INVESTIGACIÓN CLÍNICA

 

Reconstrucción biológica de grandes defectos óseos con autoinjerto de peroné vascularizado en huesos largos

 

Pablo Jover Carbonell,* Víctor M. Zarzuela Sánchez,* Severiano Marín Bertolín,** Vicente Marquina Moraleda,* Guillermo Martínez Bovaira,* Laura Castillo Ruipérez,* Lorenzo Hernández Ferrando*

 

*Servicio de Cirugía Ortopédica y Traumatología, Consorcio Hospital General Universitario de Valencia, Valencia, España

**Servicio de Cirugía Plástica y Reconstructiva, Consorcio Hospital General Universitario de Valencia, Valencia, España

 

RESUMEN

Introducción: El autoinjerto vascular de peroné se presenta como una muy buena opción en la reconstrucción de grandes defectos óseos en huesos largos gracias a sus características estructurales y propiedades biológicas. Materiales y Métodos: Se realizó un estudio observacional descriptivo y retrospectivo que incluyó a todos los pacientes operados con un injerto vascular de peroné aislado o asociado a injerto estructural (técnica de Capanna) desde el 1 de enero de 2014 hasta el 1 de enero de 2021 en nuestro hospital. Resultados: Se realizaron 26 cirugías mediante un injerto vascular de peroné; en 8 de ellas, se utilizó el colgajo vascularizado de peroné para la reconstrucción del defecto óseo en hueso largo. El tamaño medio del defecto era de 7,7 cm. El origen del defecto era postraumático en 5 casos y tumoral en el resto. Se consiguió la consolidación completa en todos los pacientes. Los resultados clínicos y funcionales en las escalas de valoración fueron mejores en pacientes operados en el miembro inferior. Conclusiones: El uso de un colgajo vascularizado de peroné asociado o no a aloinjerto estructural es una estrategia útil en la reconstrucción de grandes defectos óseos (≥5 cm), independientemente de la causa de la lesión; la supervivencia del injerto y la función son buenas, con una tasa de complicaciones aceptable.

Palabras clave: Autoinjerto; colgajo libre; reconstrucción; defecto óseo.

Nivel de Evidencia: IV

 

Biological Reconstruction of Large Bone Defects with Vascularized Fibular Autograft

 

ABSTRACT

Background: Given its biological and structural qualities, vascular fibular autograft is a good option for the reconstruction of large defects in long bones. Materials and Methods: A descriptive and retrospective observational study was conducted. We included all cases of patients who underwent surgery in our hospital between January 1, 2014, and January 1, 2021, and who had a vascular fibula autograft either standalone or in combination with a structural graft (Capanna technique). Results: There were 26 documented vascular fibula autograft procedures. Eight of the procedures involved the reconstruction of a long bone defect. The bone defect was an average of 7.7 cm in length. In five of the cases, the origin of the bone defect was post-traumatic, and in the remaining cases, it was tumoral. In all cases, complete consolidation was achieved. Surgical procedures performed on the lower extremities yielded better clinical and functional outcomes. Conclusions: Vascular fibula autograft either on its own or in combination with a structural graft, as described in the Capanna technique, is an excellent alternative for the reconstruction of bone defects

5 cm. Radiological, clinical and functional outcomes are good, with an acceptable rate of complications.

Keywords: Autograft; free tissue flap; reconstruction; bone defect.

Level of Evidence: IV

 

INTRODUCCIÓN

La reconstrucción de grandes defectos óseos supone un reto para el cirujano ortopédico tanto por la complejidad del paciente como por la dificultad técnica de la cirugía. Esta requiere un alto grado de especialización e implicación del especialista que lleva a cabo todo el proceso, desde el diagnóstico temprano hasta el alta final del paciente.

La reconstrucción de grandes defectos óseos se puede realizar mediante: sistemas mecánicos (megaprótesis), sistemas mixtos (composite) y reconstrucciones biológicas (injertos vascularizados).

