INVESTIGACIÓN CLÍNICA

 

Defectos óseos segmentarios: uso de implantes de titanio trabecular diseñados a medida

 

Matías A. Beatti, Carlos M. Zublin Guerra, Diego M. Guichet, Tomás S. Pellecchia

Servicio de Ortopedia y Traumatología, Hospital Médico Policial Churruca-Visca, Ciudad Autónoma de Buenos Aires, Argentina

 

Resumen

Introducción: Se dispone de una amplia variedad de opciones terapéuticas para la reconstrucción de defectos óseos segmentarios causados por fracturas, tumores o infecciones, pero aún es un desafío en la cirugía ortopédica. Materiales y Métodos: Se presentan seis casos de pacientes con pérdida ósea masiva tratados mediante lo que denominamos “combinación sinérgica” de una membrana inducida para aportar beneficios biológicos, más un andamiaje (scaffold) de titanio trabecular desarrollado especialmente, según cada paciente, para el aporte de estabilidad y estructura. Resultados: Cinco hombres y una mujer (edad promedio 30 años) fueron operados con esta técnica. El seguimiento promedio fue de 24 meses. En el posoperatorio inmediato, se logró el restablecimiento del eje, la longitud y la estabilidad mecánica suficiente para iniciar la carga parcial. La carga total, según las condiciones del paciente (dolor, fuerza muscular), demandó un promedio de 25 a 30 días. Conclusiones: Proponemos una opción de tratamiento poco frecuente en nuestro medio que brinda estabilidad biomecánica suficiente para tolerar la carga precoz recuperando la longitud total del defecto en un solo acto, con excelentes resultados funcionales, entendiendo estas como ventajas frente a las opciones terapéuticas de uso tradicional, como transporte o técnica de Masquelet.

Palabras clave: Titanio trabecular; andamiaje; defecto óseo segmentario.

Nivel de Evidencia: IV

 

Segmental Bone Defects: Use of Custom-Designed Trabecular Titanium Implants

 

Abstract

Introduction: There is a wide variety of therapeutic options for the reconstruction of segmental bone defects caused by fractures, tumors, or infections, but it continues to be a challenge in orthopedic surgery. Materials and Methods: The present work presents six (6) cases of patients with massive bone loss treated by means of what we call a “synergistic combination” of an induced membrane, to provide biological benefits, plus a trabecular titanium scaffold designed for each patient to provide stability and structure. Results: Five men and one woman with an average age of 30 years were operated on by this technique. The average follow-up was 24 months. In the immediate postoperative period, the axis, length, and sufficient mechanical stability to initiate partial weight-bearing were reestablished. Full weight-bearing according to the patients’ conditions (pain, muscle strength) required an average of 25 to 30 days. Conclusion: We propose a rare treatment option in our field with sufficient biomechanical stability to tolerate early weight-bearing, recovering the entire length of the defect in a single stage with excellent functional outcomes, understanding these as an advantage over traditional therapeutic options such as bone transport or the Masquelet technique.

Key words: Trabecular titanium; scaffold; segmental bone defect.

Level of Evidence: IV

 

Introducción

En nuestra práctica diaria, es cada vez más frecuente atender a pacientes que sufren lesiones graves con defectos óseos extensos que requieren tratamientos largos con múltiples cirugías reconstructivas y una incidencia alta de complicaciones. Existe una amplia variedad de opciones terapéuticas para la reconstrucción de defectos óseos segmentarios causados por fracturas, tumores o infecciones, pero sigue siendo un desafío en la cirugía ortopédica. Entre las más utilizadas en nuestro medio, se encuentran el aporte de injerto óseo (ya sea autólogo o heterólogo),1,2 los injertos vascularizados, los transportes óseos,3 la técnica de membrana inducida,4-9 y el uso creciente de sustitutos óseos de sulfato y fosfato cálcicos (matriz de hidroxiapatita), células madre y estimuladores biológicos, como factores de crecimiento, especialmente proteína morfogenética (BMP 2 y 7).

El advenimiento de nuevos materiales y tecnologías basadas en reconstrucciones tomográficas e impresión tridimensional nos permite desarrollar implantes intercalares de titanio trabecular10-13 “personalizados” para cada paciente.

La biocompatibilidad del titanio y sus características intrínsecas de osteoinducción, conducción e integración,12 así como su resistencia mecánica11 y contra la infección,14,15 hacen posible su implantación segura en pacientes previamente infectados, la recuperación total de la longitud del defecto, la carga precoz y se consiguen excelentes resultados funcionales.

