INVESTIGACIÓN CLÍNICA

 

Cerclaje con alambre en fracturas subtrocantéricas de cadera. Análisis de beneficios y complicaciones

 

Germán Garabano, Alan Gessara, Joaquín Rodríguez, Tamara Dainotto, Hernán del Sel

Servicio de Ortopedia y Traumatología, Hospital Británico de Buenos Aires, Ciudad Autónoma de Buenos Aires, Argentina

 

Resumen

Introducción: El objetivo de este estudio retrospectivo fue evaluar si la reducción abierta con cerclaje de alambre afectó la consolidación, la tasa de complicaciones y de reoperaciones en pacientes con fracturas subtrocantéricas de cadera, tratadas con clavos cefalomedulares. Materiales y Métodos: Se evaluó a todos los pacientes operados consecutivamente entre enero de 2010 y diciembre de 2017. Se comparó a los tratados con cerclaje (Grupo A) o sin cerclaje (Grupo B) de alambre en términos de tipo de fractura, estancia hospitalaria, tiempo quirúrgico, necesidad de transfusiones, calidad de la reducción, consolidación y complicaciones (infección, seudoartrosis, reoperaciones). Resultados: Se incluyó a 58 pacientes. El grupo A estaba conformado por 20 pacientes y el grupo B, por 38. El tipo de fractura más frecuente fue 3A (p = 0,0004). La estancia hospitalaria fue similar (9.0 vs. 10.6 días; p = 0,81), el tiempo quirúrgico y la necesidad de transfusiones fue mayor en el grupo A (p <0,0001 y p = 0,58, respectivamente). La tasa de consolidación fue similar en ambos grupos (90 vs. 92,1%, respectivamente; p = 0,09). Los desejes se observaron solo en el grupo tratado sin lazadas (5-13,5%; p = 0,01). Las tasas de complicaciones (15 vs. 18,4%) y de reoperaciones (15 vs. 15,8%) fueron similares (p = 0,99). Conclusiones: El uso de lazadas de alambre en fracturas subtrocantéricas de cadera tratadas con clavos cefalomedulares generó un aumento significativo del tiempo quirúrgico, y disminuyó significativamente la incidencia de desejes. La incidencia de reoperaciones fue menor, aunque no significativamente.

Palabras clave: Fractura subtrocantérica; lazada de alambre; consolidación; seudoartrosis; infección; desejes.

Nivel de Evidencia: III

 

Cerclage Wiring in Subtrochanteric Hip Fractures. Analysis of Benefits and Complications

 

Abstract

Background: The aim of this retrospective study was to assess whether open reduction with cerclage wire affected the union and/or complication rate in subtrochanteric hip fractures treated with cephalomedullary nails. Materials and Methods: We analyzed all patients who had undergone surgery in our center between January 2010 and December 2017. We comparatively analyzed those treated with (Group A) and without (Group B) cerclage wire in terms of fracture type, hospital stay, surgical time, blood transfusions, malalignment, union, and complications (infection rates, non-union, and reoperations). Results: Fifty-eight patients were included. Group A consisted of 20 patients and Group B of 38. The most frequent type of fracture was 3A (p 0.0004). The mean hospital stay was similar (9 vs 10.6 days p 0.81), the surgical time and transfusions were higher in group A (p<0.0001 and p 0.58 respectively). The union rate was similar (90 vs 92.1%; p 0.09, respectively). Malalignment was only observed in group B (5 - 13.5%; p 0.01). The complication (15 vs 18.4%) and reoperation (15 vs 15.8%) rates were similar (p 0.99). Conclusions: The use of cerclage wire in subtrochanteric hip fractures treated with cephalomedullary nails generated a significant increase in surgical time and a lower rate of malalignment. It allowed a lower rate of re-operation, although it was not significant.

Key words: Subtrochanteric fracture; cerclage wire; union; nonunion; infection; malalignment.

Level of Evidence: III

 

Introducción

Las fracturas subtrocantéricas representan entre el 4% y el 19% de las fracturas del fémur proximal.1,2 Las inserciones musculares de esta región anatómica generan que estas fracturas se presenten con deformidades en flexión, rotación externa y abducción.

