INSTRUCCIÓN ORTOPÉDICA DE POSGRADO - IMÁGENES

 

Resolución del caso

 

Rodrigo Re,* Maximiliano Negri**

*Servicio de Diagnóstico por Imágenes, Área Osteoarticular/Musculoesquelético - Intervencionismo, Sanatorio Allende, Córdoba, Argentina

**Servicio de Ortopedia y Traumatología, Sanatorio Allende, Córdoba, Argentina

 

Presentación del caso en la página 305.

 

DIAGNÓSTICO: Osteosarcoma.

 

Discusión

En la resonancia magnética de rodilla derecha (Figura 3), se detecta una tumoración que compromete el sector metafisodiafisario proximal de la tibia, sin compromiso epifisario y una gran masa de partes blandas asociada. Se comporta hipointensa predominantemente en T1 e hipointensa en secuencias sensibles a los líquidos, con la masa de partes blandas hiperintensa. Se observa el despegamiento perióstico con amplia zona de transición.

 

 

 

Ante la presencia de una lesión neoproliferativa, se deriva al paciente al Servicio de Oncología Infantil.

Continúa con dolor e inflamación de la pierna, se administra ibuprofeno 10 ml cada 6 horas.

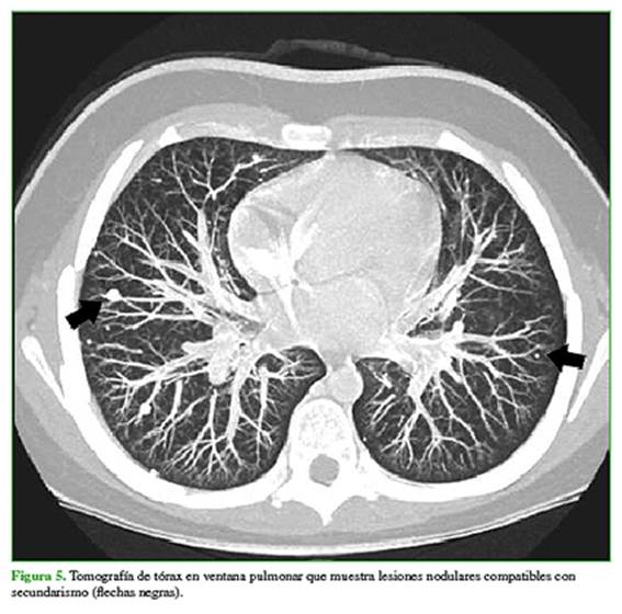
Se solicita un centellograma óseo (Figura 4) y una tomografía de tórax y abdomen para la estadificación (Figura 5).

 

 

 

 

 

 

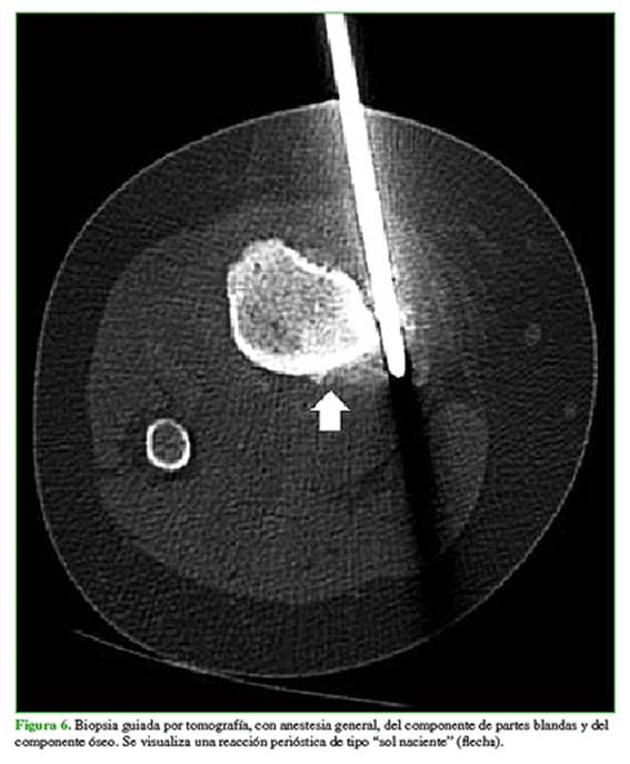
Se plantea una biopsia guiada por tomografía (Figura 6), con anestesia general.

