INVESTIGACIÓN CLÍNICA

 

Osteosíntesis en fracturas femorales periprotésicas de cadera Vancouver tipos B1 y C. Análisis multicéntrico

 

Gerardo L. Aguirre,* Bartolomé L. Allende,* Ignacio Pioli,* Santiago Iglesias,* Sebastián Pereira,** Gabriel Vindver,** Fernando Bidolegui**

*Servicio de Ortopedia y Traumatología, Departamento de Miembro Inferior y Artroplastia, Sanatorio Allende, Córdoba, Argentina

**Servicio de Ortopedia y Traumatología, Departamento de Miembro Inferior y Artroplastia, Hospital Sirio Libanés, Ciudad Autónoma de Buenos Aires, Argentina

 

Resumen

Introducción: Nuestro objetivo fue analizar los resultados del tratamiento con osteosíntesis en pacientes con fracturas Vancouver tipos B1 y C, evaluar las complicaciones, las reintervenciones y la tasa de mortalidad en este grupo. Materiales y Métodos: Estudio multicéntrico, retrospectivo. Se estableció una base de datos que incluía a 53 pacientes con fracturas periprotésicas de fémur Vancouver tipos B1 y C tratadas con osteosíntesis, desde 2008 hasta 2021, en dos centros hospitalarios de alta complejidad. Resultados: La fijación proximal más utilizada fue con tornillos bicorticales más lazadas de alambre. El tipo de fractura según la clasificación de Vancouver se correlacionó con un valor significativo en el uso de tornillos de compresión interfragmentaria (p 0,001), con un total de 13 pacientes (24,52%), 9 en fracturas Vancouver tipo C. El tiempo de consolidación promedio fue de 4 meses, con un puntaje promedio del Harris Hip Score de 68. Doce pacientes (22,64%) tuvieron complicaciones: retraso de la consolidación (7 casos; 13,2%), falla de la osteosíntesis con trazo de fractura a nivel distal del tallo (un caso; 1,88%), una nueva osteosíntesis por falla a nivel del material de osteosíntesis (un caso; 1,88%) y tres fallecieron (5,66%). Conclusiones: El manejo de las fracturas femorales periprotésicas es un tema complejo y desafiante. El tratamiento con osteosíntesis constituye un método exitoso que requiere de la aplicación de principios actuales de técnicas mínimamente invasivas que, junto con una fijación proximal estable, mejoran las posibilidades de éxito.

Palabras clave: Fractura femoral periprotésica; osteosíntesis, clasificación de Vancouver.

Nivel de Evidencia: IV

 

Osteosynthesis in Vancouver type B1 and C Periprosthetic Hip Fractures of the Femur. A Multicenter Analysis

 

ABSTRACT

Introduction: Our objective was to analyze the results of osteosynthesis treatment in patients with Vancouver type B1 and C fractures, evaluate complications, reinterventions and the mortality rate in this group. Materials and Methods: Multicenter, retrospective study. A database was established that included 53 patients with Vancouver type B1 and C periprosthetic femoral fractures treated with osteosynthesis, from 2008 to 2021, who were evaluated in two high-complexity hospital centers. Results: The most used proximal fixation was bicortical screws and wire loops. The type of fracture according to the Vancouver classification correlated with a significant value in the use of interfragmentary compression screws (p 0.001), with a total of 13 patients (24.52%), 9 in Vancouver type C fractures. Mean consolidation was 4 months, with a mean Harris Hip Score of 68. Twelve patients (22.64%) had complications: delayed union (7 cases; 13.2%), failed osteosynthesis with fracture at the distal level of the stem (one case; 1.88%), one new osteosynthesis due to failure at the level of the osteosynthesis material (one case; 1.88%) and three patients died (5.66%). Conclusions: The management of periprosthetic femoral fractures is a complex and challenging issue. Osteosynthesis treatment is a successful method that requires the application of current principles of minimally invasive techniques that, together with stable proximal fixation, improve the chances of success.

