PRESENTACIÓN DE CASO

 

Cementado de una copa de doble movilidad dentro de un cotilo no cementado fijo para el tratamiento de una luxación recurrente. Resultados a corto plazo

 

Carlos Alberto Vega*, Favio Moruno*, Miguel Beleño**

*Servicio de Ortopedia y Traumatología, Hospital Zonal General de Agudos “Dr. Carlos Bocalandro”, Loma Hermosa, Buenos Aires, Argentina **Servicio de Ortopedia y Traumatología, Hospital Municipal Dr. Bernardo Houssay, Vicente López, Buenos Aires, Argentina

 

RESUMEN

Introducción: El reemplazo total de cadera (RTC) es la artroplastia más exitosa hasta el momento, no exenta de complicaciones, como la inestabilidad protésica. Las copas de doble movilidad (DM) constituyen una opción de tratamiento en la resolución del RTC con luxaciones recidivantes por inestabilidad. Se presenta el caso de una paciente a la que se le había practicado un RTC no cementado de fijación distal, después de una osteosíntesis fallida. Debido a que la paciente presentó episodios de luxaciones recurrentes, se decidió tratarla mediante revisión con implante de DM cementado dentro de un cotilo primario no cementado fijo y el uso de un módulo femoral proximal con offset extendido, preservando la tensión, la longitud y la reductibilidad de la prótesis. Se logró la resolución de la inestabilidad protésica y la paciente no presentó más episodios de luxación, con buenos resultados a corto plazo. El score de Harris pasó de 4/80 en el prequirúrgico a 61/80, 73/80 y 76/80 a los 3, 6 y 9 meses del posoperatorio, respectivamente. Conclusión: La cementación de un cotilo DM en una copa previamente bien fijada parece una opción viable para tratar y prevenir la inestabilidad después del RTC de revisión.

Palabras clave: Doble movilidad, reemplazo total de cadera, luxación recurrente.

Nivel de Evidencia: IV

 

Cementation of a Dual Mobility Cup in a Fixed Uncemented Cup for the Treatment of Recurrent Dislocation. Short-term Results

 

Abstract

Introduction: Total hip replacement (THR) is the most successful arthroplasty to date, not exempt from complications, such as prosthetic instability. Double mobility (DM) cups are a treatment option in the resolution of THR with recurrent dislocations due to instability. The objective of the study was to evaluate the results of cementing a DM component in a previous, stable uncemented cup, in a patient with recurrent dislocation, undergoing revision THR. A patient with uncemented THR with distal fixation after failed osteosynthesis, who presented episodes of recurrent dislocations, was treated by revision with a cemented DM implant inside a fixed uncemented primary cup and a proximal femoral module with extended offset, preserving tension, length and reducibility of the prosthesis. Resolution of the prosthetic instability was achieved and the patient did not present any episodes of dislocation, obtaining good outcomes in the short term. The hip Harris score went from 4/80 preoperatively to 61/80, 73/80, and 76/80 evaluated at 3, 6, and 9 months postoperatively, respectively. Conclusion: Cementation of a DM cup in a previously well-fixed cup appears to be a viable option to treat and prevent instability after revision THR.

Key words: Double mobility, total hip replacement, recurrent dislocation.

Level of Evidence: IV

 

Introducción

El reemplazo total de cadera (RTC) fue calificado como “la cirugía del siglo” en un artículo publicado en 2007 por la revista médica The Lancet,1 dado su impacto en la calidad de vida del paciente. Sin embargo, dicha cirugía no está exenta de posibles complicaciones difíciles de resolver; una de ellas son los casos de inestabilidad protésica con luxaciones recurrentes. Se ha reportado una incidencia de luxación después de un reemplazo total de cadera primario del 0,4% al 5,8%, y esta tasa es incluso más alta, del 4% al 30%, después de una revisión protésica.2 La luxación se convirtió en la principal razón para la revisión en el primer año después de una artroplastia de cadera.3 Se han reconocido varios factores de riesgo de luxación, incluyendo cirugías previas, daño tisular, edad avanzada, enfermedades neuromusculares, deterioro cognitivo, inestabilidad previa, mal posicionamiento de los componentes, alteraciones en el aparato abductor y columna baja rígida.4,5 En pacientes con alto riesgo de inestabilidad recurrente, el manejo adecuado es controvertido. Aunque las cabezas femorales grandes o los insertos constreñidos son opciones quirúrgicas para manejar este problema, se han informado altas tasas de fracaso.6,7

