INVESTIGACIÓN CLÍNICA

 

Artroplastia de rodilla en pacientes con poliomielitis y déficit de extensores. Revisión y experiencia en nueve casos

 

Fernando González Morán

Servicio de Ortopedia y Traumatología, Sanatorio Mater Dei, Ciudad Autónoma de Buenos Aires, Argentina

 

RESUMEN

Objetivos: Comunicar los resultados clínicos y funcionales de pacientes con síndrome pospolio sometidos a una artroplastia total de rodilla y evaluar si la elección de la prótesis está condicionada por el déficit funcional del cuádriceps. Materiales y Métodos: Se evaluó a pacientes con síndrome pospolio en su condición de déficit muscular y con escalas funcionales de tiempo de caminata en 10 m, distancia caminada en 2 min, y tiempo levántate y anda, y el Knee Society Score antes de la artroplastia de rodilla y un año después. Resultados: Los valores funcionales que impactaban directamente en la calidad de vida mejoraron notablemente en todos los pacientes. No se hallaron diferencias significativas en el Knee Society Score entre los casos más graves con déficit del cuádriceps con recurvatum y aquellos con menor afectación, pero las escalas funcionales sí mostraron una diferencia significativa entre estos subgrupos. Conclusiones: La artroplastia total de rodilla es una alternativa terapéutica válida en esta compleja enfermedad, que logra aliviar el dolor, recupera la función y mejora la calidad de vida. La restauración de la estabilidad mediante diseños de prótesis constreñidas es un factor clave en la recuperación de un patrón de marcha funcional en los pacientes con recurvatum. Los pacientes con fuerza del cuádriceps que vencen la resistencia de la gravedad tienen un resultado funcional equiparable al de los pacientes sin síndrome pospolio y no requieren prótesis abisagradas.

Palabras clave: Poliomielitis; artroplastia total de rodilla; bisagra rotatoria.

Nivel de Evidencia: IV

 

Knee Arthroplasty in Patients With Poliomyelitis and Extensor Mechanism Deficiency. Review and Experience in Nine Cases

 

ABSTRACT

Objectives: To report the clinical and functional outcomes of patients affected with postpolio syndrome (PPS) treated with total knee arthroplasty, evaluating whether the choice of the prosthesis is conditioned by the quadriceps functional deficit. Materials and Methods: Patients with PPS were evaluated in their muscle deficit condition and with functional tests such as 10-meter walk test (10MWT), 2-minute walk test (2MWT) and timed up and go test (TUG), as well as KSS preoperatively and 1 year after knee arthroplasty. Results: All patients significantly improved functional values ​that directly impacted their quality of life. The KSS did not present significant differences between the most severe cases with quadriceps deficit with recurvatum and those with less involvement, but the functional tests did show a significant difference between these subgroups. Conclusions: Total knee arthroplasty is a valid treatment alternative in this complex pathology, providing the patient with pain relief, recovery of function and improving their quality of life. The restoration of stability through constrained prosthetic designs is a key factor in the recovery of a functional gait pattern in patients with recurvatum. Patients with quadriceps strength who overcome the resistance of gravity have functional outcomes comparable to non-PPS patients and do not require hinged prostheses.

Key words: Poliomyelitis; total knee arthroplasty; rotating hinge.

Level of Evidence: IV

 

INTRODUCCIÓN

La poliomielitis o “parálisis infantil” es una enfermedad causada por enterovirus, que se transmite por vía fecal-oral y, en la actualidad, está erradicada en nuestro país.1 En la mayoría de los casos, la infección es asintomática o solo provoca un estado gripal, pero uno de cada 200 pacientes desarrolla una forma grave con afección de las neuronas motoras del sistema nervioso central que deja como secuela una parálisis flácida muscular. En la Argentina, ocurrieron epidemias importantes en 1953 y 1956 (incidencia 33 casos por cada 100.000 habitantes), muchos pacientes sufrieron secuelas, como el compromiso neurológico motor de grado leve a paralítico. Este grupo con síndrome pospolio (SPP) con parálisis flácida ha adaptado su vida a convivir con un déficit motor, y ha logrado desenvolverse bastante bien con su discapacidad, aunque típicamente, luego de la 5ª a 6ª década de la vida, el avance del daño articular genera dolor y limitación de la marcha por la progresión de la deformidad en recurvatum. La enfermedad degenerativa articular sometida a fuerzas excéntricas inusuales provoca dolor articular y limitaciones funcionales2 de tal grado que impiden la marcha casi por completo. La artroplastia total de rodilla es una alternativa válida para que estos pacientes recuperen esa capacidad.3 Es un procedimiento técnicamente demandante asociado a varias dificultades, como deformidad articular atípica (Figura 1), genu recurvatum e inestabilidad, rótula baja (Figura 2), fémur y tibia hipoplásicos con canales medulares angostos, déficit de la función del cuádriceps.4

