INVESTIGACIÓN CLÍNICA

 

Transporte sobre clavo respetando la membrana de Masquelet en defectos segmentarios severos. Serie de casos

 

Agustín Quesada, Fabricio Videla Ávila, Gastón Horué Pontoriero, Jorge E. Filisetti

Servicio de Ortopedia y Traumatología, Sanatorio Güemes, Ciudad Autónoma de Buenos Aires, Argentina

 

RESUMEN

Introducción: El adecuado tratamiento de los defectos óseos se presenta como un desafío para el cirujano ortopedista, en cuanto a la dificultad en la restitución de un miembro alineado, sin discrepancia ni infección. Se han descrito múltiples técnicas para reconstruir estos defectos, como el injerto óseo autólogo o de banco, la técnica de membrana inducida, la osteogénesis por distracción y los cilindros de titanio trabecular, pero ninguna ha demostrado ser significativamente superior a otra. Materiales y Métodos: Entre 2018 y 2021, 10 pacientes con defectos óseos de la tibia fueron tratados mediante transporte óseo guiado con osteosíntesis endomedular. Se realizó un estudio retrospectivo descriptivo analizando la magnitud de los defectos, el tiempo de transporte, las complicaciones y cirugías adicionales durante el proceso, si hubo consolidación y las deformidades residuales. Al final del proceso, se midió el puntaje de la ASAMI (óseo y funcional). Resultados: La longitud promedio de los defectos tratados fue de 9,75 cm y el índice de fijación externa promedio, de 40,62 días/cm. El 50% tenía un puntaje de la ASAMI óseo bueno; el 10%, excelente y el 40%, pobre al final del proceso reconstructivo. El 20% tenía un puntaje de la ASAMI funcional excelente; el 30%, bueno y el 50%, pobre. Conclusiones: El uso de tutores externos guiados mediante osteosíntesis es un método fiable para tratar defectos óseos, al mismo tiempo que se trata la infección de manera local y sistémica, acortando los tiempos de tutor externo y, por lo tanto, de internación y reintervención.

Palabras clave: Alargamiento sobre clavo; Masquelet; defecto óseo.

Nivel de Evidencia: IV

 

Distraction Osteogenesis Technique Using an Intramedullary Nail and an External Fixator in Large Bone Defects

 

ABSTRACT

Introduction: The proper treatment of bone defects represents a challenge for the orthopedic surgeon given the difficulty in restoring limb alignment without discrepancy nor infections. Multiple techniques have been described for the reconstruction of these defects. These include bone grafting, whether autologous or from a bank, the induced membrane technique, distraction osteogenesis, and, recently, the use of trabecular titanium cylinders, but none has been shown to be significantly superior to another. Materials and Methods: Between 2018 and 2021, ten patients with tibial bone defects were treated by guided bone transport with intramedullary osteosynthesis. We carried out a descriptive retrospective study of this series, analyzing the magnitude of the defects, the transport time, the complications and additional surgeries that took place during the process, whether there was consolidation, and the residual deformities. The bone and functional ASAMI scores were measured at the end of the process. Results: The average length of the treated defects was 9.75 cm and the average external fixation index was 40.62 d/cm. At the end of the reconstructive process, 50% of the patients presented a good bone ASAMI score, 10% presented an excellent score, and 40% had a poor score. Regarding the functional ASAMI score, 20% were excellent, 30% were good, and 50% were poor. Conclusion: The use of fixators guided by intramedullary nails constitutes a reliable method to treat bone defects that allows treating the infection locally and systemically, shortens the times of external fixation and hospitalization, and reduces the need for reinterventions.

Keywords: Lengthening over a nail; Masquelet; bone defect.

Level of Evidence: IV

 

INTRODUCCIÓN

El adecuado tratamiento de los defectos segmentarios severos se presenta como un desafío para el cirujano ortopedista, en cuanto a la dificultad en la restitución de un miembro, alineado, sin discrepancia, sin infección ni lesiones vasculares o nerviosas asociadas.1-3

Uno de los pilares de un tratamiento eficaz es lograr un buen desbridamiento del sitio de la infección, como así también de todo el tejido desvitalizado circundante, a fin de obtener un entorno biológico favorable para la reconstrucción ósea y de tejidos blandos.