Las fuerzas de compresión y tensión del fémur proximal requieren de una adecuada osteosíntesis que brinde estabilidad relativa en busca de la consolidación. El tratamiento de elección es el enclavado cefalomedular acerrojado, que logra tasas de curación comunicadas hasta del 95%.2-4

El uso de mesa de tracción y, en algunas oportunidades, de elementos, como palancas, clavijas, pinzas de reducción, facilita la adecuada alineación de estas fracturas.4-8 En ciertos patrones de fracturas, la manipulación y reducción cerrada no logran la alineación correcta, y requieren la apertura del foco y el uso de lazadas de alambre en el 7-40% de los casos, según la bibliografía.2-6

Debido a la pérdida del hematoma fracturario y al teórico daño a la vascularización perióstica, algunos autores tratan de evitar su utilización.9-11 Perren9 sostiene que la fijación biológica es el tratamiento ideal de estas fracturas y que no se debe afectar la vascularización perióstica con reducciones abiertas o lazadas de alambre.

El objetivo de este estudio retrospectivo fue evaluar si la reducción abierta con cerclaje de alambre afectó las tasas de consolidación, complicaciones y reoperaciones en pacientes con fracturas subtrocantéricas de cadera, tratados con clavos cefalomedulares.

 

Materiales y Métodos

Entre enero de 2010 y diciembre de 2017, se trataron 75 fracturas subtroncantéricas de cadera consecutivas en nuestro centro. La identificación de los pacientes se realizó mediante una búsqueda en la base de datos de nuestro servicio, donde sistemáticamente cada paciente operado es registrado y la información sobre su evolución se recolecta de manera prospectiva. Este estudio se realizó luego de la aprobación del Comité de Revisión Institucional y Ética de nuestra institución.

Los criterios de inclusión fueron: pacientes >18 años, fractura subtrocantérica, tratamiento con clavo cefalomedular, uso o no de cerclaje de alambre, seguimiento mínimo de 12 meses.

Los criterios de exclusión fueron: fracturas originada por procesos tumorales, fracturas relacionadas con el uso de bifosfonatos, y aquellas derivadas de otro centro con algún tipo de tratamiento previo.

Todos los pacientes fueron operados en el mismo centro, por el mismo equipo quirúrgico, en una mesa de tracción bajo radioscopia. Inicialmente siempre se trató de lograr la reducción cerrada de la fractura. Cuando no fue posible, se procedió a la apertura del foco con un cuidadoso manejo de partes blandas y luego a la reducción directa y la colocación de cerclaje de alambre (Figura 1). Se utilizaron siempre alambres de 1,5 mm de diámetro.

 

 

La rehabilitación posoperatoria consistió en la carga de peso progresiva con andador o bastones tipo canadienses desde el segundo día posterior a la operación. Los controles clínico-radiográficos se realizaron a las 3 y 6 semanas, a los 3, 6 y 12 meses según la evolución de cada caso.

Las variables analizadas fueron sexo, edad, mecanismo de lesión (alta o baja energía), tipo de fractura según la clasificación de Seinsheimer,12 el tiempo quirúrgico, la calidad de la reducción, la distancia punta-ápice, los días de internación, la necesidad de transfusiones de sangre, la tasa y el tiempo de consolidación, cualquier tipo de complicación y reoperación.

En la radiografía posoperatoria inmediata, se evaluó la calidad de la reducción y la distancia punta-ápice. La calidad de la reducción fue evaluada mediante las determinaciones del ángulo cervicodiafisario del fémur operado y el contralateral, evaluando la existencia de angulaciones en las radiografías tanto anteroposterior como lateral. Se consideró que la reducción era buena cuando esta medición presentó un deseje comparativo con el miembro no operado <10º en las proyecciones anteroposterior y lateral; aceptable cuando el deseje se observó en una de las dos proyecciones y pobre cuando se observó en ambas proyecciones. Un deseje rotatorio4° se consideró como reducción pobre.

La distancia punta-ápice se midió con el método descrito por Baumgaertner, y se consideró correcto un valor 25 mm.13

Mediante el análisis de los sucesivos controles radiográficos, se evaluaron la tasa y el tiempo de consolidación, y el desarrollo de cualquier tipo de complicación.

