INVESTIGACIÓN CLÍNICA

 

Enclavado endomedular en fracturas de tibia. ¿Existe una relación entre el punto de entrada para la inserción del clavo y su alineación final?

 

Ignacio H. Nieto, Martín M. Mangupli, Bartolomé L. Allende, Ignacio J. Pioli, José M. Gómez

Servicio de Ortopedia y Traumatología, Sanatorio Allende, Córdoba, Argentina

 

RESUMEN

Introducción: Las fracturas de tibia representan aproximadamente el 2% de las fracturas del adulto. El enclavado endomedular es hoy el procedimiento de elección para tratar fracturas diafisarias de tibia; sin embargo, esta técnica no está exenta de complicaciones, la desalineación en el plano coronal es una de las más frecuentes y temidas por los cirujanos. El objetivo de este estudio fue investigar la relación entre el punto de entrada del clavo y la desalineación en el plano coronal después de la cirugía. Materiales y Métodos: Se realizó un estudio retrospectivo, descriptivo, observacional, entre enero de 2015 y enero de 2019, de pacientes con fracturas diafisarias de tibia, tratadas con clavo endomedular. Se obtuvieron radiografías en el posquirúrgico inmediato y luego cada dos meses, se tuvo en cuenta la radiografía del octavo mes, en la que se observaban signos francos de consolidación ósea, para valorar la alineación tibial. Resultados: Cuando el punto de entrada del clavo fue central, hubo apenas un 0,021 de posibilidades (o 2,1%) de alguna desalineación significativa en el posquirúrgico inmediato y luego de 8 meses. En cambio, cuando fue medial, las posibilidades de una tendencia al valgo fueron >0,85 (u 85%) ya al tomar la primera imagen, i.e., poscirugía; y cuando fue lateral, esta posibilidad se modifica y profundiza según el tiempo transcurrido hasta la imagen lograda en el paciente. Conclusión: Se observó una relación marcada y continua entre el punto de entrada del clavo endomedular y la alineación de la tibia después de la consolidación ósea.

Palabras clave: Enclavado endomedular; tibia; deseje.

Nivel de Evidencia: IV

 

Intramedullary Nailing of Tibial Fractures. Is There a Relationship Between the Entry Point and Its Final Alignment?

 

Abstract

Introduction: Tibial fractures represent approximately 2% of adult fractures. Today, intramedullary nailing is the procedure of choice to treat diaphyseal fractures of the tibia; however, this technique is not exempt from complications, misalignment in the coronal plane is one of the most frequent and feared by surgeons. The aim of this study was to investigate the relationship between nail entry point and misalignment in the coronal plane after surgery. Materials and Methods: We carried out a retrospective, descriptive, observational study between January 2015 and January 2019 of patients with diaphyseal fractures of the tibia, treated with intramedullary nailing. Radiographs were obtained in the immediate postoperative period and then every two months. The eighth-month radiograph, in which clear signs of bone consolidation could be observed, was taken into account to assess tibial alignment. Results: When the nail entry point was central, there was only a 0.021 chance (or 2.1%) of any significant misalignment in the immediate postoperative period and after 8 months. In contrast, when it was medial, the chances of a valgus tendency were >0.85 (or 85%) already at the first image, i.e., post-surgery; and when it was lateral, this possibility was modified and deepened according to the time elapsed until the image achieved in the patient. Conclusion: A marked and continuous relationship was observed between the entry point of the intramedullary nail and the alignment of the tibia after bone consolidation.

Key words: Intramedullary nailing; tibia; misalignment.

Level of Evidence: IV

 

INTRODUCCIÓN

Las fracturas de tibia representan aproximadamente el 2% de las fracturas del adulto.1,2 Los traumatismos de alta energía, los accidentes de tránsito y los deportivos son la causa más frecuente en adultos jóvenes, y los traumatismos de baja energía y la caída de propia altura son las causas más frecuentes en ancianos.