El principio de reconstrucción esquelética que reportamos se basa en el concepto propuesto por nuestro equipo de “combinación sinérgica”. Se trata del uso de una membrana inducida con sus ya conocidos beneficios biológicos, generada bajo los preceptos de Masquelet, más la implantación de un “andamiaje” (scaffold) desarrollado a medida, de titanio trabecular para el aporte de estabilidad y estructura.

En este artículo, comunicamos una primera descripción de esta técnica novel y presentamos una serie de casos con defectos óseos segmentarios de etiología traumática e infecciosa en los cuales se aplicó la técnica de andamiaje sobre moldes de titanio trabecular elaborados con tecnología tridimensional. Planteamos la siguiente hipótesis: las fracturas expuestas con pérdidas óseas segmentarias, tratadas mediante esta técnica, tienen una evolución clínico-funcional más rápida que las tratadas por otros métodos, y los pacientes reanudan sus actividades previas en menos tiempo.

 

Materiales y Métodos

Se llevó a cabo un estudio retrospectivo, observacional y de serie de casos. Se presentan seis casos de pacientes con fracturas expuestas con pérdidas óseas masivas de miembro inferior entre 2016 y 2019. Cuatro eran defectos de fémur diafisario, uno de tibia distal, y uno mediodiafisario de tibia. Todos los pacientes fueron operados mediante lo que denominamos “combinación sinérgica”. Cada implante fue desarrollado de manera particular para cada tipo de defecto tomando como referencia el miembro sano. Para ello es necesario realizar una tomografía de cortes finos de 1 mm en los tres planos del miembro sano y del afectado. Mediante un programa específico, por superposición de imágenes de ambos huesos, se calculan la longitud y el diámetro del defecto por corregir. La empresa RAOMED fue la encargada de imprimir en titanio trabecular el diseño final desarrollado en conjunto por nuestro equipo.

Antes de la cirugía y en el posoperatorio, se realizó una evaluación clínica, y se solicitaron radiografías y una tomografía. Todos fueron intervenidos con la misma técnica descrita por nuestro equipo. Según la clasificación de defectos de huesos largos propuesta por Solomin y Slongo, las fracturas eran grado C.

Los criterios de inclusión fueron: pacientes con esqueleto maduro, defectos óseos segmentarios >4 cm, antecedente de infección bacteriana comprobada por cultivo bacteriano y con tratamiento específico, fracturas expuestas. Los criterios de exclusión fueron: pacientes con infección bacteriana activa, defectos óseos secundarios a tumor.

 

Descripción de casos

Caso 1

Mujer de 54 años, con una fractura expuesta de tibia distal izquierda Gustillo 3B y pérdida ósea masiva como consecuencia de un accidente de tránsito (Figura 1).

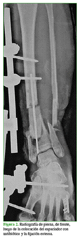
Inicialmente se la trató con limpieza y se le colocó un fijador externo. Limpiezas seriadas (3 en total), colocación de espaciador de cemento con antibiótico (vancomicina-imipenem) (Figura 2) y sistema de aspiración al vacío.

 

 

 

 

 

 

El cultivo de una muestra ósea resultó positivo para Enterococcus faecalis y se inició el tratamiento antibiótico con ampicilina. A los 22 días, la herida había mejorado y se procedió al recambio del espaciador con antibiótico, una nueva punción ósea, la cobertura definitiva de partes blandas y osteosíntesis de peroné. De dicha cirugía se obtuvo un cultivo positivo para Acinetobacter por lo que se indicó imipenem por vía intravenosa que luego se cambió a meropenem para cumplir plan de 90 días de tratamiento antibiótico en el domicilio. A los 45 días, la paciente se vuelve a internar a causa de una infección del sitio quirúrgico. Se realizó una nueva limpieza, recambio de espaciador, recolocación de Schanz y toma de muestra para cultivo cuyo resultado fue positivo para Staphylococcus aureus. Se administra tratamiento ambulatorio con cefalexina ante la buena evolución de partes blandas. Una vez terminado el tratamiento con meropenem, se efectuó una punción y el cultivo fue positivo para S. aureus resistente a cefalexina, por lo que se indicó trimetoprima/sulfametoxazol más rifampicina. Tras 90 días se toman seis muestras para cultivo que resultaron todas negativas. A los 10 meses, la paciente fue sometida a una cirugía reconstructiva con la colocación de un implante de titanio trabecular.

