INSTRUCCIÓN ORTOPÉDICA DE POSGRADO - IMÁGENES

 

Resolución del caso

 

Rodrigo Re

Servicio de Diagnóstico por Imágenes, Área Osteoarticular/Musculoesquelético – Intervencionismo, Sanatorio Allende, Córdoba, Argentina

 

Presentación del caso en la página 464.

 

DIAGNÓSTICO: Lipoma intraóseo.

 

DISCUSIÓN

En la resonancia magnética de hombro izquierdo (Figura 3), se visualiza una tumoración en la región centromedular, metafisodiafisaria proximal. Predominantemente está conformada por una lesión hiperintensa en secuencias T1 e hipointensa en secuencias con supresión, rodeando un área esclerótica central hipointensa en todas las secuencias.

 

 

Tiene un borde definido a proximal y poco definido a distal. Tras la inyección del medio de contraste, no se observa realce de ninguno de los componentes de la lesión.

La articulación acromioclavicular presenta cambios degenerativos con disminución del espacio acromiohumeral. Se observa la rotura de espesor completo del tendón del supraespinoso, con retracción miotendinosa. Se sugiere completar el estudio con una tomografía computarizada (Figura 4).

Ante los hallazgos por resonancia magnética y tomografía, se opta por una conducta expectante de la lesión ósea y fisioterapia para la patología del manguito rotador.

 

 

DIAGNÓSTICO

Con todos estos hallazgos se diagnostica lipoma intraóseo.

Los lipomas intraóseos son extremadamente raros y se diagnostican en exceso, sobre todo en la resonancia magnética.

Se presentan como lesiones con densidad grasa en todos los estudios por imágenes. Se pueden detectar a cualquier edad y, por lo general, son asintomáticos. El más frecuente compromete al calcáneo, en el triángulo de Ward. Se indica tratamiento solo cuando provocan síntomas, y este consiste en curetaje e injerto óseo.

Se ha descrito una clasificación anatomopatológica para las biopsias de estas lesiones (Milgram) que las divide en tres grupos: tipo I, con predominio de células grasas viables; tipo II, con predominio de células de transición, formada, en parte, por células viables más necrosis y calcificaciones, y tipo III, grasa necrosada, calcificaciones, niveles de líquido y hueso reactivo.

En los estudios por imágenes, se observa como una lesión de aspecto lítico, de bordes definidos, de baja agresividad, con adelgazamiento y leve ensanchamiento cortical. Muchas veces tienen calcificaciones centrales.

Radiografía: Lesión intramedular radiolúcida, con bordes escleróticos. Puede tener calcificaciones centrales (tipo II de Milgram) o extensas (tipo III de Milgram).

Tomografía computarizada: Lesión intraósea con atenuación grasa.

Resonancia magnética: Tipo I. Secuencias T1 y T2 con señal alta, isointensa respecto a la grasa. Pérdida de la señal con supresión. Tipos II y III. Necrosis grasa con señal baja en secuencias T1, señal alta en secuencias T2 y realce periférico tras la inyección del medio de contraste.

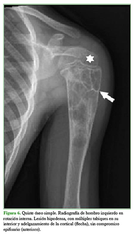
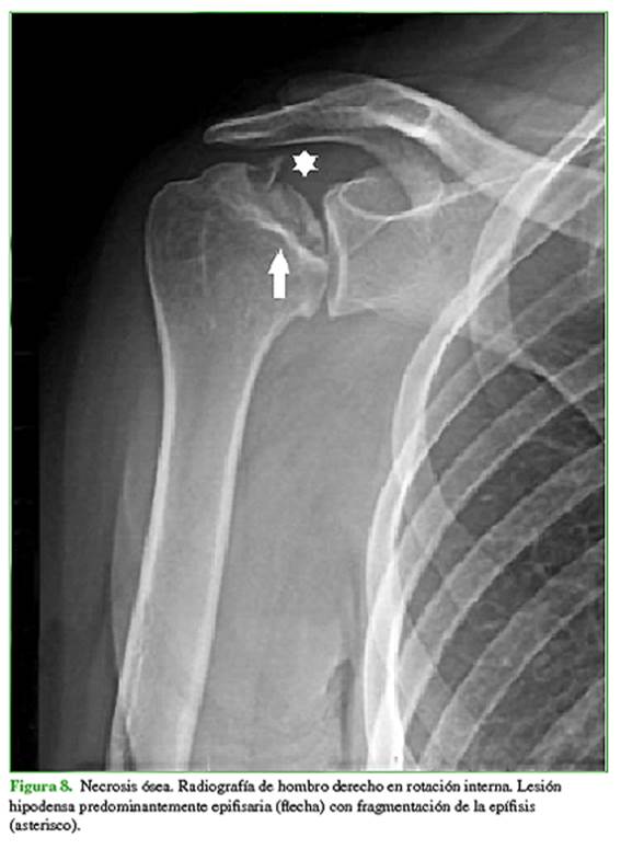
Los diagnósticos diferenciales más frecuentes son focos de hiperplasia de médula ósea grasa, displasia fibrosa (Figura 5), quiste óseo simple o aneurismático (Figura 6), lesiones condrales (encondroma, condrosarcoma) (Figura 7), infarto óseo antiguo, necrosis avascular (Figura 8) y fibroma condromixoide (Figura 9).

 

ACTIVIDAD PROPUESTA

Con este diagnóstico, ¿qué terapéutica plantearía en su Institución?


 

 

 

 

 

Dr. Rodrigo Re •  rodrigo_re@hotmail.comhttps://orcid.org/0000-0001-7382-9459

 

Cómo citar este artículo: Re R. Instrucción Ortopédica de Posgrado – Imágenes. Resolución del caso. Rev Asoc Argent Ortop Traumatol 2022;87(4):605-612. https://doi.org/10.15417/issn.1852-7434.2022.87.4.1620

 

 

Información del artículo

Identificación: https://doi.org/10.15417/issn.1852-7434.2022.87.4.1620

Fecha de publicación: Agosto, 2022

Copyright: © 2022, Revista de la Asociación Argentina de Ortopedia y Traumatología.

Licencia: Este artículo está bajo una Licencia Creative Commons Atribución-No Comercial-Compartir Obras Derivadas Igual 4.0 Internacional. (CC-BY-NC-SA 4.0)