En la evaluación clínico-radiográfica, se consideró que la fractura estaba consolidada si no había dolor ante la carga y se observaba el callo óseo en tres de las cuatro corticales, en las dos proyecciones (anteroposterior y lateral de fémur).

Se definió como seudoartrosis a la ausencia de consolidación a los nueve meses de la cirugía, sin progreso en la curación los últimos tres meses.

Para el análisis objetivo de la función se utilizó el puntaje de cadera de Harris registrado en el último control por consultorio.14

Los resultados se evaluaron de manera general en cada variable y luego se analizaron comparativamente dividiendo a los pacientes en dos grupos: grupo A, con lazadas de alambre y grupo B, sin lazadas de alambre.

 

Análisis estadístico

Se resumieron las variables con frecuencia y porcentajes para las categóricas y para analizar la asociación entre las variables categóricas se utilizó la prueba de la ji al cuadrado o de Fisher cuando no se verificaban los supuestos. Las variables continuas se resumieron como media y desviación estándar cuando no había valores atípicos y como mediana y rango o rango intercuartílico cuando era más adecuado según su distribución, se compararon entre los grupos con la prueba de Wilcoxon. El análisis se realizó con el programa R y las conclusiones se extraen con un nivel de significación de p <0,05.

 

Resultados

Se excluyó a 17 de los 75 pacientes analizados: nueve porque habían sido tratados en otro Centro, en el momento de la derivación, tres por fracturas asociadas a bifosfonatos, tres por fracturas secundarias a procesos tumorales y dos por no cumplir con el seguimiento mínimo.

La serie estaba conformada por 58 pacientes con 58 fracturas subtrocantéricas, 35 (60,3%) eran mujeres. La media de la edad era de 68.34 ± 22.06 años. El mecanismo de lesión era de baja energía en 39 (67,2%) casos y 19 (32,8%) de alta energía.

De acuerdo con la clasificación de Seinsheimer, el patrón de fractura más frecuente fue el subtipo 3A (36%), seguido del subtipo 2B (22%), el tipo 5 (16%), el tipo 4 (9%), el subtipo 3B (7%), el subtipo 2C (7%), el 2A (3%).

En 38 (65,5%) pacientes, la reducción de la fractura fue cerrada y, en 20 (34,5%), abierta, se utilizaron lazadas en todos los casos: una sola en ocho pacientes y dos en 12 pacientes. El subtipo de fractura en el que más se utilizaron lazadas fue el 3A (52,38%, p = 0,004).

Los implantes utilizados fueron: 28 PFN® (Depuy Synthes, WA Ind, EE.UU.), 16 Galileo TNS® (AOS, TO CA, EE.UU.), nueve Gamma II® (Stryker, WA Ind, EE.UU.), cinco ITST® (Zimmer, WA Ind, EE.UU.).

Las características comparativas sobre el sexo, la edad y el tipo de fractura de cada grupo se detallan en la Tabla 1.

 

 

El tiempo quirúrgico fue de 69.19 ± 8.34 min; la tasa de transfusiones, del 43,1% y la mediana de la estancia hospitalaria de la serie, de 9 días (rango 6-50).

El grupo tratado con lazadas de alambre requirió menos días de internación, más tiempo quirúrgico (Figura 2) y más transfusiones de glóbulos rojos posoperatorias que el grupo tratado sin lazadas (Tabla 2).

 

 

 

Resultados radiográficos

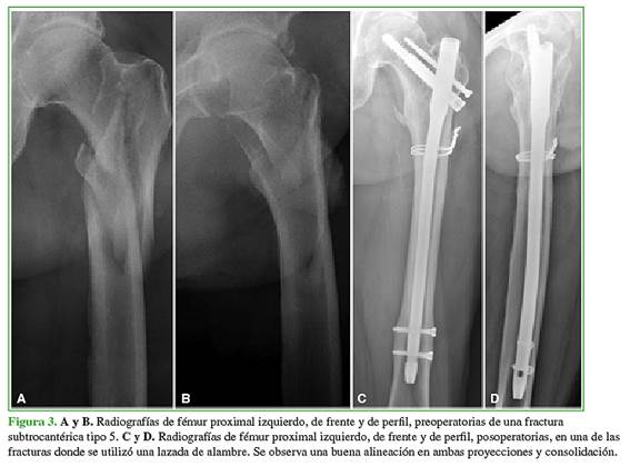
La reducción se clasificó como buena en 53 (91,4%) casos, aceptable en tres (5,2%) y regular en dos (3,4%) (Figura 3).

