REVISIÓN SISTEMÁTICA

 

Seudoaneurisma de la arteria femoral lateral: revisión sistemática a propósito de una complicación infrecuente en pacientes con fracturas pertrocantéricas

 

María Royo Agustín, Ángel Castro Sauras, Alejandro C. Urgel Granados, Jorge García Fuentes, Leticia Ibarra Reyes, Miguel Ranera García

Servicio de Cirugía Ortopédica y Traumatología, Hospital Obispo Polanco, Teruel, España

 

RESUMEN

Introducción: Se presenta un caso clínico de seudoaneurisma de la arteria femoral circunfleja lateral secundario a una fractura pertrocantérica de cadera. Materiales y Métodos: Como el cuadro y su localización son infrecuentes, se llevó a cabo una revisión bibliográfica sistematizada que incluyó todos los casos publicados sobre esta enfermedad (n = 40) en los últimos 15 años. Resultados: No se hallaron asociaciones estadísticamente significativas entre ninguna de las variables estudiadas. Sin embargo, parece existir cierto consenso en mantener una alta sospecha clínica para una intervención precoz y así obtener mejores resultados. Tanto su etiología como su localización se relacionan con la morfología de la fractura, el gesto quirúrgico y el material de osteosíntesis. Asimismo, hay una tendencia mayor a utilizar la angiotomografía para el diagnóstico y la localización del seudoaneurisma. Conclusiones: Nuestra paciente es el primer caso de resolución espontánea. Es fundamental conocer esta complicación tan poco frecuente para optimizar los resultados terapéuticos. Esta revisión, la más reciente sobre el tema, es muy útil para enumerar y subrayar los aspectos más importantes sobre el manejo y la prevención de los seudoaneurismas secundarios a una fractura de cadera.

Palabras clave: Fractura de cadera; aneurisma falso; arteria femoral; caso clínico; revisión sistemática.

Nivel de Evidencia: IV

 

Lateral Femoral Artery Pseudoaneurisms: A Case Report and Systematic Review of a Rare Complication of Pertrochanteric Fractures

 

ABSTRACT

Introduction: We present a case of a lateral circumflex femoral artery pseudoaneurysm associated with pertrochanteric hip fracture. Materials and Methods: We performed a systematic review considering all cases published in the last 15 years about this pathology (n=40). Results: No statistically significant associations were found between any of the variables studied. However, there seems to be some consensus in maintaining a high clinical suspicion for early intervention, thus obtaining better outcomes. Both its etiology and location are related to the morphology of the fracture, the surgical procedure, and the osteosynthesis material. Likewise, there is a greater tendency to use CT angiography for the diagnosis and localization of the pseudoaneurysm. Conclusion: Our patient is the first reported case of spontaneous resolution. Knowing this rare complication is essential to optimize therapeutic results. This review, the most recent on the subject, is very useful in listing and highlighting the most important aspects of the management and prevention of pseudoaneurysms secondary to hip fracture.

Key words: Hip fractures; pseudoaneurysm; femoral artery; case report; systematic review.

Level of Evidence: IV

 

INTRODUCCIÓN

Las fracturas de cadera son una de las fracturas por fragilidad más frecuentes, y se espera que su incidencia aumente en el futuro.1 Entre las posibles alternativas terapéuticas, la fijación mediante enclavado trocantérico es un proceso habitual y ampliamente descrito en la bibliografía.2

El seudoaneurisma se puede definir como un hematoma pulsátil repermeabilizado y encapsulado, en comunicación con la luz de un vaso dañado. Su origen se encuentra en la rotura de la pared arterial por procesos inflamatorios, traumáticos o iatrogénicos. Sin embargo, son poco frecuentes en el ámbito de la cirugía ortopédica en general y, en particular, como complicación de esta técnica.3 No obstante, se ha descrito que los seudoaneurismas son la complicación vascular más frecuente asociada a la fractura de cadera. También, que los de la región pertrocantérica suelen tener más relación con la propia fractura; en cambio, los de la región subtrocantérica se asocian a causas iatrogénicas, como el uso de separadores, el brocado del tornillo distal o la colocación de un tornillo demasiado largo.4

Se presenta a una paciente con un falso aneurisma arterial (o seudoaneurisma) de la arteria femoral tras una fractura pertrocantérica de fémur. A propósito de este caso, se llevó a cabo una revisión bibliográfica sobre las complicaciones vasculares de este tipo después de una fractura de cadera. Nuestro objetivo fue determinar cuál es el manejo más estandarizado y las características comunes de los casos para optimizar los resultados.