 

Desarrollo del implante

Se desarrollaron guías de corte para regularizar los bordes fracturarios y determinar la longitud de la resección, y un implante en titanio trabecular diseñado para la colocación de tornillos interfragmentarios en compresión tanto a nivel proximal como distal. En la interfaz implante-hueso, también se emplearon spikes para interdigitar la superficie ósea-implante a fin de aumentar la superficie de contacto y la estabilidad. Se optó por el diseño de un orificio oval pensado para alojar tornillos de una placa LCP regional de tibia anterolateral (Depuy, Synthes) (Figura 3) colocada a modo de neutralización para evitar la pérdida de reducción y el desplazamiento eventual del implante (Figura 4).

 

 

 

 

 

 

 

Caso 2

Varón de 40 años con fractura expuesta de tibia izquierda, fractura expuesta de rótula derecha y fractura medio-diafisaria de radio derecho, con pérdida ósea en la tibia, como consecuencia de un accidente de tránsito. El tratamiento inicial consistió en limpieza y resección del tercer fragmento desvitalizado y contaminado más colocación de fijador externo (Figura 5). El paciente quedó internado por un hematoma esplénico en la Unidad de Terapia Intensiva. A las 48 h, se lo evaluó nuevamente y se aisló Streptococcus viridans por lo que se le indicó ampicilina durante 45 días.

Dos semanas después se procedió a la osteosíntesis del antebrazo derecho más enclavado con antibiótico en la tibia izquierda. Al concluir el tratamiento antibiótico, se efectuó una biopsia por punción, todas las muestras fueron negativas y se procedió a la reconstrucción esquelética (Figura 6).

 

 

 

 

 

 

Desarrollo del implante

Se desarrollaron guías de corte para regularizar los bordes fracturarios. Se eligió la estabilización con clavo endomedular y se diseñó un canal para alojarlo; en este caso, se agregaron aletas en ambos extremos para colocar tornillos de fijación y así evitar la rotación y mejorar la estabilidad del andamiaje (Figura 7). Se optó por una superficie externa lisa para reducir la abrasión de las partes blandas y evitar la adherencia de los tendones extensores del tobillo debido a la anatomía particular de esta región y su colocación bajo tejido subcutáneo y submuscular.

 

 

 

 

Caso 3

Hombre de 19 años derivado de la provincia de Misiones por una infección del sitio quirúrgico tras una osteosíntesis de fémur izquierdo de un mes de evolución. Fue tratado empíricamente con cefalexina. Al ingresar tenía una herida flogótica con secreción purulenta sobre la osteosíntesis de fémur distal más una fractura conminuta de rótula sin tratamiento quirúrgico. Se realizó una limpieza con colocación local de rosario con antibiótico y se tomaron muestras que fueron positivas para Klebsiella productoras de betalactamasa de espectro extendido. A los 10 días del ingreso, se llevó a cabo la cirugía programada para retirar el rosario y la placa de osteosíntesis, y la resección ósea masiva de tipo oncológica con la colocación de clavo LFN y espaciador de cemento con gentamicina (Figura 8). Ante la mala evolución de la herida, fue necesario efectuar cuatro limpiezas más, y el recambio del clavo y del espaciador de cemento con antibiótico.

 

 

 

Luego de la sexta limpieza desde el ingreso, la herida comenzó a mejorar. Se completó el tratamiento antibiótico y se tomaron muestras por punción que fueron negativas. Se procedió a la reconstrucción esquelética, con buena evolución clínico-funcional.

 

Desarrollo del implante

Se desarrolló un segmento intercalar en forma de cono truncado con mayor diámetro en ambos extremos para una mejor coaptación implante-hueso (Figura 9). Se optó por la estabilización con un clavo endomedular; por lo tanto, se diseñó un canal para alojarlo. Dada su longitud (13,5 cm), fue necesaria la colocación de un injerto, por lo que se decidió emplear una superficie rugosa para la incrustación de hueso esponjoso.

 

 

 

 

Caso 4

Hombre de 21 años, con una fractura diafisaria de fémur con exposición por la cara posterior del muslo que fue derivado a los cuatro días de sufrir un accidente automovilístico. Como antecedente se destaca la adicción a drogas. Inicialmente se realizó una limpieza mecánico-quirúrgica con colocación de tutor y revaluación a las 48 h. A los siete días, se efectuó un enclavado endomedular. Tres días después, fue dado de alta, sin complicaciones (Figura 10).