Algunas de las técnicas disponibles para el tratamiento de los defectos óseos son el injerto óseo, ya sea autólogo o de banco, la técnica de membrana inducida, la osteogénesis por distracción y, en el último tiempo, el uso de cilindros de titanio trabecular.4-6

Se ha comprobado la eficacia del método de osteogénesis por distracción descrito por Ilizarov, en la década de 1950, para tratar defectos óseos de gran magnitud.7,8

Ilizarov describió la osteogénesis por distracción o generación de nuevo tejido óseo para lograr la consolidación de la seudoartrosis, corregir deformidades, erradicar infecciones, restablecer la longitud del miembro y eliminar los defectos óseos, para permitir la carga de peso con el dispositivo adecuado. Uno de los aspectos que dificultan el desarrollo del tratamiento es la baja tolerancia del paciente al fijador externo, pues este debe permanecer instalado por largos períodos.

En la actualidad, los esfuerzos del equipo de reconstrucción están apuntados a mejorar la tolerancia del paciente al tratamiento disminuyendo el tiempo de uso del fijador sin comprometer el entorno mecánico necesario para lograr un resultado adecuado.

Para dar solución a esto, en la actualidad, utilizamos técnicas “integradas” asociando la fijación interna, llamada LON o LOP (lengthening over nail or lengthening over plate) con el propósito de disminuir las complicaciones más comunes relacionadas con los desejes y el tiempo de fijación externa.9

El objetivo de este estudio fue describir los resultados funcionales y radiográficos, y las complicaciones a lo largo del proceso reconstructivo de defectos óseos de gran magnitud, tratados con transporte óseo mediante fijador externo con osteosíntesis endomedular.

 

MATERIALES Y MÉTODOS

Se realizó un estudio retrospectivo descriptivo, en un centro de derivación de trauma, en pacientes con defectos óseos segmentarios, tratados mediante transporte LON, entre enero de 2018 y enero de 2021. Se registraron las variables de estudio obtenidas retrospectivamente de la historia clínica y las imágenes: magnitud de los defectos, tiempo de transporte, complicaciones según la clasificación de Paley10 y los resultados según el puntaje de la ASAMI (Association for the Study and Application of the Method of Ilizarov) (óseo y funcional).

Los criterios de inclusión fueron pacientes adultos con defectos óseos segmentarios >3 cm, seudoartrosis asociada a infección (clasificación de Paley B en adelante) (Figura 1).

 

 

 

 

Los criterios de exclusión fueron: alteración vascular o nerviosa, fisis abierta y pérdida del seguimiento.

 

 

 

 

Protocolo de tratamiento

Todos los procedimientos se realizaron bajo anestesia raquídea, y estuvieron a cargo del mismo equipo quirúrgico. Siempre se siguió el protocolo propuesto por nuestra Unidad de Reconstrucción de Extremidades.

 

Primera etapa

Desbridamiento masivo del tejido desvitalizado (Figura 2).

 

 

 

Estabilización ósea con clavo intramedular cubierto con cemento impregnado de antibióticos. Cobertura de partes blandas. En todos los casos, el tercer espacio muerto generado por la resección ósea fue manejado usando un espaciador circunferencial de cemento impregnado de antibióticos fragmentado en dos hemicilindros a fin de facilitar su extracción (Figura 3).

 

 

 

 

Siempre se tomaron muestras óseas y de tejidos blandos para análisis microbiológico e histopatológico. Cuando había una infección remanente, se cumplió el tratamiento intravenoso dirigido, en conjunto, con el Servicio de Infectología.

 

Segunda etapa

La segunda etapa es la reconstrucción ósea (dentro de las 6-8 semanas de la primera etapa) según la técnica original de Masquelet.11 El primer gesto consiste en la retirada del espaciador de cemento implantado mediante el mismo abordaje utilizado en la primera cirugía, o el levantamiento del colgajo de cobertura. Siempre se respetó la membrana periespaciador a fin de preservar su capacidad osteogénica. Se procedió al cambio de la osteosíntesis por un clavo sin cobertura de cemento de pequeño diámetro (8-9 mm) y a un nuevo fresado del canal para tomar nuevas muestras. Se colocaron los clavos de Schanz del fijador externo; en ocho pacientes (80%), se utilizó un tutor monolateral y, en el resto (20%), un tutor circular. Se efectuó una corticotomía metafisaria en el segmento remanente más largo.

El último paso consistió en la colocación del sistema de distracción y se comprobó la correcta distracción de la corticotomía (Figuras 4 y 5).

 

 

 

 

 

 

Todos los pacientes siguieron un protocolo de distracción de 1 mm/día dividido en cuatro distracciones de 0,25 mm cada 6 horas (Figura 6).

