PRESENTACIÓN DE CASOS

 

Epifisiólisis tibial proximal tipo IV-A de Ryu y Debenham. A propósito de un caso

 

Francisco Palma-Arjona, Carmen R. Valverde Cano

Unidad de Gestión Clínica de Cirugía Ortopédica y Traumatología, Hospital Universitario de Jaén, Jaén, España

 

Resumen

Las epifisiólisis tibiales proximales son un cuadro poco frecuente debido a la protección que aportan las estructuras circundantes de dicha zona. Por el desplazamiento que se origina es necesario realizar una exploración vascular junto a una reducción urgente para prevenir la lesión de la arteria poplítea y la aparición de un síndrome compartimental. Presentamos a un varón de 10 años con epifisiólisis de tibia proximal tipo I de Salter-Harris.

Palabras clave: Tibia proximal; epifisiólisis; agujas de Kirschner; lesión vascular; síndrome compartimental.

Nivel de Evidencia: IV

 

Ryu and Debenham Type IV-A Proximal Tibia Epiphysiolysis. A Case Report

 

Abstract

Epiphysiolysis of the proximal tibia is a rare injury due to the surrounding structures that protect the area. In displaced fractures, the evaluation of vascular structures is mandatory to detect injury to the popliteal artery or the presence of compartment syndrome. We present a Salter & Harris type I epiphyseal injury of the proximal tibia in a 10-year-old boy

Key words: Proximal tibia; epiphysiolysis; Kirschner wires; vascular injury; compartment syndrome.

Level of Evidence: IV

 

Introducción

Las epifisiólisis de tibia proximal son un tipo de fracturas poco comunes, representan el 0,5-3% del total de las epifisiólisis.1 La peculiaridad de este tipo de lesión radica en la disposición ligamentaria de la rodilla que protege a la epífisis tibial proximal. Son más frecuentes en adolescentes varones y el riesgo es más alto en las personas con obesidad y en etapa de crecimiento rápido.1 Hay un alto riesgo de lesión de la arteria poplítea por el desplazamiento posterior que puede sufrir la metáfisis y de desarrollar un síndrome compartimental, por lo que es fundamental realizar una exhaustiva evaluación vascular, y reducir y estabilizar la fractura de manera urgente. Algunas complicaciones añadidas pueden ser las alteraciones en el crecimiento fisario, la lesión ligamentaria y meniscal, y la inestabilidad de la rodilla.2

Presentamos a un varón de 10 años con epifisiólisis de tibia proximal tipo I de Salter-Harris.

 

Caso clínico

Varón de 10 años que acudió al servicio de urgencias pediátricas por un traumatismo en la rodilla izquierda mientras practicaba fútbol. Refería amnesia del episodio.

En el examen físico, se detectó una importante inflamación de la rodilla, imposibilidad para la deambulación, intenso dolor con la flexo-extensión y pulsos vasculares distales presentes. No fue posible evaluar la estabilidad de la rodilla a causa del dolor.

Se solicitaron radiografías anteroposterior y lateral de rodilla izquierda, en las que se apreciaba una epifisiólisis tipo I de Salter-Harris, y tipo IV-A de la clasificación de Ryu y Debenham3 (Figura 1). Tras informar al paciente y a los padres se decidió el tratamiento quirúrgico urgente. Se procedió a la reducción cerrada de la fractura y la fijación con dos agujas de Kirschner (Figura 2). No había inestabilidad en la rodilla. La evaluación detectó la presencia de pulsos distales y el examen con oxímetro de pulso también arrojó valores dentro de la normalidad. Se inmovilizó con una férula inguinopédica.

 

 

 

 

 

 

 

 

Cuando el paciente se recuperó de la anestesia, el dolor había mejorado y la movilidad de los dedos no era dolorosa. La inmovilización se mantuvo durante cuatro semanas y no se permitió la carga. Posteriormente se retiraron la inmovilización y las agujas, y se permitió la flexo-extensión libre y la marcha protegida con bastones durante dos semanas más (Figura 3).