 

 

Cinco (8,6%) pacientes, todos del grupo tratado sin lazadas, presentaron desejes: uno solo en la proyección anteroposterior (12º); uno en las proyecciones anteroposterior y lateral (12º y 10º, respectivamente) y dos solo en la proyección lateral (10°-15°). El restante presentó un defecto rotatorio de 15°. La distancia punta-ápice de la serie fue de 15,41 ± 3,74 mm.

La tasa de consolidación fue del 91,4% (n = 53), en un promedio de 15.9 semanas (rango 8-32) (Tabla 2). El puntaje de cadera de Harris al final del seguimiento fue de 88,60 ± 3,47 (rango 80-94). La mediana de seguimiento fue de 30 meses (rango intercuartílico 15-40).

Los resultados comparativos entre los grupos con lazadas y sin lazadas se detallan en la Tabla 2.

 

Complicaciones

Se produjeron nueve (15,5%) complicaciones que necesitaron reoperaciones. Cinco pacientes evolucionaron a seudoartrosis (8,6%). Tres de ellos infectada y fueron tratados mediante una revisión de la prótesis en dos tiempos, con una evolución favorable. Dos (3,4%) presentaron una seudoartrosis aséptica, uno con rotura del clavo, que fue tratado con recambio de clavo, y el otro con recambio de clavo más injerto óseo, la fractura consolidó a las 22 y 26 semanas, respectivamente.

Un paciente sufrió una infección aguda que requirió de limpieza quirúrgica a los 20 días de la operación y el consiguiente tratamiento antibiótico. Otro paciente presentó un defecto de rotación interna de 15º en el miembro operado, y fue sometido a una reoperación a las 48 h. Se detectó la extrusión del tornillo cefálico en cinco pacientes, dos de ellos tenían molestias en la cara lateral del muslo, y se procedió al retiro ya consolidadas las fracturas.

El análisis comparativo de los grupos mostró diferencias significativas en la presencia de desejes posoperatorios, mientras que no hubo diferencias significativas respecto de las complicaciones y la tasa de reoperaciones (Tabla 3).

 

 

Discusión

Entre los principales hallazgos de este estudio, se destaca que el uso de lazadas de alambre permitió mejorar la calidad de la reducción y causó una incidencia menor significativa de desejes, aunque asociada a un aumento significativo del tiempo quirúrgico.

En esta serie, el 60% de los pacientes que presentaron desejes debieron ser reoperados, lo cual destaca la importancia de la reducción. Atribuimos esta diferencia significativa en los desejes a dos puntos en particular; por un lado, a que las lazadas permiten lograr y mantener una correcta reducción, y como consecuencia, facilitan la colocación del implante en el punto de entrada adecuado, favoreciendo su correcto posicionamiento.15,16

Finsen17 destacó que el cerclaje de alambre, además de facilitar la reducción de la fractura, aumenta la estabilidad y la resistencia generales del constructo, reduciendo, al mínimo, la posibilidad de fatiga del implante. Muller y cols.18 comunicaron resultados similares en su estudio biomecánico donde describen que el uso de lazadas disminuyó significativamente la tasa de fallas de la osteosíntesis.

Entendemos que la adecuada reducción es un factor fundamental para la buena evolución de este tipo de fracturas. Starr y cols.19 informaron reducciones con desejes en varo hasta en el 18% de su serie (2-3,4% de los casos en nuestra serie). Shukla y cols.20 destacan que este tipo de deseje aumenta las posibilidades de seudoartrosis, fatiga del implante y la estancia hospitalaria.