El enclavado endomedular es, hoy en día, el procedimiento de elección para tratar las fracturas de la diáfisis tibial, debido a que es una técnica mínimamente invasiva que evita el trauma adicional de tejidos blandos. El manejo conservador de estas fracturas, a menudo, ha dado lugar a seudoartrosis, deformidad rotatoria o rigidez de las articulaciones adyacentes, por lo que se ha producido un cambio hacia el manejo quirúrgico de estas fracturas en los últimos tiempos. Sin embargo, el método quirúrgico óptimo para tratar estas fracturas sigue siendo discutible. Las opciones incluyen implantes endomedulares, fijación externa, fijación con placa o una combinación de estas técnicas. En los últimos años, la reducción cerrada con placas mínimamente invasivas y el enclavado endomedular bloqueado se han convertido en modalidades terapéuticas ampliamente utilizadas para las fracturas de la metáfisis tibial proximal y distal. En numerosos estudios, se observó un resultado superior después del enclavado endomedular. Sin embargo, esta técnica quirúrgica no está exenta de complicaciones.3,4 La desalineación en el plano coronal es una de las más frecuentes y temidas por los cirujanos.5,6 Para evitar esta complicación se han estudiado diferentes puntos de entrada para el clavo con el objetivo de prevenir la desviación en varo o valgo.7,8

El objetivo de este estudio fue investigar la relación que existe entre el punto de entrada del clavo y la alineación final después de la cirugía, en pacientes adultos con fractura diafisaria de tibia operados en nuestra institución.

 

MATERIALES Y MÉTODOS

Se realizó un estudio retrospectivo, descriptivo, observacional, aprobado por el Comité de Ética de nuestra institución, que incluyó a todos los pacientes que sufrieron una fractura diafisaria de tibia tratados con clavo endomedular entre enero de 2015 y enero de 2019. Todos habían sido operados por cirujanos ortopedistas formados en trauma ortopédico.

Los criterios de inclusión fueron: pacientes con fracturas de diáfisis tibial, con extensión intrarticular o sin extensión, con madurez esquelética y a quienes se les había realizado un tratamiento definitivo con un clavo endomedular. Se incluyeron fracturas 42 A-B-C según la clasificación AO/OTA.

Los criterios de exclusión adicionales fueron pacientes con artrodesis de tobillo preexistente, amputación inicial y seguimiento <12 meses.

Se realizó un control radiográfico seriado, en el período posquirúrgico inmediato, a las 4 semanas y luego a los 2, 4 y 8 meses de la intervención. Se consideró que una fractura había consolidado si se observaba un mínimo de tres puentes óseos en las proyecciones anteroposterior y lateral; también se evaluó la presencia de retraso de la consolidación, es decir, la falta de signos claros de consolidación ósea a los 3-6 meses de la cirugía. Estas imágenes se recabaron utilizando el archivo de imágenes y sistema de comunicación (Kodak Carestream PACS, Kodak Company). La alineación normal se determinó entre 5° varo y 5° valgo.

Todos los pacientes siguieron un protocolo posoperatorio similar que consistió en movilidad temprana y carga de peso según la tolerancia al dolor.

 

Técnica quirúrgica

Posición del paciente

Se colocó al paciente en posición supina. La rodilla de la pierna por operar se colocó flexionada a 90-110°, para mantener este ángulo se utilizó un triángulo de fibra de carbono debajo de la rodilla. Se colocó una almohada debajo del glúteo de esa pierna a fin de neutralizar la tendencia a la rotación externa de la extremidad mediante la inclinación de la hemipelvis.

 

Abordaje

Se realizó un abordaje transrotuliano y luego se liberó la almohadilla grasa retrorrotuliana y quedó expuesto el borde anterior de la meseta tibial donde se ubicó el punto de entrada del clavo, que estuvo centrado sobre el canal medular controlado mediante radioscopia intraoperatoria.

 

Reducción de la fractura

Después del abordaje, se procedió a la reducción de la fractura guiada por radioscopia, lo que se puede realizar mediante varios métodos, como tracción manual, distractores, joystick o abriendo el foco de fractura para una reducción directa; en nuestro caso, fue mediante tracción manual en el eje de la tibia.

 

Inicio del canal medular

Una vez ubicado el punto de entrada del clavo, se inició el canal medular utilizando una guía metálica que luego fue avanzando por el canal; en esta etapa, se utilizó un protector de tejidos blandos para reducir, al mínimo, el daño sobre ellos. Todos estos pasos fueron guiados por radioscopia.

 

Fresado

Insertamos la fresa de eje flexible canulado sobre el cable guía. Fresamos secuencialmente desde diámetros más pequeños hasta los más grandes, con incrementos de 0,5 mm. El fresado debe ser de 0,5 a 1,5 mm mayor que el diámetro del clavo, debido a que el canal medular no es una estructura perfectamente recta.