Las copas de doble movilidad (DM) son dispositivos útiles que permiten una gran relación cabeza-cuello y un tamaño de cabeza efectivo que aumenta la distancia de salto, lo que permite un mayor rango de movimiento que las cabezas femorales convencionales. Varios estudios han sugerido el uso de componentes de DM como una herramienta para prevenir el riesgo de luxación en la cirugía de revisión, con resultados exitosos.8,9 El riesgo de luxaciones se reduce significativamente utilizando una copa DM.10 La mayor preocupación sobre este tipo de implante era el desgaste del polietileno en el seguimiento a largo plazo, pero estudios recientes concluyen que el desgaste del polietileno fue comparable al de las expectativas estándares.11

El objetivo de esta presentación de caso es evaluar los resultados a corto plazo cementando un cotilo de DM dentro de una copa no cementada previamente fija para el tratamiento de la luxación recurrente.

 

Caso clínico

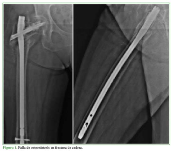
Se presenta el caso de una mujer de 66 años, con antecedentes de alcoholismo, HTA y osteosíntesis fallida con clavo céfalo-medular por fractura intertrocantérica de cadera derecha (AO 31-A3.1), realizada en 2017 (Figura 1).

 

 

 

 

Esta complicación fue tratada con un reemplazo total de cadera no cementado con prótesis modular de fijación distal en 2019 (Figura 2), debido a la pérdida del área de fijación en el fémur proximal.

 

 

 

 

Luego de esta última cirugía, la paciente presenta episodios recurrentes de luxación protésica a partir del segundo mes del posoperatorio, en total 4 episodios, los 3 primeros tratados con reducción cerrada. En el cuarto episodio de luxación, no fue posible la reducción incruenta (Figura 3), y permaneció luxada hasta la realización de la revisión protésica a los 9 meses de la operación. Se contempló la preservación del cotilo no cementado osteointegrado y cementando en él mediante una copa de doble movilidad, con cambio, a su vez, del módulo proximal del componente femoral, que nos brinda la posibilidad del uso de un mayor offset –ventaja vinculada con la modularidad del vástago–, preservando la tensión, la longitud y la reductibilidad de la prótesis.

 

 

 

 

Con la primera revisión, se logró reproducir el offset de la cadera contralateral y se evidenció una discrepancia de longitud de 4 mm a predominio de la cadera operada. En cuanto a la copa acetabular, se encontró con una inclinación de 42,5° y una anteversión de 16,7°, evidenciadas por el método de Liaw.12 Además, no se visualizaron signos de aflojamiento en ninguno de los componentes (Figura 4). Se descartó columna rígida mediante radiografías de columna lumbosacra con la paciente de pie y sentada, midiendo la inclinación sacra.

 

 

 

 

Se indicó profilaxis antibiótica preoperatoria, además de ácido tranexámico en el momento de la inducción anestésica y al cierre de la herida.

Con la paciente bajo anestesia raquídea en decúbito lateral izquierdo estricto, mediante abordaje posterolateral de cadera se accede hasta el plano protésico y se encuentra luxado el implante; se retira el módulo proximal del componente femoral, para aumento del campo de trabajo, se constata intraoperatoriamente la consolidación del trocánter mayor, dado que radiológicamente impresionaba pseudoartrosis. Se extrae el polietileno del componente acetabular, verificando la correcta orientación y estabilidad del cotilo no cementado anteriormente implantado (Figura 5) y se retiran los tornillos de la copa, para usar los orificios como retenciones para el cementado. Debido al acabado liso de la superficie interna de la cubierta metálica retenida, realizamos rugosidades con una mecha de carburo de tungsteno, lo que aumenta la resistencia a la fijación cementada hasta en un 20%.13 Para evitar que queden desechos metálicos en la articulación, se realizó la cobertura de la zona con gasas y posterior lavado profuso.

 

 

 

 

Se presenta un cotilo de prueba de 44 mm (Figura 6), se verifica que sus dimensiones permitirán dejar 2-3 mm para el manto de cemento, lo cual se corroboró previamente en la planificación prequirúrgica (Figura 7). Se utilizó cemento con antibiótico (gentamicina + vancomicina) para disminuir el índice de probabilidad de infección.

 

 

 

 

 

 

Se tiene como ventaja la posibilidad de cementar con una orientación independiente de la copa fija preexistente; la copa cementada de doble movilidad se colocó en el ángulo de anteversión e inclinación deseados usando presión manual y centralizada, con atención para evitar que el componente toque el fondo de la cúpula metálica, hasta el fraguado del cemento.