 

 

 

A los tres meses de la cirugía, el paciente acude por una secreción purulenta y una fístula que coincide con el sitio de exposición inicial en la cara posterior del muslo. Se realizaron dos limpiezas con rescate bacteriológico de S. aureus resistente a meticilina, y se indicó un tratamiento antibiótico dirigido. Ante la mala evolución se decidió retirar el material y colocar un nuevo clavo con recubrimiento antibiótico. El paciente se fugó del hospital y reingresó a los pocos días por una secreción de la herida. Se efectuó una nueva limpieza con rescate de Staphylococcus haemolyticus. Se indicó un tratamiento con psicología. Debido a la posibilidad de realizar un tratamiento antibiótico por vía oral, fue dado de alta con controles periódicos por consultorio externo. Al tercer mes, refirió que había abandonado el tratamiento antibiótico sin indicación médica y que no había concurrido a sesiones de kinesiología, tenía rigidez en la rodilla homolateral. El paciente no cumplió con las pautas traumatológicas e infectológicas y no se presentó a los controles posteriores. Al año del accidente, ingresa nuevamente con un absceso del muslo a tensión. En la radiografía, se observó una rarefacción del foco de fractura. Se realizaron dos nuevas limpiezas con rescate positivo para S. aureus sensible a meticilina. Debido a la mala evolución se optó por una conducta radical con retiro del implante, resección de fragmentos óseos de mal aspecto y colocación de espaciador de cemento con antibiótico. Ante la buena respuesta, fue dado de alta para terminar el tratamiento antibiótico en forma ambulatoria. Se solicitó una tomografía para la preparación del andamiaje a medida.

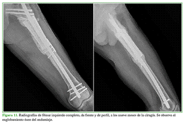
Una vez concluido el tratamiento antibiótico, se realizó una biopsia por punción con rescate negativo. Se procedió a la cirugía reconstructiva (Figura 11).

 

 

 

 

Desarrollo del implante

Se desarrolló un segmento intercalar en titanio, cónico, con un diámetro proximal mayor para permitir el desarrollo de un canal interno de forma oval, a fin de facilitar el ingreso del clavo endomedular sin el desplazamiento secundario del andamiaje. Para lograr una mayor coaptación de los segmentos óseos se diseñaron dos canales divergentes en dirección al trocánter menor para colocar tornillos corticales de 3,5 mm en compresión. A nivel de la cara medial se alojó una ranura que se extendía conectando los segmentos proximal y distal pensada para la colocación de injerto óseo con el fin de lograr una columna interna de hueso. Debido a su longitud (11 cm) requirió la colocación de un injerto, por lo que se decidió emplear una superficie rugosa para la incrustación de hueso esponjoso (Figura 12).

 

 

 

 

Caso 5

Hombre de 22 años, derivado al hospital con valva de yeso a las cinco semanas de haber sufrido un accidente automovilístico. Tenía una fractura diafisaria de fémur expuesta por la cara anterior con defecto segmentario de aproximadamente 10 cm, fractura conminuta de rótula homolateral (Figura 13) y lesión en el plexo braquial.

Al ingresar, se procedió a la revisión de la herida de la fractura expuesta y se decidió colocar una tracción esquelética por cinco días ante el marcado acortamiento del miembro.

 

 

 

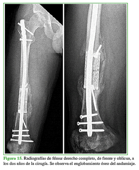
Antes de la cirugía definitiva, se colocaron un enclavado endomedular para igualar la longitud del miembro y un espaciador de cemento con vancomicina-gentamicina; se administró tratamiento antibiótico por vía oral (Figura 14). A los cuatro meses, se procedió al recambio del espaciador con toma de muestras, que fueron negativas. A las dos semanas, se realizó la cirugía reconstructiva (Figura 15).

 

 

 

 

 

 

Desarrollo del implante

Se desarrollaron guías de corte. Se trató de un segmento intercalar en titanio, cilíndrico del mismo diámetro de la diáfisis femoral del paciente. Se diseñaron guías de corte para regularizar los bordes fracturarios. Se decidió realizar la estabilización con un clavo endomedular; por lo tanto, se diseñó un canal para alojarlo. Con el objetivo de lograr una mayor coaptación a los segmentos óseos, se diseñó con un canal a 45°, tanto a proximal como a distal, para la colocación de tornillos corticales de 4,5 mm en compresión. Debido a su longitud (12,5 cm), requiere la colocación de injerto, por lo que se decidió emplear una superficie rugosa para la incrustación de hueso esponjoso (Figura 16).

