INSTRUCCIÓN ORTOPÉDICA DE POSGRADO - IMÁGENES

 

Resolución del caso

 

Omar Lencina

Servicio de Ortopedia y Traumatología, Clínica Centro Junín, Buenos Aires, Argentina

 

Presentación del caso en la página 616.

 

DIAGNÓSTICO: Agenesia del vasto medial oblicuo del cuádriceps.

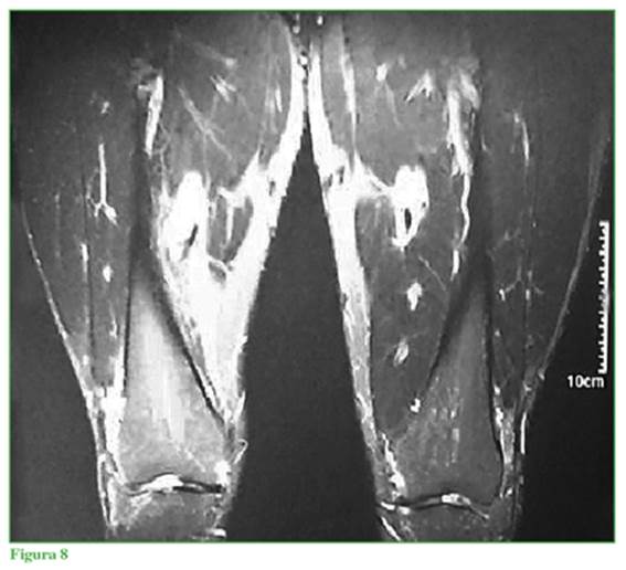
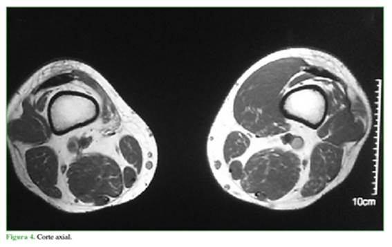
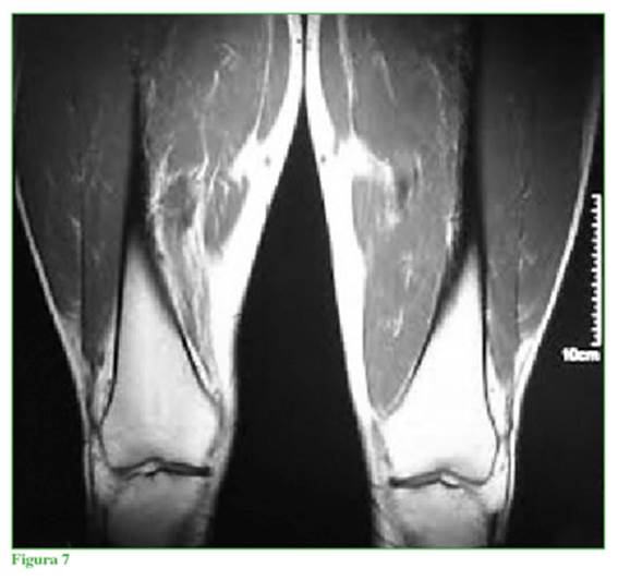
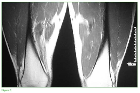
El estudio gold standard es la resonancia magnética nuclear, la que informó ausencia completa del vasto medial oblicuo (VMO) y diagnóstico presuntivo de agenesia completa de ese músculo en cortes axiales, sagitales y coronales en T1 y T2 (Figuras 4 a 8). Cortes coronales a diferentes alturas comparativas de ambos muslos en la región del tercio medio distal (Figuras 5 a 8).

 

 

 

 

 

 

 

 

 

 

 

 

Falta la representación habitual del músculo vasto medial derecho en toda su extensión, sugestivo de hipotrofia grave/agenesia muscular; vasto intermedio derecho, vasto lateral y recto anterior de grosor y señal de resonancia preservada. No se identifican alteraciones del trofismo muscular, ni señal de resolución de los músculos del grupo medial y posterior derecho, ni a nivel del muslo izquierdo. No se observan lesiones ni alteraciones del paquete vascular femoral. Llama la atención una asimetría en la masa muscular de la cara interna del muslo; no se identifica el músculo vasto medial y no hay signos de edema, colecciones, ni alteraciones de planos grasos.

 

DISCUSIÓN

La atrofia del VMO de los cuádriceps es una de las causas más frecuentes del dolor patelo-femoral en la rodilla del deportista joven. La ausencia congénita del músculo vasto medial oblicuo es una alteración poco frecuente, aunque la más común de todas las anomalías congénitas musculares del cuádriceps. No se encuentran muchas publicaciones que hagan referencia a la agenesia, completa o incompleta, del músculo VMO.

