PRESENTACIÓN DE CASOS

 

Quiste óseo aneurismático vertebral agresivo: presentación de un caso y revisión bibliográfica

 

José F. Baigorria, Micaela Besse, José A. Rosado Pardo, Alejandro Steverlynck, Aníbal J. Sarotto

Servicio de Ortopedia y Traumatología, Sanatorio Victorio Franchín, Ciudad Autónoma de Buenos Aires, Argentina

 

RESUMEN

Introducción: El quiste óseo aneurismático es una lesión seudotumoral lítica, expansiva, compuesta por espacios llenos de sangre separados por tabiques. Representa el 15% de los tumores primarios en la columna, y su presentación de comportamiento agresivo es aún más infrecuente. Se han descrito diferentes opciones terapéuticas en función de su estadio y tasa de recurrencia. Presentamos a un paciente con compromiso neurológico secundario a un quiste óseo aneurismático en la columna torácica, de comportamiento agresivo, que requirió resolución quirúrgica. Conclusión: Las opciones de tratamiento del quiste óseo aneurismático se deben adecuar a cada caso en particular, según sus características.

Palabras clave: Quiste óseo aneurismático; columna torácica; mielopatía.

Nivel de Evidencia: IV

 

Aggressive Aneurysmal Bone Cyst of the Spine. Case report and Literature Review

 

ABSTRACT

Introduction: An aneurysmal bone cyst is an expansive, lytic, pseudotumoral lesion that consists of blood-filled spaces separated by septa. It represents 15% of primary spinal tumors. An aggressive presentation is even rarer. Different therapeutic options are described depending on its stage and recurrence rate. We present the case of a patient with neurological involvement due to the aggressive behavior of an aneurysmal bone cyst in the thoracic spine, which required surgical treatment. Conclusion: Treatment options for aneurysmal bone cysts must adapt to each case, depending on its characteristics.

Keywords: Aneurysmal bone cyst; thoracic spine; myelopathy.

Level of Evidence: IV

 

INTRODUCCIÓN

El quiste óseo aneurismático (QOA) fue descrito, por primera vez, por Jaffe y Lichtenstein, en 1942, como una lesión intraósea y osteolítica, diferenciándolo de hemangiomas y otros tumores de células gigantes.1 Se trata de una lesión ósea seudotumoral lítica, expansiva, compuesta por espacios llenos de sangre separados por tabiques de tejido conectivo formados por tejido óseo reactivo, fibroblastos y células gigantes de tipo osteoclasto.2

El QOA forma parte de los tumores benignos y representa entre el 1% y el 1,4% de todos los tumores óseos primarios.3 La mayoría de los casos se han identificado en las primeras dos décadas de la vida; es infrecuente hallarlos después de los 30 años. Representan el 15% de los tumores primarios en la columna.4

Su comportamiento puede variar en los distintos estadios, desde latente hasta agresivo, como describió Enneking,5 de tal forma que su presentación clínica puede implicar desde un hallazgo imagenológico hasta síntomas compresivos, como dolor, déficit neurológico, inestabilidad espinal o deformidad.6

Los estudios complementarios revelan imágenes patognomónicas de niveles “líquido-líquido”. El diagnóstico definitivo se obtiene mediante biopsia. Se han descrito diferentes opciones terapéuticas según su comportamiento, ubicación y tasa de recurrencia.

Debido a que existen pocos reportes de casos de QOA agresivos en la columna, los algoritmos de diagnóstico y tratamiento siguen siendo controvertidos y variables. Como tratamientos, se han propuesto desde el curetaje simple, con injerto óseo o sin él, la inyección de un agente fibrosante, la cirugía de resección completa, la radioterapia y la embolización arterial selectiva hasta la combinación de estas metodologías.7

Aunque los resultados terapéuticos suelen ser buenos, en todos los protocolos de terapia, se describe la recidiva local, la que no se puede predecir con exactitud, ya que, en la bibliografía, estas tasas son muy variables, incluso alcanzan cifras de hasta el 25%.8

Presentamos el caso de un paciente con diagnóstico de QOA vertebral de comportamiento agresivo, con síntomas de lesión medular, tratado mediante abordaje quirúrgico.