Posteriormente se reemplaza el módulo proximal femoral por una medida de longitud inmediatamente inferior, esto por la extrusión acetabular que se genera con el nuevo componente cementado, es decir, se ajustó la longitud del miembro con la reducción del tamaño del componente modular proximal femoral y se incrementó el offset para optimizar la tensión de los tejidos blandos.

Antes del procedimiento, se constató la estabilidad de los componentes evaluando la fijación de estos mediante los criterios de Engh14 y se la corroboró intraquirúrgicamente. Se probó la estabilidad con los componentes de prueba realizando maniobras de flexión, extensión, abducción y rotaciones.

Se realiza la reducción con los componentes definitivos, se comprueba la completa estabilidad del implante. Se deja un drenaje articular (por 48 horas) y se efectúa el cierre por planos hasta piel.

La analgesia posoperatoria inicia con la infiltración de la herida con ropivacaína durante su cierre y continúa con ketorolac endovenoso en combinación con paracetamol por vía oral. Este manejo multimodal del dolor facilita la terapia física y de rehabilitación, que es fundamental para mantener el rango de movimiento articular, lo que agiliza el alta hospitalaria y disminuye el riesgo de trombosis venosa profunda, junto con la administración de enoxaparina durante 30 días.

En el caso descripto, se remarcan algunos detalles que facilitaron su resolución: 1- contar con un cotilo osteointegrado de tamaño adecuado (54 mm), suficiente para poder cementar dentro de él una copa de doble movilidad en su diámetro más pequeño (44 mm, la que pudo encontrarse en el país), esto pudo ser corroborado durante la planificación prequirúrgica mediante el método clásico, con radiografías impresas en tamaño real y plantillas de los componentes a implantar; 2- preservar la copa no cementada supone una ventaja, al mantener el stock óseo acetabular del paciente; 3- la versatilidad que ofrece un tallo modular, con el cual se pudo cambiar la longitud del módulo proximal (de uno de 60 mm a uno de 50 mm) (Figura 8); y 4- contar con la opción de offset extendido, para lograr la reducción de la prótesis y la mejor tensión del aparato abductor, sin comprometer la longitud del miembro, favoreciendo así la estabilidad protésica. Los componentes femorales de revisión modular permiten al cirujano realizar un ajuste intraoperatorio más preciso en anteversión y dimensionamiento, lo que redunda en menores tasas de luxación y mejora de la estabilidad.15

 

 

 

 

En cuanto a los resultados, se logró la resolución de la inestabilidad protésica, sin nuevos episodios de luxación hasta la fecha. La paciente reinició su rehabilitación con deambulación desde las 48 horas posteriores a la cirugía utilizando dos bastones canadienses por 3 semanas, luego deambuló con un solo bastón por otras 3 semanas, hasta lograr la deambulación independiente. Se realizó la revisión del implante a fin de corroborar la preservación del stock óseo y el correcto balance de las partes blandas y la longitud en el miembro afectado (Figura 9). Se llevó a cabo un seguimiento de 24 meses y se evaluó la evolución mediante el score de Harris modificado: el puntaje estimado era de 4/80 (mal resultado) en el preoperatorio, y este pasó a 61/80, 73/80 y 76/80 a los 3, 6 y 9 meses de la cirugía, respectivamente, lo que se considera un excelente resultado. Con respecto al nivel de deambulación, el resultado funcional mostró grandes cambios entre las evaluaciones pre- y posoperatorias. En concreto, la paciente deambula sin necesidad de aditamentos ortopédicos y sin dolor, no existe discrepancia de miembros y no presentó nuevos episodios de luxación.

 

 

 

 

En el análisis radiológico posquirúrgico de la placa, se evidenció un incremento del offset horizontal, que pasó de 39 mm a 42 mm por el uso del offset extendido. Esto se determinó por el método por Bellova y cols.,16 en el cual se traza una línea que une los centros de rotación independientes de la copa no cementada y la copa DM. Al tener una orientación independiente, la copa DM presenta una inclinación de 41,3°, diferente de la copa no cementada (42,7°), lo que optimiza la inclinación y la anteversión. Se mejoró la discrepancia de miembros hasta lograr una diferencia de solo 1 mm (Figura 10). En la evaluación radiográfica a los 24 meses del procedimiento, se evidenció la consolidación completa del fémur proximal y no se encontraron cambios en los valores de inclinación, anteversión y offset, ni signos de aflojamiento en la interfaz entre la copa no cementada y la copa DM. Del mismo modo, no se observaron signos de aflojamiento en ninguno de los componentes (Figura 11).