La hipotrofia del vasto medial oblicuo es frecuente en pacientes con síndrome patelo-femoral (SPF). Además, el VMO es el músculo más débil y vulnerable del aparato extensor, en detrimento del vasto lateral (VL), el cual presenta mayor actividad en la electromiografía. A menudo, estos pacientes muestran una actividad de electromiografía reducida del vasto medial oblicuo en la rodilla sintomática, en comparación con la rodilla contralateral sana. También se ha observado que la proporción VMO/VL es más baja en los pacientes con SPF que en individuos sanos. La actividad más baja del vasto medial y la más alta del vasto lateral podrían conducir a un desequilibrio entre ambos músculos.

Algunos autores postulan que el VMO, en comparación con el VL, necesita tiempo para desarrollar la fuerza necesaria para que el desplazamiento rotuliano sea óptimo. Se ha puesto de manifiesto que el tiempo de activación del VMO suele estar alterado en pacientes con SPF. En la revisión sistemática de Chester y cols. se sugiere que hay una leve tendencia al retraso de la activación del VMO en comparación con el VL en pacientes con síndrome patelo-femoral durante diferentes actividades, como levantarse de una silla, subir o bajar escaleras, etc. Esto surge de todos los trabajos publicados hasta 2007 sobre el análisis específico de la actividad electromiográfíca de ambos vastos. Boling y Cowan demostraron un significativo retraso en la activación del VMO antes de la rehabilitación en pacientes con síndrome patelo-femoral. Seguido a esto, luego de lograr la remisión del dolor con el tratamiento, se observó una activación temprana del VMO a niveles normales y se volvió a tener un desplazamiento óptimo de la rótula.

La mayoría de los autores creen que el papel primario del VMO es aumentar la estabilidad de la rótula dentro de la articulación patelo-femoral y prevenir la subluxación lateral de esta al traerla medialmente durante la extensión y la flexión de la rodilla.

El VMO cumple un rol fundamental en la estabilidad de la articulación patelo-femoral, tanto en el control del desplazamiento como de la inclinación rotuliana, al realizar un control excéntrico de la fuerza requerida para desplazarla lateralmente. De acuerdo con las conclusiones de Pal y cols., todo plan de trabajo del VMO, ya sea en cadena cerrada o en cadena abierta, debería hacer énfasis en la fase excéntrica del ejercicio.

Otros autores comprobaron que, en individuos sanos, el grado de actividad electromiográfica tanto en el vasto medial como en el vasto lateral es similar y más pronunciado durante los últimos 30° de extensión de la rodilla.

La mayoría de los individuos sanos presentan una actividad electromiográfica del vasto lateral más alta en comparación con el vasto medial, pero hay también algunas personas que muestran una actividad más alta del vasto medial que del vasto lateral. Por último, hay un tercer grupo de individuos sanos que tienen aproximadamente la misma actividad electromiográfica en ambos vastos. Son escasos los trabajos que comparan las actividades del VMO y del VL entre pacientes con SPF y grupos control. Pattyn E. hizo la medición comparativa entre el VMO y el VL en pacientes con SPF y un grupo control. No se encontraron diferencias significativas entre ambos grupos de pacientes.

Uno de los factores importantes para que se desarrolle un dolor en la cara anterior de la rodilla es el retraso en la activación del VMO durante la actividad funcional en comparación con el VL. Neptune y cols. sugieren una diferencia de activación de 5 milisegundos.

Se especula que la atrofia selectiva del VMO ocurre en pacientes con SPF; la rehabilitación de estos individuos requiere un plan de ejercicios selectivos.

 

Dr. Omar Lencina •  omarlenci@gmail.comhttps://orcid.org/0000-0003-1190-7364

 

Cómo citar este artículo: Lencina O. Instrucción Ortopédica de Posgrado - Imágenes. Resolución del caso. Rev Asoc Argent Ortop Traumatol 2022;87(5):737-740. https://doi/org/10.15417/issn.1852-7434.2022.87.5.1673

Información del artículo

Identificación: https://doi.org/10.15417/issn.1852-7434.2022.87.5.1673

Fecha de publicación: Octubre, 2022

Conflicto de intereses: El autor no declara conflictos de intereses.

Copyright: © 2022, Revista de la Asociación Argentina de Ortopedia y Traumatología.

Licencia: Este artículo está bajo una Licencia Creative Commons Atribución-No Comercial-Compartir Obras Derivadas Igual 4.0 Internacional. (CC-BY-NC-SA 4.0)