión-antibiótico”, se administró una primera dosis temprana a 14 pacientes del grupo 1 (40%), 16 del grupo 2 (46%) y cinco del grupo 3 (14%).

 

 

En cuanto al tratamiento definitivo, todos los pacientes con fracturas completas fueron tratados mediante reducción y osteosíntesis, solo uno con fractura incompleta fue sometido a fijación profiláctica por la localización en la zona I.

Los métodos de fijación utilizados se distribuyeron de la siguiente forma: 19 (54,29%) con clavo endomedular (Figuras 6 y 7) y siete (20%) que comprometían a la zona III con placas anatómicas bloqueadas.

 

 

 

 

 

Se optó por el manejo incruento en nueve pacientes con fracturas incompletas (Figura 8).

 

 

Las complicaciones fueron: osteomielitis (1 caso; 2,86%), artritis séptica (1 caso; 2,86%), seudoartrosis (2 casos; 5,71%), un (2,86%) paciente con fractura completa en la zona III desarrolló una lesión vascular que requirió revascularización al ingreso. Una fractura tratada de forma incruenta con yeso cruropedio evolucionó con rigidez articular de la rodilla (Tabla).

La media de seguimiento fue de 15 semanas (rango 3-38), solo el 55% asistió a su control a los tres meses. El 45% restante tuvo un seguimiento medio de 8 semanas (rango 3-11).

 

 

DISCUSIÓN

El trauma balístico del sistema musculoesquelético representa un problema común y que se incrementa en la actualidad; sin embargo, es una lesión poco estudiada. Según los artículos publicados, el 91% de los pacientes son hombres jóvenes.10,11 En nuestro estudio, la media de la edad fue de 31.5 años y el 94,29% eran hombres.

Las lesiones ortopédicas más frecuentes son las fracturas de los huesos largos y están incluidas en el grado IIIA de la clasificación de Gustilo y Anderson, fracturas producidas por mecanismos de alta energía con adecuada cobertura. Dicha clasificación es sencilla, reproducible y adaptable a la población estudiada.3

La extensión del daño en las lesiones por arma de fuego depende de la distancia del objetivo, la velocidad de entrada y salida, las características y el calibre del proyectil. En la población civil, se producen, en gran medida, por armas de alta velocidad y bajo calibre.12 No obstante, estas determinan una gran variedad de lesiones, desde una fractura con gran compromiso óseo hasta una fractura parcial con continuidad de sus corticales. Nos encontramos con patrones fracturarios que no eran aplicables a la clasificación OTA/AO de forma íntegra, por lo que recurrimos a una clasificación sencilla descrita en 1984, por Smith y Wheatley13 quienes estudiaron las fracturas por arma de fuego y las dividieron en completas o incompletas.

En nuestro estudio, la mayoría de las fracturas incompletas correspondían a la metáfisis, las localizadas en la zona I fueron consideradas lesiones de riesgo o potencialmente inestables por el riesgo de colapso o extensión del trazo con posterior desplazamiento.14 Las fracturas completas representaron el patrón predominante en nuestro estudio (71,48%), lo que coincide con lo publicado por Nguyen y cols.15 y todas se consideraron inestables al margen de su localización.

En cuanto al manejo inicial de estas lesiones por arma de fuego de bajo calibre, Sathiyakumar y cols.16 recomiendan la antibioticoterapia profiláctica y el desbridamiento superficial de la herida en lugar del desbridamiento exhaustivo para prevenir el desarrollo de procesos infecciosos. También se ha demostrado que, en las fracturas Gustilo tipo IIIA, las tasas de infección son más bajas con el cierre primario de la herida que con el cierre tardío, 4% y 17,8%, respectivamente.17 Todos los pacientes de nuestra serie fueron tratados con desbridamiento superficial y cierre primario. Si se detectaba un alto grado de contaminación, mayor compromiso de partes blandas o evolución desfavorable de la herida, se procedía al desbridamiento quirúrgico profundo a las 48-72 h con toma de muestra para cultivo.