 

 

 

 

 

 

Objetivos

Comunicar los resultados clínicos y funcionales de nueve artroplastias de rodilla en siete pacientes con SPP cuya fuerza del cuádriceps no superaba la resistencia de la gravedad, a quienes se les colocó una prótesis constreñidas de bisagra rotatoria; y en dos pacientes con fuerza antigravitatoria que recibieron una prótesis estabilizada posterior, y evaluar las diferencias entre estos grupos.

 

Materiales y métodos

Se revisaron retrospectivamente las artroplastias de rodilla realizadas en pacientes con SPP moderado o severo, con déficit de extensión del cuádriceps contra la gravedad, operados entre 2006 y 2016.

 

Pruebas funcionales2

         La funcionalidad se determinó con pruebas orientadas a esta enfermedad: tiempo de caminata en 10 m (TC10): se toma el tiempo necesario para recorrer 10 m a velocidad confortable con un cronómetro.

         Distancia caminada a velocidad confortable en 2 min5 (DC2m): se mide con un cronómetro la distancia transitada en metros caminados a velocidad confortable en 2 minutos.

         Tiempo levántate y anda (TLA3m): es el tiempo necesario para levantarse de una silla desde la posición sentada, caminar 3 m, retornar y volver a sentarse mientras se registra el tiempo con un cronómetro.

El tiempo medio de seguimiento fue de 85 meses (rango 20-180). Se utilizaron el Knee Society Score (KSS) y pruebas de evaluación funcional preoperatorios y al año de la cirugía.

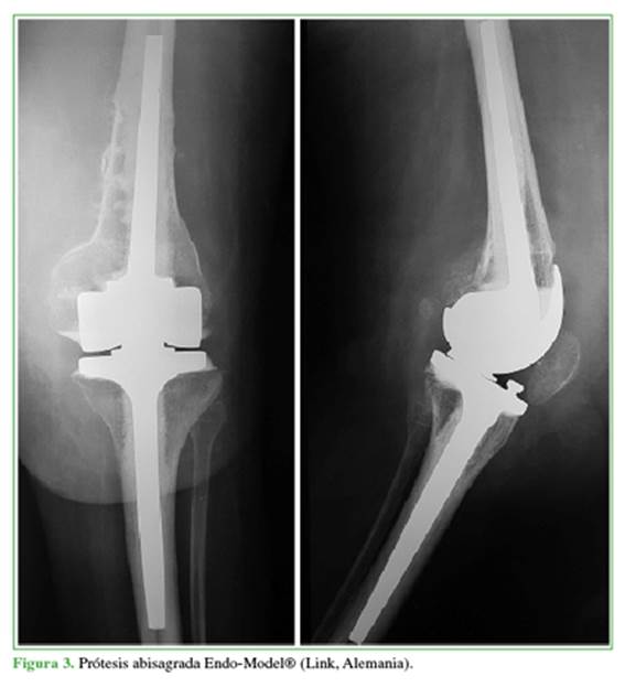
En todos los casos, se utilizó una prótesis abisagrada rotatoria (Endo-Model®; Link, Alemania) (Figura 3), excepto en dos con fuerza del cuádriceps antigravitatoria a quienes se les colocó una prótesis estabilizada posterior (Scorpio ®, Stryker, EE.UU.).

 

 

 

 

Técnica quirúrgica

A los pacientes con insuficiencia del cuádriceps, se les realizó un abordaje mediano longitudinal y capsulotomía medial, salvo un caso en el que se usó la técnica del cuádriceps V-Y. Se efectuaron cuidadosamente cortes a mano alzada con sierra sobre el hueso atrófico osteoporótico (Figura 4) previendo deformidades inusuales e hipoplasia del fémur y la tibia vinculadas a la secuela de la poliomielitis. Intencionalmente se limitó el corte distal a expensas de los cóndilos para disminuir el espacio en extensión y limitar el recurvatum (Figura 5). El cementado de todas las bisagras rotatorias se efectuó con tapón, lavado pulsátil y pistola de cementación retrógrada.

Luego de la cirugía se inició un protocolo de rehabilitación temprana con carga parcial en el miembro operado y deambulación con andador por cuatro semanas, para luego pasar a un bastón. En los dos pacientes con cuádriceps capaz de vencer la fuerza de gravedad, se empleó la técnica estándar y se colocó una prótesis estabilizada posterior.