 

 

 

 

 

 

Discusión

El presente reporte de caso indica que la técnica de cementado de un cotilo DM dentro de una copa no cementada fija, o técnica de “doble anclaje”, podría ser una opción en casos de luxación recurrente o pacientes de alto riesgo, al menos a corto plazo.

Se ha propuesto esta técnica como una alternativa a la revisión convencional para acortar el tiempo operatorio. Esto se debe a que la extracción de una cubierta metálica no cementada puede generar desafíos técnicos sustanciales al cirujano, relacionados con la interrupción de una interfaz segura hueso-implante y la potencial pérdida ósea. La preservación de la copa no cementada pretende reducir la pérdida de sangre, el daño óseo y la morbilidad perioperatoria general, fundamental en pacientes de alto riesgo quirúrgico.

Wegrzyn y cols.17 propusieron por primera vez la cementación de una copa de doble movilidad en una cubierta metálica bien fijada con validación biomecánica de esta construcción. En la literatura existe evidencia creciente de excelentes resultados con los sistemas DM en la prevención de luxaciones y reintervenciones después de un RTC de revisión, especialmente después de un RTC previamente inestable.18

Uno de los factores más críticos para lograr una estabilidad adecuada después de un RTC primario o de revisión es la posición de los componentes, especialmente de la copa acetabular. Wera y cols.19 encontraron que una de las etiologías más frecuentes era la malposición del cotilo y sugirieron la revisión del acetábulo para lograr una posición adecuada. Rogers y cols.20 reportan que la estabilidad se logró con éxito en el 73% de los pacientes que se sometieron a revisión por malposición del componente acetabular. Por el contrario, en los pacientes con causas desconocidas de luxación, la tasa de éxito fue solo del 33%.

En una serie de 355 RTC de revisión, Hartzler y cols.21 encontraron una tasa de luxación del 3% en pacientes tratados con implantes DM, frente al 10% en pacientes tratados con cabeza femoral de 40 mm. Además, la reintervención por cualquier causa fue menos frecuente en la cohorte de DM (6%) que en la cohorte de cabeza femoral de 40 mm (15%).

Brüggemann y cols.22 reportan un estudio retrospectivo que mostró una tasa de luxación más baja al usar copas de DM en comparación con los liners de polietileno cementados en tantalio poroso. La supervivencia libre de luxación a los 4 años fue del 99% (solo 1 paciente presentó luxación) en el grupo DM, mientras que en el grupo polietileno, el éxito fue solo del 88%.

Otra causa de luxación es la deficiencia del aparato abductor. Cuando este mecanismo está ausente o es muy deficiente, es posible que las copas de DM no sean efectivas y, en general, se recomienda el uso de un inserto constreñido.19

En la artroplastia de cadera, las cirugías de revisión tienen un gran aumento de la morbimortalidad y menor tasa de éxito que las cirugías primarias. Las luxaciones recidivantes son una causa frecuente de revisión protésica; en esos casos, lograr el menor daño, la mayor preservación de stock óseo y la más rápida recuperación del paciente son las medidas del éxito. Conocer la causa de la inestabilidad previa facilita en gran medida la planificación quirúrgica; si no se dispone de esa información, es necesario contar con un amplio espectro de resoluciones en el momento del acto quirúrgico.

Por otra parte, es importante considerar que el RTC tras una fijación interna del fémur proximal fallida se asocia con un riesgo elevado de luxación del implante.23 La falla de la fijación de la fractura femoral proximal extracapsular conlleva un mayor riesgo de complicaciones que la fractura intracapsular, con peores resultados para la cirugía de RTC de rescate, especialmente en términos de estabilidad del implante.24 Se calcula que los RTC primarios realizados como rescate frente a una osteosíntesis con clavo céfalo-medular fallida tienen hasta el doble de luxaciones posoperatorias en relación con los RTC primarios (8,1% vs. 4,5%).25

El uso de copas DM parece ser una buena alternativa cuando hay inestabilidad protésica. En el caso presentado, se modificó el módulo proximal del implante femoral; el offset conseguido pasó de 39 mm a 42 mm y el cambio del módulo permitió compensar longitud. Además, el ángulo de inclinación logrado con la copa DM fue de 41,3° comparado con los 42,7° de la copa no cementada. Esta variación de 1,4° no debería considerarse influyente para disminuir el índice de luxación. Por tanto, se podría inferir que es por sus características propias, ya referidas por otros autores, que la copa DM es una alternativa válida para el manejo de la inestabilidad protésica.

