PRESENTACIÓN DE CASOS

 

Artroplastia total de cadera en paciente con enfermedad de Paget: presentación de un caso

 

Victoria Eugenia Restrepo-Noriega*, Iván Darío Serna Maya*, Diego L. Guzmán-Benedek*, Manuela Corrales-González*

*Centro de Cuidado Clínico - Reemplazos Articulares, Clínica el Rosario - Sede Centro, Medellín, Colombia

 

RESUMEN

Introducción: La enfermedad de Paget es un trastorno metabólico de etiología desconocida, secundario a un incremento en la función de los osteoclastos y la consecuente respuesta de los osteoblastos a la formación exagerada de hueso. Compromete con mayor frecuencia el fémur proximal y, a menudo, se diagnostica incidentalmente. Se presenta el caso de una mujer con antecedente de enfermedad de Paget y pseudoartrosis de cadera izquierda, con indicaciones de prótesis total de cadera izquierda y un episodio único de luxación, sin complicaciones posteriores y una adecuada evolución. Conclusión: El manejo quirúrgico en casos de fractura de cadera permite restablecer la marcha y mejorar la calidad de vida de los pacientes con enfermedad de Paget. A pesar de ser una patología que dificulta el manejo de los pacientes, la enfermedad de Paget no es una contraindicación para la artroplastia total de cadera y permite mejorar el dolor y recuperar la funcionalidad.

Palabras clave: Enfermedad de Paget, artroplastia total de cadera, bifosfonatos, cadera, cirugía, luxación.

Nivel de Evidencia: IV

 

Total Hip Arthroplasty in a Patient with Paget’s Disease: A Case Report

 

ABSTRACT

Introduction: Paget’s disease is a metabolic disorder of unknown etiology, secondary to an increase in the function of osteoclasts and the consequent response of osteoblasts to excessive bone formation. It most commonly involves the proximal femur and is often diagnosed incidentally. We present the case of a woman with a history of Paget’s disease and nonunion of the left hip, with indications for a total left hip prosthesis and a single episode of dislocation, without subsequent complications and an adequate evolution. Conclusion: Surgical management in cases of hip fracture allows to restore walking and improves the quality of life of patients with Paget’s disease. Despite being a pathology that makes patient management difficult, Paget’s disease is not a contraindication for total hip arthroplasty and allows the improvement of pain and restoration of functionality.

Key words: Paget’s disease, total hip arthroplasty, bisphosphonates, hip, surgery, dislocation.

Level of Evidence: IV

 

Introducción

La enfermedad de Paget es un trastorno metabólico secundario a un incremento en la función de los osteoclastos y la consecuente respuesta de los osteoblastos a la formación exagerada de hueso. De etiología desconocida y con un comportamiento multifactorial, la enfermedad de Paget compromete con mayor frecuencia el fémur proximal y es diagnosticada, en la mayoría de los casos, de forma incidental por aumento en la fosfatasa alcalina o por hallazgos radiológicos. La piedra angular del manejo es la terapia antirresortiva con bifosfonatos y, en casos de fracturas, la fijación interna o inclusive la artroplastia total de cadera se convierte en una alternativa para mejorar la calidad de vida del paciente.

El propósito del presente trabajo es presentar la evolución a corto plazo (3 años) de una paciente con enfermedad de Paget llevada a artroplastia total de cadera, luego de la falla en la fijación interna con clavo intramedular largo para el manejo de una fractura subtrocantérica, con el fin de aportar una alternativa terapéutica en casos de fracturas con pseudoartrosis o no unión.

 