 

 

 

 

 

 

Tercera etapa

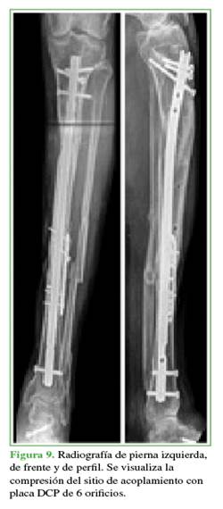
Una vez completado el transporte óseo, los pacientes pasan a la etapa de compresión del sitio de acoplamiento (Figuras 7 y 8). Esto se llevó a cabo mediante el sistema de transporte o la compresión con una placa de compresión dinámica sin invadir el foco (Figura 9).

 

 


 

 

 

 

 

 

 

 

 

 

 

 

 

 

 

 

 

 

 

 

 

 

 

 

 

 

 

 

 

 

 

 

 

 

 

RESULTADOS

Se analizó a 10 pacientes (3 mujeres y 7 hombres) con osteomielitis (3 casos) y fractura expuesta (7 casos) que tenían defectos óseos (Tabla 1). La longitud promedio de los defectos tratados fue de 9,75 cm (rango 5-20) y el índice de fijación externa promedio fue de 40.62 días/cm (rango 36.5-54) (Tabla 2).

 

 

 

 

El 50% de los pacientes tenían un puntaje de la ASAMI óseo bueno; el 10%, excelente y el 40%, pobre al final del proceso reconstructivo. El puntaje de la ASAMI funcional fue excelente (20%), bueno (30%) y pobre (50%). El 24% tuvo una infección remanente.

Según la descripción de problemas, obstáculos y complicaciones de Paley, en esta serie, observamos que:

-    Todos los pacientes informaron dolor eventual y dificultad para conciliar el sueño o incomodidad del sistema de distracción.

-    Los obstáculos (complicaciones que requieren resolución quirúrgica durante el tratamiento) fueron recambio de clavos de Schanz por aflojamiento, la complicación más frecuente (33%). Se detectó fatiga del material en seis clavos de Schanz en cuatro pacientes, se realizó un cambio de montaje y dos fueron reemplazados por infección: dos pacientes (20%) requirieron realineación del eje de transporte, por desviaciones durante el proceso reconstructivo.

-    Limpieza quirúrgica: todos los pacientes fueron sometidos a drenajes profundos para garantizar la esterilidad del foco. El criterio para realizar el drenaje fue la presencia o no de secreción de la herida, y otros signos clínicos y bioquímicos de infección (eritema, aumento local de la temperatura, velocidad de sedimentación globular y proteína C reactiva).

 

Complicaciones

Las complicaciones menores son aquellas no resueltas, pero que no han obstruido el objetivo final:

-    Desejes: en nuestra serie, el 60% de los pacientes presentó una deformidad al final del proceso, que requirió una cirugía para corregir el deseje, considerando la desviación de los valores normales (según el puntaje de la ASAMI óseo) y la dificultad en la actividad diaria (Tabla 3).

 

 

 

-    Dos de estos pacientes tuvieron rigidez en equino que requirió la movilización bajo anestesia y tenotomía de elongación.

-    El resto de las deformidades fueron: un paciente con antecurvatum de 6°, un paciente con recurvatum y uno con deformidad en valgo, cuya magnitud y resolución se resumen en la Tabla 3 y la Figura 10.

 

 

 

-    Un paciente debió ser sometido a una amputación supracondílea por persistencia de la infección profunda, luego de concluir el proceso de reconstrucción (10%).

No hubo complicaciones mayores (aquellas que no fueron resueltas y no permitieron llegar al objetivo final) intraoperatorias, como lesión vascular o nerviosa. Por último, se observó que, a mayor magnitud del defecto, los pacientes necesitaron más cirugías para llegar al final de la reconstrucción (Figura 11).

 

 

 

 

DISCUSIÓN

Este tipo de procedimientos requiere un estudio y una selección meticulosos de los pacientes. Mauffrey y cols. describieron pautas de optimización de los pacientes que permitan garantizar un ambiente biológico óptimo para el transporte en defectos óseos, como la estabilidad mecánica, un entorno biológico favorable (abandono del tabaco, control de la glucemia, optimización nutricional) y manejo de los cambios metabólicos endocrinos. En un estudio de Brinker, los pacientes fueron sometidos a pruebas metabólicas y endocrinas, y comunicaron que el 80% de los pacientes con seudoartrosis tenía anomalías, como deficiencia de vitamina D, hormonas tiroidea y paratiroidea, no explicadas por otra causa.12 En nuestro centro, los pacientes fueron atendidos por un equipo interdisciplinario para abordar este tipo de déficits a tiempo, si era necesario, aunque ninguno tenía un déficit endocrino.