 

CASO CLÍNICO

Hombre de 32 años, sin antecedentes clínicos ni quirúrgicos de relevancia, que consulta en nuestra institución por dorsalgia de un mes de evolución. No refiere antecedentes traumáticos.

La anamnesis y el examen físico revelaron hipoestesias en ambos pies, parestesias y clonus aquileano en miembros inferiores. La fuerza se hallaba disminuida, 4/5 según la escala MRC (Medical Research Council) de fuerza muscular.9

Al ingreso se solicitaron estudios por imágenes. La radiografía evidenció el signo del “guiño del búho” a nivel de la décima vértebra torácica (T10) (Figura 1).

 

 

 

 

La tomografía computarizada mostró una imagen lítica expansiva, con rotura de la cortical, que comprometía el pedículo, la apófisis transversa, el arco posterior a predominio derecho y el cuerpo de T10 (<50%) (Figura 2).

 

 

 

 

En la resonancia magnética de columna torácica, se identificó la misma lesión expansiva, con contenido líquido y con extensión al canal torácico, lo que generaba compresión medular y estenosis del canal, sin permitir el pasaje de líquido cefalorraquídeo (Figura 3).

 

 

 

 

Los potenciales evocados evidenciaron afectación de vías somatosensitivas en el segmento torácico inferior/ unión toracolumbar.

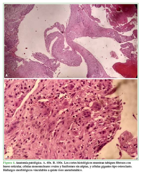
Se realizó una punción-biopsia bajo guía tomográfica mediante un acceso pedicular de T10 derecho; se obtuvieron 3 cm3 de material hemático para el estudio citológico y un fragmento de taco óseo para el estudio histológico. No hubo complicaciones durante el procedimiento. En los cortes histológicos de todas las muestras, se observaron tabiques fibrosos con hueso reticular, células mononucleares ovales y fusiformes sin atipias, y células gigantes tipo osteoclasto, lo que llevó al diagnóstico final de QOA (Figura 4).

 

 

 

 

Sobre la base del diagnóstico y la clínica del paciente, se optó por adoptar una conducta quirúrgica. Se realizó una angiografía medular digital bajo anestesia general (Figura 5), la cual evidenció hipervascularización dependiente de T10 derecha. En el mismo acto, se efectuó un tratamiento endovascular de embolización con emboesferas.

 

 

 

 

A las 24 h, se llevó a cabo la cirugía, que consistió en la exéresis extendida del arco posterior de T10. Se practicó un extenso curetaje, fresado y fenolización de la cavidad. Se halló manguito tumoral peridural embolizado, el cual se resecó (Figura 6).

 

 

 

 

Finalmente, se estabilizó mediante la implantación de barras y tornillos pediculares de T9 a T11 (Figura 7).

 

 

 

 

Con buena evolución y sin progresión del déficit neurológico, el paciente fue dado de alta a los 4 días. A los 6 meses de la cirugía, el paciente deambula sin limitaciones, y la fuerza muscular ha mejorado, sin progresión del déficit neurológico en el examen de seguimiento clínico.

 

DISCUSIÓN

El QOA se incluye dentro del grupo de tumores óseos primarios benignos. Si bien su histología así lo define, el QOA puede presentar un comportamiento que deriva en un crecimiento rápido, con destrucción local. Es una lesión muy vascularizada compuesta por cavidades de contenido hemático, separadas por tabiques de tejido conjuntivo, y está rodeada por una capa de hueso cortical, con la potencial capacidad de expandirse.10

Los sitios comunes de aparición son fémur, tibia, húmero, columna, pelvis, mandíbula, clavícula, costillas y huesos de manos y pies. En la columna vertebral, la región cervical se ve comprometida en el 30-40% de los casos, la columna torácica, en el 25-50% y el segmento lumbar, en el 40-45%.11 Por lo general, se origina en los elementos óseos posteriores; el cuerpo vertebral es un sitio menos frecuente de compromiso.