 

Conclusión

Aunque el seguimiento del caso descripto es aún breve, la cementación de un cotilo DM en una copa previamente bien fijada parece ser una opción viable para tratar y prevenir la inestabilidad después del RTC de revisión. Además, la preservación de la copa no cementada supone una ventaja para mantener el stock óseo y acortar el tiempo quirúrgico en pacientes de alto riesgo.

 

FINANCIAMIENTO

Los autores no recibieron apoyo financiero para la investigación, autoría y/o publicación de este artículo.

 

Bibliografía

 

1.     Learmonth ID, Young C, Rorabeck C. The operation of de century: total hip replacement. The Lancet 2007; 370 (9597): 1508-19. https://doi.org/10.1016/S0140-6736(07)60457-7

2.     Vajapey SP, Fideler KL, Lynch D, Li M. Use of dual mobility components in total hip arthrop: Indications and outcomes. J Clin Orthop Trauma 2020;11(Suppl 5):S760-5. https://doi.org/10.1016/j.jcot.2020.07.035

3.     Prudhon JL, Ferreira F, Verdier R. Dual mobility cup: Dislocation rate and survivorship at ten years of follow-up. Int Orthop 2013;37(12):2345-50. https://doi.org/10.1007/s00264-013-2067-2

4.     Carter AH, Sheehan EC, Mortazavi SM, Purtill JJ, Sharkey PF, et al. Revision for recurrent instability: what are the predictors of failure? J Arthroplasty 2011;26(6 Suppl):46-52. https://doi.org/10.1016/j.arth.2011.03.021

5.     Wetters NG, Muray TG, Moric M, Sporer SM, Paprosky WG, et al. Risk factors for dislocation after revisión total hip arthroplasty. Clin Orthop Relat Res 2013;471(2):410-6. https://doi.org/10.1007/s11999-012-2561-7

6.     Garbuz DS, Masri BA, Duncan CP, et al. The Frank Stinchfield award: Dislocation in revisión THA: Do large heads (36 and 40mm) result in reduced dislocation rates in a randomized clinical trial? Clin Orthop Relat Res 2012;470(2):351-6. https://doi.org/10.1007/s11999-011-2146-x

7.     Della Valle CJ, Chang D, Sporer S, Berger RA, Rosenberg AG, et al. High failure rateo f constrained acetabular liner in revisión total hip arthroplasty. J Arthroplasty 2005;20(Suppl. 3):103-7. https://doi.org/10.1016/j.arth.2005.05.005

8.     Philippot R, Adam P, Reckhaus M, Verdot FX, G Curvale G, et al. Prevention of dislocation in total hip revisión surgery using a dual mobility design. Orthop Traumatol Surg Res 2009;95(6):407-13. https://doi.org/10.1016/j.otsr.2009.04.016

9.     Mohaddes M, Cnudde P, Rolfson O, Wall, Kärrholm J. Use of dual mobility cup in revision hip arthroplasty reduces the risk for further dislocation: analysis of seven hundred and ninety-one first-time revisions performed due to dislocation, reported to the Swedish Hip Arthroplasty Register. Int Orthop 2017;41(3):583-8. https://doi.org/10.1007/s00264-016-3381-2

10.  Moreta J, Uriarte I, Foruria X, Urra U, Aguirre U, et al. Cementation of a dual-mobility cup into a well-fixed cementless Shell in patients with high risk of dislocation of dislocation undergoing revision total hip arthroplasty. Hip Int 2021;31(1):97-102. https://doi.org/10.1177/1120700019873617

11.  Vielpeau C, Lebel B, Ardouin L, Burdin G, Lautridou C. The dual mobility socket concept: experience with 668 cases. Int Orthop 2011;35(2):225-30. https://doi.org/10.1007/s00264-010-1156-8

12.  Liaw CK, Hou SM, Yang RS, et al. A new tool for measuring cup orientation in total hip arthroplasties from plain radiographs. Clin Orthop Relat Res. 2006;451:134-9.

13.  Bonner KF, Delanois RE, Harbach G, Bushelow M, Mont MA. Cementation of a polyethylene liner into a metal shell. Factors related to mechanical stability. J Bone Joint Surg Am 2002;84-A:1587-93. https://doi.org/10.2106/00004623-200209000-00011

14.  Engh Ch, Massin P, Suther K. Roentgenographic assesment of biologic fixation of porous-surface femoral components. Clin Orthop Relat Res 1990;257:107-28. PMID: 2199114.

