INVESTIGACIÓN CLÍNICA

 

Tratamiento quirúrgico para fracturas bifocales de húmero Maresca tipo A2

 

Gonzalo M. Viollaz,*,** Alejandro Tedeschi,* Luciano Calo,** Álvaro J. Muratore,* Rafael Durán,* Gustavo Teruya,* Diego Gómez*

*Servicio de Traumatología y Ortopedia, Hospital Británico de Buenos Aires, Ciudad Autónoma de Buenos Aires, Argentina

**Departamento de Cirugía de Mano y Miembro Superior, Servicio de Ortopedia y Traumatología, Hospital de Alta Complejidad Cuenca Alta Néstor Kirchner, Cañuelas, Buenos Aires, Argentina

 

 

RESUMEN

Las fracturas bifocales de húmero son lesiones infrecuentes, más aun las que ocurren asociadas con fracturas en el húmero proximal y diáfisis. Presentamos a cuatro pacientes con fracturas bifocales de húmero proximal y diafisario (Maresca A2), la planificación quirúrgica, los detalles técnicos y sus resultados funcionales.

Palabras clave: Fracturas bifocales; fracturas de húmero; tratamiento quirúrgico.

Nivel de Evidencia: IV

 

Surgical Treatment in Maresca Type A2 Bifocal Humeral Fractures

 

ABSTRACT

Bifocal humeral fractures are infrequent injuries, and fractures involving the proximal and diaphyseal humerus are even rarer. We present four patients with bifocal humeral fractures of the Maresca type A2 classification. We detail the surgical plan, technical pearls, and functional outcomes.

Keywords: Bifocal fractures; humerus fractures; surgical treatment.

Level of Evidence: IV

 

INTRODUCCIÓN

Las fracturas de húmero son lesiones que cualquier ortopedista trata frecuentemente. La experiencia y las indicaciones son amplias en el caso de las fracturas tanto del extremo proximal, como en la diáfisis o el extremo distal.1 Sin embargo, las fracturas bifocales o multifocales del miembro superior son muy raras, representan el 4,8% de las fracturas de húmero. Las fracturas que comprometen específicamente el húmero proximal y la diáfisis son aún menos frecuentes (0,4%).2

No hay consenso sobre el método ideal de estabilización de las fracturas bifocales de húmero y, como son infrecuentes, solo se han publicado series aisladas de casos.1,2

El objetivo de este artículo es comunicar la planificación quirúrgica, los detalles técnicos y los resultados funcionales en cuatro pacientes adultos operados por fracturas bifocales de húmero tipo A2 de la clasificación de Maresca, priorizando optimizar la consolidación en posición funcional con una rehabilitación temprana; además, se proporciona una revisión bibliográfica sobre la lesión.

 

MATERIALES Y MÉTODOS

Se evaluó a una serie retrospectiva de cuatro pacientes adultos consecutivos con fracturas bifocales de húmero, operados en dos centros médicos de alta complejidad, por cirujanos especialistas con experiencia3 en el tratamiento quirúrgico de la patología del miembro superior. Se utilizó la clasificación descriptiva AO4 para cada trazo fracturario, y la clasificación de Maresca1 para fracturas bifocales de húmero (Tabla).

La cirugía fue el tratamiento elegido por la inestabilidad marcada en todos los casos, se optó por la reducción abierta y fijación interna con placas y tornillos (3 casos) o clavo endomedular (1 caso).

 

 

 

 

 

 

 

Técnica quirúrgica

Placas con tornillos

Paciente en posición de silla de playa y bajo anestesia regional; en tres de los cuatro casos, se planificó la reducción abierta y fijación interna con placa y tornillos anatómica de húmero proximal extralarga, con tornillos de 3,5 mm de diámetro.