Los injertos óseos vascularizados se plantean como una alternativa en la reconstrucción de huesos largos a partir de los estudios de Crock, en 1967, sobre el soporte vascular en huesos del miembro inferior. En 1975, Taylor realizó el primer colgajo vascularizado de peroné (CVP) con un abordaje posterior. En 1979, Gilbert mejoró la técnica mediante el abordaje lateral que se utiliza hoy en día.1

Se plantea la reconstrucción mediante injertos vascularizados frente a los no vascularizados, porque, aunque son más complejos desde el punto de vista técnico, están especialmente indicados para defectos que miden >5 cm, los resultados a largo plazo y las tasas de consolidación son mejores, y causan menos complicaciones debido a sus mejores propiedades biológicas.2 La anastomosis vascular produce una revascularización del injerto que preserva la función de los osteoblastos y osteoclastos facilitando la remodelación y la osteointegración del injerto de forma más eficiente.

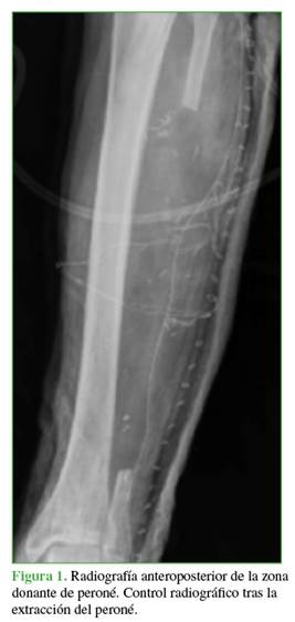
Concretamente, el injerto vascularizado de peroné es el colgajo microvascular óseo más utilizado debido a su gran versatilidad para las reconstrucciones, ya que permite montajes únicos, con doble barra o asociando colgajos musculocutáneos para solventar defectos de cobertura.2,3 Todas estas opciones hacen posible que se pueda utilizar en defectos que miden desde 5 cm hasta 25 cm, siempre que se respeten los últimos 7 cm distales y 4 cm proximales de peroné para evitar complicaciones en la zona donante (Figura 1).

 

 

 

 

 

Por todo esto, se planteó como objetivo principal de nuestro estudio la revisión de una serie de pacientes operados mediante esta técnica en nuestro hospital. El objetivo secundario fue realizar una revisión bibliográfica sobre el tema para comparar nuestros resultados con los que se han publicado.

 

MATERIALES Y MÉTODOS

Se llevó a cabo un estudio observacional descriptivo y retrospectivo que incluyó a todos los pacientes operados en quienes se utilizó un injerto vascular de peroné aislado o asociado a injerto estructural (técnica de Capanna) desde el 1 de enero de 2014 hasta el 1 de enero de 2021, en nuestro Centro. El objetivo fue evaluar la efectividad del colgajo libre vascularizado de peroné en la reconstrucción de huesos largos.

El injerto vascular de peroné es una técnica de alta complejidad quirúrgica que dos equipos realizan en una misma intervención. En el estudio preoperatorio, se planea cuál es la longitud necesaria del peroné para reconstruir el defecto y se realiza una angiotomografía computarizada para visualizar el árbol vascular de la zona donante. Durante la cirugía, mientras uno de los equipos prepara la zona receptora (si se trata a un paciente oncológico mediante la resección en bloque del tumor y, si se trata una seudoartrosis, mediante el desbridamiento y las osteotomías necesarias para el posterior acople del peroné microvascular), el otro equipo procede a la extracción del colgajo microvascular de peroné en la zona donante. Antes de proceder a la resección del peroné, se vuelve a comprobar el tamaño del segmento por resecar. Un detalle técnico de especial interés es que, para evitar la isquemia del colgajo, este debe mantenerse en la zona donante hasta que la preparación de la zona vascular receptora esté completamente finalizada. Cuando se emplea la técnica de Capanna, el equipo que trabaja sobre el lecho receptor prepara el injerto estructural (aloinjerto de tibia o fémur de cadáver) mediante tunelización y creando una ventana para el paso del pedículo vascular del peroné. Una vez que el lecho receptor está preparado (y el injerto estructural en caso de que se necesite), se procede a la extracción del colgajo del peroné con su pedículo vascular y la anastomosis microvascular en la zona receptora. Por último, se fija el injerto con el sistema de osteosíntesis elegido. En el posoperatorio inmediato, se monitorizan todos los colgajos mediante ecografía Doppler, y además aquellos en los que para la cobertura del defecto se ha requerido isla cutánea, esta ha sido útil para valorar su viabilidad a nivel clínico.

Se excluyó a los pacientes que habían sido sometidos a reconstrucciones mediante CVP en regiones distintas de las extremidades, por ejemplo, la mandíbula; a aquellos con reconstrucciones manejadas con otro tipo de injerto o colgajo, y a los pacientes con historia clínica incompleta.

