INSTRUCCIÓN ORTOPÉDICA DE POSGRADO - IMÁGENES

 

Resolución del caso

 

Rodrigo Re

Servicio de Diagnóstico por Imágenes, Área Osteoarticular/Musculoesquelético-Intervencionismo, Sanatorio Allende, Córdoba, Argentina

 

Resolución del caso en la página 444.

 

DIAGNÓSTICO: Gonalgia. Linfoma óseo primario.

 

Discusión

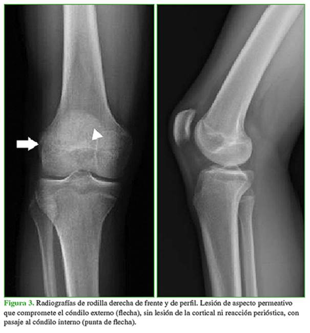
En la radiografía, se identifica un patrón permeativo, con marcado compromiso del cóndilo externo y, en menor medida, del cóndilo interno (Figura 3).

 

 

 

En la resonancia magnética, se observa un mayor edema óseo acompañado de una tumoración que envuelve el cartílago de crecimiento, polilobulada, que adelgaza la cortical posterior, sin romperla (Figura 4A). Persiste la hipointensidad en las secuencias T1 (Figura 4B) y hay un marcado realce tras la inyección del medio de contraste (Figura 4C). En las secuencias de difusión, se comporta hiperintensa, con baja señal en el coeficiente de difusión aparente (valor promedio 0,6 x10-3 mm2/s), lo que plantea la posibilidad de una lesión con alta celularidad (Figura 4D).

 

 

 

Ante estos hallazgos se solicita una consulta en el Servicio de Hematología-Oncología donde se constata el dolor de un año de evolución, sin pérdida de peso y con ligera atrofia de la masa muscular del muslo derecho.

El paciente se somete a estudios de medicina nuclear para evaluar y estadificar la lesión. La tomografía de emisión monofotónica (SPECT) mostró una marcada captación en las fases precoces y tardías (Figura 5A) y la tomografía por emisión de positrones (PET), una lesión hipermetabólica con SUVmax de 8,1 (Figura 5B).

 

 

 

Posteriormente y sabiendo que se trataba de una única lesión, el Comité de Tumores decide realizar una biopsia guiada por tomografía (Figura 6). El estudio anatomopatológico informó una infiltración linfoide a nivel intertrabecular y marcados fenómenos de atricción celular, con inmunohistoquímica positiva para CD20, CD10 y Bcl6, y un alto índice de proliferación (ki67).

 

 

 

 

Diagnóstico

Con todos estos hallazgos se diagnostica linfoma óseo primario.

El linfoma óseo primario es un tipo de linfoma no Hodgkin. Se trata de una lesión poco frecuente (5% de todos los linfomas extraganglionares). Se localiza en las regiones de médula ósea roja persistente, preferentemente en adultos. Tiene predilección por los huesos largos (71%) y, en menor medida, por los huesos planos (25%).

Suele comprometer extensamente el hueso con destrucción permeativa (70%). Puede manifestarse como una lesión lítica con engrosamiento cortical debido al compromiso endóstico. Cuando la lesión empieza a exteriorizarse lo hace con reacción perióstica de tipo laminada.

Clínicamente se presenta con dolor óseo, a veces, con masa palpable. Cuando hay compromiso de la columna puede provocar síntomas neurológicos. Los pacientes pueden debutar con fracturas patológicas. En raras ocasiones, presentan síntomas B (fiebre, sudores nocturnos, pérdida de peso).

El rango etario es amplio (de 1 a 86 años), pero es infrecuente en niños <10 años. Tiene ligera predilección por el sexo masculino (1,5:1).

El linfoma óseo primario representa el 3-7% de todos los tumores óseos malignos y la supervivencia a los 5 años es del 83-90%.

El tratamiento consiste en la combinación de radioterapia y quimioterapia.

Los estudios de medicina nuclear sirven para evaluar la cantidad de lesiones y caracterizarlas antes del tratamiento y después.

Los diagnósticos diferenciales más frecuentes son: sarcoma de Ewing y osteomielitis (Figuras 7 y 8).

 

 

 

 

 

Dr. Rodrigo Re •  rodrigo_re@hotmail.comhttps://orcid.org/0000-0001-7382-9459

 

Cómo citar este artículo: Re R. Instrucción Ortopédica de Posgrado – Imágenes. Resolución del caso. Rev Asoc Argent Ortop Traumatol 2021;86(4):560-565. https://doi.org/10.15417/issn.1852-7434.2021.86.4.1410

 

 

Información del artículo

Identificación: https://doi.org/10.15417/issn.1852-7434.2021.86.4.1410

Fecha de publicación: Agosto, 2021

Conflicto de intereses: Los autores no declaran conflictos de intereses.

Copyright: © 2021, Revista de la Asociación Argentina de Ortopedia y Traumatología.

Licencia: Este artículo está bajo una Licencia Creative Commons Atribución-No Comercial-Compartir Obras Derivadas Igual 4.0 Internacional. (CC-BY-NC-SA 4.0)