 

MATERIALES Y MÉTODOS

Caso clínico

Mujer de 83 años que reside en una institución y acude a nuestro Centro con rotación y acortamiento de la extremidad inferior izquierda luego de sufrir una caída accidental. En la evaluación general, en el Departamento de Urgencias, la paciente estaba consciente, pero desorientada en tiempo y espacio. No presentaba otros hallazgos patológicos. Los antecedentes personales destacables eran una fractura de cadera contralateral el año anterior, hipertensión arterial crónica, hipercolesterolemia y deterioro cognitivo moderado.

En un estudio radiográfico, se observó una fractura pertrocantérica de fémur proximal izquierdo 31A2 según la clasificación AO. El 21 de marzo de 2018, había sido sometida a una reducción cerrada y osteosíntesis de la fractura con clavo TFNATM (DePuy-Synthes Companies, CO, EE.UU.) de 170 mm de largo, 10 mm de diámetro de grosor y ángulo cervicodiafisario de 125º. Evolucionó favorablemente y requirió dos transfusiones de concentrados de hematíes, recibió el alta a los cinco días del ingreso, sin otras complicaciones.

En el control de las cuatro semanas, no tenía dolor inguinal ni se observaron complicaciones en la evaluación radiográfica. Sin embargo, refería dolor a la palpación con tumefacción en la cara medial del muslo izquierdo y edema generalizado en la extremidad inferior izquierda, dentro de la normalidad en la evolución de un paciente sometido a una cirugía por fractura de cadera. No se detectaron fluctuaciones, tumoraciones pulsátiles, signos de sobreinfección ni exudado activo o trombosis.

No obstante, a los dos meses de la cirugía, se apreció una disminución del edema de la extremidad y se identificó una masa de aproximadamente 10 cm de diámetro a la palpación, de aspecto fusiforme, elástica y móvil, sin latido ni signos pulsátiles evidentes. Ante estos hallazgos, se decidió completar la evaluación con una tomografía computarizada con contraste (2 de julio de 2018) (Figura 1) en la que se detectó un seudoaneurisma de 4 cm de diámetro parcialmente trombosado en la región anterolateral del muslo izquierdo, a la altura del tornillo de bloqueo distal del clavo endomedular. Este contactaba por debajo con un vaso, probablemente arterial por las características de la lesión, que podía corresponder por su trayecto a una rama descendente de la arteria circunfleja femoral lateral que se origina en la arteria femoral profunda (AFP).

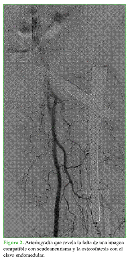
La paciente fue derivada a un hospital de referencia para ser examinada por Cirugía Vascular. El 28 de septiembre de 2018, se le practicó una arteriografía del sector femoral izquierdo por vía femoral derecha con la intención de realizar la embolización del seudoaneurisma en el muslo, no se identificaron imágenes arteriográficas compatibles con aneurismas en el sector femoral (Figura 2).

Posteriormente, se realizó una ecografía y se comprobó la trombosis del aneurisma sin registro Doppler en su interior. La paciente fue dada de alta tras 24 h de reposo, se retiró el vendaje compresivo inguinal derecho sin hematoma o masa pulsátil. Tras dos años de seguimiento, la paciente no tiene síntomas.

 

 

 

 

 

 

 

 

Búsqueda sistematizada

En el primer trimestre de 2020, se llevó a cabo una revisión bibliográfica sistematizada (Figura 3) según el protocolo PRISMA.5 Se revisaron las bases de datos PubMed, Embase, Scopus, Biblioteca Virtual en Salud (BVS), Cochrane Library y ScienceDirect. En primer lugar, se realizó una búsqueda sobre el tema con los tesauros facilitados de la base de datos MeSH de PubMed, creando la fórmula de búsqueda: ((“Femoral Artery”[MeSH]) AND (“Hip Fractures”[MeSH]) AND (“Aneurysm, False”[MeSH])). Ante los pocos resultados encontrados (29), se efectuó una búsqueda más amplia introduciendo las palabras clave “femoral”, “pseudoaneurysm”, “hip”, “fracture”, en todas las bases de datos antes mencionadas.