El seguimiento clínico y radiológico fue mensual, trimestral, semestral y anual en función de la evolución del paciente, por un período mínimo de dos años. En una radiografía simple, se evaluó la consolidación ósea completa para huesos donante y receptor después de la cirugía.

Se registraron variables demográficas (sexo y edad), el hueso afectado (fémur, tibia, cúbito y húmero), la enfermedad, el tamaño del defecto, la cantidad de operaciones previas, el tipo de procedimiento reconstructivo (CVP aislado o asociado a injerto estructural), las complicaciones, el resultado funcional de la zona donante (escala de la American Orthopaedic Foot and Ankle Society, AOFAS), el resultado funcional de la zona receptora (escala de la Musculoskeletal Tumor Society, MSTS) (Tabla 1) para miembro inferior y el cuestionario QuickDASH (Tabla 2) para miembro superior, entre otras.

 

 

 

 

Se analizaron todas estas variables a partir de las historias clínicas de los pacientes y los resultados obtenidos se registraron en una hoja de recolección de datos en el programa SPSS 25 donde se realizó la estadística descriptiva.

 

RESULTADOS

Entre 2014 y 2021, se realizaron 26 cirugías con un injerto vascular de peroné y, en ocho de ellas, se utilizó el CVP para la reconstrucción del defecto óseo en el Servicio de Cirugía Ortopédica y Traumatología del Consorcio Hospital General Universitario de Valencia, España. Los pacientes tenían una media de la edad de 42 ± 20 años, con un límite inferior de 16 años y uno superior de 72. La distribución según el sexo, el hueso receptor, el diagnóstico y el tiempo de seguimiento se detalla en la Tabla 3.

 

 

 

El tamaño medio del defecto era de 7,7 cm, el de menor tamaño medía 5 cm (seudoartrosis séptica de cúbito) y el de mayor tamaño, 17 cm (osteosarcomas tibiales). Respecto del tamaño del CVP se utilizó, como media, un peroné más largo en los tres casos de tumores (21,33 ± 2,30 cm) que en los cinco no tumorales (5,30 ± 1,85 cm).

Se usó el CVP aislado en el miembro superior y, para todos los casos de miembro inferior, se empleó la técnica de Capanna que consiste en asociar un aloinjerto estructural al CVP (Figura 2).

 

 

 

 

El tiempo medio hasta la consolidación radiográfica completa fue de 7.16 meses (desviación estándar [DE] ± 0,75) (Figura 3). El tiempo medio hasta la consolidación fue más prolongado en el miembro superior (8 meses, DE ± 3) que en el miembro inferior (7 meses, DE ± 0,70). El tiempo medio hasta el inicio de la carga en los pacientes operados en el miembro inferior fue de 4.1 ± 1.47 meses.

 

 

 

La media de la estancia hospitalaria fue de 7.12 ± 2.99 días. Todos permanecieron, al menos, un día en la unidad de cuidados intensivos. El tiempo medio estimado de cirugía fue de 8 h y 40 min (DE ± 1 h y 32 min).

En cuanto a las complicaciones, dada la diversa etiología por la que se indica la cirugía, se dividió a las complicaciones en tres grupos: médicas, oncológicas y quirúrgicas tanto en la zona donante como receptora. No se registró ninguna causa médica de complicación, entendiendo como tal aquella derivada indirectamente de la cirugía, como insuficiencia respiratoria, tromboembolismo pulmonar o trombosis venosa profunda, arritmias, insuficiencia cardíaca, etcétera. Tampoco se produjeron complicaciones oncológicas en los pacientes operados por esta causa. Ninguno tuvo metástasis y todos están libres de enfermedad en la actualidad.

Las complicaciones quirúrgicas en la zona receptora fueron: una dehiscencia de la herida, una rotura del material de osteosíntesis, un paciente con consolidación viciosa y posteriormente una fractura patológica y dos casos de seudoartrosis.

Tanto el paciente con seudoartrosis séptica de cúbito como en el que presentó una seudoartrosis atrófica de húmero fueron operados otra vez: el primero al año y el segundo a los nueve meses. En ambos, el foco de seudoartrosis estaba en el polo distal del injerto y fue necesario extraer el material original de osteosíntesis, refrescar el foco, colocar un injerto de cresta ilíaca con proteína morfogenética ósea y emplear nuevamente material de osteosíntesis.