 

 

 

 

 

 

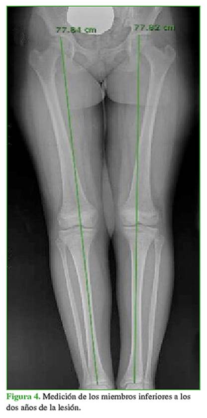
Se realizaron seguimientos mensuales con radiografías de rodilla y examen físico hasta completar seis meses desde la lesión, luego a los seis meses hasta los dos años posteriores a la lesión. No se apreciaron alteraciones en la fisis tibial proximal y no han aparecido alteraciones angulares en la rodilla, que se mantiene estable (Figura 4). Se mantendrán las revisiones anuales hasta que el paciente alcance la madurez esquelética para descartar alteraciones en el crecimiento.

 

 

 

 

 

 

Discusión

Las epifisiólisis tibiales anteriores son fracturas con una baja incidencia, representan el 0,5-3% de todas las epifisiólisis.1 Esto se debe a que la mayoría de las lesiones fisarias se producen por tracción ligamentaria y la epífisis tibial proximal carece de ellas (salvo la inserción de ligamentos cruzados). Además, hay que añadir la amplia superficie de contacto con la metáfisis que disminuye el riesgo de estas lesiones y la protección circular otorgada por las estructuras adyacentes a la fisis tibial proximal. Lateralmente la epífisis tibial proximal se apoya en el peroné, la parte interna está en la inserción distal de la capa superficial del ligamento colateral medial y la inserción del músculo semimembranoso que va a proteger el ángulo posteromedial. En la parte anterior, la tuberosidad anterior de la tibia colabora en evitar el desplazamiento posterior de la tibia. A esta protección debemos sumarle la disposición inclinada de la fisis que aporta una excelente estabilidad.4

De manera tradicional, se han incluido en las epifisiólisis de tibia proximal tanto las que afectan a la tuberosidad tibial anterior como las provocadas por separación de la fisis. Inicialmente se usaba la clasificación de Salter y Harris, la de Watson-Jones y su posterior modificación por Ogden, pero estas se limitaban a la afectación de la tuberosidad tibial anterior hasta que, en 1985, Ryu y Debenham incluyeron un nuevo tipo (IV) que se caracteriza por la propagación hacia la cortical posterior (tipo IV-A sin afectación de la cortical = Salter-Harris tipo I) (tipo IV-B con afectación de la cortical = Salter-Harris tipo II) (Figura 5).3

 

 

 

 

 

 

Este tipo de fracturas pueden producirse por un impacto directo (accidente de tránsito, golpe directo durante la práctica deportiva) o por fuerzas indirectas. En 1966, Silberman y Murphy5 elaboran una hipótesis sobre el origen que consiste en una avulsión provocada por una sobrecarga de fuerzas de tracción sobre la fisis tibial proximal durante la fase de despegue de un salto en la que la rodilla se encuentra en flexión. Steiger y Ceroni,4 al analizar estas lesiones en pacientes que practicaban baloncesto (la actividad deportiva que, con más frecuencia, se asocia a esta epifisiólisis), establecieron que la fisiopatología consistiría en una contracción muscular excéntrica con la que el músculo se alarga contrarresistencia, absorbiendo energía que será transmitida a la epífisis tibial proximal. Este mismo principio se produciría en la fase de despegue del salto, como en el aterrizaje o las paradas bruscas. En pacientes de más edad, se produciría una epifisiólisis tipo II de Salter-Harris (tipo IV-B de Ryu y Debenham) por la osificación de la región posterior de la fisis.

El riesgo es más alto en varones adolescentes y obesos.1,4 Esta diferencia en cuanto a la distribución según el sexo se debe a que estas lesiones ocurren, con más frecuencia, en el ámbito deportivo, sobre todo cuando la exigencia física es mayor (adolescencia), por lo que las mujeres presentan una osificación completa o casi completa de la fisis tibial proximal, y las lesiones ligamentarias son más frecuentes.4

El diagnóstico inicial se basa en las radiografías anteroposterior y lateral de rodilla. Inicialmente será suficiente con estas pruebas, pero si se sospecha una epifisiólisis tipo III o IV, se debería solicitar una tomografía computarizada para valorar la extensión de la fractura e incluso una resonancia magnética para conocer el posible daño de partes blandas, como meniscos o ligamentos cruzados.