 

 

 

Se incluyeron todos los artículos publicados entre el 1 de enero de 2005 y el 31 de diciembre de 2019, que fueran “case report” o “case series”. Las variables fueron: sexo y edad del paciente, tipo de fractura y lado, sistema de osteosíntesis, momento del inicio de los síntomas después de la cirugía, tipo de sintomatología, pruebas diagnósticas definitivas, arteria afectada y tratamiento del seudoaneurisma. No fueron condición indispensable, pero se recogieron, si estaban descritos, los siguientes datos: las pruebas diagnósticas de sospecha, los factores de riesgo cardiovascular previos y el tipo de seguimiento. Asimismo, se excluyeron los que no se ajustasen al tema y los criterios de descripción del caso: seudoaneurismas en fracturas diafisarias por accidente de alta energía en pacientes jóvenes, casos de complicaciones en procedimientos ortoprotésicos no debidos a fractura, fracturas periprotésicas.

 

RESULTADOS

Se incluyeron 37 artículos en los que se comunicaron 40 casos (Anexos 1 y 2). La media de la edad de los pacientes era de 77.88 años (desviación estándar [DE] 11,205; mín. 43, máx. 94). Doce (30%) pacientes eran hombres y 28 (70%), mujeres. La media de días hasta el comienzo de los síntomas (Tabla 1) tras la cirugía de fractura de cadera y relacionados con el seudoaneurisma fue de 39.970 (DE 12.68 días).

 

 

 

Respecto a la descripción de la fractura, en 18 (45%) casos, se describe como fractura intertrocantérica; en siete (17,5%), como intertrocantérica inestable; en 13 (32,5%), como fractura 31A2 según la clasificación AO/OTA y, en dos (5%), como subtrocantérica. El lado afectado era el derecho en 13 casos (32,5%) y el izquierdo, en 25 (62,5%); en dos (5%), no se hacía referencia al lado afectado. Todos fueron tratados quirúrgicamente. Cuando se especifica el tipo de implante, 23 (57,5%) eran fracturas tratadas con algún dispositivo de tipo clavo cefalomedular y 13 (32,5%), con dispositivos de tipo tornillo deslizante o Dynamic Hip Screw (DHS).

Para el diagnóstico del seudoaneurisma, se puede diferenciar entre las pruebas complementarias para establecer el diagnóstico de sospecha en la urgencia y las pruebas para el diagnóstico definitivo (Tabla 2).

 

 

 

La lesión estaba localizada en la AFP en 8 de los 40 casos (20%), en la arteria femoral superficial en cuatro (10%), en una rama de la AFP en siete (17,5%) y se especificaba el compromiso de una rama lateral en otros seis casos (15%) y del lado medial en otros 15 casos (37,5%). La aparición del aneurisma se asociaba con el desplazamiento del trocánter menor (15 casos; 37,5%), el abordaje (2 casos, 5%), el implante, como el tornillo distal del clavo cefalomedular (5 casos; 12,5%) o con el del tornillo proximal diafisario del implante DHS en un caso (2,5%).

La complicación vascular siempre había sido tratada con cirugía mediante una endoprótesis por cateterismo (n = 7; 17,5%), embolización (n = 8; 20%), embolización con coils (n = 15; 37,5%), sutura o ligadura abierta (n = 8; 20%) o exéresis directa del seudoaneurisma y del fragmento inestable y desplazado del trocánter menor con el que se asoció la aparición del seudoaneurisma (n = 1; 2,5%). El seguimiento medio de los pacientes fue de 183.080 días (DE 87.626 días). Al concluir el seguimiento, la evolución fue clínicamente favorable en 21 pacientes (52,5%) y con pruebas objetivas en ocho (20%), hubo solo un óbito. En el resto, no se mencionaron específicamente los resultados posoperatorios.