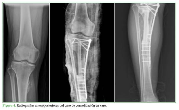
El paciente con consolidación viciosa en varo fue sometido al año a una osteotomía correctora valguizante tibial proximal y fijación con placa atornillada (Figura 4). La fractura patológica se produjo a los tres años de la operación inicial de CVP y fue tratada con reducción abierta, autoinjerto de hueso y una placa de carbono.

 

 

 

En la zona donante, se registraron solo dos casos de hallux flexus y un paciente sufrió una secuela neurológica con alodinia e hiperestesia que evolucionó favorablemente.

Finalmente, el puntaje de función fue de 27 sobre 30 (n = 5) en la escala de la MSTS para miembro inferior, 43,93% de media (n = 3) en el cuestionario QuickDASH para miembro superior y 90% de media (n = 8) en la escala de la AOFAS para la zona donante.

 

DISCUSIÓN

La reconstrucción de grandes defectos óseos supone un reto para el cirujano ortopédico, en este campo, el CVP se presenta como una buena técnica de reconstrucción tanto en el miembro superior como en el inferior, independientemente de la etiología del defecto óseo. A pesar de que son pocos los estudios que recurren a sistemas estandarizados de validación funcional para la cirugía reconstructiva de este tipo, consideramos oportuno emplear escalas validadas específicas que evalúen la función global en el miembro superior y el inferior, como el cuestionario QuickDASH para miembro superior, la escala de la MSTS para miembro inferior, y la de la AOFAS para valorar la función del pie y tobillo de la zona donante. En este contexto, cabe destacar que el uso de la escala de la MSTS para miembro inferior se ve limitado porque dos de los cinco casos no son oncológicos.

Los resultados de las evaluaciones funcionales fueron muy buenos, con una media de 27 sobre 30 puntos en la escala de la MSTS, similar al puntaje obtenido por Houben y cols. (26,3) en su revisión sistemática.4 En el miembro superior, el puntaje QuickDASH fue de 43,93, considerado un resultado funcional aceptable. En la escala de la AOFAS, el resultado medio fue de 90 sobre 100 puntos posibles. Por lo tanto, se demuestra que el CVP es un método de reconstrucción que logra resultados funcionales óptimos, sobre todo para tratar grandes defectos en las extremidades inferiores. La diferencia con los resultados obtenidos en el miembro superior podría deberse a que esta técnica se emplea menos en el brazo, a la menor aplicación de cargas que se traduce en una menor hipertrofia del injerto y a que concretamente la reconstrucción de la articulación radiocubital es más compleja por su función (Figura 5).3,5-7

 

 

 

 

Respecto a otros métodos de reconstrucción de huesos largos, la técnica de Masquelet o los injertos intercalares provocan altas tasas de complicaciones, mientras que el CVP tiene una tasa de complicaciones baja y los resultados a largo plazo son buenos, aunque se necesitan más estudios comparativos para valorar todas estas técnicas y poder afirmar la superioridad de alguna de ellas.8-11 Cabe destacar que, con el avance de la oncología, la supervivencia de los pacientes oncológicos ha aumentado y, en consecuencia, los tratamientos de preservación de extremidades han tenido que evolucionar para permitir salvaguardar la función del miembro. Los colgajos locales y los injertos óseos muchas veces conllevan reconstrucciones insuficientes con altas tasas de complicaciones.9,10,12,13 En nuestro estudio, los tres pacientes operados por tumores, todos tibiales, uno por un sarcoma de Ewing y los otros dos por osteosarcomas, han tenido una evolución favorable con una excelente función y sin recidiva hasta el momento del estudio.