 

Colocación del clavo endomedular

Luego del fresado y de medir la longitud del implante, se coloca el clavo definitivo, primero se realiza el bloqueo distal y luego el proximal, siempre guiado por radioscopia. Se comprueba la estabilidad de la fractura y, a continuación, se comienza con el cierre por planos tanto del abordaje principal, como así también de los bloqueos, dos proximales y dos distales.

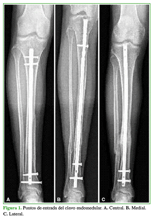
En la radiografía posquirúrgica inmediata, se observó el punto de entrada del clavo endomedular, que se clasificó en: central, medial y lateral (Figura 1), tomando como referencias radiográficas ambas espinas tibiales.

 

 

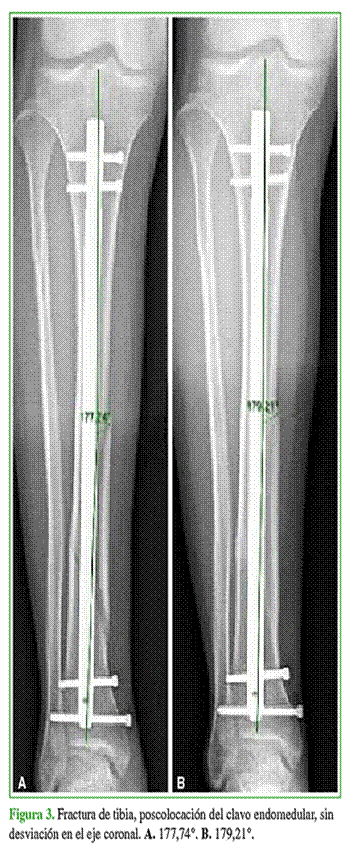
Para este procedimiento se trazó una línea vertical recta desde el punto medio de las espinas tibiales hasta el extremo distal de la tibia, por encima de la articulación tibio-astragalina (Figura 2), luego, se observó la desviación de la fractura y se la clasificó en: varo, valgo o neutra, valoración que se realizó trazando una línea recta desde las espinas tibiales hacia el centro de la diáfisis tibial y luego otra línea recta desde este último punto hasta el extremo distal de la tibia sin tener en cuenta, en este momento, los grados de desalineación.

Se realizaron controles radiográficos cada dos meses para detectar así si había retraso de la consolidación.

A los ocho meses de la cirugía y con las fracturas ya consolidadas, se realizó nuevamente la medición para valorar la alineación de la fractura, de la misma manera que en el período posquirúrgico inmediato; en esta ocasión, teniendo en cuenta los grados de desalineación de la fractura en el plano coronal, clasificados en: varo, valgo y neutro (Figuras 3-5).

 

 

 

 

 

 

 

 

 

 

 

 

 

RESULTADOS

La muestra estaba formada por 77 pacientes (74% hombres), representó a dos estratos diferentes de edades (p = 0,0096) con intervalos de confianza del 95% [40.3; 59.6] y [31.9; 41.7] años, para mujeres y hombres, respectivamente, esto muestra que la representación etaria del estudio está concentrada en torno de los 37 años. Por otro lado, la edad no estuvo asociada a la selección del punto de entrada del clavo endomedular (p = 0,832), ni a las valoraciones de las posiciones reportadas por las imágenes posquirúrgicas inmediatas (p = 0,547) y pasados los 8 meses (p = 0,868). Este aspecto se muestra en la Figura 6.

 

 

 

 

El punto de entrada del clavo no fue seleccionado aleatoriamente en las diferentes clasificaciones de fractura (p = 0,012, Figura 7, superior derecho), por ejemplo, de las 54 cirugías para fracturas 42 A, apenas el 6% tuvo un punto de entrada medial, y de aquellas 42 B, un 67%.

Considerando el punto de entrada del clavo endomedular (central, medial o lateral), luego de la cirugía, la radiografía indica que, salvo el primero de estos (central), las restantes posiciones sufrieron desalineación significativa (p = 0,002 y p = 0,0011 para las mediales y laterales, respectivamente). En efecto, en el 87% de los pacientes que recibieron el clavo en la posición central, también estaba central (es decir, posición neutra) luego de la cirugía. Por el contrario, de los que recibieron el clavo en la posición medial, apenas el 3,5% se mantuvo en la posición original, ya que el 93% tuvo una desalineación o tendencia al valgo, mientras que, en todos los pacientes con punto de entrada lateral, se observó desalineación en el plano coronal, en las radiografías posquirúrgicas: el 84% de estos presentó desalineación o tendencia al varo. Este comportamiento solo se atenuó cuando la clasificación de las fracturas (AO) era 42C, y fue homogéneo en las restantes (42A y 42B, p = 0,634).