El resultado del estudio anatomopatológico revela una neoplasia mesenquimática maligna, representada por células pequeñas, tejido cartilaginoso neoplásico y escaso tejido osteoide, compatibles con osteosarcoma de células pequeñas.

Ante un paciente con diagnóstico de osteosarcoma proximal de tibia derecha y compromiso de partes blandas, con metástasis pulmonares bilaterales, se plantea el tratamiento con quimioterapia con 4 ciclos de metotrexato, adriamicina y cisplatino.

Con todos estos hallazgos se diagnostica osteosarcoma de tibia proximal.

El osteosarcoma es el tumor óseo más frecuente en pediatría. La proporción varón:mujer es de 3:2. Tiene predilección por los huesos largos y la mitad de los casos se ubican rodeando la rodilla. Más del 90% compromete el sector metafisario. Es importante evaluar muy bien la epífisis para detectar si la fisis está afectada. Se presenta como una lesión destructiva, permeativa, que se localiza excéntricamente, con zona de transición amplia y sin margen escleroso. Con respecto a la densidad, es posible visualizar lesiones líticas o intensamente esclerosas, la mayoría con una matriz visible. Se puede acompañar de destrucción de la cortical, lesión de partes blandas y metástasis que pueden estar calcificadas (ganglionares y pulmonares).

 

 

 

 

Hallazgos radiológicos

Lesiones destructivas, apolilladas o permeativas, con localización excéntrica en la metáfisis o metafisodiafisaria. Generalmente un contorno del hueso no está expandido, lo que refleja un proceso destructivo rápido. Tienen reacción perióstica de tipo agresiva, con patrón interrumpido, rayos de sol y triángulo de Codman.

 

Hallazgos tomográficos

Permiten definir mejor la matriz osteoide, pero el estudio solo se destina para la toma de biopsia. Se puede visualizar necrosis en las masas de partes blandas con zona de baja atenuación.

 

Hallazgos en la resonancia

Material osteoide con baja señal en todas las secuencias. Tras la inyección del medio de contraste, se puede observar el realce intenso de la médula y áreas de necrosis en partes blandas.

 

Hallazgos en estudios de medicina nuclear

En la gammagrafía ósea, se puede visualizar una lesión única o lesiones en salto, en el mismo hueso o en el hueso adyacente. La tomografía por emisión de positrones sirve para la evaluación del pronóstico.

 

Biopsia guiada por imágenes

Se debe planificar junto con especialistas en estudios por imágenes y el cirujano oncológico. Hay que atravesar solo un compartimento y recordar que el trayecto de la aguja debe ser resecado.

La enfermedad de este paciente progresó con metástasis pulmonar, y se decidió continuar con esquema quimioterápico ampliado. Una nueva estadificación por resonancia magnética (Figura 7) mostró una nueva lesión ósea en el fémur distal, por lo que se sugirió la amputación supracondílea.

 

 

 

Los diagnósticos diferenciales más frecuentes son otros sarcomas, como el de Ewing, o un proceso infeccioso (osteomielitis) (Figura 8).

 

 

 

Como se supone que la enfermedad es sistémica cuando se diagnostica, hay que comenzar con un tratamiento inicial de quimioterapia ± radioterapia. Se continúa con resección ampliada, salvando la extremidad, si es posible. Nuevamente quimioterapia posoperatoria y radioterapia posoperatoria si los márgenes del tumor resecado no son claros.

 

 

ORCID de M. Negri: https://orcid.org/0000-0002-7512-8418

 

Dr. Rodrigo Re •  rodrigo_re@hotmail.comhttps://orcid.org/0000-0001-7382-9459

 

Cómo citar este artículo: Re R, Negri M. Instrucción Ortopédica de Posgrado - Imágenes. Resolución del caso. Rev Asoc Argent Ortop Traumatol 2022;87(3):454-459. https://doi.org/10.15417/issn.1852-7434.2022.87.3.1566

 

Información del artículo

Identificación: https://doi.org/10.15417/issn.1852-7434.2022.87.3.1566

Fecha de publicación: Junio, 2022

Conflicto de intereses: Los autores no declaran conflictos de intereses.

Copyright: © 2022, Revista de la Asociación Argentina de Ortopedia y Traumatología.

Licencia: Este artículo está bajo una Licencia Creative Commons Atribución-No Comercial-Compartir Obras Derivadas Igual 4.0 Internacional. (CC-BY-NC-SA 4.0)