Key words: Periprosthetic femoral fractures; osteosynthesis; Vancouver classification.

Level of Evidence: IV

 

INTRODUCCIÓN

Se ha estimado que la incidencia de fracturas femorales periprotésicas oscila entre el 1,5% y el 4%.1,2 Según el Registro Sueco, las fracturas periprotésicas ocupan el tercer lugar como causa más frecuente de revisión de cadera por detrás del aflojamiento aséptico y la infección.3

Ante una fractura periprotésica, las opciones de tratamiento son la osteosíntesis o la revisión de la prótesis. La correcta interpretación de la fractura y la evaluación del paciente permitirán seleccionar el tipo de tratamiento más adecuado. En este sentido, la clasificación de Vancouver2 nos permite seleccionar el tratamiento de elección, analizando el sitio de la fractura, la estabilidad del implante y la calidad del material óseo circundante.

El punto más crítico de esta evaluación es distinguir entre las fracturas con un componente protésico fijo (B1) y aquellas con un componente flojo (B2 y B3). Una incorrecta interpretación podría conducirnos a realizar una osteosíntesis sobre una prótesis floja, situación asociada a una alta tasa de fracaso. El tratamiento de una fractura periprotésica de cadera representa un desafío para el cirujano, pues suele ocurrir en un escenario de urgencia, en pacientes frágiles y con mala calidad ósea. Su correcta resolución demandará tanto conocimientos de osteosíntesis como de artroplastia.

Nuestro objetivo fue analizar los resultados y principios básicos del tratamiento con osteosíntesis de las fracturas femorales periprotésicas Vancouver tipos B1 y C, y además, evaluar las complicaciones, las reintervenciones y la tasa de mortalidad en este grupo de pacientes.

 

MATERIALES Y MÉTODOS

Luego de obtener la aprobación de los respectivos comités de ética, se estableció una base de datos multicéntrica y se evaluó, de manera retrospectiva, a una serie de pacientes con diagnóstico de fractura femoral periprotésica, desde 2008 hasta 2021, tratados en dos centros hospitalarios de alta complejidad.

Los criterios de inclusión fueron: pacientes con fracturas femorales periprotésicas Vancouver tipos B y C, tratadas con osteosíntesis y con un seguimiento >1 año.

Se excluyó a los pacientes con fracturas Vancouver tipos B2 y B3, aquellos con un seguimiento <1 año, a los que no deambulaban antes de la fractura y a quienes requirieron cirugías de revisión por infecciones, aflojamiento

o  inestabilidad.

Los datos demográficos, así como la información sobre la evolución funcional de la serie se extrajeron de la

base de datos. Se evaluaron la cantidad de cirugías previas, el tipo de prótesis, el cementado del tallo, la técnica de reducción y el patrón de fractura. En cuanto a la osteosíntesis, se analizaron el tipo y largo de la placa, la densidad de tornillos, la presencia de tornillos de compresión interfragmentaria y el tipo de fijación proximal. Los tipos de fijación proximal fueron: tornillos bicorticales, tornillos bicorticales junto con lazadas de alambre o cable, tornillos monocorticales más lazadas de alambre o solo lazadas. Otras evaluaciones fueron el uso de tablas de aloinjerto, las fallas, el tiempo de consolidación de la fractura y la tasa de mortalidad perioperatoria.

Los pacientes fueron evaluados clínica y radiológicamente hasta el momento de la consolidación de la fractura. Las evaluaciones clínicas y funcionales se llevaron a cabo con el Harris Hip Score a los seis meses de la cirugía.

Se analizaron las radiografías tomadas antes de la cirugía, en el posoperatorio inmediato y en cada visita posterior, a las 3 semanas, y a los 3, 6 y 12 meses. Las radiografías posoperatorias fueron analizadas para determinar posibles fallas del implante y la consolidación de la fractura. La consolidación de la fractura se definió como un puente óseo a través de las principales líneas de fractura visibles en las radiografías seriadas.