No se demostró una asociación entre el sexo y el tipo de fractura (p = 0,639), la presencia o no de factores de riesgo cardiovascular (p = 0,600), el tipo de sintomatología, la anemia que no se corrige, pese a la transfusión de concentrados de hematíes (p = 0,643) o la inestabilidad hemodinámica (p = 0,563), ni con el mecanismo etiológico del seudoaneurisma (p = 0,427) ni con el territorio arterial afectado (p = 0,549). Por otro lado, el tipo de fractura no se asoció con la presencia de anemia (p = 0,574), el territorio arterial (p = 0,533), una masa pulsátil (p = 0,178) o el mecanismo etiológico (p = 0,283). Como criterios clínicos, no se demostró una asociación entre la estabilidad hemodinámica y la presencia de una masa pulsátil (p = 0,359) o el mecanismo etiológico (p = 0,374), ni entre la anemia que no se corrige y el territorio arterial (p =0,174).

Finalmente, se realizó un contraste de hipótesis aplicando la prueba de ji al cuadrado para comprobar que no había diferencias en las variables cuantitativas según si el tipo de fractura fuera estable o inestable (Tabla 3).

 

 

 

 

DISCUSIÓN

Las fracturas pertrocantéricas de fémur proximal son una entidad muy prevalente. El primer caso publicado de seudoaneurisma tras una fractura de cadera es el de Dameron y cols., en 1964.6 En investigaciones más recientes, se ha estimado que la incidencia de lesiones vasculares tras una fractura de cadera oscila entre el 0,2% y el 0,49%.7,8 En una serie en la que se revisaron retrospectivamente más de 7000 casos de fractura de cadera, solo se hallaron cuatro casos con un seudoaneurisma como complicación.4

El compromiso del territorio lateral del sistema profundo de la arteria femoral es mucho menos frecuente que el medial. Solo hemos encontrado tres casos en los últimos 15 años, además del nuestro. El primer caso de compromiso agudo de este territorio fue publicado por Rajaesparan y cols., en 2008,9 y se relaciona con la incisión mediante el bisturí o bien con el inicio de la entrada del material de osteosíntesis. Nuestra paciente sería, por tanto, el segundo caso publicado de presentación aguda y compromiso de la cara lateral. Además, hemos podido apreciar un cambio de compromiso de vasos proximales en favor de los más distales, tal vez por la popularización del enclavado endomedular en lugar de la fijación extramedular, lo que subraya que el tipo de implante parece estar relacionado con el territorio afectado.

En una revisión sistemática de 2015,10 también se determinó que de los 64 casos publicados en los 50 años previos, la mitad había ocurrido en los 10 años anteriores a la elaboración del artículo. Esto también pone de manifiesto el aumento de reportes de casos clínicos de seudoaneurismas relacionados con una fractura de cadera, en los últimos años. Probablemente esto se deba a distintos motivos, como la mayor instrumentación y manipulación en la reducción,8 la mayor fragilidad de los pacientes con más factores de riesgo y más edad, y a la mayor sensibilidad del tema que lleva a diagnosticarlo y comunicarlo con más frecuencia.

En ese mismo año, Barquet y cols.8 llevaron a cabo una revisión sistemática y un metanálisis de todos los tipos de lesiones vasculares asociadas a la cirugía ortopédica. Analizaron 182 casos y la complicación vascular más frecuente fue el seudoaneurisma (122 casos) seguido de la laceración hemorrágica (42 casos). Recogieron las frecuencias de las regiones arteriales afectadas: 8,24% en la pelvis. Fuera de la pelvis, el 78,31% tenía compromiso de la arteria femoral superficial y el 10,64%, de la AFP, y de esta, solo informaron cuatro casos con compromiso del territorio lateral, como nuestra paciente. En cambio, en una revisión de 2018,8 el territorio superficial era mucho menos frecuente que el profundo. En nuestra revisión, se pone de manifiesto que el territorio afectado con más frecuencia es el profundo a la arteria femoral.