El tratamiento se basa en conseguir la reducción anatómica de la zona para evitar alteraciones en el crecimiento y en la estabilidad de la rodilla. Cuando no hay desplazamiento, se puede optar por el tratamiento conservador con yeso inguinopédico durante 4-6 semanas. Si, por el contrario, el desplazamiento es >2 mm, como en nuestro caso, se debe recurrir a la reducción, preferiblemente cerrada, y la fijación con agujas de Kirschner. Esta osteosíntesis ha de introducirse de proximal a distal a través de la parte no articular de la epífisis tibial y debe cruzarse distal a la fisis para conseguir la estabilidad rotatoria.6

El posible desplazamiento posterior de la metáfisis tibial aumenta el riesgo de lesión de la arteria poplítea, que está unida por unos firmes tabiques de tejido conjuntivo a la zona posterior de la cápsula articular, lo que limita su desviación a la adaptación. Por este motivo, se debe reducir y estabilizar la lesión y prestar mucha atención al estado vascular explorando los pulsos.7 Asimismo, por la inflamación que se produce puede aumentar la presión intracompartimental con el riesgo incrementado de síndrome compartimental. Este aumento de presión en la zona tibial proximal se debe a la posible lesión de una rama recurrente de la arteria tibial anterior que recorre el borde lateral de la tuberosidad tibial anterior.8 La incidencia varía considerablemente según las series consultadas: 17-20% (Frey y cols. y Palokoff y cols.) y 4% (Pretell-Mazzini y cols.).9-11 Las estructuras ligamentarias, en principio más resistentes que la fisis, pueden resultar dañadas ocasionando una posterior inestabilidad de la articulación de la rodilla,1,4 al igual que la lesión de los meniscos. No se ha publicado la incidencia de lesiones de estas estructuras (están comprometidas fundamentalmente en lesiones tipos III o IV) únicamente quedan reflejadas como reportes de casos.12,13

Las complicaciones tardías pueden ser discrepancias de la longitud de los miembros y deformaciones axiales. En distintas series, se observa una diferencia de la longitud de los miembros >25 mm o desviación axial >5º en el 25% de los pacientes.14-16 Esto obedece a un cierre prematuro total o parcial de la placa de crecimiento (Hasler >30% de cierre precoz en su serie) o a la sobrestimulación de esta.17 Se debe realizar un seguimiento periódico con radiografías de ambos miembros completos para valorar si hay alteraciones e indicar medidas correctoras precoces. El seguimiento debe continuar hasta la osificación completa.

 

Conclusiones

Las epifisiólisis de tibia proximal son lesiones poco frecuentes. Básicamente se trata de avulsiones de la tuberosidad tibial anterior. Los adolescentes varones, con sobrepeso y en fase de crecimiento rápido tienen un mayor riesgo de sufrir este tipo de lesión. La principal complicación son los trastornos del crecimiento en el largo plazo, también hay que prestar atención a una posible lesión de la arteria poplítea. El objetivo del tratamiento es la restauración de la anatomía ya sea mediante reducción cerrada e inmovilización, o reducción abierta o cerrada con fijación interna.

 

Bibliografía

1.     Käfer W, Kinzl L, Sarkar MR. Epiphysenfraktur der proximalen Tibia. Unfallchirurg 2008;111(9):740-5. https://doi.org/10.1007/s00113-007-1390-8

2.     Israni P, Panat M. Proximal tibial epiphysis injury (flexion type, Salter-Harris type 1). J Orthop Case Rep 2016;6(4):62-5. https://doi.org/10.13107/jocr.2250-0685.572

3.     Ryu RK, Debenham JO. An unusual avulsion fracture of the proximal tibial epiphysis. Case report and proposed addition to the Watson-Jones classification. Clin Orthop 1985;194:181-4. PMID: 3978913

4.     Steiger CN, Ceroni D. Mechanism and predisposing factors for proximal tibial epiphysiolysis in adolescents during sports activities. Int Orthop 2019;43(6):1395-403. https://doi.org/10.1007/s00264-018-4168-4

5.     Silberman WW, Murphy JL. Avulsion fracture of the proximal tibial epiphysis. J Trauma 1966;6(5):592-4. https://doi.org/10.1097/00005373-196609000-00003