 

 

 

 

 

 

Resultados

Se revisaron retrospectivamente nueve artroplastias en siete pacientes con SPP, operados entre 2006 y 2016 (Tabla 1). Cinco eran mujeres y dos, hombres, con una media de la edad de 62 años (rango 52-73) cuando se sometieron a la cirugía. En esta población, siete rodillas tenían una secuela pospolio de moderada a severa, con déficit de extensión del cuádriceps contra la gravedad (77%): cuatro con déficit muscular del cuádriceps grado 1/5 del Medical Research Council (Tabla 2) con recurvatum, tres rodillas grado 3/5 y dos rodillas (22%) conservaban la extensión antigravitatoria grado 4/5. Los resultados clínicos fueron evaluados con el KSS y el KSS funcional antes de la cirugía y un año después. Los puntajes <60 se consideran malos.

El KSS mejoró notablemente en todos los pacientes, de una media de 22 (rango 13-43) antes de la operación a 87 (rango 80-100) después; y el KSS funcional, de 24 antes de la intervención a 77 a los dos años (Tabla 2). El rango de movilidad fue siempre <110°.

 

 

 

 

 

 

Resultados clínicos

El KSS no presentó diferencias significativas entre los casos más graves tratados con prótesis abisagradas y los de menor compromiso con control muscular y prótesis estabilizada posterior, al finalizar el seguimiento. En cuatro de las nueve artroplastias, los resultados fueron excelentes (de 80 a 100) y, en cinco, buenos (de 70 a 79). Los puntajes de la función mejoraron sustancialmente en todos los casos, aunque los pacientes sin fuerza antigravitatoria del cuádriceps no obtuvieron resultados excelentes (>80 puntos) en ningún caso comparados con los dos pacientes que tenían secuela de polio con una afectación menor (fuerza del cuádriceps antigravitatoria) que sí lo lograron (Tabla 3). La limitación de la hiperextensión mediante la disminución de la brecha en extensión no generó dificultades en la marcha, como se publicó en algunos trabajos. Respecto a las pruebas funcionales específicas, los valores que impactan directamente en la calidad de vida mejoraron notablemente en todos los casos. La prueba “tiempo levántate y anda” arrojó valores preoperatorios medios de 16.1 s (rango 9.9-20.7) y mejoró a 13.2 s (rango 8.9-20.7). El “tiempo de caminata en 10 m” fue de 15.9 s antes de la cirugía (rango 8.9-30) y de 12.5 (rango 7.7-21) después, la “distancia caminada a velocidad confortable en 2 min” fue de 64 m (rango 29-136) antes de la cirugía y mejoró a una media de 107 m (rango 47-168) (Tabla 4). No se observaron signos radiográficos de aflojamiento a los dos años de la intervención. La persistencia radiográfica de rótula baja en los casos severos no resultó un perjuicio en el rango de movilidad.

 

 

 

 

DISCUSIÓN

El SPP es un cuadro que genera una severa discapacidad que aumenta las limitaciones funcionales a partir de la 5ª década de la vida. La progresión de las deformidades asociadas (hiperextensión y recurvatum, desejes, deterioro de las superficies articulares) y la inestabilidad causan una marcha ineficiente y dolorosa. Estos pacientes que habían aprendido a convivir con la secuela neurológica inicial comienzan a perder la capacidad de movilizarse gradualmente y a sufrir dolor que, hasta entonces, no representaba un problema grave.

La artroplastia total de rodilla es una alternativa terapéutica que alivia el dolor y restaura la capacidad de movilizarse, lo que permite mejorar la calidad de vida. Corrigiendo estas variables, recuperando la estabilidad y limitando la hiperextensión, la capacidad funcional de la rodilla se restablece y se mitiga el dolor. Esto se observa al efectuar pruebas funcionales sencillas y concretas que emulan las capacidades de movilidad básicas de la vida diaria. Estas capacidades mejoraron claramente en todos los pacientes de la cohorte, y coincide con los resultados comunicados en los pocos estudios científicos publicados sobre el tema.6-9

La condición de poder elevar la pierna contra la gravedad y alguna resistencia marca un límite entre dos grupos claramente diferenciados. Quienes no tienen esta condición requieren implantes constreñidos (bisagra rotatoria) y gestos quirúrgicos específicos, como intentar lograr una brecha en extensión apretada para limitar el recurvatum. A su vez, naturalmente, no logran puntajes funcionales altos dada la limitación neurológica de la poliomielitis per se. Sin embargo, la ganancia de la capacidad funcional es manifiesta y les permite recuperar un nivel de vida altamente satisfactorio, con un KSS funcional bueno. Los pacientes con fuerza antigravitatoria suficiente son tratados con la técnica convencional de reemplazo total de rodilla y se logran resultados comparables con los de los pacientes que no sufren esta enfermedad.