Se realiza un doble abordaje (primer miniabordaje anterolateral de hombro en el plano intramuscular entre deltoides anterior y medio deteniéndose siempre proximal a la zona de seguridad del nervio axilar a 6 cm desde el borde anterolateral de acromion.5 El segundo abordaje lateral distal entre los vientres musculares del tríceps y el músculo braquial con cuidadoso manejo del nervio radial). Se procede a la neurólisis del nervio radial y la reducción del foco fracturario diafisario mediante un abordaje distal con pinzas. Según el trazo, se brinda estabilidad absoluta al foco distal (Caso 3). El largo del implante se selecciona según la planificación con radiografías. Se introduce la placa extralarga de húmero proximal desde el miniabordaje proximal en el plano submuscular, a través del deltoides respetando la zona de seguridad. Se desliza la placa abarcando ambas fracturas. Se colocan las clavijas provisionales proximales y distales para corroborar la correcta colocación del implante y brindar estabilidad temporal. Se continúa con la reducción indirecta y la colocación de tornillos en los orificios proximales y distales de la placa a la fractura proximal. Por último, se fija el foco distal con la placa brindando un sistema de estabilidad mixto de las fracturas (Figura 1).

 

 

 

 

 

Clavo endomedular

Bajo control radioscópico se coloca una clavija de 2,5 mm de diámetro a nivel de la cabeza del húmero y transversal al eje de la diáfisis, para controlar los ejes a modo de joystick. Se realiza un miniaboraje anterolateral del hombro. Se continúa con la disección del deltoides y el supraespinoso o remanentes. Se introduce el clavo anterógrado según la técnica tradicional. Puede utilizarse asociado a la clavija ya descrita a modo de joystick para la reducción y estabilización del foco proximal. El foco distal se reduce y estabiliza con tracción y maniobras externas según la técnica habitual.

Los controles posoperatorios se realizaron a los 7, 15 y 30 días de la cirugía. Los pacientes fueron citados una vez por mes hasta la consolidación y, luego al año, para un control clínico alejado, salvo un paciente que se perdió el seguimiento al quinto mes.

Se utilizaron parámetros clínicos y radiológicos6 para comprobar la consolidación de las fracturas, así como el puntaje de Constant-Murley7 para evaluar la función. Se investigaron las complicaciones habituales relacionadas con el procedimiento quirúrgico (infección, parálisis radial, omalgia).

 

RESULTADOS

Se documentaron cuatro fracturas bifocales de húmero en pacientes adultos desde 2018 hasta 2021, en dos centros médicos de alta complejidad. Se trataba de fracturas tipo A2 de la clasificación de Maresca, con compromiso del húmero proximal y la diáfisis. Los cuatro pacientes fueron operados y los resultados clínico y radiológico fueron favorables.

 

 

 

 

CASO CLÍNICO 1

Mujer de 70 años con fractura bifocal del húmero izquierdo Maresca tipo A2, 11B2 y 12A1 de la clasificación AO4 (Figura 2); traumatismo de tres días de evolución. Sobre la base del cuadro clínico-radiológico, se indicó reducción abierta y fijación interna. Se realizó la técnica descrita previamente.

 

 

 

En el control a los dos años de la cirugía, se comprobó la consolidación de ambas fracturas, con restauración completa de la movilidad, sin dolor ni debilidad del miembro. El puntaje funcional en la escala de Constant-Murley era de 91. No se observaron las complicaciones descritas (Figura 3).

 

 

 

 

CASO CLÍNICO 2

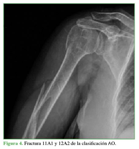
Mujer de 68 años con fractura bifocal del húmero derecho Maresca tipo A2, 11A1 y 12A2 de la clasificación AO4 (Figura 4); traumatismo de seis días de evolución. Se indicó cirugía con la misma táctica quirúrgica detallada.

 

 

 

 

Se llegó a la consolidación clínico-radiológica a las cinco semanas. En el control alejado al año, se comprobó la restauración funcional del miembro con un puntaje funcional en la escala de Constant-Murley de 85. No se observaron complicaciones (Figura 5).