Se ha determinado que el tipo de fractura relacionada más común es la pertrocantérica 31A2 AO/OTA con desplazamiento a medial o a proximal del trocánter menor.8,9 Este se asocia con la región afectada con más frecuencia, el tipo y el tiempo de presentación clínica y la gravedad. En nuestra revisión sistemática, también el compromiso se relaciona con este evento en particular en alrededor de un tercio de los casos. Sin embargo, no hallaron diferencias estadísticamente significativas en cuanto al tipo de osteosíntesis realizada. Los mecanismos más frecuentes relacionados con la instrumentación fueron la colocación del tercero y cuarto tornillo de la placa, y el tornillo distal de un clavo corto. Esto puede producirse durante la cirugía al lesionar el vaso con la broca sobrepasada11 o por una irritación crónica del vaso por un tornillo demasiado largo.12 El riesgo aumentaría6 por una mayor manipulación y necesidad de instrumentación, la mala colocación de retractores13 o el uso de agujas de Kirschner para la reducción. En la Figura 4, se describe, de manera esquemática, la fisiopatología.

 

 

Por otro lado, en muchos casos, se recogen los antecedentes cardiovasculares de los pacientes o se subraya la enfermedad aterosclerótica del vaso tratado como un factor asociado con el mecanismo de formación del seudoaneurisma. Por ello, se recomienda moderar la tracción debido a la fragilidad de los vasos sanguíneos con aterosclerosis que, a menudo, encontramos en el paciente anciano.4 Asimismo, hay que evitar la aducción y la rotación interna en la colocación del tornillo distal del enclavado endomedular, pues en esa posición, las ramas de la AFP parecen más vulnerables. Esto quedó demostrado por Yang y cols., en 2004,3 en un estudio con 59 muslos a los que se les realizó una tomografía computarizada Duplex color para estudiar la posición anatómica de la arteria femoral según la colocación de la extremidad. Se observó que la posición ideal es la de rotación neutra para alejar la arteria femoral o sus ramas del fémur, evitando su lesión al colocar el tornillo distal de bloqueo. Por ello, podríamos prevenir estas lesiones si recordásemos colocar la extremidad inferior por intervenir en posición neutra antes de este paso quirúrgico.3,11

En la misma revisión de Barquet y cols.,8 se hace una diferenciación en cuanto a la presentación clínica. Cronológicamente se distingue entre cuadro agudo, subagudo y crónico. La gravedad aumenta según la cronicidad, se presenta con anemia, signos clínicos o radiológicos de hemorragia activa hasta inestabilidad hemodinámica grave o incluso la muerte. Vande Voorde y cols.11 establecen una relación etiológica con la cronología de la presentación clínica. Establecieron que, en casos de presentación tardía, la causa suele estar relacionada con la fricción por movilización del fragmento de la fractura, generalmente el trocánter menor. De hecho, es la causa más frecuente en nuestra revisión. En cambio, los síntomas precoces se asocian a un brocado sin protección, lo que hace que se sobrepase la zona de seguridad. Sin embargo, no hemos apreciado diferencias estadísticamente significativas entre el tiempo de presentación y la estabilidad de la fractura.

El diagnóstico se realiza con el mismo tipo de pruebas complementarias que hemos recogido. Cabe destacar que nuestra revisión pone de manifiesto la mayor tendencia al uso de tomografía computarizada que, en su versión de angiotomografía, ha podido llegar a desplazar a la angiografía en los últimos años. Al igual que en nuestro caso, ofrece múltiples ventajas, como estudiar el resto de los tejidos, el hueso, la fractura, observar con qué mecanismo etiológico puede tener relación y permite realizar una reconstrucción tridimensional para localizar el seudoaneurisma.

Poder realizar una aproximación terapéutica adecuada implica conocer la presentación clínica que nos oriente de manera apropiada. Hanna y cols. describieron ya los síntomas clásicos de presentación que nos deben hacer sospechar este cuadro: dolor, masa pulsátil (no imprescindible), es característico el soplo audible, aunque no constante, hematoma subcutáneo y disminución progresiva de los niveles de hemoglobina que no responde a transfusiones.14 Se recomienda mantener una alta sospecha ante un paciente con anemia que no se justifica por el momento de la evolución clínica y que no se corrige, pese a las transfusiones; sin un sangrado activo, o aquel que sufre dolor incapacitante en el muslo que retrase la rehabilitación o que presente signos de isquemia distal con pulsos o si hay defectos de consolidación.12 Puede ocurrir que no se manifiesten todos los síntomas, como en el caso publicado por Kim y cols.15 que tenía anemia pronunciada, sin signos clínicos de compromiso del muslo, pese a ello, se diagnosticó de manera precoz y se evitaron las complicaciones. En la mayoría de los casos de nuestra revisión, excepto en uno, el resultado de una intervención a tiempo con un tratamiento adecuado fue satisfactorio.