 

 

 

 

A los ocho meses de la cirugía, la valoración radiográfica tuvo una concordancia parcial (adherencia global 81%) con aquella realizada inmediatamente después de la cirugía: esto es, si bien las centrales permanecieron en esa posición en su mayoría (87% de los pacientes) y las mediales con tendencia a la desalineación en valgo (73%), de éstas, en siete pacientes (24%), se mantuvo la posición original. La Figura 2 ilustra, de manera global, este comportamiento.

Finalmente, analizando las radiografías posquirúrgicas inmediatas, como así también el control radiográfico a los ocho meses, cuando el punto de entrada del clavo fue central, hubo apenas un 0,021 de posibilidades (o 2,1%) de alguna desalineación significativa en el período posquirúrgico y luego de ocho meses. En cambio, cuando el punto de entrada fue medial, las chances de presentar una tendencia al valgo fueron superiores a 0,85 (u 85%) ya en el momento de tomar la primera radiografía posquirúrgica; y cuando el punto de entrada del clavo endomedular fue lateral, esta chance se modificó y profundizó según el tiempo transcurrido hasta la imagen radiográfica final lograda en el paciente.

En síntesis, en la población de pacientes que concurrieron a la institución en el período mencionado para lograr una alineación satisfactoria, el punto de entrada, independientemente de la edad del paciente y del tipo o clasificación de la fractura, debe ser central.

 

DISCUSIÓN

Las fracturas diafisarias de tibia representan alrededor del 5-11% de todas las fracturas de tibia.9 El clavo endomedular bloqueado es el tratamiento primario aceptado para este tipo de fracturas,10-14 y es de elección en la mayoría de la bibliografía revisada, como así también para nuestro estudio, debido a que es un procedimiento mínimamente invasivo, con menor daño de partes blandas y menos complicaciones posquirúrgicas. Krishan y cols.15 mostraron una alineación angular satisfactoria para las fracturas diafisarias tibiales tratadas con clavo endomedular. En nuestro estudio, el 35% de los pacientes tratados con este método obtuvo una alineación radiográfica neutra a los ocho meses de la cirugía, sin desalineación en el plano coronal, esto era lo que los cirujanos ortopédicos esperaban cuando planificaron la cirugía, en tanto que Nork y cols.16 registraron una alineación radiográfica aceptable, con un ángulo <5° en cualquier plano, en el 92% de las fracturas tibiales metafisarias tratadas con clavo endomedular. Kruppa y cols.17 comunicaron un porcentaje menor de correcta alineación y que se produjo una angulación en el plano coronal aceptable, dentro de la norma definida de 5° en el 76% de las fracturas tratadas con clavo endomedular. La mala alineación de fracturas en el plano coronal es una complicación bastante común del enclavado endomedular de fracturas diafisarias de tibia como lo demostraron Franke y cols.;18 en nuestro estudio, fue la principal complicación posquirúrgica, debido a que el 65% de los pacientes experimentó algún grado de desalineación, ya sea en varo o en valgo, aunque cabe aclarar que muchos de estos casos fueron hallazgos radiográficos en los controles posquirúrgicos, sin que le ocasionaran al paciente síntomas o molestias. Kruppa y cols.17 notificaron que la mayoría de las desalineaciones tenían tendencia al valgo, información que se ve reflejada nuevamente en nuestro análisis, ya que el 33,8% de nuestros casos tuvo un deseje en valgo, en comparación con el 31,2% en el cual este fue a varo. Weninger y cols.19 mostraron que el grado de mala alineación en el plano frontal depende de la localización de la entrada del clavo en la meseta tibial, como así también que la inserción lateral del clavo condujo a una mala alineación en varo en un número significativo de pacientes. En nuestro estudio, coincidimos con este último, ya que observamos una marcada relación entre el punto de entrada del clavo endomedular y su alineación posterior, debido a que se demostró que aquellos pacientes con puntos de entrada central tienen menos posibilidad de alguna desalineación; asimismo, todos los pacientes con punto de entrada lateral desarrollaron desejes en el plano coronal, el más frecuente fue el deseje en varo, como notificaron Weninger y cols.19 Sin embargo, en el 25% de nuestros casos con un punto de entrada medial y una mala alineación en valgo en las radiografías posquirúrgicas inmediatas, se corrigió y se observó un ángulo aceptable <5° en cualquier plano, a los ocho meses de colocar el implante, situación que no es de menor importancia, y es de suma utilidad a la hora de realizar el procedimiento, y sobre la cual no existe demasiada bibliografía.