Caso clínico

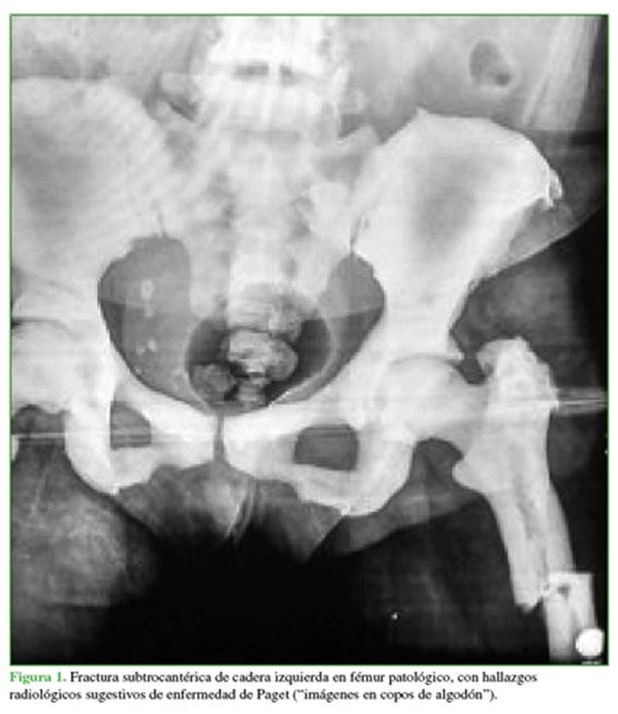
Mujer de 63 años, residente en la ciudad de Medellín, Colombia. Se trataba de una trabajadora independiente con diagnóstico previo de enfermedad de Paget de presentación poliostótica e historia familiar de enfermedad de Paget, diagnosticada de forma incidental por los hallazgos radiológicos y el antecedente familiar. En 2015, la paciente sufre una caída desde su propia altura y se comprueba fractura subtrocantérica de cadera izquierda, a la cual se le dio manejo quirúrgico en otra institución. Se considera que la fractura se presentó en hueso previamente patológico y comprometido por la enfermedad de Paget (Figuras 1 y 2).

 

 

 

 

 

 

Durante la evolución posoperatoria por la presencia de pseudoartrosis (diagnosticada a los 6 meses de la operación y manejada en otra institución), se realiza retiro de material de osteosíntesis (clavo intramedular bloqueado) y resección de la cabeza femoral, por lo que queda en artroplastia de resección (Figuras 3 y 4).

En 2016, la paciente consulta en la institución por persistencia de dolor intenso y limitación para la marcha en cadera izquierda, con radiografía de control que evidencia pérdidas óseas masivas del fémur proximal, cicatriz quirúrgica sana y ausencia de signos de infección. Después de la evaluación por múltiples especialistas y la valoración por parte del Centro de Cuidado Clínico de Reemplazos Articulares, se considera que la paciente es candidata para cirugía y se programa la colocación de prótesis total de cadera izquierda.

 

 

 

 

 

En febrero de 2018 se realiza dicha intervención más osteotomía correctora de fémur proximal y ostectomía proximal a nivel del trocánter por abordaje posterolateral, sin complicaciones. Se implanta acetábulo no cementado 44 x 28, 4 tornillos de fijación acetabular, inserto de polietileno altamente entrecruzado 44 x 28, vástago de revisión no cementado 140 mm x 13 mm con metáfisis proximal, con aleta para fijación de mecanismo abductor de la cadera y cabeza de cromocobalto 28M (Figura 5).

 

 

 

 

En marzo de 2018, sin antecedente de caída, la paciente consulta por el servicio de urgencias de la institución por dolor intenso en cadera izquierda, acortamiento de la extremidad y limitación para el apoyo y la marcha. La radiografía de control evidencia luxación posterior de prótesis total de cadera izquierda (Figura 6). Tras varios intentos de reducción cerrada de la luxación bajo anestesia general y persistencia de inestabilidad, se realiza reducción abierta de luxación de prótesis, con hallazgo intraoperatorio de desinserción de mecanismo abductor de la cadera, sin signos de infección o aflojamiento de los componentes, por lo que se realiza reparación y nueva fijación a aleta de metáfisis de vástago femoral, sin complicaciones (Figura 7).

Con posterioridad a la reducción abierta, la paciente presenta evolución clínica y radiológica satisfactoria (seguimiento de 3 años), con dolor leve ocasional, marcha con bastón, reintegro a sus actividades laborales, arcos de movilidad de 0 a 110°, abducción de 30°, rotación interna de 20° y rotación externa de 20°. A la fecha, no ha tenido otros episodios de luxación y las radiografías de control al año y a los 3 años no muestran signos de aflojamiento u osteolisis (Figura 8).