En las fracturas completas producidas por arma de fuego, debido a su alta energía, la estabilización es un principio básico de tratamiento. Por lo tanto, la fijación externa fue parte de nuestro manejo inicial. El método de estabilización definitiva se seleccionó sobre la base de la localización y el grado de compromiso e integridad de las corticales. Las fracturas incompletas del fémur proximal requieren una fijación profiláctica debido a los vectores de tensión o compresión que, en un futuro, probablemente resulten en la extensión del trazo de fractura.13

En nuestra serie, había tres fracturas del fémur proximal, dos de ellas eran incompletas, solo una fue tratada mediante estabilización profiláctica con clavo cefalomedular. El otro paciente fue tratado con reposo y descarga de peso por 45 días; en este caso, la demora en la disponibilidad del material quirúrgico representó una limitación para la elección del tratamiento. El fundamento para el tratamiento quirúrgico en estos pacientes consiste en realizar un procedimiento simple y permitir la carga de peso inmediata y prevenir un procedimiento futuro complejo en caso de colapso o desplazamiento de la fractura.

Las fracturas incompletas del tercio medio pueden tratarse de forma incruenta con un período de carga limitada.18 Los tres pacientes de nuestra serie fueron tratados mediante inmovilización con yeso cruropedio y descarga de peso. Todas las fracturas completas de la zona II fueron tratadas con reducción y osteosíntesis con enclavado endomedular acerrojado.

En la actualidad, el clavo endomedular retrógrado o anterógrado es el método de elección para la resolución de las fracturas de fémur por arma de fuego.19 En una revisión sistemática, se halló una tasa global del 0,18% de artritis séptica de rodilla posterior a la fijación con clavo endomedular retrógrado.20 El único caso con esta complicación fue un paciente con fractura supracondílea tratado con clavo endomedular retrógrado.

La tasa de falla del enclavado retrógrado en las fracturas del fémur distal alcanza el 38%, mientras que la del fracaso después de la osteosíntesis con placa LISS (less invasive stabilizing system) llega al 20%.21

El retraso de la consolidación y la seudoartrosis pueden relacionarse con la cantidad de material de bala retenido cerca del sitio de fractura, debido al efecto citotóxico del plomo.22 Creemos que se necesitan más estudios para demostrar que la eliminación de los fragmentos retenidos extrarticulares supera el riesgo de inducir un daño iatrogénico a las partes blandas. Nuestra conducta es retirar los restos de bala extrarticulares solo si están accesibles durante el desbridamiento superficial inicial, mientras que retiramos siempre los restos intrarticulares (cadera o rodilla), preferentemente por vía artroscópica.

De las dos fracturas que evolucionaron a seudoartrosis (5,71%), una correspondía a la zona II y otra, a la zona III, la primera fue tratada con fresado del canal y recambio de clavo por uno de mayor diámetro y se observaron signos radiográficos de consolidación a las 14 semanas, mientras que la segunda se trató inicialmente con clavo endomedular retrógrado como único método de fijación y posteriormente fue necesario adicionar una placa bloqueada durante la revisión quirúrgica para lograr la consolidación a las 18 semanas. Creemos que, en las fracturas de la zona III tratadas solo con clavo endomedular, un acerrojado distal insuficiente y no utilizar tornillos poste son factores determinantes en el resultado. No se detectaron restos de proyectil retenidos en las radiografías ni durante la cirugía, en ninguno de estos dos casos.

Las heridas por arma de fuego en las extremidades se asocian con una lesión vascular en el 10-17% de los casos.23 En nuestro estudio, la tasa fue del 2,86%, ya que nos limitamos a analizar solo las fracturas de fémur.

Por otro lado, la tasa de osteomielitis para las fracturas de fémur de alta energía Gustilo III oscila entre el 3,3% y el 4,2%.24 Se detectó un caso (2,86%) de osteomielitis aguda confirmado mediante el aislamiento de S. aureus resistente a meticilina en todas las muestras óseas tomadas durante la exploración de una herida con mala evolución. Se trató exitosamente con un clavo endomedular revestido con polimetilmetacrilato con vancomicina más antibioticoterapia por vía intravenosa dirigida.

En relación con el tiempo de administración del antibiótico y el desarrollo de complicaciones infecciosas (artritis séptica, 1 caso; osteomielitis, 1 caso), los pacientes pertenecían al grupo 2 y grupo 3, respectivamente.

Johnson y cols.25 refieren que los pacientes con heridas por arma de fuego no cumplen el seguimiento; en nuestro estudio, solo el 55% concurrió a su control a los tres meses. El 45% restante tuvo un seguimiento medio de dos meses (rango 3-11 semanas). Creemos que los principales factores asociados al seguimiento incompleto podrían ser la edad, la hospitalización corta y el incumplimiento de las indicaciones médicas en la población estudiada.

Las limitaciones de este estudio son su carácter retrospectivo y consideramos que la falta de continuidad en el seguimiento de estos pacientes dificultó el análisis de las complicaciones a mediano y largo plazo.