En un estudio anatómico realizado por Lembcke y cols.,8 los autores encontraron una mala alineación en varo causada por un punto de entrada lateral y en valgo después de la inserción del clavo a medial, resultados similares y con los que concordamos en nuestro análisis, porque hallamos una relación directa entre el punto de entrada lateral (32,5%) y la desviación en varo (31,2%), y también entre la desviación en valgo (33,8%) y el punto de entrada medial (36,4%).

En el estudio ya mencionado de Weninger y cols.,19 se observó que la desalineación en valgo disminuye si los clavos endomedulares tienen su punto de entrada central, y también que los cirujanos deben tener en cuenta que la angulación en varo disminuye si los clavos se insertan menos lateralmente, información que se ve plasmada claramente en el desarrollo de nuestro estudio y con la cual coincidimos.

Creemos de suma importancia remarcar nuevamente los resultados obtenidos en cuanto al punto de entrada medial, debido a que varios autores, entre ellos, Tejwani y cols.,20 describieron que un punto de entrada medial exagera la deformidad del valgo, situación que se dio a lo largo de nuestro estudio, pero con la variable de que el 25% de los pacientes con un punto de entrada medial no desarrollaron desalineación alguna, antecedente que debe ser tenido en cuenta por los cirujanos ortopédicos que realizan este procedimiento rutinariamente.

 

CONCLUSIONES

Podemos afirmar que el punto de entrada del enclavado endomedular guarda relación directa y continua con la alineación posquirúrgica de las fracturas diafisarias de tibia tratadas con este procedimiento. Se halló que el punto de entrada recomendado para el clavo endomedular es el central, debido a que experimenta menos desviaciones posquirúrgicas en el plano coronal. En cuanto a los dos puntos de entrada restantes, se debe comentar que el 25% de las fracturas con punto de entrada medial no tuvieron desviación alguna, mientras que, con el punto de entrada lateral, todas tuvieron algún vicio en la alineación final.

 

BIBLIOGRAFÍA

1.     Court-Brown CM, McBirnie J. The epidemiology of tibial fractures. J Bone Joint Surg Br 1995;77(3):417-21. https://doi.org/10.1302/0301-620X.77B3.7744927

2.     Court-Brown CM, Caesar B. Epidemiology of adult fractures: a review. Injury 2006;37(8):691-7. https://doi.org/10.1016/j.injury.2006.04.130

3.     Nork SE, Barei DP, Schildhauer TA, Agel J, Holt SK, Schrick JL, et al. Intramedullary nailing of proximal quarter tibial fractures. J Orthop Trauma 2006;20(8):523-8. https://doi.org/10.1097/01.bot.0000244993.60374.d6

4.     Ricci WM, O’Boyle M, Borrelli J, Bellabarba C, Sanders R. Fractures of the proximal third of the tibial shaft treated with intramedullary nails and blocking screws. J Orthop Trauma 2001;15(4):264-70. https://doi.org/10.1097/00005131-200105000-00005

5.     Thein E, Chevalley F, Borens O. Pseudarthrosis of the long bones. Rev Med Suisse 2013;9(411):2390-6. https://doi.org/10.1007/s00104-017-0547-4

6.     Bong MR, Kummer FJ, Koval KJ, Egol KA. Intramedullary nailing of the lower extremity: biomechanics and biology. J Am Acad Orthop Surg 2007;15(2):97-106. https://doi.org/10.5435/00124635-200702000-00004

7.     Freedman EL, Johnson EE. Radiographic analysis of tibial fracture malalignment following intramedullary nailing. Clin Orthop Relat Res 1995;(315):25-33. https://doi.org/10.1097/00003086-199506000-00004

8.     Lembcke O, Ruter A, Beck A. The nail-insertion point in unreamed tibial nailing and its influence on the axial malalignment in proximal tibial fractures. Arch Orthop Trauma Surg 2001;121(4):197-200. https://doi.org/10.1007/s004020000200

9.     Dunbar RP, Nork SE, Barei DP, Mills WJ. Provisional plating of type III open tibia fractures prior to intramedullary nailing. J Orthop Trauma 2005;19(6):412-4. https://doi.org/10.1097/01.bot.0000153446.34484.70