A diferencia de lo que ocurre con los aloinjertos de hueso, la posibilidad de rechazo con el CVP es mínima y, según diversos estudios, la tasa de consolidación en la zona receptora es prácticamente del 100%, en tiempos que oscilan entre 4 y 6 meses.9,14,15 No obstante, en nuestra serie, hubo dos casos de seudoartrosis (25%) y el tiempo medio de consolidación fue de 7.17 meses, ligeramente superior a los publicados. En ambos casos de seudoartrosis (una de húmero y otra de cúbito), la consolidación proximal se produjo a los 5 y 11 meses, respectivamente, pero no del foco distal. Después de sus respectivas reoperaciones, se consiguió la consolidación en ambos. La diferencia en nuestros tiempos medios de consolidación comparados con los de otras series puede deberse a una discrepancia interobservador o a la técnica diagnóstica empleada para definir esta variable.15,16

Las complicaciones descritas más comunes en la zona donante suelen ser el edema y la debilidad de la pierna; no obstante, en nuestro estudio, la complicación más frecuente fue el hallux flexus. Podemos afirmar que las complicaciones de la zona donante son prácticamente nulas o, al menos, muy abordables fácilmente con una cirugía ambulatoria.

No se produjeron casos de permeabilidad vascular, todas las anastomosis eran funcionantes y la tasa de complicaciones fue similar a las que se han publicado, por lo que, pese a que es una cirugía de gran complejidad técnica, según nuestra experiencia, la reconstrucción con materiales biológicos del propio paciente, como el colgajo óseo de peroné, es una técnica muy eficaz y que otorga al paciente muy buena función a largo plazo en el miembro operado.2,3,6,16

Esta investigación tiene diversas limitaciones y posibles sesgos al ser un estudio retrospectivo, no aleatorizado y con una muestra pequeña. Se deberían considerar posibles factores de confusión, como la pericia quirúrgica del cirujano, las diferentes terapias de rehabilitación realizadas o no por los pacientes y la evaluación subjetiva que ofrecen las escalas de función, por ejemplo, la MSTS, pues podrían generar una estimación excesiva de los resultados.

 

CONCLUSIONES

El uso de un CVP asociado o no a aloinjerto estructural es una estrategia útil en la reconstrucción de grandes defectos óseos (≥5 cm), al margen de la causa de la lesión. La supervivencia y la función del injerto son buenas, y la tasa de complicaciones es aceptable.

Como se ha publicado, se logran buenos resultados con esta técnica, aunque, según nuestra experiencia, son más satisfactorios en el miembro inferior, esto puede deberse a que la asociación del CVP con aloinjerto estructural facilita la osteointegración en huesos de carga, como el fémur y la tibia. Sería recomendable llevar a cabo más estudios con muestras más grandes, divididas en subgrupos para corroborar dicha hipótesis.

 

BIBLIOGRAFÍA

 

1.     Gilbert A. Vascularised transfer of the fibula shaft. Int J Microsurg 1979;1:100-2.

 

2.     Sepúlveda S, Carolis FV, Andrades CP, Benítez SS, Danilla ES, Eranzo CC. Reconstrucción con colgajos libres: experiencia de 33 años. Rev Chil Cir 2013;65(6):502-8. https://doi.org/10.4067/S0718-40262013000600005

3.     de la Parra-Márquez M, Zorola-Tellez O, Cárdenas-Rodríguez S, Rangel-Flores JM, Sánchez-Terrones G. Versatilidad del colgajo microvascular de peroné en reconstrucción de extremidades. Cir Cir 2016;84(3):213-9. https://doi.org/10.1016/j.circir.2015.08.004

4.     Houben RH, Rots M, van den Heuvel SCM, Winters HAH. Combined massive allograft and intramedullary vascularized fibula as the primary reconstruction method for segmental bone loss in the lower extremity: A systematic review and meta-analysis. JBJS Rev 2019;7(8):e2. https://doi.org/10.2106/JBJS.RVW.18.00166

5.     Tang CH. Reconstruction of the bones and joints of the upper extremity by vascularized free fibular graft: report of 46 cases. J Reconstr Microsurg 1992;8(4):285-92. https://doi.org/10.1055/s-2007-1006709

6.     Capanna R, Campanacci DA, Belot N, Beltrami G, Manfrini M, Innocenti M, et al. A new reconstructive technique for intercalary defects of long bones: the association of massive allograft with vascularized fibular autograft. Long-term results and comparison with alternative techniques. Orthop Clin North Am 2007;38(1):51-60, vi. https://doi.org/10.1016/j.ocl.2006.10.008

7.     Masquelet AC, Begue T. The concept of induced membrane for reconstruction of long bone defects. Orthop Clin North Am 2010;41(1):27-37; table of contents. https://doi.org/10.1016/j.ocl.2009.07.011