 

 

 

 

CASO CLÍNICO 3

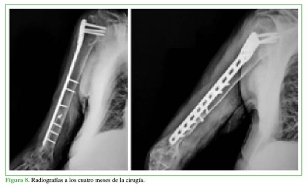
Mujer de 71 años, con fractura bifocal del húmero derecho Maresca tipo A2, 11A2 y 12A1 de la clasificación AO4 (Figura 6); traumatismo con un mes de evolución. Se respetó la táctica quirúrgica antes descrita.

 

 

 

Como dato técnico de valor, se efectuó la reducción y estabilización provisionales del trazo distal con hilos extrarresistentes (Fiberwire®) utilizando el punto de Niza8 para el bloqueo (Figura 7), sintetizando definitivamente el foco con dos tornillos transfracturarios y con la placa extralarga de húmero proximal a modo de puente como en los casos anteriores.

 

 

 

 

 

El resultado a los cuatro meses de la operación fue satisfactorio con consolidación de la fractura, sin dolor y un puntaje funcional (provisional) de Constant-Murley de 50 (Figura 8). No fue posible localizar a la paciente en los controles posteriores al quinto mes para una evaluación funcional final.

 

 

 

 

 

 

 

 

 

 

 

CASO CLÍNICO 4

Hombre de 96 años, activo e independiente. En las radiografías, se constató una fractura bifocal del húmero derecho Maresca tipo A2, 11A3 y 12B1 de la clasificación AO4 (Figura 9).

 

 

 

Ante la demanda funcional del paciente, disociada de su edad cronológica, se optó por la cirugía mininvasiva con clavo endomedular para aliviar el dolor y mejorar la funcionalidad del miembro.

Detalles quirúrgicos: con el paciente en posición de silla de playa y bajo anestesia regional, se colocó un clavo endomedular anterógrado acerrojado (Polarus AcumedR) utilizando un miniabordaje anterolateral, solidarizando ambas fracturas. Se logró la restauración del eje, el contacto entre fragmentos y la estabilidad relativa de los trazos.

La evolución inmediata fue buena, se comprobó la consolidación de las fracturas a los tres meses. El paciente realizaba las actividades de la vida diaria a los tres años de la intervención, con un puntaje de Constant-Murley de 65, y sin complicaciones tempranas ni alejadas (Figura 10).

 

 

 

 

 

 

DISCUSIÓN

Las fracturas bifocales de húmero son muy infrecuentes. Broadbent y cols. hallaron únicamente siete casos de fracturas bifocales de húmero en 13.560 fracturas registradas durante ocho años, en pacientes >13 años. Cuatro de ellas correspondían a la asociación del húmero proximal y la diáfisis; dos, al húmero proximal y distal, y una, a la diáfisis y el húmero distal.2

En 2014, Maresca halló 35 fracturas bifocales de húmero sobre 717 operadas (4,8%). En una serie de casos, el autor desarrolló una clasificación descriptiva para las fracturas bifocales o multifocales de húmero que es aún la única disponible. Así, las dividió en tres tipos: A, fracturas que afectan el húmero proximal y la diáfisis; B, fracturas en la diáfisis humeral, y C, fracturas de la diáfisis asociadas al húmero distal1. A su vez, el tipo A fue dividido en tres subgrupos: 1, fracturas no desplazadas del húmero proximal asociadas con fracturas desplazadas de la diáfisis; 2, fracturas desplazadas del húmero proximal y diáfisis; y 3, fracturas multifragmentarias del húmero proximal con extensión a la diáfisis. En su serie de 35 pacientes, todas las fracturas eran de tipo A, y el grupo más frecuente fue el subgrupo 1 (20 casos), y el grupo 2 fue muy infrecuente (3 casos).1

Los cuatro casos de nuestro estudio pertenecían al tipo A, subgrupo 2.

Al planificar el tratamiento de este tipo y grupo de fracturas, nos enfrentamos ante la controversia de que, en ocasiones, se asocian unas fracturas con indicación de tratamiento quirúrgico y no quirúrgico, y en segundo término, es posible que el método de estabilización quirúrgica de una de las fracturas no resuelva la otra.