15.  Huddleston JI III, Tetreault MW, Yu M, Bedair H, Hansen VJ, et al. Is there a benefit to modularity in “simpler” femoral revisions? Clin Orthop Rel Res 2016;474:415-20. https://doi.org/10.1007/s11999-015-4474-8

16.  Bellova P, Koch F, Stiehler M, Hartmann A, Fritzsche H, Günther KP, Goronzy J. Cementation of a dual mobility cup in a well-fixed acetabular component a reliable option in revision total hip arthroplasty? BMC Musculoskelet Disord 2021;22:982 https://doi.org/10.1186/s12891-021-04835-z

17.  Wegrzyn J, Saugy CA, Guyen O, Antoniadis A. Cementation of a dual mobility cup into an existing well-fixed metal shell: a reliable option to manage wear-related recurrent dislocation in patients with high surgical. J Arthroplasty 2020;35(9):2561-66. https://doi.org/10.1016/j.arth.2020.05.001

18.  Lange JK, Spiro SK, Westrich GH. Utilizing dual mobility components for first-time revisión total hip arthroplasty for instability. J Arthroplasty 2018;33(2):505-9. https://doi.org/10.1016/j.arth.2017.09.029

19.  Wera GD, Ting NT, Moric M, Paprosky WG, Sporer SM, et al. Classification and management of the unstable total hip arthroplasty. J Arthroplasty 2012;27(5):710-5. https://doi.org/10.1016/j.arth.2011.09.010

20.  Rogers M, Blom AW, Barnett A, et al. Revision for recurrent dislocation of total hip replacement. Hip Int 2009;19:109-13.

21.  Hartzler MA, Abdel MP, Sculco PK, et al. Otto Aufranc award: dual-mobility constructs in revision THA reduced dislocation, rerevision, and reoperation compared with large femoral heads. Clin Orthop Relat Res 2018;476:293-301. https://doi.org/10.1007/s11999.0000000000000035

22.  Brüggemann A, Mallmin H, Hailer NP. Do dual-mobility cups cemented into porous tantalum shells reduce the risk of dislocation after revision surgery? Acta Orthop 2018;89:156-62.

23.  Boulat S, Neri T, Boyer B, Philippot R, Farizon F. Dual mobility cups in total hip arthroplasty after failed internal fixation of proximal femoral fractures. Orthop Traumatol Surg Res 2019;105(3):491-5. https://doi.org/10.1016/j.otsr.2019.01.014

24.  Favreaua H, Ehlinger M, Adam P, Bonnomet F. Total hip arthroplasty with exclusive use of dual-mobility cup after failure of internal fixation in trochanteric fracture. Orthop Traumatol Surg Res 2020;106(4):645-9. https://doi.org/10.1016/j.otsr.2020.02.011

25.  Smith A, Denehy K, Ong KL, Lau E, Hagan D, et al. Total hip arthroplasty following failed intertrochanteric hip fracture fixation treated with a cephalomedullary nail. Bone Joint J 2019;101-B(6_Supple_B):91-6. https://doi.org/10.1302/0301-620X.101B6.BJJ-2018-1375.R1

 

 

ORCID de F. Moruno: http://orcid.org/0000-0002-9522-4079

ORCID de M. Beleño: http://orcid.org/0000-0002-6652-9690

 

Recibido el 31-5-2022. Aceptado luego de la evaluación el 23-8-2022   Dr. Carlos Alberto Vega •  c_vega78@hotmail.com https://orcid.org/0000-0002-6104-5099

 

Cómo citar este artículo: Vega CA, Moruno F, Beleño M. Cementado de una copa de doble movilidad dentro de un cotilo no cementado fijo para el tratamiento de una luxación recurrente. Resultados a corto plazo. Rev Asoc Argent Ortop Traumatol. 2022;87(5):703-714. https://doi.org/10.15417/issn.1852-7434.2022.87.5.1590

 

 

Información del artículo

Identificación: https://doi.org/10.15417/issn.1852-7434.2022.87.5.1590

Fecha de publicación: Octubre, 2022

Copyright: © 2022, Revista de la Asociación Argentina de Ortopedia y Traumatología.

Licencia: Este artículo está bajo una Licencia Creative Commons Atribución-No Comercial-Compartir Obras Derivadas Igual 4.0 Internacional. (CC-BY-NC-SA 4.0)