 

 

 

 

Caso 6

Hombre de 24 años, derivado a nuestro hospital, a las 24 h de un accidente automovilístico. Tenía una fractura diafisaria expuesta multifragmentaria de fémur izquierdo, una fractura de escápula, una fractura del 5.° metatarsiano izquierdo y múltiples excoriaciones. Al ingresar, se procedió a realizar una limpieza mecánico-quirúrgica y la fijación externa. A los 10 días, se efectuó un enclavado endomedular de fémur y una osteosíntesis del 5.° metatarsiano. Fue dado de alta al tercer día de la operación. Después de 10 días, consulta nuevamente por una secreción de la herida y se realiza una limpieza mecánico-quirúrgica. Se decidió retirar los fragmentos óseos desvitalizados y se colocó un rosario con antibiótico. El paciente inició un tratamiento empírico con vancomicina, meropenem y rifampicina. A las 48 h, se efectuó una nueva limpieza con recambio de perlas. En el cultivo, se aisló S. aureus resistente a meticilina y, según el antibiograma, se cambió a cefalotina más rifampicina. Ante la mala evolución, se procedió a retirar el clavo y todos los fragmentos óseos, y a colocar un espaciador con cemento y antibiótico, con lo que se logró erradicar la infección y la mejoría clínica. A los 20 días, fue dado de alta para completar 90 días de tratamiento antibiótico ambulatorio. Se inició el diseño de un andamiaje intercalar. Una vez finalizado el tratamiento antibiótico, se realizó una punción con resultado negativo y se procedió a la reconstrucción esquelética a los 10 días.

 

Desarrollo del implante

Se desarrollaron guías de corte. Se trató de un segmento intercalar en titanio, cilíndrico, del mismo diámetro de la diáfisis femoral del paciente. Se optó por la estabilización con clavo endomedular; por lo tanto, se diseñó un canal para alojarlo. A fin de lograr una mayor coaptación a los segmentos óseos, se diseñó con un canal a 45°, tanto a proximal como a distal, para la colocación de tornillos corticales de 4,5 mm en compresión. Debido a su longitud (13,5 cm) se requiere la colocación de injerto, por lo que se decidió emplear una superficie rugosa para la incrustación de hueso esponjoso (Figura 17).

 

 

 

 

Reconstrucción

Una vez descartada la infección mediante la toma de muestras y biopsia por punción para cultivo y anatomía patológica, se programa la cirugía para reconstrucción.

 

Técnica quirúrgica

Preoperatorio: Se realiza una planificación preoperatoria tipo taller práctico (workshop) con biomodelos de los segmentos anatómicos por tratar y del implante definitivo desarrollados en plástico a escala real. Se reproduce la técnica quirúrgica por ejecutar con todo el equipo quirúrgico, y se practican las resecciones según cada caso.

Intraoperatorio: La decisión sobre el momento adecuado para realizar la reintervención se basará en el alta infectológica de cada paciente, no es posible determinar un tiempo fijo. Adecuando el abordaje según la región anatómica, la necesidad de extenderlo y la posibilidad de usar incisiones quirúrgicas previas, se efectúa el retiro del espaciador/rosario con antibióticos colocado en la etapa previa según el rescate bacteriano. Por lo ya expuesto, los tiempos suelen sobrepasar los ideales para hacer un uso completo de las ventajas de la membrana inducida descritas por Masquelet. La apertura de la membrana debe realizarse en el eje del miembro y de forma meticulosa para poder conservarla. La correcta preparación del lecho mediante la exéresis de fibrosis y osteotomías para la regulación de bordes fracturarios según necesidad, resulta clave para permitir el alojamiento del implante. Se decidirá el uso de un distractor femoral o tracción manual, según necesidad.

Se coloca el implante en el lugar del defecto y se quita la tracción del distractor dejando el cilindro a modo intercalar, controlando el eje, la rotación y la longitud clínicas del miembro corroborando bajo radioscopia. Se procede a la estabilización según el diseño (enclavado endomedular o placas regionales). Se considera como límite máximo de la osteoinducción efectiva del titanio los 8 cm de longitud. Cuando se requieran implantes más largos para tratar el defecto, es necesario aportar un injerto. Si el injerto obtenido por medios tradicionales no resulta suficiente puede recurrirse a sistemas especiales, como el sistema RIA (Synthes). En el Caso 3, se lo utilizó para la toma de injerto intracanal del fémur contralateral y la preparación del implante mediante siembra de este.

 

Resultados

El protocolo posoperatorio consistio en comenzar la rehabilitación de fisiokinesioterapia a los siete días de la operación definitiva, que incluía movilidad articular, magnetoterapia y ultrasonido.

Esta técnica se empleó en cinco hombres y una mujer (edad promedio 30 años, rango 19-54). El seguimiento promedio fue de 24 meses (rango 12-36).

Todas las fracturas fueron tipo C según la clasificación de Solomin y Slongo.16

En el período posoperatorio inmediato, se logra restablecer el eje, la longitud y la estabilidad mecánica suficiente para iniciar la carga parcial. La carga total según las condiciones del paciente (dolor, fuerza muscular) demandó un promedio de 25 a 30 días.