En cuanto a los aspectos técnicos del procedimiento, Mauffrey y cols. describen las ventajas del uso de tutores externos sobre una osteosíntesis endomedular, ya que permiten una alineación y estabilidad adecuadas durante la fase de transporte, reduciendo, al mínimo, la tasa de desejes; además, permiten el retiro del tutor en fases más tempranas, asumiendo el riesgo de infecciones profundas.13

Paley y cols. realizaron un estudio comparativo (Ilizarov vs. transporte sobre osteosíntesis endomedular) y concluyeron en que el transporte con fijador externo sobre una osteosíntesis endomedular acorta los tiempos considerablemente.14 Esto, en teoría, disminuye la cantidad de procedimientos al acortar los tiempos de distracción y, por lo tanto, las tasas de infección, algo que no se vio reflejado en nuestra serie, ya que todos los pacientes fueron sometidos, al menos, a un procedimiento de limpieza, ante algún signo clínico o bioquímico de infección.

Calder y cols.15 y Farsetti y cols.,16 en sus estudios de transporte sobre osteosíntesis endomedular, añaden a lo anterior una menor tasa de desejes, y mejor rehabilitación. Además, describen una tasa más baja de complicaciones, como rigidez en las articulaciones vecinas (rodilla, tobillo) y contracturas musculares debido al menor tiempo de uso del fijador externo.

Comparando estas ventajas teóricas de la alineación con osteosíntesis endomedular, podemos decir que no se observó un claro beneficio en nuestra serie, teniendo en cuenta la tasa de desejes al final del proceso. Esto puede deberse a la falta de experiencia con esta técnica, ya que estas complicaciones son parte de la curva de aprendizaje. Aun así, en cuanto a la velocidad, consideramos que obtuvimos similares resultados a los comunicados en la bibliografía, teniendo en cuenta que se manejaron defectos grandes. En nuestra serie, el índice de fijación externa fue 40.62 días/cm, en comparación con las series de Kocaoglu y cols. con un promedio de tiempo de fijador externo de 13.5 días/cm, y Li y cols. de 35.7 días/cm, el resultado fue inferior.17

En nuestra serie, las complicaciones coincidieron con las de otros estudios, la infección asociada a clavos de Schanz fue la complicación más frecuente (33%), junto con la necesidad de realizar procedimientos de cobertura de partes blandas. La infección profunda, asociada al implante endomedular representó un 23%, una tasa significativamente más alta que en otras series evaluadas.

Tal y como describe Hosny, los resultados y la cantidad de complicaciones están relacionados, en una gran proporción, con la magnitud de los defectos y la falta de experiencia del equipo quirúrgico. En nuestra serie, el promedio de los defectos fue de 9,5 cm, con lo cual las complicaciones aumentan significativamente.18

Las limitaciones de este estudio son la muestra pequeña, la variabilidad de la fijación externa utilizada (80% monolateral y 20% circular), y su carácter descriptivo y retrospectivo.

 

CONCLUSIONES

El uso de tutores externos guiados mediante osteosíntesis constituye un método fiable para tratar defectos óseos, al mismo tiempo que se trata la infección de manera local y sistémica, acortando los tiempos de tutor externo y, por lo tanto, de internación y reintervención. En nuestra serie, el 50% obtuvo resultados funcionales buenos y excelentes. Aun así, son métodos demandantes y están asociados a una alta tasa de complicaciones.

 

BIBLIOGRAFÍA

 

1.     Trueta J. The role of vessels in osteogenesis. J Bone Joint Surg Br 1963;45:402-18. https://doi.org/10.1302/0301-620X.45B2.402

2.     Trueta J. Blood supply and the rate of healing of tibial fractures. Clin Orthop Relat Res 1974;(105):11-26. PMID: 4430159

3.     Paley D. Treatment of tibial nonunion and bone loss with the Ilizarov technique. Instr Course Lect 1990;39:185-97. PMID: 2186101

4.     Marsh JL, Prokuski L, Biermann JS. Chronic infected tibial nonunions with bone loss. Conventional techniques versus bone transport. Clin Orthop Relat Res 1994;(301):139-46. PMID: 8156664

5.     Gil Albarova J, De Pablos J. Técnicas de elongación ósea. Rev Esp Cir Osteoart 1992;27(161):243-9. Disponible en: http://www.cirugia-osteoarticular.org/adaptingsystem/intercambio/revistas/articulos/1545_243.pdf