Respecto a la primera situación, consideramos recomendable guiarse por el tratamiento de la fractura de mayor complejidad, estabilizando ambas fracturas para permitir la movilización temprana del miembro. En el caso de la segunda, la estabilización ideal debería incluir ambas fracturas evitando una zona de estrés mecánico entre los implantes con riesgo de refracturas.

Las opciones quirúrgicas publicadas, en general, incluyen el uso del clavo endomedular anterógrado o la placa con tornillos para fracturas del húmero proximal o del húmero diafisario aisladas.9,10

Sin embargo, aún se discute cuál es el método de elección para las fracturas bifocales de este tipo y grupo. La ventaja del clavo endomedular es que su colocación requiere una menor disección de partes blandas al compararlo con la osteosíntesis con placa, permite solidarizar ambas fracturas con muy escasa disección. Sin embargo, la omalgia relacionada con la inserción del clavo a través del supraespinoso es una complicación conocida. Se discuten los beneficios del uso de placas y tornillos o de clavos en la tasa de consolidación.11-16

Las placas con tornillos permiten estabilizar ambas fracturas con una reducción anatómica y emplear injerto de hueso, si es necesario. Además, a través del mismo abordaje, se puede explorar el nervio radial ante la sospecha de una lesión neural. Sin embargo, conlleva la apertura del hematoma fracturario, la desperiostización y el aumento teórico de la tasa de infección por exposición. La introducción de la técnica MIPO (minimally invasive plate osteosynthesis) conceptualmente disminuye estas complicaciones.17

En 2008, Levy y cols. publicaron los resultados del tratamiento de una fractura segmentaria larga (bifocal) de húmero, estabilizada con una placa recta de 4,5 mm mediante dos abordajes y deslizamiento submuscular, con un excelente resultado.18

Por su parte, en 2018, Toulopakis y cols. publicaron una serie de 11 pacientes con fracturas multifocales del húmero proximal con extensión diafisaria tratados con placas anatómicas de húmero proximal extralargas y técnica MIPO. Cabe aclarar que, en esta serie, no había fracturas tipo A2 (publicados en nuestra serie), y sus casos suponen extensiones diafisarias de fracturas del húmero proximal. Se llegó a la consolidación en todos los pacientes y las complicaciones fueron cuatro neuropraxias del nervio radial.19

En 2010, Garnavos y Lasanianos comunicaron el resultado de 18 pacientes con fracturas del húmero proximal extendidas o combinadas a la diáfisis humeral, tratadas con clavos endomedulares acerrojados. En esta serie, ocho correspondían al tipo A2 de Maresca y, se logró la consolidación en todos con un buen resultado funcional.20

En nuestra serie de fracturas Maresca tipo A2, debido a la falta de guías consensuadas y la escasa bibliografía, personalizamos la táctica quirúrgica según las características clínicas y la demanda funcional de cada paciente.

Sin embargo, como pauta, confiamos en la apertura del foco fracturario distal priorizando la reducción y estabilización absoluta del trazo principal, agregando un miniabordaje anterolateral de hombro para permitir el deslizamiento submuscular anterógrado de una placa con tornillos extralarga anatómica de húmero proximal. De este modo, logramos estabilizar firmemente el trazo distal con una estabilización más elástica en el trazo proximal. Solo modificamos la técnica en un caso dada la avanzada edad del paciente, y con el objetivo de disminuir el riesgo quirúrgico y anestésico.

Al decidir la reducción abierta y la estabilización con placa y tornillos, es fundamental el reconocimiento y el cuidadoso reparo del nervio radial en el abordaje distal y el reconocimiento del nervio axilar transcurriendo en el epimisio profundo del deltoides a 6 cm del acromion para su protección.

En los cuatro casos presentados, la fractura consolidó, como promedio, en ocho semanas. Los pacientes retornaron a sus actividades sin limitaciones funcionales y la movilidad del miembro estaba restaurada en el control alejado (Constant-Murley >65 en todos los casos). Uno de los pacientes no continuó con el seguimiento, lo que impidió evaluar el resultado funcional final.