La causa del QOA no está resuelta hasta el momento, aunque se han propuesto diferentes hipótesis, las que incluyen el desarrollo de una hemorragia subperióstica postraumática, una alteración vascular del hueso o una hemorragia en una lesión preexistente.12

Tal como se presentó en nuestro caso, el motivo de consulta más frecuente referido por el paciente es el dolor local.13 Los síntomas neurológicos sobrevienen por el desarrollo y el comportamiento agresivo expansivo de la lesión.

Los estudios por imágenes constituyen un pilar fundamental en el proceso diagnóstico del QOA, ya que presentan rasgos característicos. El aspecto lítico, de carácter expansivo, con niveles líquido-líquido, son hallazgos patognomónicos. El paso siguiente será la punción-biopsia, que confirmará el resultado de la histopatología.14

El tratamiento del QOA continúa siendo un tema de controversia, debido a la falta de pautas definidas. Se han descrito múltiples opciones, para ser empleadas en forma única o combinadas, que incluyen el curetaje con injerto óseo o sin él, la tumorectomía completa, la embolización selectiva preoperatoria, la radioterapia, la quimioterapia y las inyecciones intralesionales.15

El curetaje con aporte de injerto óseo tiene una tasa de recurrencia del 20%, por lo que requiere una escisión más agresiva. Considerar siempre la estabilización quirúrgica si se desarrolla una deformidad posoperatoria o por el grado de resección ósea.16

La radioterapia como opción queda hoy reservada para pacientes con alto riesgo de no tolerar una cirugía o para aquellos que no responden al tratamiento quirúrgico, más aún considerando los riesgos potenciales de mielopatía posradiación o transformación sarcomatosa.17,18

Dentro de las opciones de quimioterapia, se menciona el denosumab, un anticuerpo monoclonal humano que se une al activador del receptor de citocinas del ligando del factor nuclear kappa B. De este modo, previene la acción de los agonistas que actúan a través de los receptores RANKL y evita la posterior activación y proliferación de los osteoclastos. Si bien los reportes en casos de QOA son limitados, la quimioterapia ha sido considerada una opción válida de tratamiento para aquellos QOA sintomáticos no susceptibles de ser abordados quirúrgicamente o que han presentado recidivas frecuentes.19,20

Las inyecciones intralesionales de calcitonina, esteroides, médula ósea concentrada, entre otras opciones, se mencionan en la bibliografía actual, mayormente en informes o series de casos. Si bien estas representan un método percutáneo con escasas complicaciones y efectos adversos, las publicaciones evidencian resultados variables, en los que predomina la remisión parcial.21,22

Por último, frente a grandes tumores hipervasculares con alto riesgo de hemorragia, se debe considerar la embolización selectiva preoperatoria. Nuestro paciente fue sometido a este procedimiento como parte del tratamiento preoperatorio. En los últimos años, la embolización se ha preferido como primera opción cuando el diagnóstico es seguro, técnicamente factible y existe la posibilidad de intervención quirúrgica dentro de las 24-48 h posteriores. Se han informado tasas de curación cercanas al 87% con esta estrategia.23,24

En este caso, se realizó un curetaje agresivo con vaciado de la lesión, asociado a fenolización del lecho como método local. Se asoció con la descompresión amplia del arco posterior, por lo cual fue imperiosa la necesidad de fusión instrumentada. La embolización digital preoperatoria fue sumamente útil, no solo contribuyó al tratamiento posterior, sino que sirvió también para prevenir un sangrado masivo intraoperatorio, ya que el paciente presentaba un árbol vascular peridural extenso totalmente trombosado, que se podía observar en la resonancia preoperatoria.

 

CONCLUSIONES

El QOA es un tumor benigno con potencial para comportarse agresivamente y con riesgo considerable de recurrencia local. Si bien son numerosas las opciones de tratamiento, estas se deben adecuar a cada caso en particular, teniendo en consideración las características del quiste.

Se concluye que, en este caso, fue necesario el tratamiento quirúrgico, en concordancia con los hallazgos clínicos, los resultados de estudios complementarios y el estadio tumoral.