10.  Blachut PA, O’Brien PJ, Meek RN, Broekhuyse HM. Interlocking intramedullary nailing with and without reaming for the treatment of closed fractures of the tibial shaft. A prospective, randomized study. J Bone Joint Surg Am 1997;79(5):640-6. https://doi.org/10.2106/00004623-199705000-00002

11.  Bone LB, Kassman S, Stegemann P, France J. Prospective study of union rate of open tibial fractures treated with locked, unreamed intramedullary nails. J Orthop Trauma 1994;8(1):45-9. https://doi.org/10.1097/00005131-199402000-00010

12.  Bone LB, Johnson KD. Treatment of tibial fractures by reaming and intramedullary nailing. J Bone Joint Surg Am 1986;68(6):877-87. PMID: 3733776

13.  Fan CY, Chiang CC, Chuang TY, Chui FY, Chen TH. Interlocking nails for displaced metaphyseal fractures of the distal tibia. Injury 2005;36(5):669-74. https://doi.org/10.1016/j.injury.2004.10.018

14.  Whittle AP, Wood GW. Fractures of the lower extremity. En: Canale ST (ed.). Campbell’s operative orthopaedics. St. Louis, MO: Mosby; 2003, p. 2757-61.

15.  Krishan A, Peshin C, Singh D. Intramedullary nailing and plate osteosynthesis for fractures of the distal metaphyseal tibia and fibula. J Orthop Surg (Hong Kong) 2009;17(3):317-20. https://doi.org/10.1177/230949900901700315

16.  Nork SE, Schwartz AK, Agel J, Holt SK, Schrick JL, Winquist RA. Intramedullary nailing of distal metaphyseal tibial fractures. J Bone Joint Surg Am 2005;87(6):1213-21. https://doi.org/10.2106/JBJS.C.01135

17.  Kruppa CG, Hoffmann MF, Sietsema DL, Mulder MB, Jones CB. Outcomes after intramedullary nailing of distal tibial fractures. J Orthop Trauma 2015;29(9):e309-15. https://10.1097/BOT.0000000000000323

18.  Franke J, Homeier A, Metz L, Wedel T, Alt V, Spät S, et al. Infrapatellar vs. suprapatellar approach to obtain an optimal insertion angle for intramedullary nailing of tibial fractures. Eur J Trauma Emerg Surg 2018;44(6):927-38. https://doi.org/10.1007/s00068-017-0881-8

19.  Weninger P, Tschabitscher M, Traxler H, Pfafl V, Hertz H. Intramedullary nailing of proximal tibia fractures—An anatomical study comparing three lateral starting points for nail insertion. Injury 2010;41(2):220-5. https://doi.org/10.1016/j.injury.2009.10.014

20.  Tejwani N, Polonet D, Wolinsky PR. Controversies in the intramedullary nailing of proximal and distal tibia fractures: J Am Acad Orthop Surg 2014;22(10):665-73. https://doi.org/10.5435/JAAOS-22-10-665

 

 

ORCID de M. M. Mangupli: https://orcid.org/0000-0002-1162-2708

ORCID de I. J. Pioli: https://orcid.org/0000-0001-8697-1980

ORCID de B. L. Allende: https://orcid.org/0000-0003-2757-4381

ORCID de J. M. Gómez: https://orcid.org/0000-0002-1162-2708

 

Recibido el 17-1-2022. Aceptado luego de la evaluación el 21-2-2022 •  Dr. Ignacio H. Nieto •  ignaciohnieto@gmail.comhttps://orcid.org/0000-0002-3639-6591

 

Cómo citar este artículo: Nieto IH, Mangupli MM, Allende BL, Pioli IJ, Gómez JM. Enclavado endomeduar en fracturas de tibia. ¿Existe una relación entre el punto de entrada para la inserción del clavo y su alineación final? Rev Asoc Argent Ortop Traumatol 2022;87(2):188-196. https://doi.org/10.15417/issn.1852-7434.2022.87.2.1495

 

 

Información del artículo

Identificación: https://doi.org/10.15417/issn.1852-7434.2022.87.2.1495

Fecha de publicación: Abril, 2022

Conflicto de intereses: Los autores no declaran conflictos de intereses.

Copyright: © 2022, Revista de la Asociación Argentina de Ortopedia y Traumatología.

Licencia: Este artículo está bajo una Licencia Creative Commons Atribución-No Comercial-Compartir Obras Derivadas Igual 4.0 Internacional. (CC-BY-NC-SA 4.0)