8.     Kalra GS, Goel P, Kumar SP. Reconstruction of post-traumatic long bone defect with vascularised free fibula: A series of 28 cases. Indian J Plast Surg 2013;46(3):543-8. https://doi.org/10.4103/0970-0358.122013

9.     DeCoster TA, Gehlert RJ, Mikola EA, Pirela-Cruz MA. Management of posttraumatic segmental bone defects. J Am Acad Orthop Surg 2004;12(1):28-38. https://doi.org/10.5435/00124635-200401000-00005

10.  Zekry KM, Yamamoto N, Hayashi K, Takeuchi A, Alkhooly AZA, Abd-Elfattah AS, et al. Reconstruction of intercalary bone defect after resection of malignant bone tumor. J Orthop Surg (Hong Kong) 2019;27(1):2309499019832970. https://doi.org/10.1177/2309499019832970

11.  Aktuglu K, Erol K, Vahabi A. Ilizarov bone transport and treatment of critical-sized tibial bone defects: a narrative review. J Orthop Traumatol 2019;20(1):22. https://doi.org/10.1186/s10195-019-0527-1

12.  Jeys LM, Kulkarni A, Grimer RJ, Carter SR, Tillman RM, Abudu A. Endoprosthetic reconstruction for the treatment of musculoskeletal tumors of the appendicular skeleton and pelvis. J Bone Joint Surg Am 2008;90(6):1265-71. https://doi.org/10.2106/JBJS.F.01324

13.  Landau MJ, Badash I, Yin C, Alluri RK, Patel KM. Free vascularized fibula grafting in the operative treatment of malignant bone tumors of the upper extremity: A systematic review of outcomes and complications. J Surg Oncol 2018;117(7):1432-9. https://doi.org/10.1002/jso.25032

14.  Paulussen M, Ahrens S, Dunst J, Winkelmann W, Exner GU, Kotz R, et al. Localized Ewing tumor of bone: final results of the cooperative Ewing’s Sarcoma Study CESS 86. J Clin Oncol 2001;19(6):1818-29. https://doi.org/10.1200/JCO.2001.19.6.1818

15.  Liu S, Tao S, Tan J, Hu X, Liu H, Li Z. Long-term follow-up of fibular graft for the reconstruction of bone defects. Medicine 2018;97(40):2605. https://doi.org//10.1097/md.0000000000012605

16.  Greenwald S, Boden S, Goldberg V, Khan Y, Laurencin C. Bone-graft substitutes: facts, fictions, and applications. J Bone Joint Surg 2001;83-A Suppl 2 Pt 2:98-103. https://doi.org/10.2106/00004623-200100022-00007

 

 

ORCID de V. M. Zarzuela Sánchez: https://orcid.org/0009-0009-3656-7467      

ORCID de G. Martínez Bovaira: https://orcid.org/0000-0002-9626-9770

ORCID de S. Marín Bertolín: https://orcid.org/0000-0001-6238-2997 

ORCID de L. Castillo Ruipérez: https://orcid.org/0000-0002-5091-3014

ORCID de V. Marquina Moraleda: https://orcid.org/0000-0003-4030-5215

ORCID de L. Hernández Ferrando: https://orcid.org/0000-0003-0084-4337

 

Recibido el 30-4-2023. Aceptado luego de la evaluación el 10-10-2023 Dr. Pablo Jover Carbonell pablo.jocar@hotmail.com https://orcid.org/0000-0002-0955-1429

 

Cómo citar este artículo: Jover Carbonell P, Zarzuela Sánchez VM, Marín Bertolín S, Marquina Moraleda V, Martínez Bovaira G, Castillo Ruipérez L, Hernández Ferrando L. Reconstrucción biológica de grandes defectos óseos con autoinjerto de peroné vascularizado en huesos largos. Rev Asoc Argent Ortop Traumatol 2023;88(6):620-629. https://doi.org/10.15417/issn.1852-7434.2023.88.6.1591

 

 

Información del artículo

Identificación: https://doi.org/10.15417/issn.1852-7434.2023.88.6.1591

Fecha de publicación: Diciembre, 2023

Conflicto de intereses: Los autores no declaran conflictos de intereses.

Copyright: © 2023, Revista de la Asociación Argentina de Ortopedia y Traumatología.

Licencia: Este artículo está bajo una Licencia Creative Commons Atribución-No Comercial-Compartir Obras Derivadas Igual 4.0 Internacional. (CC-BY-NC-SA 4.0)