En esta serie, se utilizaron lazadas de alambre siempre que se realizó la apertura del foco. Al respecto, Kennedy y cols.21 publicaron que la apertura del foco de fractura, sin el uso de lazadas de alambre provoca hasta un 15% de reoperaciones por desejes. Según nuestro entender y coincidiendo con Afsari y cols.,4 esto se genera, porque, al reducir la fractura con la apertura del foco en la mesa de tracción y colocar el implante, en ciertas ocasiones, luego de soltar la tracción, es posible que se pierda la reducción, al menos, parcialmente.

El subtipo de fractura en el que más usamos lazadas fue el 3A de la clasificación de Seinsheimer. En este patrón de fractura, lo que suele ocurrir es que, al efectuar la reducción en la mesa de tracción, cuando se procede al control en la proyección anteroposterior, la fractura puede impresionar alineada, pero, al evaluar la proyección lateral, esto no es así, y hay un importante deseje (Figura 1). Este deseje no siempre es posible de reducir con manipulación externa, palancas o incluso con el mismo clavo, y requiere la apertura del foco y la reducción con lazadas.

En coincidencia con Robinet y cols.,5 y Malik y cols.22 el uso de lazadas en esta serie generó un aumento en el tiempo quirúrgico y las transfusiones posoperatorias, aunque estas últimas no fueron significativas.

Las tasas de consolidación resultaron comparables con las de Trikha y cols.15 (92%) e inferiores a las de Kennedy y cols.21 (94,2%). En tanto, la necesidad de un nuevo procedimiento fue superior al 3,84% descrito por Robinet y cols.5 e inferiores al 23% y 21% reportados por Krappinger y cols.,23 y Barbosa de Toledo y Pires,2 respectivamente.

Quienes defienden la fijación biológica de la fractura y evitar el uso de lazadas de alambre se basan en su teórico efecto negativo en la vascularización de la fractura que predispone a problemas de consolidación.24 Se han desestimado diferentes estudios histopatológicos del periostio femoral que describen el concepto de que sus arterias proveen nutrientes de manera longitudinal a grandes segmentos. Al respecto, Pazzaglia y cols.25 reportaron que, en realidad, esta vascularización se distribuye, de manera circunferencial, en el periostio con múltiples vasos musculoperiósticos que lo nutren, y destacan un promedio de 26 vasos por mm2, por lo que el efecto adverso de una o dos lazadas no afecta, de manera relevante, la vascularización de la fractura.

En los últimos años, la colocación percutánea de las lazadas ha ganado popularidad y ha logrado excelentes resultados, aunque para esto se necesita contar con el instrumental específico, el cual no siempre está disponible.4,5,8 En este estudio, las lazadas fueron colocadas de la manera tradicional, con un cuidadoso y meticuloso manejo de partes blandas, sin originar un aumento significativo de complicaciones, con resultados similares a los reportados con su colocación percutánea.5,8

Las limitaciones de este estudio son las propias de un estudio de tipo retrospectivo con una baja cantidad de pacientes, lo cual limitó la profundidad del análisis estadístico. Por otro lado, el bajo número de complicaciones reportadas puede haber generado una falta de significancia estadística en algunas de las variables analizadas, causando un error tipo 2. Si bien hubo un desigual número de pacientes en la conformación de cada grupo, la similar distribución de sus características preoperatorias permitió efectuar un adecuado análisis comparativo. Las fortalezas son el seguimiento apropiado, el tratamiento en el mismo centro, por el mismo equipo quirúrgico, con una técnica quirúrgica, evaluaciones pre y posoperatoria idénticas.

 

Conclusiones

El uso de lazadas de alambre en el tratamiento de las fracturas subtrocantéricas con clavos cefalomedulares permitió obtener una reducción de mejor calidad y una incidencia significativamente menor de desejes, con un tiempo quirúrgico más prolongado. Su uso fue más frecuente en el subtipo 3A. Al menos, en esta serie, su empleo no afectó significativamente las tasas de consolidación, complicaciones o reoperaciones. Se necesitan estudios correctamente diseñados, con mayor nivel de evidencia y cantidad de pacientes para determinar la validez externa de nuestros resultados.