Se realizaron análisis descriptivos tabulando las variables como media ± desviación estándar (DE) para el caso de las variables cuantitativas, y como frecuencia (%) para las variables categóricas. En todos los casos, se estableció un nivel de significancia de 0,05. Se utilizó el programa InfoStat (v. 2020).

 

RESULTADOS

La muestra final estaba conformada por 53 pacientes con diagnóstico de fractura femoral periprotésica que cumplieron los criterios de inclusión. El 75,5% era del sexo femenino. La edad promedio era de 82.1 años (DE = 9.8; rango 55-97) (Tabla 1).

El 77,4% de la muestra tenía una sola cirugía previa, mientras que el 22,6% restante, dos o más cirugías. El diagnóstico primario del reemplazo total de cadera fue osteoartritis en la mayoría de los casos, otros diagnósticos relevantes fueron fracturas mediales de cadera y fracturas interprotésicas.

El 66% tenía una fractura con un componente protésico fijo Vancouver tipo B1 y el resto, Vancouver tipo C. En el 83%, se había colocado una prótesis con tallo cementado, y el 92,5% de ellos eran pulidos.

 

 

 

 

El patrón de fractura era de trazo simple en el 84,9% y con conminución en el resto.

Se utilizaron placas combinadas, de tipo placacable, en el 47,5% de las cirugías, y le siguieron en orden de frecuencia las placas condíleas bloqueadas (34%). En los restantes casos, se utilizaron doble placa, placa gancho trocantérica y placas laterales bloqueadas (18,5%).

No se hallaron diferencias significativas en la distribución de los pacientes según el Harris Hip Score y el tipo de fijación proximal (p 0,366) (Tabla 2).

 

 

 

 

En cuanto a los valores de distribución según la clasificación de Vancouver y el tipo de fijación proximal, se halló una relación significativa (p 0,003) (Tabla 3). Para los pacientes con fracturas periprotésicas Vancouver tipos B1 y C, la fijación proximal más utilizada fue con tornillos bicorticales más lazadas de alambre, y la fijación con tornillos bicorticales sola se usó en pacientes con fracturas Vancouver tipo C.

 

 

 

 

Los valores de distribución en cuanto al tipo de fijación proximal y las complicaciones no obtuvieron una relación significativa; la mayor tasa de fallas se registró en la fijación proximal solo con alambre (3 de los 4 pacientes operados con este método).

El tipo de fractura según la clasificación de Vancouver se correlacionó con un valor significativo en el uso de tornillos de compresión interfragmentaria (p 0,001) (13 pacientes, 24,52%) y, en su mayoría, fueron fracturas Vancouver tipo C (9 casos, 16,98%).

El tiempo promedio de consolidación de la fractura fue de 4 meses (DE = 1.6, rango 3-10) con un Harris Hip Score promedio de 68. La tasa de consolidación fue del 94%.

Doce pacientes (22,64%) tuvieron complicaciones: retraso de la consolidación (7 casos, 13,2%), falla de la osteosíntesis con trazo de fractura a nivel distal del tallo (un caso, 1,88%), nueva osteosíntesis por falla a nivel del material de osteosíntesis (un caso, 1,88%) y tres pacientes fallecieron (5,66%): una mujer de 78 años, con sobrepeso que tenía una fractura bilateral periprotésica secundaria a una caída de propia altura, una mujer de 93 años con múltiples comorbilidades, que murió al año de la cirugía y un hombre que murió a los tres años de la operación.

