PRESENTACIÓN DE CASOS

 

Artroplastia total de cadera con tallo de revisión en un paciente con exostosis múltiple hereditaria y osteoartritis secundaria

 

Maximiliano E. Negri, María Belén López Villagra, Guillermo J. Allende

Departamento de Cirugía Reconstructiva Articular de Cadera y Rodilla, Sanatorio Allende, Córdoba, Argentina

 

RESUMEN

Presentamos a una mujer de 42 años con antecedente de exostosis múltiple hereditaria, y dolor y limitación de la movilidad de la cadera izquierda. Los estudios radiográficos mostraron osteoartrosis y exostosis femoral con displasia bilateral de cadera y subluxación de la cabeza femoral. Se realizó una artroplastia total de cadera izquierda con un implante no cementado modular. El resultado a los 7 años fue excelente. El objetivo de este artículo es mostrar una opción alternativa de reconstrucción para las deformidades complejas.

Palabras clave: Exostosis múltiple hereditaria; cadera; osteoartritis; artroplastia de revisión.

Nivel de Evidencia: IV

 

Total Hip Arthroplasty with Revision Stem in Hereditary Multiple Exostoses with Secondary Osteoarthritis

 

ABSTRACT

We present a 42-year-old woman with a history of hereditary multiple exostoses (HME), with pain and limited range of motion of the left hip. Radiographic studies showed osteoarthritis added to femoral exostosis with bilateral hip dysplasia and femoral head subluxation. Total left hip replacement was performed using a modular uncemented implant with excellent postoperative results at 7 years of follow-up.

Keywords: Hereditary multiple exostoses; hip joint; osteoarthritis; replacement arthroplasty.

Level of Evidence: IV

 

INTRODUCCIÓN

Los osteocondromas son tumores óseos benignos primarios osteocartilaginosos que se localizan típicamente en el entorno de la rodilla, el húmero proximal y en otros huesos de osificación endocondral, y representan el tumor primario óseo más frecuente.1 Pueden aparecer como una lesión solitaria o como múltiples lesiones en el contexto de una exostosis múltiple hereditaria (EMH), una enfermedad autosómica dominante causada por una mutación en la familia de genes supresores de tumor EXT.2 Su prevalencia es de un caso por cada 50.000 habitantes en la población general.3,4 El 30-90% de los pacientes con EMH puede tener osteocondromas de fémur proximal,2,5 en tanto que los pélvicos afectan al 15-64% de los pacientes.2 En el 25% de los casos, se detecta displasia acetabular y coxa valga.4 Esto ha sugerido que la morfología de cadera valga y los osteocondromas en el cuello femoral puedan contribuir, de manera independiente o sinérgica, al aumento del riesgo de subluxación lateral de la cadera y, consecutivamente, a la osteoartrosis.5 La artroplastia total de cadera es una opción terapéutica válida cuando se diagnostica este cuadro. Se debe realizar una buena planificación preoperatoria dadas la complejidad de la deformidad articular y la alteración de los parámetros intraoperatorios, a fin de lograr una correcta colocación de los componentes de la prótesis.6-8

El objetivo de este artículo es comunicar una opción alternativa de reconstrucción para las deformidades complejas.

 

CASO CLÍNICO

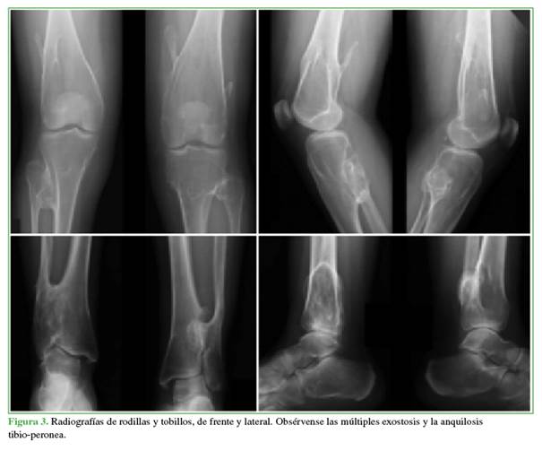
Mujer de 42 años de edad, con antecedentes familiares de EMH en su línea paterna que consultó, por primera vez, por coxalgia izquierda de dos años de evolución. Refería un dolor intenso con la carga de peso y limitación de las actividades cotidianas. La movilidad de la cadera era de 120º de flexión, 30º de abducción y limitación de las rotaciones. El puntaje de cadera de Harris9 era de 75. En la radiografía de pelvis, se observó una displasia bilateral de cadera con subluxación de la cabeza femoral y protuberancias óseas (exostosis) en ambos trocánteres menores hacia la cabeza femoral (Figura 1). La cadera izquierda tenía un ángulo cervico-diafisario de 165º, incongruencia acetabular y signos artrósicos que eran más evidentes en la tomografía computarizada (Figura 2). En las radiografías de rodillas y tobillos, se visualizaban las múltiples exostosis y una anquilosis tibio-peronea (Figura 3).