 

 

 

 

 

 

 

 

Discusión

La enfermedad de Paget u osteítis deformante, descrita por primera vez por Sir James Paget en 1877 en el Hospital St. Bartholomew’s, en Londres,1,2 es un trastorno metabólico secundario a un incremento en la función de los osteoclastos y la consecuente respuesta exagerada de los osteoblastos a la formación de hueso, lo que lleva a una pérdida completa de la homeostasis ósea.1 La prevalencia es mayor en pacientes mayores de 55 años y en países como Gran Bretaña (3-5%), Estados Unidos, Canadá, Australia y Nueva Zelanda.1

La etiología aún es desconocida, pero la hipótesis más aceptada es que la infección latente por parte de virus de la familia Paramixoviridae (virus del sarampión, virus sincicial respiratorio, virus moquillo canino) en individuos genéticamente predispuestos puede desencadenar la enfermedad.3 Aproximadamente, el 15% de los pacientes tienen antecedente familiar de la enfermedad, que obedece a una herencia de tipo autosómico dominante con penetrancia incompleta, en donde casi la mitad de los pacientes tienen antecedente familiar y el 5-10% de aquellos con enfermedad de novo tienen mutación en el gen SQSTM1, codificado en p62 y responsable de una producción proteica fundamental en la regulación de la función del osteoclasto.4

Sin embargo, se sabe que algunos factores externos pueden influir en el desarrollo de la enfermedad, que asume un comportamiento multifactorial, donde la nutrición del paciente, la exposición a infecciones y el sedentarismo pueden jugar un papel importante.4

En condiciones fisiológicas, el esqueleto humano presenta una remodelación completa cada 2 a 4 años, con la aparición de 3-5 núcleos de osteoclastos en actividad en cada región anatómica, pero en los pacientes con enfermedad de Paget, los osteoclastos, además de aumentar su actividad en casi 9 veces, aumentan en número (10 a 100 veces más de lo normal), lo que lleva a una formación de aproximadamente 100 núcleos de actividad osteoclástica, que por retroalimentación positiva permiten el aumento del reclutamiento de osteoblastos y la consecuente formación de matriz ósea.1,5,6

Aunque en la enfermedad se presenta actividad tanto osteoclástica como osteoblástica, hay tres fases bien diferenciadas que explican su fisiopatología y que pueden ocurrir simultáneamente en diferentes sitios anatómicos. En la primera fase o fase osteolítca, hay un aumento en la resorción ósea e hipervascularización. En la fase dos o fase mixta (osteoblástica/osteoclástica), además de la constante resorción ósea por parte de los osteoclastos, hay un incremento en la formación de nueva matriz ósea por parte de los osteoblastos; sin embargo, la mineralización de esta matriz no es la adecuada, lo que lleva al reemplazo de hueso lamelar por tejido óseo al azar, con menor capacidad deformante y resistencia. En la fase tres o fase esclerosa, la actividad osteoclástica disminuye y da lugar a la formación de un tejido óseo desordenado, denso y escleroso.1,7.

En la mayoría de los pacientes, el diagnóstico de enfermedad de Paget es incidental, ya sea por el hallazgo de niveles de fosfatasa alcalina aumentados o por los hallazgos radiológicos característicos, con el 20-25% de los casos asintomáticos. No obstante, muchos pacientes pueden cursar con dolor óseo, deformidades esqueléticas, fracturas, sordera, síntomas de compresión nerviosa o cefalea por deformidad del cráneo, sintomatología que está relacionada con el compromiso de un solo hueso (forma monoostótica) o de varios huesos (forma poliostótica).