 

CONCLUSIONES

El 90% de los pacientes de nuestra serie tenía compromiso de las zonas II y III, por lo que la zona I fue una región infrecuente para este cuadro. Para las fracturas incompletas de esta zona es conveniente realizar una fijación profiláctica.

Los clavos endomedulares son la mejor opción para las fracturas completas en las zonas I y II, mientras que, en la zona III, se requiere un análisis individualizado de cada patrón para elegir el método de fijación.

Creemos que la administración temprana de antibióticos en el manejo inicial y la correcta selección del implante definitivo según la zona afectada son sustanciales para lograr buenos resultados.

 

BIBLIOGRAFÍA

 

1.     Pérez Ruiz SA, Matus Jiménez J. Factores de riesgo asociados a infección de fracturas expuestas por proyectil de arma de fuego. Acta Ortop Mex 2019;33(1):28-35. Disponible en: https://www.medigraphic.com/pdfs/ortope/or-2019/or191g.pdf

2.     Nguyen MP, Savakus JC, O’Donnell JA, Prayson NF, Reich MS, Golob Jr JF, et al. Infection rates and treatment of low velocity extremity gunshot injuries. J Orthop Trauma 2017;31(6):326-9. https://doi.org/10.1097/BOT.0000000000000827

3.     Gustilo RB, Merkow RL, Templeman D. The management of open fractures. J Bone Joint Surg 1990;72(2):299-304. PMID: 2406275

4.     Moye Elizalde GA, Ruiz Martínez F, Suarez Santamaría JJ, Ruiz Ramírez M, Reyes Gallardo A, Díaz Apodaca BA. Epidemiology of gunshot wounds at Ciudad Juárez, Chihuahua General Hospital. Acta Ortop Mex 2013;27(4):221-35. Disponible en: https://www.medigraphic.com/pdfs/ortope/or-2013/or134b.pdf

5.     Brenes Méndez M. Open fractures management. Revista Médica Sinergia 2020;5(4):e440. https://doi.org/10.31434/rms.v5i4.440

6.     Marecek GS, Earhart JS, Gardner MJ, Davis J, Merk BR. Surgeon preferences regarding antibiotic prophylaxis for ballistic fractures. Arch Orthop Trauma Surg 2016;136(6):751-4. https://doi.org/10.1007/s00402-016-2450-8

7.     Patel NM, Yoon RS, Cantlon MB, Koerner JD, Donegan DJ, Liporace FA. Intramedullary nailing of diaphyseal femur fractures secondary to gunshot wounds. J Orthop Trauma 2014;28(12):711-4. https://doi.org/10.1097/BOT.0000000000000124

8.     Assari S, Kaufmann A, Darvish K, Park J, Hawb J, Safadi F, et al. Biomechanical comparison of locked plating and spiral blade retrograde nailing of supracondylar femur fractures. Injury 2013;44(10):1340-5. https://doi.org/10.1016/j.injury.2013.04.016

9.     Georgiadis G M, Andrews KA, Redfern RE. Gunshot fracture of the femoral neck: Internal fixation and immediate proximal femoral valgus osteotomy: A case report. JBJS Case Connector 2021;11(3):e20. https://doi.org/10.2106/JBJS.CC.20.01009

10.  Held M, Engelmann E, Dunn R, Ahmad SS, Laubscher M, Keel MJB, et al. Gunshot induced injuries in orthopaedic trauma research. A bibliometric analysis of the most influential literature. Orthop Traumatol Surg Res 2017;103(5):801-7. https://doi.org/10.1016/j.otsr.2017.05.002

11.  Congiusta D, Oettinger JP, Merchant AM, Vosbikian M, Ahmed IH. Epidemiology of orthopaedic fractures due to firearms. J Clin Orthop Trauma 2020;12(1):45-9. https://doi.org/10.1016/j.jcot.2020.10.047

12.  Gugala Z, Lindsey RW. Classification of gunshot injuries in civilians. Clin Orthop Relat Res 2003;(408):65-81. https://doi.org/10.1097/00003086-200303000-00007

13.  Smith HW, Wheatley KK Jr. Biomechanics of femur fractures secondary to gunshot wounds. J Trauma 1984;24(11):970-7. https://doi.org/10.1097/00005373-198411000-00008

14.  Long WT, Chang W. Grading system for gunshot injuries to the femoral diaphysis in civilians. Clin Orthop Relat Res 2003;408:92-100. https://doi.org/10.1097/00003086-200303000-00010