A los 45 o 50 días, todos los pacientes se encuentran con carga completa sin usar bastón ni muletas, y en rehabilitación.

A los 60 días, se observan signos radiográficos de integración incipiente sin signos de aflojamiento. Los pacientes no tienen dolor ni claudicación.

A los 90 días, se reincorporan a sus actividades cotidianas habituales; el puntaje promedio en la escala analógica visual es 1,16.

Tras 120 días, todos tienen una movilidad en el rango fisiológico de la articulación adyacente al miembro intervenido, excepto en el paciente del Caso 3, debido a la rigidez articular secundaria a una fractura de rótula.

A los 150 días, se confirma la incorporación ósea completa mediante tomografía computarizada en todos los pacientes. Asimismo, en las radiografías simples, se observa el “englobamiento” óseo del implante, que se considera secundario a la cualidad inductora y la calcificación parcial de la membrana.

Todos los pacientes reanudaron sus actividades previas en un promedio de 227 días. Ninguno presentó acortamiento, angulación ni rotación del miembro afectado.

Las complicaciones en el posoperatorio inmediato fueron una secreción de aspecto seroso por la herida (Casos 3 y 4). En ambos casos, se procedió a la exploración, la limpieza quirúrgica con toma de muestras, cuyos cultivos resultaron negativos. Esta secreción se produjo en los pacientes a quienes se les colocó una mayor cantidad de injerto de hueso esponjoso.

No hubo casos de reactivación infecciosa, intolerancia al material ni signos de aflojamiento o fatiga que requirieran el retiro.

Dos pacientes presentaban una fractura conminuta de rótula asociada. Uno (Caso 5) tiene una movilidad en el rango fisiológico sin dolor (extensión 180º, flexión 95º), el otro presenta una extensión completa con limitación en flexión de 40° que lo limita en sus actividades de la vida diaria, pero prefirió no someterse a otra intervención.

 

Discusión

En 2005, Attias y cols. describen el uso de cajas metálicas de columna (mesh cages) cilíndricas para la reconstrucción de defectos óseos segmentarios en el húmero, con excelentes resultados.17

En 2011, Sewell y cols. presentan un estudio retrospectivo entre 1998 y 2008 de 19 pacientes con un tumor de tibia diafisaria que habían sido sometidos a la resección oncológica del tumor y la reconstrucción esquelética con endoprótesis de titanio. Se trataba de implantes en dos partes que se unían con tornillos durante la cirugía y contenían vástagos en sus extremos que se fijaban con cemento y la colocación de placas de osteosíntesis si medían >4 cm de longitud.18

En 2012, Van der Stok y cols. describen el uso de implantes de titanio trabecular en ratas y analizan la mejor estructura y los tamaños del poro.19

En 2015, Wieding y cols. analizan las ventajas frente a otros tratamientos en ovejas.20

Utilizamos los beneficios aportados por la membrana inducida al promover grupos de factores inductores vasculares y ontogénicos, y agregamos un andamiaje de titanio trabecular que nos aporta la resistencia mecánica que el injerto por sí solo no puede brindar.

En 1991, Perren sostenía que el metal ideal debe tener buena biocompatibilidad, una óptima adhesión para reducir así la formación de cápsula y la irritación física de los tejidos, no contener componentes alergénicos y tener una mínima tasa de corrosión. Las características intrínsecas del titanio de promover la osteoinducción, la osteocon-ducción y la osteointegración,12 así como su resistencia mecánica,11 su mínima tasa corrosiva y resistencia frente a la infección19,20 lo convierten en el material de elección.

Los implantes de titanio son biológicamente superiores, sus buenos resultados en pacientes infectados están clínicamente demostrados. A diferencia del acero quirúrgico, la adherencia tisular al titanio dada por su biocompatibilidad y estructura de superficie evita la formación de espacio muerto y de biopelículas15 que promueve la nociva propagación bacteriana.14

La elección de desarrollar los implantes en aleación de Ti6Al4V se toma respetando los conceptos de Perren. El poro utilizado de 1-4 mm se considera óptimo para promover la osteoconducción, la inducción y la integración, por lo que el aporte de injerto óseo solo es necesario cuando el implante mide >8 cm.13

Las propiedades del titanio en la resistencia frente a la infección quedan de manifiesto, lo que permite su uso en un segmento previamente infectado.14,15