 

CONCLUSIONES

No contamos con un número suficiente de casos para arribar a conclusiones relevantes. Sin embargo, hemos observado que, para las fracturas bifocales de húmero con compromiso del húmero proximal y la diáfisis (Maresca tipo A2), la cirugía con placas y tornillos de húmero proximal extralargas utilizando un doble abordaje, así como el uso del clavo endomedular anterógrado para un paciente añoso o con un riesgo quirúrgico más alto, consiguieron la consolidación de las fracturas en todos los casos. Los pacientes obtuvieron un buen resultado funcional global y retornaron a las actividades habituales previas al traumatismo.

 

BIBLIOGRAFÍA

 

1.     Maresca A, Pascarella R, Bettuzzi C, Amendola L, Politano R, Fantasia R, et al. Multifocal humeral fractures. Injury 2014;45(2):444-7. https://doi.org/10.1016/j.injury.2013.10.010

2.     Broadbent MR, Quaba O, Hadjucka C, McQueen MM. The epidemiology of multifocal upper limb fractures. Scand J Surg 2003; 92(3):220-3. https://doi.org/10.1177/145749690309200310

3.     Tang JB, Giddins G. Why and how to report surgeons’ levels of expertise. J Hand Surg Eur Vol 2016;41(4):365-6. https://doi.org/10.1177/1753193416641590

4.     Meinberg E, Agel J, Roberts C, Karam MD, Kellam JF. Fracture and Dislocation Classification Compendium 2018. J Orthop Trauma 2018;32(1):S1-S170. https://doi.org/10.1097/bot.0000000000001063

5.     Gardner MJ, Boraiah S, Helfet DL, Lorich DG. The anterolateral acromial approach for fractures of the proximal humerus. J Orthop Trauma 2008; 22(2):132-7. https://doi.org/10.1097/BOT.0b013e3181589f8c

6.     Eastaugh-Waring SJ, Joslin CC, Hardy JRW, Cunningham JL. Quantification of fracture healing from radiographs using the maximum callus index. Clin Orthop Relat Res 2009;(467):1986-91. https://doi.org/10.1007/s11999-009-0775-0

7.     Constant CR, Murley AH. A clinical method of functional assessment of the shoulder. Clin Orthop Relat Res1987;(214):160-4. PMID: 3791738

 

8.     Boileau P, Alami G, Rumian A, Schwartz DG, Trojani C, Seidl AJ. The doubled-suture nice knot. Orthopedics 2017;40(2):e382-e386. https://doi.org/10.3928/01477447-20161202-05

9.     Mauch J, Renner N, Rikli D. Intramedullary nailing of humeral shaft fractures— Initial experiences with an unreamed humerus nail. Swiss Surg 2000;6(6):299-303. https://doi.org/10.1024/1023-9332.6.6.299

10.  Matsunaga FT, Tamaoki MJ, Matsumoto MH, Netto NA, Faloppa F, Belloti JC. Minimally invasive osteosynthesis with a bridge plate versus a functional brace for humeral shaft fractures: a randomized controlled trial. J Bone Joint Surg Am 2017;99(7):583-92. https://doi.org/10.2106/JBJS.16.00628

11.  Changulani M, Jain UK, Keswani T. Comparison of the use of the humerus intramedullary nail and dynamic compression plate for the management of diaphyseal fractures of the humerus: a randomised controlled study. Int Orthop 2007;31(3):391-5. https://doi.org/10.1007/s00264-006-0200-1

12.  Liu GD, Zhang QG, Ou S, Zhou LS, Fei J, Chen HW, et al. Meta-analysis of the outcomes of intramedullary nailing and plate fixation of humeral shaft fractures. Int J Surg 2013;11(9):864-8. https://doi.org/10.1016/j.ijsu.2013.08.002

13.  Chapman JR, Henley MB, Agel J, Benca PJ. Randomized prospective study of humeral shaft fracture fixation: intramedullary nails versus plates. J Orthop Trauma 2000;14(3):162-6. https://doi.org/10.1097/00005131-200003000-00002