6.     Mudiganty S, Daolagupu AK, Sipani AK, Das SK, Dhar A, Gogoi PJ. Treatment of infected non-unions with segmental defects with a rail fixation system. Strat Traum Limb Recon 2017;12:45-51. https://doi.org/10.1007/s11751-017-0278-6e

7.     Spiegelberg B, Parratt T, Dheerendra SK, Khan WS, Jennings R, Marsh DR. Ilizarov principles of deformity correction. Ann R Coll Surg Engl 2010;92(2):101-5. https://doi.org/10.1308/003588410X12518836439326

8.     Ilizarov GI. Angular deformities with shortening. En: Coombs R, Green S, Sarmiento A (eds). External fixation and functional bracing. London: Orthotex; 1989:359-74.

9.     Li Z, Zhang X, Duan L, Chen X. Distraction osteogenesis technique using an intramedullary nail and a monolateral external fixator in the reconstruction of massive postosteomyelitis skeletal defects of the femur. Can J Surg 2009;52(2):103-11. PMID: 19399204

10.  Paley D. Problems, obstacles, and complications of limb lengthening by the Ilizarov technique. Clin Orthop 1990;(250):81-104. https://doi.org/10.1097/00003086-199001000-00011

11.  Masquelet AC. The induced membrane technique. Orthop Traumatol Surg Res 2020;106(5):785-7. https://doi.org/10.1016/j.otsr.2020.06.001

12.  Brinker MR, O’Connor DP, Monla YT, Earthman TP. Metabolic and endocrine abnormalities in patients with nonunions. J Orthop Trauma 2007;21(8):557-70. https://doi.org/10.1097/BOT.0b013e31814d4dc6

13.  Mauffrey C, Barlow BT, Smith W. Management of segmental bone defects. J Am Acad Orthop Surg 2015; 23(3):143-53. https://doi.org/10.5435/jaaos-d-14-00018

14.  Paley D, Herzenberg JE, Paremain G, Bhave A. Femoral lengthening over an intramedullary nail. A matched-case comparison with Ilizarov femoral lengthening. J Bone Joint Surg Am 1997;79(10):1464-80. https://doi/org/10.2106/00004623-199710000-00003

15.  Calder PR, Laubscher M, Goodier WD. The role of the intramedullary implant in limb lengthening. Injury 2017;48Suppl 1:S52-S58. https://doi.org/10.1016/j.injury.2017.04.028

16.  Farsetti P, De Maio F, Potenza V, Efremov K, Marsiolo M, Caterini A, et al. Lower limb lengthening over an intramedullary nail: a long-term follow-up study of 28 cases. J Orthop Traumatol 2019;20(1):30. https://doi.org/10.1186/s10195-019-0538-y

17.  Kocaoglu M, Eralp L, Kilicoglu O, Burc H, Cakmak M. Complications encountered during lengthening over an intramedullary nail. J Bone Joint Surg Am 2004;86(11):2406-11. https://doi.org/10.2106/00004623-200411000-00007

18.  Hosny GA. Limb lengthening history, evolution, complications and current concepts. J Orthop Traumatol 2020;21(1):3. https://doi.org/10.1186/s10195-019-0541-3

 

 

ORCID de F. Videla Ávila: https://orcid.org/0000-0002-4677-3725

ORCID de J. E. Filisetti: https://orcid.org/0000-0002-2510-029X

ORCID de G. Horué Pontoriero: https://orcid.org/0000-0002-6479-8272

 

Recibido el 2-5-2022. Aceptado luego de la evaluación el 26-12-2022   Dr. Agustín Quesada •  agu_quesada@hotmail.com https://orcid.org/0000-0001-5036-074X

 

Cómo citar este artículo: Quesada A, Videla Ávila F, Horué Pontoriero G, Filisetti JE. Transporte sobre clavo respetando la membrana de Masquelet en defectos segmentarios severos. Serie de casos. Rev Asoc Argent Ortop Traumatol 2023;88(1):79-90. https://doi.org/10.15417/issn.1852-7434.2023.88.1.1570

 

 

Información del artículo

Identificación: https://doi.org/10.15417/issn.1852-7434.2023.88.1.1570

Fecha de publicación: Febrero, 2023

Conflicto de intereses: Los autores no declaran conflictos de intereses.

Copyright: © 2023, Revista de la Asociación Argentina de Ortopedia y Traumatología.

Licencia: Este artículo está bajo una Licencia Creative Commons Atribución-No Comercial-Compartir Obras Derivadas Igual 4.0 Internacional. (CC-BY-NC-SA 4.0)