 

Bibliografía

 

1.     Jaffe HL, Lichtenstein L. Solitary unicameral bone cyst, with emphasis on the Roentgen picture, the pathologic appearance, and the pathogenesis. Arch Surg 1942;44:1004-25. Disponible en: https://jamanetwork.com/journals/jamasurgery/article-abstract/545805

2.     Muratori F, Mondanelli N, Rizzo AR, Beltrami G, Giannotti S, Capanna R, et al. Aneurysmal bone cyst: A review of management. Surg Technol Int 2019;35:325-35. PMID: 31476792

3.     Lam Y. Bone tumors: Benign bone tumors. FP Essent 2020;493:11-21. PMID: 32573182

4.     Kiu A, Fung T, Chowdhary P, Jung S, Powell T, Boily M. Aneurysmal bone cyst in thoracolumbar spine. BJR Case Rep 2020;6(3):20190133. https://doi.org/10.1259/bjrcr.20190133

5.     Enneking WF. A staging system for musculoskeletal neoplasms. Clin Orthop Relat Res 1986;204:9-24. PMID: 3456859

6.     Abrar WA, Sarmast A, Sarabjit Singh AR, Khursheed N, Ali Z. Aneurysmal bone cysts of spine: an enigmatic entity. Neurol India 2020;68(4):843-9. https://doi.org/10.4103/0028-3886.293465

7.     Desai SB, O’Brien C, Shaikh R, Hedequist D, Proctor M, Orbach DB, et al. Multidisciplinary management of spinal aneurysmal bone cysts: A single-center experience. Interv Neuroradiol 2019;25(5):564-9. https://doi.org/10.1177%2F1591019919848130

8.     Frassanito P, D’Onofrio GF, Pennisi G, Massimi L, Tamburrini G, Muto M, et al. Multimodal management of aggressive recurrent aneurysmal bone cyst of spine: Case report and review of literature. World Neurosurg 2019;126:4237. https://doi.org/10.1016/j.wneu.2019.02.246

9.     Medical Research Council. Aids to the examination of the peripheral nervous system, Memorandum no. 45. London, UK: Her Majesty’s Stationery Office; 1981.

10.  Jiménez-Ávila JM, Rodríguez-Pacheco AB, Bitar-Alatorre E, Ramírez-Consuegra A. Quiste óseo aneurismático de columna vertebral lumbar. Experiencia médico-quirúrgica. Reporte de un caso. Acta Ortop Mex 2011;25(2):130-4. Disponible en: https://www.medigraphic.com/pdfs/ortope/or-2011/or112k.pdf

11.  Eun J, Oh Y. A case report of aneurysmal bone cyst of the thoracic spine treated by serial anterior and posterior fusion. Medicine (Baltimore) 2019;98(44):e17695. https://doi.org/10.1097/MD.0000000000017695

12.  Jaiswal A, Vijay V, Kori P, Shukla R. Aneurysmal bone cyst of thoracic spine: case report and brief review of literature. BMJ Case Reports 2013:bcr2013009265. https://doi.org/10.1136/bcr-2013-009265

13.  Rodríguez-García R, Antonio-Hernández JA, Santiago-Ortiz R, Sosa-Guzmán JJ, Rodríguez-Cordova R. Quiste óseo aneurismático gigante de columna vertebral. Rev Fac Med UNAM 2003;46(6):218-21. Disponible en: https://www.medigraphic.com/pdfs/facmed/un-2003/un036c.pdf

14.  Zhao Q, Xu H, Min X, Yang L, Ren Y. Imaging features of vertebral aneurysmal bone cyst and the clinical value of interventional embolization. Exp Ther Med 2020;20(4):3832-6. https://doi.org/10.3892/etm.2020.9099

15.  Wang T, Jia Q, Gao X, Fan R, Wu Z, Guo W, et al. Secondary aneurysmal bone cyst of the spine: Clinicopathological features, surgical modalities and outcomes. Clin Neurol Neurosurg 2020;188:105595. https://doi.org/10.1016/j.clineuro.2019.105595

16.  Kumar BY, Thirumal R, Chander SG. Aneurysmal bone cyst of thoracic spine with neurological deficit and its recurrence treated with multimodal intervention - A case report. Surg Neurol Int 2020;11:274. https://doi.org/10.25259/SNI_466_2020

17.  Kamikonya N, Hishikawa Y, Kurisu K, Taniguchi M, Miura T. Aneurysmal bone cyst treated by high-energy, low-dose radiation therapy: a case report. Radiat Med 1991;9(2):54-6. PMID: 1947203.