Se han propuesto distintos algoritmos de tratamiento.7,10 Si el paciente es asintomático y el seudoaneurisma mide <3 cm, se puede tratar de manera conservadora y esperar entre 4 y 6 semanas a que se produzca la resolución espontánea.16 Si no cumple estos criterios, se recomienda la reparación mediante cirugía abierta o embolización transcutánea.

Una técnica que se puede aplicar es la compresión guiada por ecografía que consiste en la compresión del cuello del seudoaneurisma para provocar la trombosis.17 Tiene una tasa de éxito del 65%. Las limitaciones son molestias para el paciente, una tasa de recurrencia del 20% o dificultades si hay un hematoma organizado, entre otras, menos frecuentes. Otra alternativa terapéutica es la inyección de trombina,18 método percutáneo que utiliza trombina administrada por vía intravenosa en la arteria periférica. Se puede realizar a través de un catéter16 y tiene una tasa de éxito del 93%. Requiere un tracto vascular conocido y viable, algo a veces, difícil en pacientes añosos con enfermedad vascular (diabetes, hipertensión) por lo que no siempre es de primera elección en nuestros casos. La inyección de trombina también se puede realizar guiada por ecografía. Es una técnica descrita por Kang, en 1998,19 y que ha logrado resultados superiores a los de la compresión guiada por ecografía en un estudio comparativo de 2020.17 La embolización, generalmente con coils es una técnica útil y que parece haber ganado más popularidad en los últimos años, como se puede apreciar en distintas publicaciones20 y también en nuestra revisión. Asimismo, se pueden utilizar otros dispositivos, como balones o endoprótesis.21 Si las técnicas de embolización no son posibles,10 se puede optar por la aneurismectomía, y la reparación arterial y la ligadura de la AFP. En cualquier caso, se recomienda embolizar tanto a nivel distal como proximal para excluir completamente de la circulación el seudoaneurisma, dada la alta circulación colateral que se desarrolla en este territorio.

En nuestro caso, no se observaron síntomas que indujeran a sospechar el cuadro en el posoperatorio inmediato, sino que aparecieron en una etapa subaguda del posoperatorio. Además, la paciente tenía hipertensión y dislipidemia. El control radiológico posoperatorio tampoco mostró un tornillo distal demasiado largo. Todo ello nos ha llevado a la conclusión de que la lesión se produjo en el momento del brocado, que se realizó de manera guiada, pero no protegida, tal y como se describe en un caso clínico publicado en 2018.11

Otra característica excepcional es que es el primer caso de resolución espontánea de un seudoaneurisma, lo que incluso se llegó a visualizar con una angiografía. Ninguno de los otros estudios revisados comunican tales resultados; solo hemos encontrado un caso de resolución espontánea en otro territorio vascular.22 Esto puede deberse a que existen más casos en los que se produce está complicación que cursen de manera casi asintomática y que desemboquen en una resolución espontánea, y pasen inadvertidos. Si se toma esta decisión terapéutica, recomendamos, como en nuestro caso, un seguimiento estrecho del paciente consensuando el manejo, los síntomas de alarma y valorando los riesgos y beneficios de la orientación diagnóstico-terapéutica.

 

CONCLUSIONES

El enclavado trocantérico es una solución muy útil en el tratamiento de las fracturas pertrocantéricas. Es necesario disminuir el riesgo de complicaciones optimizando la técnica quirúrgica. Conocer la presentación clínica de complicaciones vasculares permite un diagnóstico y un tratamiento precoces, disminuyendo sensiblemente la aparición de episodios adversos mayores.