La recuperación de toda la longitud del defecto en un tiempo, sumada a la estabilidad biomecánica para tolerar la carga precoz repercute positivamente en la disminución de los tiempos de rehabilitación, con excelentes resultados funcionales. Observamos un claro acortamiento de los tiempos de rehabilitación frente a técnicas convencionales, como aporte de injerto, Masquelet y transporte óseo. En los distintos reportes bibliográficos sobre la técnica de Masquelet, la carga parcial se inicia entre el 4.° y el 5.° mes y la carga completa, recién a los 6-8 meses. Los tiempos de internación son notablemente menores cuando se compara con la elongación mediante tutores u otro método.5-7

El empleo del concepto de membrana inducida y sus ventajas para la formación de callo se ve reflejado en la presencia de calcificación que engloba el implante. Si bien sabemos que, alrededor de la tercera semana, se registran los mayores niveles de factores de crecimiento y de células troncales adultas (células madre) en la membrana, cuando las condiciones biológicas son ideales para la siembra del injerto,4,5 por cuestiones infectológicas, nos vemos obligados a sobrepasar dichos tiempos.

Las debilidades de este estudio son su diseño retrospectivo no comparativo entre distintas técnicas para el tratamiento de defectos óseos segmentarios y el tamaño pequeño de la muestra. Sus fortalezas son el aporte de una nueva opción terapéutica, los resultados posoperatorios promisorios y la baja tasa de complicaciones.

 

Conclusiones

Proponemos una opción de tratamiento poco frecuente en nuestro medio, que brinda una estabilidad biomecánica suficiente para tolerar la carga precoz y recupera la longitud total del defecto en un solo acto, con excelentes resultados funcionales. Estos resultados se consideran como ventajas frente a las opciones terapéuticas habituales, como transporte óseo o técnica de membrana inducida.

El costo del implante con su desarrollo incluido no implica un gasto mayor al de otras alternativas terapéuticas, pues acorta tiempos de tratamiento, internación y rehabilitación, sobre todo en pacientes laboralmente activos. Esta aseveración se encuentra actualmente en estudio.

Si bien esta técnica es promisoria para tratar este tipo de lesiones, entendemos que la casuística al día de la fecha es aún escasa, pero que tiene un alto potencial de desarrollo. Una dificultad es la larga y detallada planificación, además de una ejecución demandante para el cirujano. Es necesario contar con un mayor número de casos y un tiempo de control para poder definir si este podría ser un método de elección para defectos óseos de grandes dimensiones.

 

Comentario final

El antecedente de infección no es una contraindicación para realizar este tipo de tratamiento.

Se considera una técnica altamente demandante no solo por el nivel quirúrgico, sino también por el desarrollo del implante. Se requiere de amplia experiencia, conocimiento y permanente estudio de la biomecánica humana para el desarrollo del implante intercalar, en el que participan no solo el equipo médico, sino también bioingenieros y diseñadores.

 

Bibliografía

1.     Fillingham Y, Jacobs J. Bone grafts and their substitutes. Bone Joint J 2016; 98-B(1 Suppl A):6-9. https://doi.org/10.1302/0311-620x.98b-.36350

2.     Solomon LB, Callary SA, Boopalan PRJVC, Chakrabarty A, Costi JL, Howie DW. Impaction bone grafting of segmental bone defects in femoral non-unions. Acta Orthop Belg 2013;79:64-70. PMID: 23547518

3.     Keating J. The management of fractures with bone loss. J Bone Joint Surg Br 2005;87(2):142-50. https://doi.org/10.1302/0301-620x.87b2.15874

4.     Masquelet A, Fitoussi F, Begue T, Muller G. Reconstruction of the long bones by induced membrane and spongy autograft. Ann Chir Plast Esthet 2000;45:346-53. PMID: 10929461

5.     Pelissier P, Masquelet A, Bareille R, Pelissier S, Amedee J. Induced membranes secrete growth factors including vascular and osteoinductive factors and could stimulate bone regeneration. J Orthop Res 2004;22(1):73-9. https://doi.org/10.1016/S0736-0266(03)00165-7

6.     Masquelet A, Begue T. The concept of induced membrane for reconstruction of long bone defects. Orthop Clin North Am 2010;41(1):27-37. https://doi.org/10.1016/j.ocl-2009.07.011

7.     Giannoudis P, Faour O, Goff T, Kanakaris N, Dimitriou R. Masquelet technique for the treatment of bone defects: Tips-tricks and future directions. Injury 2011;42(6):591-8. https://doi.org/10.1016/j.injury.2011.03.036

8.     Pelissier P, Martin D, Baudet J, Lepreux S, Masquelet A. Behaviour of cancellous bone graft placed in induced membranes. Br J Plast Surg 2002;55(7):596-8. https://doi.org/10.1054/bjps.2002.3936

9.     Obert L, Giannoudis P, Masquelet A, Stafford P. International perspectives on the Masquelet technique for the treatment of segmental defects in bone. Lecture presented at; 2016; Orlando, Florida.