6.     Vyas S, Ebramzadeh E, Behrend C, Silva M, Zionts LE. Flexion-type fractures of the proximal tibial physis: a report of five cases and review of the literature. J Pediatr Orthop B 2010;19(6):492-6. https://doi.org/10.1097/BPB.0b013e32833cb764

7.     Oberle M, Bonetta M, Schlickewei W. Operative Therapie der kniegelenknahen Epiphyseolyse. Operative Orthopädie und Traumatologie 2008;20(4):387-95. https://doi.org/10.1007/s00064-008-1410-z

8.     Rodriguez I, Sepúlveda M, Birrer E, Tuca MJ. Fracture of the anterior tibial tuberosity in children. EFORT Open Rev 2020;5(5):260-7. https://doi.org/10.1302/2058-5241.5.190026

9.     Frey S, Hosalkar H, Cameron DB, Heath A, David Horn B, Ganley TJ. Tibial tuberosity fractures in adolescents. J Child Orthop 2008;2:469-74. https://doi.org/10.1007/s11832-008-0131-z

10.  Polakoff DR, Bucholz RW, Ogden JA. Tension band wiring of displaced tibial tuberosity fractures in adolescents. Clin Orthop Relat Res 1986;(209):161-5. PMID: 3731588

11.  Pretell-Mazzini J, Kelly DM, Sawyer JR, Esteban EMA, Spence DD, Warner WC Jr, et al. Outcomes and complications of tibial tubercle fractures in pediatric patients: a systematic review of the literature. J Pediatr Orthop 2016;36:440-6. https://doi.org/10.1097/BPO.0000000000000488

12.  Wozasek GE, Moser KD, Haller H, Capousek M. Trauma involving the proximal tibial epiphysis. Arch Orthop Trauma Surg 1991;110(6):301-6. https://doi.org/10.1007/BF00443463

13.  Falster O, Hasselbalch H. Avulsion fracture of the tibial tuberosity with combined ligament and meniscal tear. Am J Sports Med 1992;20(1):82-3. https://doi.org/10.1177/036354659202000118

14.  Lipscomb AB, Gilbert PP, Johnston RK, Anderson AF, Snyder RB. Fracture of the tibial tuberosity with associated ligamentous and meniscal tears. A case report. J Bone Joint Surg Am 1984;66(5):790-2. PMID: 6547142

15.  Gautier E, Ziran BH, Egger B, Slongo T, Jakob RP. Growth­ disturbances after injuries of the proximal tibial epiphysis. Arch Orthop Trauma Surg 1998;118:37-41. https://doi.org/10.1007/s004020050307

16.  Özokyay L, Michler K, Müsgens J. Beidseitige atraumatische Tibiakopfepiphysiolyse. Unfallchirurg 2002;105(8):735-9. https://doi.org/10.1007/s00113-001-0412-1

17.  Hasler CC, von Laer L. Pathophysiologie posttraumatischer Deformitäten der unteren Extremitäten­ im Wachstumsalter. Orthopäde 2002;29(9):757-65. https://doi.org/10.1007/s001320050524

 

 

ORCID de C. R. Valverde Cano: https://orcid.org/0000-0002-8712-6209

 

Recibido el 20-7-2021. Aceptado luego de evaluación el 14-12-2021 •  Dr. Francisco Palma-Arjona •  fpalma.arjona@gmail.comhttps://orcid.org/0000-0002-9036-4267

 

Cómo citar este artículo: Palma-Arjona F, Valverde Cano CR. Epifisiólisis tibial proximal tipo IV-A de Ryu y Debenham. A propósito de un caso. Rev Asoc Argent Ortop Traumatol 2022;87(2):246-252. https://doi.org/10.15417/issn.1852-7434.2022.87.2.1412

 

 

Información del artículo

Identificación: https://doi.org/10.15417/issn.1852-7434.2022.87.2.1412

Fecha de publicación: Abril, 2022

Conflicto de intereses: Los autores no declaran conflictos de intereses.

Copyright: © 2022, Revista de la Asociación Argentina de Ortopedia y Traumatología.

Licencia: Este artículo está bajo una Licencia Creative Commons Atribución-No Comercial-Compartir Obras Derivadas Igual 4.0 Internacional. (CC-BY-NC-SA 4.0)