 

 

BIBLIOGRAFÍA

 

1.     Johnell O, Kanis JA. An estimate of the worldwide prevalence and disability associated with osteoporotic fractures. Osteoporos Int 2006;17(12):1726-33. https://doi.org/10.1007/s00198-006-0172-4

2.     Cao LH, Liu XW, Su JC, Zhang CC. Dynamic hip screw, Gamma nail and proximal femoral nail in treating intertrochanteric fractures in the elderly: A prospective randomized biocompatibility study of 95 patients. J Clin Rehabil Tissue Eng Res 2009;13(17):3342-46. https://doi.org/10.3969/j.issn.1673-8225.2009.17.031

3.     Yang KH, Yoon CS, Park HW, Won JH, Park SJ. Position of the superficial femoral artery in closed hip nailing. Arch Orthop Trauma Surg 2004;124(3):169-72. https://doi.org/doi:10.1007/s00402-003-0618-5

4.     Zhang BF, Cong YX, Wang PF, Huang H, Wang H, Zhuang Y. Deep femoral artery branch pseudoaneurysm formation and injury after hip fracture surgery: A case series and a literature review. Medicine (Baltimore) 2018;97(6):e9872. https://doi.org/10.1097/MD.0000000000009872

5.     Liberati A, Altman DG, Tetzlaff J, Mulrow C, Gøtzsche PC, Ioannidis JPA, et al. The PRISMA statement for reporting systematic reviews and meta-analyses of studies that evaluate healthcare interventions: explanation and elaboration. BMJ 2009;33:b2700. https://doi.org/doi:10.1136/bmj.b2700

6.     Dameron TB Jr. False aneurysm of femoralprofundus artery resulting from internal-fixation device (screw). J Bone Joint Surg Am 1964;46:577-80. PMID: 14131436

7.     Segal D, Yaacobi E, Marom N, Feldman V, Aliev E, Palmanovich E, et al. The incidence of life threatening iatrogenic vessel injury following closed or open reduction and internal fixation of intertrochanteric femoral factures. Int Orthop 2017;41(9):1845-50. https://doi.org/10.1007/s00264-017-3545-8

8.     Barquet A, Gelink A, Giannoudis P V. Proximal femoral fractures and vascular injuries in adults: Incidence, aetiology and outcomes. Injury 2015;46(12):2297-313. https://doi.org/10.1016/j.injury.2015.10.021

9.     Rajaesparan K, Amin A, Arora S, Walton NP. Pseudoaneurysm of a branch of the profunda femoris artery following distal locking of an intramedullary hip nail: An unusual anatomical location. Hip Int 2008; 8(3):231-5. https://doi.org/10.5301/hip.2008.3516

10.  Raherinantenaina F, Rajaonanahary TMA, Ratsimba HNR. Update on diagnostic and therapeutic features of peripheral artery pseudoaneurysms following orthopedic and traumatologic surgery. Rev Vasc Med 2015;3(3):16-21. https://doi.org/10.1016/j.rvm.2015.09.002

11.  Vande Voorde K, Dauwe J, Van Oost J. Late presentation of an atrogenic pseudoaneurysm of the profunda femoris artery following intramedullary nailing. Case Rep Orthop 2018; 2018:8270256. https://doi.org/10.1155/2018/8270256

12.  Lidder S, Epstein D, Courtice V, George M. Proximal femoral erosion: A sequelae of psuedoaneursym formation following operative fixation of an intertrochanteric neck of femur fracture. Indian J Orthop 2019;53(3):479-481. https://doi.org/10.4103/ortho.IJOrtho_139_18

13.  Laohapoonrungsee A, Sirirungruangsarn Y, Arpornchayanon O. Pseudoaneurysm of profunda femoris artery following internal fixation of intertrochanteric fracture: Two cases report. J Med Assoc Thail 2005;88(11):1703-6. PMID: 16471122

14.  Hanna GB, Holdsworth RJ, McCollum PT. Profunda femoris artery pseudoaneurysm following orthopaedic procedures. Injury 1994;25(7):477-9. https://doi.org/10.1016/0020-1383(94)90279-8

15.  Kim JW, Lee J Il, Park KC. Pseudoaneurysm of the deep femoral artery caused by a guide wire following femur intertrochanteric fracture with a hip nail: A case report. Acta Orthop Traumatol Turc 2017;51(3):266-9. https://doi.org/10.1016/j.aott.2017.03.011

16.  Shrivastava V, Das N, Bratby M, Anthony S, Uberoi R. Endovascular management of vascular complications after elective orthopaedic surgery: A case series. CIRSE 2010. Cardiovasc Intervent Radiol 2010;33:277. https://doi.org/10.1007/s00270-010-9954-3