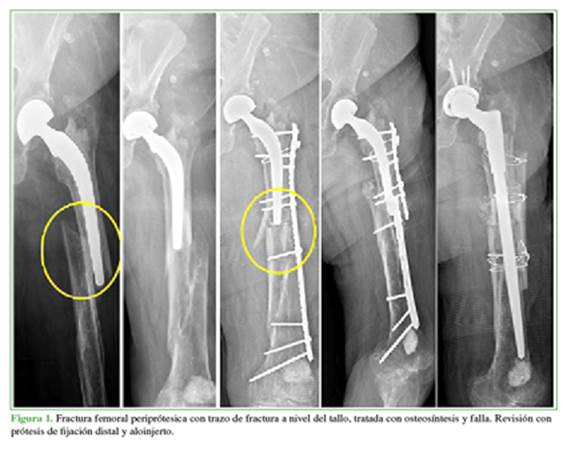
Ninguno de los siete pacientes con retraso de la consolidación requirió de otra operación y la fractura consolidó luego de los controles periódicos y las radiografías seriadas a los 7 meses (4 casos), 8, 9 y 10 meses, respectivamente, el último caso fue una cirugía con requerimiento de aloinjerto. El paciente con trazo de fractura a nivel distal del tallo tratado con una placa lateral bloqueada tuvo una evolución desfavorable con una rotura a nivel del implante y finalmente fue tratado con una prótesis de revisión y fijación distal con aloinjerto, y se logró una correcta consolidación a los cuatro meses (Figura 1). Por último, el paciente con falla de la osteosíntesis fue operado nuevamente con un recambio de la osteosíntesis y aloinjerto; a los nueve meses de la cirugía, había signos de consolidación.

 

 

 

 

DISCUSIÓN

En la actualidad, existen varias opciones de tratamiento quirúrgico para las fracturas Vancouver tipos B1 y C.4 La reducción abierta y la fijación interna con placas bloqueadas ha sido un método estándar de tratamiento en estas fracturas.5 Sen y cols.6 trataron a 12 pacientes con fracturas periprotésicas Vancouver tipo B1 con reducción abierta y fijación interna usando placas bloqueadas de compresión dinámica, 10 fracturas consolidaron en un período promedio de siete meses y el Harris Hip Score fue de 85. En nuestra serie, el tiempo promedio de consolidación fue de cuatro meses (DE = 1.6), con un Harris Hip Score de 68.

La adición de placas de aloinjerto puede proporcionar estabilidad mecánica inmediata y mejorar la curación de las fracturas y aumentar la reserva ósea.7-9 Haddad y cols. informaron una tasa de curación del 98% de las 40 fracturas periprotésicas femorales tratadas con aloinjerto solo o junto con una placa, los cuales cumplían una función mecánica y una función biológica que condujeron a una alta tasa de consolidación. Sin embargo, requirieron de una gran exposición quirúrgica con disección de tejidos blandos, perturbando el suministro de sangre en las fracturas.7 En nuestra serie, se habían utilizado placas y aloinjerto en el 9,4% de los pacientes y el tiempo promedio de consolidación fue de 5.83 meses. En 2001, Krettek y cols.10 describen la técnica de “osteosíntesis percutánea mínimamente invasiva” (minimally invasive plate osteosynthesis, MIPO) que incorpora reducción indirecta e inserción percutánea de placas y tornillos que reducen, al mínimo, la extensión de la disección de tejidos blandos (Figura 2). Con este avance tecnológico sumado a la técnica MIPO, los cirujanos disponen de los principios de la fijación interna y de la compresión dinámica en el mismo implante; de esta manera, disminuyen el sangrado, las grandes disecciones y el tiempo quirúrgico y, en consecuencia, las complicaciones derivadas.10-12

 

 

 

 

Es importante evaluar la configuración del montaje a nivel proximal para lograr una buena fijación del implante. Hoffmann y cols.13 plantean tres configuraciones y la más efectiva es el uso de tornillos bicorticales, seguida de tornillos unicorticales más cerclaje de alambre y, por último, tres cerclajes de alambre para dar una buena estabilidad. En este estudio, la colocación de tornillos bicorticales logró una carga máxima hasta la falla y una rigidez máxima a la flexión torsional-sagital. Los tornillos unicorticales adicionales aumentaron la rigidez axial en relación con la fijación del cable solo. La construcción del sistema falló en el sitio del cable y no hubo daño en el hueso; por lo tanto, en la práctica diaria, estos montajes se revisan con más facilidad.13 En el estudio de Fulkerson y cols.,14 se observó también el fracaso temprano de los tornillos bloqueados unicorticales con carga cíclica, así como un mayor desplazamiento bajo carga axial en comparación con los tornillos bicorticales.