 

 

 

 

 

 

 

Técnica quirúrgica

Se optó por una artroplastia total de cadera no cementada a través de un abordaje posterior de Kocher-Langenbeck (Figura 4). Se utilizó un implante modular no cementado S-ROM® (DePuy, Johnson & Johnson, Warsaw, IN, EE.UU.) con una cabeza de cerámica de 28 mm de diámetro y un módulo metafisario proximal que permitió el control intraoperatorio de la deformidad.

 

RESULTADOS

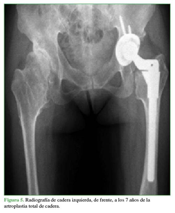
No hubo complicaciones intraoperatorias ni en el posoperatorio inmediato. Siete años después, la paciente continuaba sin síntomas, con una flexión de 120º, una abducción de 40º, una rotación externa de 15º, una rotación interna de 20 º y un puntaje de cadera de Harris de 100. El aspecto radiográfico del implante también era satisfactorio (Figura 5).

 

 

 

 

 

 

 

DISCUSIÓN

La EMH es una enfermedad autosómica dominante. Tiende a ser más común en hombres que en mujeres, y suele afectar el fémur, la tibia con peroné distal y proximal, el húmero distal, el radio y el cúbito distal.1-3,5 La osteoartrosis de la cadera debido a la EMH tiene más riesgo de progresión, porque el cuello femoral está engrosado por la exostosis medial, lo que puede facilitar la subluxación de la cabeza femoral. Shapiro y cols.4 informaron que ocho de los 32 pacientes (64 caderas) <20 años con esta enfermedad tenían coxa valga, al igual que nuestra paciente.1 También se ha comunicado el aumento de la anteversión femoral.1

Con respecto al tratamiento quirúrgico de las exostosis, hay muchos informes sobre los métodos utilizados en los pacientes pediátricos, que han logrado buenos resultados,2,3,5 pero son pocos los que se refieren al tratamiento de la osteoartrosis en estadios avanzados en adultos. Porter y cols.3 describieron las caderas de 12 pacientes con EMH e informaron que solo uno había sido sometido a una artroplastia total de cadera, sin especificar la evolución.

Moran y cols.6 publicaron la colocación de una prótesis bilateral en dos pacientes con displasia de la cadera secundaria a EMH e informaron buenos resultados funcionales al cabo de dos años. En estos casos, emplearon implantes modulares y realizaron una osteotomía femoral por la complejidad de la técnica.

Vaishya y cols.7 presentaron a un paciente de 27 años con EMH y osteoartrosis de ambas caderas y gran deformidad ósea femoral y acetabular. El paciente fue sometido a una artroplastia total de cadera bilateral usando un implante primario. La prótesis se luxó y se procedió al cambio del vástago para mejorar su anteversión y al uso de cuello con mayor offset. Esto demuestra la complejidad de este tipo de deformidad y la necesidad de usar implantes no convencionales.

Kim y cols.8 publicaron un caso de EMH con osteoartrosis secundaria tratada con una artroplastia total de cadera con tallo cónico, modular, no cementado Wagner® (Zimmer. Warsaw, IN, EE.UU.); el resultado fue bueno y el puntaje de cadera de Harris mejoró de 35 a 82 a los dos años de seguimiento.