18.  Harrop JS, Schmidt MH, Boriani S, Shaffrey CI. Aggressive “benign” primary spine neoplasms: osteoblastoma, aneurysmal bone cyst, and giant cell tumor. Spine (Phila Pa 1976) 2009;34(22 Suppl):S39-47. https://doi.org/10.1097/BRS.0b013e3181ba0024

19.  Skubitz KM, Peltola JC, Santos ER, Cheng EY. Response of aneurysmal bone cyst to denosumab. Spine (Phila Pa 1976) 2015;40(22):E1201-4. https://doi.org/10.1097/BRS.0000000000001027

20.  Kulkarni AG, Patel A. Denosumab: A potential new treatment option for recurrent aneurysmal bone cyst of the spine. SICOT J 2019;5:10. https://doi.org/10.1051/sicotj/2019007

21.  Barbanti-Brodano G, Girolami M, Ghermandi R, Terzi S, Gasbarrini A, Bandiera S, et al. Aneurysmal bone cyst of the spine treated by concentrated bone marrow: clinical cases and review of the literature. Eur Spine J 2017;26(Suppl 1):158-66. https://doi.org:10.1007/s00586-017-4978-x

22.  Chang CY, Kattapuram SV, Huang AJ, Simeone FJ, Torriani M, Bredella MA. Treatment of aneurysmal bone cysts by percutaneous CT-guided injection of calcitonin and steroid. Skeletal Radiol 2017;46(1):35-40. https://doi.org/10.1007/s00256-016-2503-7

23.  Sertbas I, Karatay M. Combined preoperative embolization and surgical treatment of a giant aneurysmal bone cyst in the lumbar spine: A case study. Turk Neurosurg 2020;30(3):462-4. https://doi.org/10.5137/1019-5149.JTN.24614-18.2

24.  Amendola L, Simonetti L, Simoes CE, Bandiera S, De Iure F, Boriani S. Aneurysmal bone cyst of the mobile spine: the therapeutic role of embolization. Eur Spine J 2013;22(3):533-41. https://doi.org/10.1007/s00586-012-2566-7

 

 

ORCID de M. Besse: https://orcid.org/0000-0002-4388-1384

ORCID de A. Steverlynck: https://orcid.org/0000-0003-1968-4572

ORCID de J. A. Rosado Pardo: https://orcid.org/0000-0001-8467-3453

ORCID de A. J. Sarotto: https://orcid.org/0000-0002-2199-5524

 

Recibido el 25-11-2021. Aceptado luego de la evaluación el 17-1-2022 •  Dr. José F. Baigorria •  jfbaigorria@gmail.com  https://orcid.org/0000-0002-3453-2246

 

Cómo citar este artículo: Baigorria JF, Besse M, Rosado Pardo JA, Steverlynck A, Sarotto AJ. Quiste óseo aneurismático vertebral agresivo: presentación de un caso y revisión bibliográfica. Rev Asoc Argent Ortop Traumatol 2022;87(6):804-813. https://doi.org/10.15417/issn.1852-7434.2022.87.6.1470

 

 

Información del artículo

Identificación: https://doi.org/10.15417/issn.1852-7434.2022.87.6.1470

Fecha de publicación: Diciembre, 2022

Conflicto de intereses: Los autores no declaran conflictos de intereses.

Copyright: © 2022, Revista de la Asociación Argentina de Ortopedia y Traumatología.

Licencia: Este artículo está bajo una Licencia Creative Commons Atribución-No Comercial-Compartir Obras Derivadas Igual 4.0 Internacional. (CC-BY-NC-SA 4.0)