En nuestra serie, logramos una mejor tasa de consolidación y una tasa de fallas más baja en pacientes con una fijación proximal más estable mediante tornillos bicorticales, seguida de aquellos tratados con tornillos bicorticales y lazadas de alambre, en comparación con aquellos en los que se usaron tornillos monocorticales o solo lazadas (Figura 3). Además, registramos una tasa de fallas más alta cuando utilizamos solo fijación proximal con alambres en pacientes con fracturas periprotésicas Vancouver tipo B1, a pesar de no obtener una relación significativa entre ambos, existiría una tendencia a la falla al utilizar esta configuración que resulta la de menor estabilidad en el montaje.

 

 

 

 

Aunque existe suficiente respaldo en la bibliografía sobre cómo tratar los diferentes tipos de fracturas periprotésicas femorales de acuerdo con la clasificación de Vancouver, ciertos patrones requieren atención especial. Por ejemplo, aunque las fracturas tipo B1, que tienen implante estable, generalmente se tratan con fijación, las fracturas tipo B1 con fracturas oblicuas o transversales cortas en la punta de un vástago cementado o justo por encima del tapón de cemento, tienen una alta tasa de seudoartrosis o falla.15,16 Pavlou y cols. demostraron que este tipo de patrón tratado con fijación mediante placa tardó más en consolidarse que las fracturas tratadas con revisión (media 12 y 4.5 meses, respectivamente).16 Esto podría atribuirse a la disminución del área de la fractura, al aumento del torque y al alto estrés en estas fracturas oblicuas cortas o transversales.12 Un paciente de nuestra serie fue tratado mediante revisión con prótesis de fijación distal y aloinjerto debido a falla de la osteosíntesis primaria. Para estas “fracturas problemáticas”, se ha demostrado que la revisión del vástago logra buenos resultados y se la recomienda.7,16-18

Por último, en cuanto al correcto montaje de la osteosíntesis para el tratamiento de estas fracturas, se recomiendan las placas largas que se extiendan desde el trocánter mayor hasta el fémur distal para prevenir fracturas secundarias.19 El largo y la distribución de los tornillos se han estudiado extensamente y están documentados en el artículo de Stoffel y cols.,19 por ejemplo, para los trazos simples son, por lo menos, de 8 a 10 veces la longitud del trazo de fractura y, para los trazos conminutos, de 2 a 3 veces la longitud de la conminución, inclusive una distribución simétrica de los tornillos e idealmente un 50% de los orificios de la placa utilizados. Otro punto por considerar es el solapamiento del implante sobre la prótesis proximal, principalmente en las fracturas Vancouver tipo C, que debe incluir, al menos, 6 cm, según lo publicado por Kubiak y cols.20 De acuerdo con lo comunicado en nuestra serie y sobre la base de una tasa de consolidación del 94% con una aceptable tasa de complicaciones, recomendamos como configuración ideal del montaje el uso de placas largas, tipo LCP de 4,5 mm y una fijación con seis tornillos (distribución de 0,5), más un solapamiento del implante, como mínimo, de 6 cm.

Las limitaciones de este estudio son el seguimiento a corto plazo y la falta de un grupo de control en un grupo más homogéneo, ya que incluimos dos grupos de pacientes con fracturas Vancouver tipo B1 y tipo C, en quienes las fracturas con el mismo patrón no siempre fueron tratadas bajo los mismos principios, sobre todo con el uso de tornillos de compresión interfragmentaria en los pacientes con fractura Vancouver tipo C. Además, surgieron dificultades con el seguimiento de estos pacientes a la hora de recopilar sus datos, porque muchos habían fallecido, ya que principalmente es una complicación en personas añosas.