15.  Nguyen MP, Prayson N, Vallier HA. Low-velocity gunshot injuries to the femur: What is the utility of stabilizing incomplete fractures? J Am Acad Orthop Surg 2019;27(18):685-9. https://doi.org/10.5435/JAAOS-D-17-00849

16.  Sathiyakumar V, Thakore RV, Stinner DJ, Obremskey WT, Ficke JR, Sethi MK. Gunshot-induced fractures of the extremities: a review of antibiotic and debridement practices. Curr Rev Musculoskelet Med 2015;8(3):276-89. https://doi.org/10.1007/s12178-015-9284-9

17.  Scharfenberger AV, Alabassi K, Smith S, Weber D, Dulai SK, Bergman JW, et al. Primary wound closure after open fracture: a prospective cohort study examining nonunion and deep infection. J Orthop Trauma 2017;31(3):121-6. https://doi.org/10.1097/BOT.0000000000000751

18.  Maqungo S, Kauta N, Held M, Mazibuko T, Keel MJB, Laubscher M, et al. Gunshot injuries to the lower extremities: Issues, controversies and algorithm of management. Injury 2020;51(7):1426-31. https://doi.org/10.1016/j.injury.2020.05.024

19.  Dougherty PlJ, Gherebeh P. Retrograde versus antegrade intramedullary nailing of gunshot diaphyseal femur fractures. Clin Orthop Relat Res 2013;471(12):3974-80. https://doi.org/10.1007/s11999-013-3058-8

20.  Papadokostakis C, Dimitriou R, Giannoudis PV. The role and efficacy of retrograding nailing for the treatment of diaphyseal and distal femoral fractures: a systematic review of the literature. Injury 2005;36 (7):813-22. https://doi.org/10.1016/j.injury.2004.11.029

21.  Gill SPS, Mittal A, Raj M, Singh P, Singh, J, Kumar S. Extra articular supracondylar femur fractures managed with locked distal femoral plate or supracondylar nailing: a comparative outcome study. J Clin Diagn Res 2017;11(5):19-23. https://doi.org/10.7860/JCDR/2017/25062.9936

22.  Riehl, JT, Connolly K. Fractures due to gunshot wounds: Do retained bullet fragments affect union? Iowa Orthop J 2015;35:55-61. PMID: 26361445

23.  Ordog GJ, Balasubramanium S, Wasserberger J, Kram H, Bishop M, Shoemaker W. Extremity gunshot wounds: Part one—Identification and treatment of patients at high risk of vascular injury. J Trauma 1994;36(3):358-68. PMID: 8145317

24.  Yusuf E, Cagri N, Koca K, Ersen O, Bek D. Is staged management with immediate conversion of external fixation to retrograde intramedullary nailing for combat-related Gustilo type III supracondylar femur fractures safe and reliable method? Injury 2019;50(3):764-9. https://doi.org/10.1016/j.injury.2019.01.019

25.  Johnson D, Versteeg G, Middleton J, Cantrell C, Butler B. Epidemiology and risk factors for loss to follow-up following operatively treated femur ballistic fractures. Injury 2021;52(8):2403-6. https://doi.org/10.1016/j.injury.2021.06.012

 

 

––––––––––––––––––

Conflicto de intereses: Los autores no declaran conflictos de intereses.

 

 

ORCID de F. J. Taboadela: https://orcid.org/0000-0003-4468-016X

ORCID de F. Narváez: https://orcid.org/0000-0001-7156-3685

ORCID de F. Borre: https://orcid.org/0000-0003-0799-1647

                                                                                                                                                                                                       

Recibido el 6-12-2022. Aceptado luego de la evaluación el 12-3-2023 Dra. Daniela Mantella Gorosito daniela.mantella.gorosito@live.com https://orcid.org/0000-0003-1098-9070

 

Cómo citar este artículo: Taboadela FJ, Mantella Gorosito D, Borre F, Narváez F. Epidemiología y manejo de las fracturas de fémur por arma de fuego. Nuestra experiencia. Rev Asoc Argent Ortop Traumatol 2023;88(3):275-285. https://doi.org/10.15417/issn.1852-7434.2023.88.3.1691

 

 

Información del artículo

Identificación: https://doi.org/10.15417/issn.1852-7434.2023.88.3.1691

Fecha de publicación: Junio, 2023

Copyright: © 2023, Revista de la Asociación Argentina de Ortopedia y Traumatología.

Licencia: Este artículo está bajo una Licencia Creative Commons Atribución-No Comercial-Compartir Obras Derivadas Igual 4.0 Internacional. (CC-BY-NC-SA 4.0)