 

Bibliografía

1.     Holt G, Smith R, Duncan K, Hutchinson JD, Gregori A. Gender difference in epidemiology and outcomes after hip fracture: evidence from the Scottish hip fracture adult. J Bone Joint Surg Br 2008;90(4):480-3. https://doi.org/10.1302/0301-620X.90B4.20264

2.     Barbosa de Toledo PR, Pires RES. Subtrochanteric fractures of the femur: update. Rev Bras Ortop 2016;51(3):246-53. https://doi.org/10.1016/j.rboe.2016.03.001

3.     Karayiannis P, James A. The impact of cerclage cabling on unstable intertrochanteric and subtrochanteric femoral fracture: a retrospective review of 465 patients. Eur J Trauma Emerg Surg 2020;46(5):969-75. https://doi.org/10.1007/s00068-018-01071-4

4.     Afsari A, Liporace F, Lindvall E, Infante A, Sagi HC, Haidukewych GJ. Clamp-assisted reduction of high subtrochanteric fractures of the femur. J Bone Joint Surg Am 2009;91(8):1913-8. https://doi.org/10.2106/JBJS.H.01563

5.     Robinet JM, Torres M, Moreno MB, Alonso JA, García SG. Minimally invasive clamp-assisted reduction and cephalomedullary nailing without cerclage cables for subtrochanteric femur fractures in the elderly: surgical technique and results. Injury 2015;46(6):1036-41. https://doi.org/10.1016/j.injury.2015.01.0119

6.     Pesciallo C, Mana DP, Barrios JM, del Sel H. Fracturas subtrocantereas de fémur. Tratamiento con clavo de fémur proximal por técnica mínimamente invasiva. Rev Asoc Argent Ortop Traumatol 2009;74(1):13-9. Disponible en: https://www.aaot.org.ar/revista/2009/n1/art03.pdf

7.     Rhie JT, Widmaier JC. Technique of obtaining and maintaining reduction during nailing of femur fractures. Orthopedics 2009;32(8):581-8. https://doi.org/10.3928/01477447-20090624-17

8.     Appivatthakakul T, Phaliphot J, Leuvitoonvechkit S. Percutaneous cerclage wiring, does it disrupt femoral blood supply? A cadaveric injection study. Injury 2013;44(2):168-74. https://doi.org/10.1016/j.injury.2012.10.016

9.     Perren SM. Evolution of internal fixation: choosing a new balance between stability and biology. J Bone Joint Surg Br 2002;84(8):1093-110. https://doi.org/10.1302/0301-620x.84b8.13752

10.  Vaidya SV, Dholakia DB, Chatterjee A. The use of dynamic condylar screw and biological reduction techniques for subtrochanteric femur fracture. Injury 2003;34(2):123-8. https://doi.org/10.1016/s0020-1383(02)00319-4

11.  Celebi L, Can M, Muratli HH, Yagmurlu MF, Yuksel HY, Sicimoglu AN. Indirect reduction and biological internal fixation of comminuted subtrochanteric fractures of the femur. Injury 2006;37(8):740-50. https://doi.org/10.1016/j.injury.2005.12.022

12.  Seinsheimer F. Subtrochanteric fractures of the femur. J Bone Joint Surg Am 1978;60:300-6. PMID: 649632

13.  Baumgaertner MR, Curtin SL, Lindskog DM, Keggi JM. The value of the tip-apex distance in predicting failure of fixation of peritrochanteric fractures of the hip. J Bone Joint Surg Am 1995;77:1058-64. https://doi.org/10.2106/00004623-199507000-00012

14.  Harris WH. Traumatic arthritis of the hip after dislocation and acetabular fractures: treatment by mold arthroplasty. An end-result study using a new method of result evaluation. J Bone Joint Surg Am 1969;51(4):737-55. PMID: 5783851

15.  Trikha V, Saudhik D, Prabhat A, Arkesh M, Sunil KD. Role of percutaneous cerclage wire in the management of subtrochanteric fractures treated with intramedullary nails. Chin J Traumat 2018;21(1):42-9. https://doi.org/10.1016/j.cjtee.2018.01.001

16.  Tomas J, Teixidor J, Batalla L, Pacha D, Cortina J. Subtrochanteric fractures: treatment with cerclage wire and long intramedullary nail. J Orthop Trauma 2013;27:e157-160. https://doi.org/10.1097/BOT.0b013e31826fc03f