14.  McCormack RG, Brien D, Buckley RE, McKee MD, Powell J, Schemitsch EH. Fixation of fractures of the shaft of the humerus by dynamic compression plate or intramedullary nail: a prospective randomized trial. J Bone Joint Surg Br 2000;82(3):336-9. https://doi.org/10.1302/0301-620x.82b3.9675

15.  Bhandari M, Devereaux PJ, McKee MD, Schemitsch EH. Compression plating versus intramedullary nailing of humeral shaft fractures a metaanalysis. Acta Orthop 2006;77(2):279-84. https://doi.org/10.1080/17453670610046037

16.  O’Donnell T, McKenna JV, Kenny P, Keogh P, O’Flanagan SJ. Concomitant injuries to the ipsilateral shoulder in patients with a fracture of the diaphysis of the humerus. J Bone Joint Surg Br 2008;90(1):5-61. https://doi.org/10.1302/0301-620x.90b1.19215

17.  Concha JM, Sandoval A, Streubel PN. Minimally invasive plate osteosynthesis for humeral shaft fractures: are results reproducible. Int Orthop 2010;34(8):1297-305. https://doi.org/10.1007/s00264-009-0893-z

18.  Levy B, Herrera D, Templeman D, Cole P. Segmental proximal humerus fractures: A case report of submuscular plating. J Trauma 2008;65(6):1554-7. https://doi.org/10.1097/01.ta.0000215382.66954.54

19.  Touloupakis G, Di Giorgi L, Bibiano L, Elena Biancardi E, Ghirardelli S, Dell’Orfano M, et al. Exploring the difficulties to improve minimally invasive application with long PHILOS plate in multifocal metadiaphyseal fractures of the proximal humerus: analysis of intraoperative procedure and clinical outcomes. Acta Biomed 2018;89(4):532-40. https://doi.org/10.23750/abm.v89i4.6212

20.  Garnavos C, Lasanianos N. Intramedullary nailing of combined/extended fractures of the humeral head and shaft. J Orthop Trauma 2010;24(4):199-206. https://doi.org/10.1097/BOT.0b013e3181b2b74d

 

 

––––––––––––––––––

Conflictos de intereses: Los autores no declaran conflictos de intereses.

 

ORCID de A. Tedeschi: https://orcid.org/0000-0001-5704-3122         

ORCID de R. Durán: https://orcid.org/0000-0002-8789-3221

ORCID de L. Calo: https://orcid.org/0000-0002-8702-4819 

ORCID de G. Teruya: https://orcid.org/0000-0001-7342-1859

ORCID de Á. J. Muratore: https://orcid.org/0000-0001-7540-7137

ORCID de D. Gómez: https://orcid.org/0000-0003-0258-6802

 

Recibido el 21-5-2022. Aceptado luego de la evaluación el 19-11-2022 Dr. Gonzalo M. Viollaz gonzaloviollaz@gmail.com https://orcid.org/0000-0002-4573-883X

 

Cómo citar este artículo: Viollaz GM, Tedeschi A, Calo L, Muratore ÁJ, Durán R, Teruya G, Gómez D. Tratamiento quirúrgico para fracturas bifocales de húmero Maresca tipo A2. Rev Asoc Argent Ortop Traumatol 2023;88(4):409-418. https://doi.org/10.15417/issn.1852-7434.2023.88.4.1580

 

 

Información del artículo

Identificación: https://doi.org/10.15417/issn.1852-7434.2023.88.4.1580

Fecha de publicación: Agosto, 2023

Conflicto de intereses: Los autores no declaran conflictos de intereses.

Copyright: © 2023, Revista de la Asociación Argentina de Ortopedia y Traumatología.

Licencia: Este artículo está bajo una Licencia Creative Commons Atribución-No Comercial-Compartir Obras Derivadas Igual 4.0 Internacional. (CC-BY-NC-SA 4.0)