En nuestro caso, debido a la alteración metafisaria subyacente y a la anteversión femoral aumentada, utilizamos un tallo no cementado de fijación diafisaria con sistema modular y módulo de manguito femoral proximal (proximal femoral sleeve) para controlar la anteversión como una muy buena opción para el correcto posicionamiento de los componentes, con lo que se logró obtener la estabilidad deseada.

 

CONCLUSIONES

En los pacientes con EMH, la deformidad del fémur proximal es frecuente y facilita la progresión a osteoartrosis. La artroplastia total de cadera no cementada modular es una buena opción para restaurar la biomecánica de la cadera. No obstante, obliga a una correcta planificación preoperatoria que debe incluir una tomografía computarizada para valorar la anteversión y el valgo de la cadera.

 

BIBLIOGRAFÍA

 

1.     Stieber JR, Dormans JP. Manifestations of hereditary multiple exostoses. J Am Acad Orthop Surg 2005;13(2):110-20. https://doi.org/10.5435/00124635-200503000-00004

2.     Peterson HA. Multiple hereditary osteochondromata. Clin Orthop Relat Res 1989;(239):222-30. PMID: 2783565

3.     Porter DE, Simpson AHRW. The neoplastic pathogenesis of solitary and multiple osteochondromas. J Pathol 1999;188(2):119-25. https://doi.org/10.1002/(SICI)1096-9896(199906)188:2<119::AID-PATH321>3.0.CO;2-N

4.     Shapiro F, Simon S, Glimcher MJ. Hereditary multiple exostosis. Anthropometric, roentgenographic, and clinical aspects. J Bone Joint Surg Am 1979;61(6):815-24. PMID: 225330

5.     Makhdom AM, Jiang F, Hamdy RC. Hip joint osteochondroma: systematic review of the literature and report of three further cases. Adv Orthop 2014;2014:180254. https://doi.org/10.1155/2014/180254

6.     Moran M, Krieg AH, Boyle RA, Stalley PD. Bilateral total hip arthroplasty in severe hereditary multiple exostosis: a report of two cases. Hip Int 2009;19(3):279-82. https://doi.org/10.1177/112070000901900316

7.     Vaishya R, Swami S, Vijay V, Vaish A. Bilateral total hip arthroplasty in a young man with hereditary multiple exostoses. BMJ Case Rep 2015;2015:bcr2014207853. https://doi.org/10.1136/bcr-2014-207853

8.     Kim WJ, Park JS, Won SH, Lee HS, Lee DW, et al. Total hip arthroplasty in hereditary multiple exostoses with secondary osteoarthritis: A case report. Medicine (Baltimore) 2019;98(48):e18175. https://doi.org/10.1097/MD.0000000000018175

9.     Harris WH. Traumatic arthritis of the hip after dislocation and acetabular fractures: treatment by mold arthroplasty. An endresult study using a new method of result evaluation. J Bone Joint Surg Am 1969;51:737-55. PMID: 5783851

 

 

ORCID de M. B. López Villagra: https://orcid.org/0000-0003-3460-4833

ORCID de G. J. Allende: https://orcid.org/0000-0002-5558-2015

 

Recibido el 23-7-2022. Aceptado luego de la evaluación el 7-5-2023 Dr. Maximiliano E. Negri maximilianonegri@gmail.com https://orcid.org/0000-0002-7512-8418

 

Cómo citar este artículo: Negri ME, López Villagra MB, Allende GJ. Artroplastia total de cadera con tallo de revisión en un paciente con exostosis múltiple hereditaria y osteoartritis secundaria. Rev Asoc Argent Ortop Traumatol 2023;88(5):566-572. https://doi.org/10.15417/issn.1852-7434.2023.88.5.1628

 

 

Información del artículo

Identificación: https://doi.org/10.15417/issn.1852-7434.2023.88.5.1628

Fecha de publicación: Octubre, 2023

Conflicto de intereses: Los autores no declaran conflictos de intereses.

Copyright: © 2023, Revista de la Asociación Argentina de Ortopedia y Traumatología.

Licencia: Este artículo está bajo una Licencia Creative Commons Atribución-No Comercial-Compartir Obras Derivadas Igual 4.0 Internacional. (CC-BY-NC-SA 4.0)