17.  Finsen V. The effect of cerclage wires on the strength of diaphyseal bone. Injury 1995;26(3):159-61. https://doi.org/10.1016/0020-1383(95)93493-2

18.  18. Muller T, Topp T, Kuhne CA, Gebhart G, Ruchholtz S, Zetti ARE. The benefit of wire cerclage stabilization of the medial hinge in intramedullary nailing for the treatment of subtrochanteric femoral fractures: a biomechanical study. Int Orthop 2011;35(8):1237-43. https://doi.org/10.1007/s00264-010-1204-4

19.  Starr AJ, Hay MT, Reinert CM, Borer DS, Christensen KC. Cephalomedullary nails in the treatment of high-energy proximal femur fractures in young patients: a prospective, randomized comparison of trochanteric versus piriformis fossa entry portal. J Orthop Trauma 2006;20(4):240-6. https://doi.org/10.1097/00005131-20060400-00002

20.  Shukla S, Johnston P, Ahmad MA, Wynn-Jones H, Patel AD, Walton NP. Outcome of traumatic subtrochanteric femoral fractures fixed using cephalomedullary nails. Injury 2007;38(11):1286-93. https://doi.org/10.1016/j.injury.2007.05.013

21.  Kennedy MT, Mitra A, Hierlihy TG, Harty JA, Reidy D, Dolan M. Subtrochanteric hip fractures treated with cerclage cables and long cephalomedullary nails: a review of 17 consecutive cases over 2 years. Injury 2011;42(11):1317-21. https://doi.org/10.1016/j.injury.2011.03.023

22.  Malik MHA, Harwood P, Diggle P, Khan SA. Factors affecting rate of infection and nonunion in intramedullary nailing. J Bone Joint Surg Br 2004;86(4):556-60. PMID: 15174553

23.  Krappinger D, Wolf B, Dammerer D, Thaler M, Schwendinger P, Lindtner RA. Risk factors for nonunion after intramedullary nailing of subtrochanteric femoral fractures. Arch Orthop Trauma Surg 2019;139(6):769-77. https://doi.org/10.1007/s00402-019-03131-9

24.  Edwards C, Counsell A, Boulton C, Moran CG. Early infection after hip fracture surgery: risk factors, cost and outcomes. J Bone Joint Surg Br 2008;90(6):770-7. https://doi.org/10.1302/0301-620X.90B6.20194

25.  Pazzaglia UE, Coniu T, Raspanti M, Ranchetti F, Quacci D. Anatomy of the intracortical canal system. Scanning electron microscopy study inrabbit femur. Clin Orthop Relat Res 2009;467(9):2446-56. https://doi.org/10.1007/s11999-009-0806-x

 

 

ORCID de A. Gessara: https://orcid.org/0000-0003-2211-6162

ORCID de T. Dainotto: https://orcid.org/0000-0002-6645-9928

ORCID de J. Rodríguez: https://orcid.org/0000-0002-1089-3071

ORCID de H. del Sel: https://orcid.org/0000-0002-3655-1408

 

Recibido el 24-6-2021. Aceptado luego de la evaluación el 17-7-2021 •  Dr. Germán Garabano •  ggarabano@gmail.com  https://orcid.org/0000-0001-5936-0607

 

Cómo citar este artículo: Garabano G, Gessara A, Rodríguez J, Dainotto T, del Sel H. Cerclaje con alambre en fracturas subtrocantéricas de cadera. Análisis de beneficios y complicaciones. Rev Asoc Argent Ortop Traumatol 2022;87(2):143-151. https://doi.org/10.15417/issn.1852-7434.2022.87.2.1400

 

 

Información del artículo

Identificación: https://doi.org/10.15417/issn.1852-7434.2022.87.2.1400

Fecha de publicación: Abril, 2022

Conflicto de intereses: Los autores no declaran conflictos de intereses.

Copyright: © 2022, Revista de la Asociación Argentina de Ortopedia y Traumatología.

Licencia: Este artículo está bajo una Licencia Creative Commons Atribución-No Comercial-Compartir Obras Derivadas Igual 4.0 Internacional. (CC-BY-NC-SA 4.0)