A pesar de esto, distinguimos sus fortalezas: incluye una cantidad considerable de pacientes al compararlo con series nacionales, es un estudio multicéntrico y da a conocer un análisis descriptivo de los resultados.

 

CONCLUSIONES

El manejo de las fracturas femorales periprotésicas es un tema complejo y desafiante. El tratamiento con osteosíntesis constituye un método exitoso que requiere de la aplicación de principios actuales de técnicas mínimamente invasivas, las cuales junto con una fijación proximal estable mejoran las posibilidades de éxito de la cirugía.

 

Bibliografía

 

1.     Mulay S, Hassan T, Birtwistle S, Power R. Management of types b2 and b3 femoral periprosthetic fractures by a tapered, fluted, and distally fixed stem. J Arthroplasty 2005;20(6):751-6. https://doi.org/10.1016/j.arth.2004.11.020

2.     Duncan CP, Masri BA. Fractures of the femur after hip replacement. Instr Course Lect 1995;44:293-304. PMID: 7797866

3.     Malchau H, Herberts P, Eisler T, Garellick G, Söderman P. The Swedish Total Hip Replacement Register. J Bone Joint Surg Am 2002;84(Suppl 2):2-20. https://doi.org/10.2106/00004623-200200002-00002

4.     Pike J, Davidson D, Garbuz D, Duncan CP, O’Brien PJ, Masri BA. Principles of treatment for periprosthetic femoral shaft fractures around well-fixed total hip arthroplasty. J Am Acad Orthop Surg 2009;17(11):677-88. https://doi.org/10.5435/00124635-200911000-00002

5.     Apivatthakakul T, Chiewcharntanakit S. Minimally invasive plate osteosynthesis (MIPO) in the treatment of the femoral shaft fracture where intramedullary nailing is not indicated. Int Orthop 2009;33(4):1119-26. https://doi.org/10.1007/s00264-008-0603-2

6.     Sen R, Prasad P, Kumar S, Nagi O. Periprosthetic femoral fractures around well fixed implants: a simple method of fixation using LC-DCP  with trochanteric purchase. Acta Orthop Belg 2007;73(2):200-6. PMID: 17515232

7.     Haddad FS, Duncan CP, Berry DJ, Lewallen DG, Gross AE, Chandler HP. Periprosthetic femoral fractures around well-fixed implants: use of cortical onlay allografts with or without a plate. J Bone Joint Surg Am 2002;84(6):945-50. PMID: 12063328

8.     Chandler HP, King D, Limbird R, Hedley A, McCarthy J, Penenberg B, et al. The use of cortical allograft struts for fixation of fractures associated with well-fixed total joint prostheses. Semin Arthroplasty 1993;4(2):99-107. PMID: 10148551

9.     Emerson RH, Malinin TI, Cuellar AD, Head WC, Peters PC. Cortical strut allografts in the reconstruction of the femur in revision total hip arthroplasty. A basic science and clinical study. Clin Orthop Relat Res 1992;(285):35-44. PMID: 1446451

10.  Krettek C, Müller M, Miclau T. Evolution of minimally invasive plate osteosynthesis (MIPO) in the femur. Injury 2001;32(Suppl 3):14-23. https://doi.org/10.1016/s0020-1383(01)00180-2

11.  Perren SM. Evolution of the internal fixation of long bone fractures: the scientific basis of biological internal fixation: choosing a new balance between stability and biology. J Bone Joint Surg Br 2002;84-b(8):1093-110. https://doi.org/10.1302/0301-620x.84b8.13752

12.  Perren SM, Cordey J, Rahn BA, Gautier E, Schneider E. Early temporary porosis of bone induced by internal fixation implants. A reaction to necrosis, not to stress protection? Clin Orthop Relat Res 1988;(232):139-51. PMID: 3289811

13.  Hoffmann MF, Burgers TA, Mason JJ, Williams BO, Sietsema Dl, Jones CB. Biomechanical evaluation of fracture fixation constructs using a variable-angle locked periprosthetic femur plate system. Injury 2014;45(7):1035-41. https://doi.org/10.1016/j.injury.2014.02.038