 

Conclusiones

La artroplastia total de rodilla es una alternativa terapéutica válida en esta compleja enfermedad, alivia el dolor, recupera la función y mejora la calidad de vida. La fuerza del cuádriceps respecto a la capacidad de vencer la gravedad es un valor importante para determinar la elección de la prótesis. La restauración de la estabilidad mediante diseños de prótesis constreñidas abisagradas es un factor clave en la recuperación de un patrón de marcha funcional en los pacientes con hiperextensión. Los pacientes con fuerza del cuádriceps que vencen la resistencia de la gravedad tienen un resultado funcional equiparable a los de aquellos sin SPP y no requieren prótesis constreñidas.

 

Bibliografía

 

1.     Agüero AL. Poliomielitis en Argentina: Epidemias, políticas sanitarias, tratamientos e instituciones. Rev Argent Salud Pública 2020;12:e21. Disponible en: https://rasp.msal.gov.ar/index.php/rasp/article/view/673/646

2.     Portnoy S, Schwartz I. Gait characteristics of post-poliomyelitis patients: Standardization of quantitative data reporting. Ann Phys Rehabil Med 2013;56(7-8):527-41. https://10.1016/j.rehab.2013.06.005

3.     Gan ZWJ, Pang HN. Outcomes of total knee arthroplasty in patients with poliomyelitis. J Arthroplasty 2016;31(11):2508-13. https://doi.org/10.1016/j.arth.2016.04.019

4.     Rahman J, Hanna SA, Kayani B, Miles J, Pollock RC, Skinner JA, et al. Custom rotating hinge total knee arthroplasty in patients with poliomyelitis affected limbs. Int Orthop 2015;39(5):833-8. https://doi.org/10.1007/s00264-014-2572-y

5.     Stolwijk-Swüste JM, Beelen A, Lankhorst GJ, Nollet F, CARPA studying group. SF36 physical functioning scale and 2 minute walk test advocated as core qualifiers to evaluate physical functioning in patients with late-onset sequelae of poliomyelitis. J Rehabil Med 2008;40(5):387-92. https://doi.org/10.2340/16501977-0188

6.     Giori NJ, Lewallen DG. Total knee arthroplasty in limbs affected by poliomyelitis. J Bone Joint Surg Am 2002;84(7):1157-61. https://doi.org/10.2106/00004623-200207000-00010

7.     Jordan L, Kligman M, Sculco TP. Total knee arthroplasty in patients with poliomyelitis. J Arthroplasty 2007;22(4):543-8. https://doi.org/10.1016/j.arth.2006.03.013

8.     Prasad A, Donovan R, Ramachandran M, Dawson-Bowling S, Millington S, Bhumbra R, et al. Outcome of total knee arthroplasty in patients with poliomyelitis: A systematic review. EFORT Open Rev 2018;3(6):358-62. https://doi.org/10.1302/2058-5241.3.170028

9.     Pomeroy E, Fenelon C, Murphy EP, Staunton PF, Rowan FE, Cleary MS. A systematic review of total knee arthroplasty in neurologic conditions: Survivorship, complications, and surgical considerations. J Arthroplasty 2020;35(11):3383-92. https://doi.org/10.1016/j.arth.2020.08.008

 

 

Recibido el 7-8-2022. Aceptado luego de la evaluación el 23-8-2022   Dr. Fernando González Morán •  drgonzalezmoran@gmail.comhttps://orcid.org/0000-0002-6285-8550

 

Cómo citar este artículo: González Morán F. Artroplastia de rodilla en pacientes con poliomielitis y déficti de extensores. Revisión y experiencia en nueve casos. Rev Asoc Argent Ortop Traumatol 2022;87(5):667-675. https://doi.org/10.15417/issn.1852-7434.2022.87.5.1646

 

 

Información del artículo

Identificación: https://doi.org/10.15417/issn.1852-7434.2022.87.5.1646

Fecha de publicación: Octubre, 2022

Conflicto de intereses: El autor no declara conflictos de intereses.

Copyright: © 2022, Revista de la Asociación Argentina de Ortopedia y Traumatología.

Licencia: Este artículo está bajo una Licencia Creative Commons Atribución-No Comercial-Compartir Obras Derivadas Igual 4.0 Internacional. (CC-BY-NC-SA 4.0)