10.  Wang Y, Shen Y, Wang Z, Yang J, Liu N, Huang W. Development of highly porous titanium scaffolds by selective laser melting. Mat Lett 2010;64(6):674-6. https://doi.org/10.1016/j.matlet.2009.12.035

11.  Alvarez K, Nakajima H. Metallic scaffolds for bone regeneration. Materials 2009;2(3):790-832. https://doi.org/10.3390/ma2030790

12.  Dabrowski B, Swieszkowski W, Godlinski D, Kurzydlowski KJ. Highly porous titanium scaffolds for orthopaedic applications. J Biomed Mater Res B Appl Biomat 2010;95(1):53-61. https://doi.org/10.1002/jbm.b.31682

13.  Mullen L, Stamp RC, Brooks WK, Jones E, Sutcliffe CJ. Selective laser melting: a regular unit cell approach for the manufacture of porous, titanium, bone in-growth constructs, suitable for orthopedic applications. J Biomed Mater Res B Appl Biomat 2009;89(2):325-34. https://doi.org/10.1002/jbm.b.31219

14.  14.     Rochford ETJ, Richards RG, Moriarty TF. Influence of  material on the development of device-associated infections.

      Clin Microbiol Infect 2012;18(12):1162-7. https://doi.org/10.1111/j.1469-0691.2012.04002.x

15. Arens S, Schlegel U, Printzen G, Ziegler WJ, Perren SM, Hans M. Influence of  materials for fixation  implants on

      local infection, An experimental study of steel versus titanium dc in rabbits. J Bone Joint Surg Br 1996;78(4):647-51. PMID: 8682836

16.  Solomin L, Slongo T. Long bone defect classification: what it should be? J Bone Res Rep Recommendations 2016;2(1):2. https://doi.org/10.4172/2469-6684.100016

17.  Attias N, Lehman RE, Bodell LS, Lindsey RW. Surgical management of a long segmental defect of the humerus using a cilindrical titanium mesh cage and plates. J Orthop Trauma 2005;19(3):211-6. https://doi.org/10.1097/00005131-200503000-00011

18.  Sewell MD, Hanna SA, McGrath A, Aston WJS, Blunn GW, et al. Intercalary diaphyseal endoprosthetic reconstruction for malignant tibial bone tumours. J Bone Joint Surg Br 2011;93(8):1111-7. https://doi.org/10.1302/0301-620X.93B8.25750

19.  Van der Stok J, De Haas MFP, Van der Jagt OP, Van Lieshout, EMM, Patka P, et al. Porous titanium as treatment for large segmental bone defects. Poster 1611. ORS Annual Meeting, 2012.

20. Wieding J, Lindner T, Bergschmidt P, Badern R. Biomechanical stability of novel mechanically adapted open-porous titanium scaffolds in metatarsal bone defects of sheep. Biomaterials 2015;46:35-47. https://doi.org/10.1016/j.biomaterials.2014.12.010

 

 

ORCID de C. M. Zublin Guerra: https://orcid.org/0000-0002-7333-8219

ORCID de T. S. Pellecchia: https://orcid.org/0000-0002-6070-9690

ORCID de D. M. Guichet: https://orcid.org/0000-0003-4259-0179

 

Recibido el 11-9-2021. Aceptado luego de la evaluación el 12-1-2022 •  Dr. Matías A. Beatti  dr.beatti@hotmail.comhttps://orcid.org/0000-0001-9575-6473

 

Cómo citar este artículo: Beatti MA, Zublin Guerra CM, Guichet DM, Pellecchia TS. Defectos óseos segmentarios: uso de implantes de titanio trabecular diseñados a medida. Rev Asoc Argent Ortop Traumatol 2022;87(2):219-237. https://doi.org/10.15417/issn.1852-7434.2022.87.2.1436

 

 

Información del artículo

Identificación: https://doi.org/10.15417/issn.1852-7434.2022.87.2.1436

Fecha de publicación: Abril, 2022

Conflicto de intereses: Los autores no declaran conflictos de intereses.

Copyright: © 2022, Revista de la Asociación Argentina de Ortopedia y Traumatología.

Licencia: Este artículo está bajo una Licencia Creative Commons Atribución-No Comercial-Compartir Obras Derivadas Igual 4.0 Internacional. (CC-BY-NC-SA 4.0)