14.  Fulkerson E, Egol KA, Kubiak EN, Liporace F, Kummer FJ, Koval KJ. Fixation of diaphyseal fractures with a segmental defect: a biomechanical comparison of locked and conventional plating techniques. J Trauma 2006;60(4):830-5. https://doi.org/10.1097/01.ta.0000195462.53525.0c

15.  Buttaro MA, Farfalli G, Núñez MP, Comba F, Piccaluga F. Locking compression plate fixation of Vancouver type-b1 periprosthetic femoral fractures: J Bone Joint Surg Am 2007;89(9):1964-9. https://doi.org/10.2106/JBJS.F.01224

16.  Pavlou G, Panteliadis P, Macdonald D, Timperley JA, Gie G, Bancroft G, et al. A review of 202 periprosthetic fractures - stem revision and allograft improves outcome for type b fractures. Hip Int 2011;21(1):21-9. https://doi.org/10.5301/hip.2011.6301

17.  Leonidou A, Moazen M, Skrzypiec DM, Graham SM, Pagkalos J, Tsiridis E. Evaluation of fracture topography and bone quality in periprosthetic femoral fractures: a preliminary radiographic study of consecutive clinical data. Injury 2013;44(12):1799-804. https://doi.org/10.1016/j.injury.2013.08.010

18.  Schwarzkopf R, Oni JK, Marwin SE. Total hip arthroplasty periprosthetic femoral fractures: a review of classification and current treatment. Bull Hosp Jt Dis 2013;71(1):68-78. PMID: 24032586

19. Stoffel K, Dieter U, Stachowiak G, Gächter A, Kuster MS. Biomechanical testing of the LCP--how can stability in locked internal fixators be controlled? Injury 2003;34(Suppl 2):b11-19. https://doi.org/10.1016/j.injury.2003.09.021

20. Kubiak EN, Haller JM, Kemper DD, Presson AP, Higgins TF, Horwitz DS. Does the lateral plate need to overlap the stem to mitigate stress concentration when treating Vancouver c periprosthetic supracondylar femur fracture? J Arthroplasty 2015;30(1):104-8. https://doi.org/10.1016/j.arth.2014.07.021

 

 

ORCID de B. L. Allende: https://orcid.org/0000-0003-2757-4381

ORCID de S. Pereira: https://orcid.org/0000-0001-9475-3158

ORCID de I. Pioli: https://orcid.org/0000-0001-8697-1980

ORCID de G. Vindver: https://orcid.org/0000-0003-3858-6687

ORCID de S. Iglesias: https://orcid.org/0000-0001-6698-2914

ORCID de F. Bidolegui: https://orcid.org/0000-0002-0502-2300

 

Recibido el 11-6-2022. Aceptado luego de la evaluación el 19-8-2022   Dr. Gerardo L. Aguirre •  gerardoaguirre_91@hotmail.comhttps://orcid.org/0000-0002-9480-2906

 

Cómo citar este artículo: Aguirre GL, Allende BL, Pioli I, Iglesias S, Pereira S, Vindver G, Bidolegui F. Osteosíntesis en fracturas femorales periprotésicas de cadera Vancouver tipos B1 y C. Análisis multicéntrico. Rev Asoc Argent Ortop Traumatol 2022;87(5):652-659. https://doi.org/10.15417/issn.1852-7434.2022.87.5.1601

 

 

Información del artículo

Identificación: https://doi.org/10.15417/issn.1852-7434.2022.87.5.1601

Fecha de publicación: Octubre, 2022

Conflicto de intereses: Los autores no declaran conflictos de intereses.

Copyright: © 2022, Revista de la Asociación Argentina de Ortopedia y Traumatología.

Licencia: Este artículo está bajo una Licencia Creative Commons Atribución-No Comercial-Compartir Obras Derivadas Igual 4.0 Internacional. (CC-BY-NC-SA 4.0)