En cuanto al dolor óseo, hay que tener en cuenta que es un dolor que aumenta con el reposo, es de predominio nocturno, mejora con la actividad y es de muy difícil manejo analgésico, por lo que, en muchos casos, lleva a la sospecha inicial de un cuadro oncológico. Cabe señalar que el tumor más frecuente en los pacientes con enfermedad de Paget es el osteosarcoma, con una incidencia de 0,2-1%.1

Las deformidades óseas características son tibia en antecurvatum (tibia en sable) y fémur en ante y laterocurvatum (fémur en cayado), lo que explica la frecuencia en la ubicación de las fracturas de estos pacientes, las cuales pueden ser traumáticas o patológicas; estas se presentan con mayor frecuencia distales al trocánter menor en el fémur (20-80%)8 y en el tercio proximal de la tibia. El compromiso de la pelvis generalmente es asintomático, excepto cuando hay compromiso de la articulación coxofemoral y protrusio acetabular.9,10

Otras manifestaciones clínicas incluyen complicaciones cardiovasculares asociadas a disminución de la resistencia vascular periférica y aumento del gasto cardíaco, nefrolitiasis, hipercalcemia e hiperuricemia, entre otras.

Como ya se mencionó, los pacientes con enfermedad de Paget presentan aumento en los niveles de fosfatasa alcalina, los cuales están estrechamente relacionados con la extensión y gravedad de la enfermedad. Sin embargo, hay pacientes que pueden cursar con valores normales o discretamente elevados. Con el fin de descartar los falsos positivos, se debe medir la fosfatasa alcalina específica de hueso y efectuar pruebas de función hepática.11 Los niveles de calcio sérico y 25-hidroxi vitamina D generalmente son normales.

Los hallazgos radiológicos incluyen, en la primera fase, áreas bien delimitadas de osteolisis; en la segunda fase, la aparición de áreas en “copos de algodón”, lo que indica la actividad ósea mixta, y, en la tercera fase, dejan de ser predominantes las imágenes líticas, para pasar a ser predominante el hueso con características esclerosas. Aunque las radiografías representan una gran ayuda para el diagnóstico, la mejor ayuda diagnóstica para identificar la presentación poliostótica es la gammagrafía ósea.12

En cuanto al tratamiento, la piedra angular es la terapia antirresortiva con bifosfonatos (ácido zoledrónico, pamidronato, alendronato, risedronato), la cual está indicada en circunstancias específicas: 1. pacientes sintomáticos por lesiones óseas activas; 2. como profilaxis en pacientes con evidencia de lesiones activas en áreas de alto riesgo (huesos de carga o sitios de potencial compresión nerviosa); 3. niveles de fosfatasa alcalina 2 a 4 veces por encima del límite superior; 4. prequirúrgica, cuando el procedimiento involucra tejido óseo afectado por la enfermedad; y 5. hipercalcemia secundaria a inmovilización.1

En los casos de reacciones adversas a los bifosfonatos por sintomatología gastrointestinal, fracturas atípicas, fibrilación auricular, osteonecrosis de mandíbula, hipocalcemia o dolores musculoesqueléticos, o cuando se encuentra contraindicado su uso (insuficiencia renal estadio IV y V, embarazo), se puede reemplazar la terapia con el uso de calcitonina SC, ya aprobada por la FDA.1

Cabe señalar que todo paciente con fractura debe ser manejado de forma integral, con el fin de mejorar su calidad de vida y lograr el rápido reintegro del paciente a su actividad diaria, lo que disminuye las complicaciones posteriores. Hay que tener en cuenta que, por la fisiopatología de la enfermedad y las diferencias biomecánicas óseas, muchas de las fracturas, ya sean manejadas de forma ortopédica o con fijación interna, pueden presentar retardo en la consolidación (promedio de 26-42 semanas para consolidar),13,14 no unión o inclusive falla, lo cual representa un reto para el médico tratante,13 tal como se describe en este reporte.

Teniendo en cuenta el caso de nuestra paciente, la artroplastia total de cadera ha redundado en muy buenos resultados funcionales, tanto la cementada como la no cementada; sin embargo, se ha demostrado que la hipervascularidad ósea, el tejido escleroso y el sangrado abundante que se puede presentar durante la cirugía limitan la penetración e interdigitación del cemento, lo que lleva a un mayor riesgo de aflojamiento a largo plazo por parte de las prótesis cementadas,15,16 las que causan casi el 15% de las revisiones en estos pacientes.8,15,17 Esta situación ha llevado a un aumento en el uso de implantes no cementados y el manejo conjunto pre- y posoperatorio con terapia antirresortiva, la cual permite una disminución de la actividad de la enfermedad y del sangrado, el manejo del dolor y la reducción de la tasa de complicaciones a largo plazo.18,19 Por esta razón, en el caso presentado, se decidió realizar una artroplastia total de cadera no cementada, con tallo de revisión, por las condiciones del tejido óseo del fémur, secundario al retiro del material de osteosíntesis previamente implantado, y también, para evitar complicaciones tanto intraoperatorias como posoperatorias, más prevalentes en estos pacientes (como fue el caso de luxación o desinserción del mecanismo abductor de la cadera). La cuidadosa selección y utilización de los implantes permite el adecuado manejo de dichas complicaciones y su minimización a futuro.