17.  Altuwaijri T. Ultrasound-guided thrombin injection versus ultrasound-guided compression repair in the treatment of post-catheterization femoral artery pseudoaneurysm: King Saud University Medical Center Experience. Turkish J Thorac Cardiovasc Surg 2020;28(1):114-9. https://doi.org/10.5606/tgkdc.dergisi.2020.18814

18.  Malmstrom T, Simonsick E, Ferrucci L, Morley J. SARC-F: A symptom score to predict persons with sarcopenia at risk for poor functional outcomes. J Cachexia Sarcopenia Muscle 2016;7(1) 28-36. https://doi.org/10.1002/jcsm.12048

19.  Kang SS, Labropoulos N, Mansour MA, Baker WH. Percutaneous ultrasound guided thrombin injection: a new method for treating postcatheterization femoral pseudoaneurysms. J Vasc Surg 1998 27(6):1032-8. https://doi.org/10.1016/s0741-5214(98)70006-0

20.  Chandrasenan J, Garner JP, Meiring PD, Kumar K. Coil embolisation of an iatrogenic profunda femoris pseudoaneurysm. Injury Extra 2006;37:249-52. https://doi.org/doi:10.1016/j.injury.2005.12.025

21.  Varastehravan H, Nough H, Ansari Z. Management of iatrogenic rupture of profunda femoris artery after femoral fracture fixation  with stent graft implantation. J Tehran Univ Hear Cent 2010;5(1):42-4. PMID: 23074568

22.  Sousa CMV, Silva LFP, Rodrigues ME, Félix A, Alpoim B, Marques P, et al. Spontaneous resolution of pseudoaneurysm of an iliac artery branch in a multiple trauma patient with pelvic fracture. Clinical case. Rev Bras Ortop (English Ed) 2011;1;46(1):87-90. https://doi.org/10.1016/S2255-4971(15)30182-8

23.  Anderson OGP, Brookes JAS, Cobb J. False aneurysm caused by failed fracture fixation. Hosp Med 2005;66(7):422-3. https://doi.org/10.12968/hmed.2005.66.7.18389

24.  Alwhouhayb M, Howard A, Çeliker V. A false aneurysm mistaken for a DVT after hip surgery. Ulus Travma ve Acil Cerrahi Derg 2005;11(2):178-9. PMID: 15877253

25.  Ryzewicz M, Robinson M, McConnell J, Lindeque B. Vascular injury during fixation of an intertrochanteric hip fracture in a patient with severe atherosclerosis: A case report. J Bone Joint Surg Am 2006;88(11):2483-6. https://doi.org/10.2106/JBJS.F.00389

 

 

 

 

 

 

 

 

 

 

 

 

 

 

 

ORCID de Á. Castro Sauras: https://orcid.org/0000-0002-1816-3487

ORCID de L. Ibarra Reyes: https://orcid.org/0000-0002-3146-580X

ORCID de A. C. Urgel Granados: https://orcid.org/0000-0001-5176-3268

ORCID de M. Ranera García: https://orcid.org/0000-0001-7647-1384

ORCID de J. García Fuentes: https://orcid.org/0000-0001-9812-1158

 

Recibido el 31-8-2021. Aceptado luego de la evaluación el 29-11-2021 •  Dra. María Royo Agustín •  maria91teruel@gmail.com https://orcid.org/0000-0001-6556-3259

 

Cómo citar este artículo: Royo Agustín M, Castro Sauras Á, Urgel Granados AC, García Fuentes J, Ibarra Reyes L, Ranera García M. Seudoaneurisma de la arteria femoral lateral: revisión sistemática a propósito de una complicación infrecuente en pacientes con fracturas pertrocantéricas. Rev Asoc Argent Ortop Traumatol 2022;87(1):95-110. https://doi.org/10.15417/issn.1852-7434.2022.87.1.1426

 

 

Información del artículo

Identificación: https://doi.org/10.15417/issn.1852-7434.2022.87.1.1426

Fecha de publicación: Febrero, 2022

Conflicto de intereses: Los autores no declaran conflictos de intereses.

Copyright: © 2022, Revista de la Asociación Argentina de Ortopedia y Traumatología.

Licencia: Este artículo está bajo una Licencia Creative Commons Atribución-No Comercial-Compartir Obras Derivadas Igual 4.0 Internacional. (CC-BY-NC-SA 4.0)