 

Conclusiones

La enfermedad de Paget no es una contraindicación para las artroplastias totales, a pesar de ser una patología que dificulta el manejo de los pacientes con antecedentes de fractura. Aun cuando dicha afección aumenta la complejidad del procedimiento por la calidad ósea, las características fisiológicas óseas y el alto riesgo de complicaciones, las artroplastias totales se encuentran indicadas con el fin de mejorar la calidad de vida del paciente y, en la medida de lo posible, conseguir la desaparición del dolor y de la limitación funcional.

El propósito de este artículo fue presentar una alternativa quirúrgica para pacientes con este tipo de comorbilidades y dar cuenta de su adecuada evolución, la cual nos permite aumentar el abanico de posibilidades en pacientes que, en otras ocasiones, se manejaban de forma definitiva con resección de la cabeza femoral (artroplastia tipo Girdlestone) y apoyo protegido.

Sin embargo, no se puede perder de vista el alto riesgo de complicaciones intra- y posoperatorias, por lo que el manejo de estos pacientes debe estar en manos expertas con el objetivo de minimizar dichos riesgos, asegurar el éxito del procedimiento y manejar de forma adecuada las posibles eventualidades a futuro, como el dolor, el aflojamiento o, inclusive, la infección.

 

Consideraciones éticas

Se contó con el consentimiento informado de la paciente y autorización y aprobación por parte del comité de ética en investigación de la Clínica el Rosario - Sede Centro, Medellín, Colombia.

 

Bibliografía

 

1.     Kravets I. Paget’s disease of bone: diagnosis and treatment. Am J Med 2018;131(11):1298-303. https://doi.org/10.1016/j.amjmed.2018.04.028

2.     Crego-Vita D, Aedo-Martin D, Sánchez-Pérez C. Case report of early aseptic loosening of total hip arthroplasty inmonostotic paget disease, a diagnostic challenge. Int J Surg Case Rep 2016;24:215-8. https://doi.org/10.1016/j.ijscr.2016.05.050

3.     Siris E, Ottman R, Flaster E, Kelsey JL. Familial aggregation of Paget’s disease of bone. J Bone Miner Res 1991;6(5):495-500. https://doi.org/10.1016/j.ijscr.2016.05.050

4.     Ralston SH, Layfield  R. Pathogenesis of Paget’s disease of bone. Calcif Tissue Int 2012;91(2):97-113. https://doi.org/10.1007/s00223-012-9599-0

5.     Reddy SV. Etiology of Paget’s disease and osteoclast abnormalities. J Cell Biochem 2004;93(4):688-96. https://doi.org/10.1002/jcb.20256

6.     Vallet M, Ralston SH. Biology and treatment of Paget’s disease of bone. J Cell Biochem 2016;117(2):289-99. https://doi.org/10.1002/jcb.25291

7.     Schneider D, Hofmann MT, Peterson JA. Diagnosis and treatment of Paget’s disease of bone. Am Fam Physician 2002;65(10):2069-72. PMID: 12046775.

8.     Wegrzyn J, Pibarot V, Chapurlat R, Carret JP, Béjui-Hugues J, Guyen O. Cementless total hip arthroplasty in Paget’s disease of bone: a retrospective review. Int Orthop 2010;34(8):1103-9. https://doi.org/10.1007/s00264-009-0853-7

9.     Siris E, Roodman GD. Paget’s disease of bone. En: Rosen CJ, Compston JE, Lian JB (eds). ASBMR Primer on the metabolic bone diseases and disorders of mineral metabolism 7th ed. American Society for Bone and Mineral Research, New Jersey: Wiley; 2008: 335-43.

10.  Kang H, Park YC, Yang KH. Paget’s disease: skeletal manifestations and effect of bisphosphonates. J Bone Metab. 2017;24(2):97-103. https://doi.org/10.11005/jbm.2017.24.2.97

11.  Shankar S, Hosking DJ. Biochemical assessment of Paget’s disease of bone. J Bone Miner Res 2006;21(Suppl 2):22-27. https://doi.org/10.1359/jbmr.06s204

12.  Theodorou DJ, Theodorou SJ, Kakitsubata Y. Imaging of Paget disease of bone and its complications: review. AJR Am J Roentgenol 2011;196(6Suppl):S64-S75. https://doi.org/10.2214/AJR.10.7222

13.  Khurjekar KS, Vidyadhara S, Dheenadhayalan J, Rajasekaran S. Spontaneous rapid osteolysis in Paget’s disease after internal fixation of subtrochanteric femoral fracture. Singapore Med J 2006;47(10):897-900. PMID: 16990967

14.  Shardow DL, Giannoudis PV, Matthews SJ, Smith RM. Stabilisation of acute femoral fractures in Paget’s disease. Int Orthop 1999;23(5):283-5. https://doi.org/10.1007/s002640050372

15.  McDonald DJ, Sim FH. Total hip arthroplasty in Paget’s disease a follow-up note. J Bone Joint Surg Am 1987;69(5):766-72. PMID: 3597478

16.  Imbuldeniya A, Tai S, Aboelmagd T, Walter WL, Wlater WK, Zicat BA. Cementless hip arthroplasty in Paget’s Disease at long-term follow-up (average of 12,3 years). J Arthroplasty 2014;29(5):1063-6. https://doi.org/10.1016/j.arth.2013.10.015

17.  Amundsen S, Koenig K, Goodwin D, Memoli V. Failure of primary total hip arthroplasty secondary to new onset of Paget disease. A case report. JBJS Case Connect 2015;5(1):e19-e5. https://doi.org/10.2106/JBJS.CC.M.00096

18.  Werner de Castro GR, Fernandes de Castro SA, Pereira IA, Zimmermann AF, Toscano MA, Souza Neves F, et al. Determinants of quality of life in Paget’s Disease of bone. Rev Bras Reumatol (Engl Ed) 2017;57(6):566-73. https://doi.org/10.1016/j.rbre.2017.06.002

19.  Lozano-Calderon SA, Colman MW, Raskin KA, Hornicek FJ, Gebhardt M. Use of bisphosphonates in orthopedic surgery. Pearls and pitfalls. Orthop Clin North Am 2014;45(3):403-16. https://doi.org/10.1016/j.ocl.2014.03.006

 

 

ORCID de I.D. Serna Maya: https://orcid.org/0000-0002-6650-280X

ORCID de M. Corrales-González: https://orcid.org/0000-0001-7612-5529

ORCID de D.L. Guzmán-Benedek: https://orcid.org/0000-0002-1324-814X

               

Recibido el 1-6-2021. Aceptado luego de la evaluación el 1-3-2022    Dra. Victoria Eugenia Restrepo-Noriega    vickyrestrepo025@hotmail.comhttps://orcid.org/0000-0001-8703-7882

 

Cómo citar este artículo: Restrepo-Noriega VE, Serna Maya ID, Guzmán-Benedek DL, Corrales-González M. Artroplastia total de cadera en paciente con enfermedad de Paget: presentación de un caso. Rev Asoc Argent Ortop Traumatol 2022;87(5):693-702. https://doi.org/10.15417/issn.1852-7434.2022.87.5.1386

 

 

Información del artículo

Identificación: https://doi.org/10.15417/issn.1852-7434.2022.87.5.1386

Fecha de publicación: Octubre, 2022

Conflicto de intereses: Los autores no declaran conflictos de intereses.

Copyright: © 2022, Revista de la Asociación Argentina de Ortopedia y Traumatología.

Licencia: Este artículo está bajo una Licencia Creative Commons Atribución-No Comercial-Compartir Obras Derivadas Igual 4.0 Internacional. (CC-BY-NC-SA 4.0)