PRESENTACIÓN DE CASOS

 

Tumor mesenquimático fosfatúrico de pelvis: abordaje multidisciplinario

 

Leonardo M. Cullari, Sebastián Senes, Juan Pablo Taleb, Ignacio Fita, Pablo D. Sarmiento

Servicio de Ortopedia y Traumatología, Hospital Británico de Buenos Aires, Ciudad Autónoma de Buenos Aires, Argentina

 

RESUMEN

El tumor mesenquimático fosfatúrico es una entidad clinicopatológica sumamente infrecuente. Además de provocar dolor óseo insidioso y polimialgias, se acompaña de alteraciones del metabolismo fosfocálcico de difícil manejo clínico. El abordaje multidisciplinario resulta la clave del éxito en esta enfermedad. Presentamos una paciente de 52 años de edad con antecedente de tumor mesenquimático fosfatúrico en la hemipelvis derecha con extensión a la cadera homolateral de 10 años de evolución. Clínicamente presentaba osteomalacia oncogénica (hipofosfatemia e hiperfosfaturia) que no se corregía, pese a un agente de última generación, el burosumab, un inhibidor del factor de crecimiento fibroblástico 23, que aumenta la reabsorción tubular renal de fosfatos. En un comité multidisciplinario, se decidió la resección con márgenes oncológicos y se logró una mejoría clínica franca. Comunicamos este caso, debido a que es un cuadro infrecuente.

Palabras clave: Tumor mesenquimático fosfatúrico; osteomalacia oncogénica; ortopedia oncológica; cirugía de pelvis.

Nivel de Evidencia: IV

 

Phosphaturic Mesenchymal Tumor of the Pelvis: A Multidisciplinary Approach

 

ABSTRACT

Phosphaturic mesenchymal tumor (PMT) is an infrequent clinicopathological entity. It presents insidious bone pain and polymyalgia, accompanied by alterations in calcium and phosphorus metabolism that are difficult to resolve clinically. A multidisciplinary approach is a key to success in this pathology. We present the case of a 52-year-old female patient with a 10-year history of PMT in the right hemipelvis with ipsilateral hip extension. From the clinical point of view, she presented oncogenic osteomalacia (hypophosphatemia and hyperphosphaturia) that did not correct despite being administered the latest generation medication, burosumab, an FGF-23 inhibitor that increases renal tubular phosphate reabsorption. Resection with oncological margins was decided by a multidisciplinary committee resolving her clinical condition. Due to the rarity of this pathology, we decided to report the case.

Key words: Phosphaturic mesenchymal tumor; oncogenic osteomalacia; oncological orthopedics; pelvic surgery.

Level of Evidence: IV

 

INTRODUCCIÓN

El tumor mesenquimático fosfatúrico (TMF) es una entidad clinicopatológica sumamente infrecuente. Se trata de un tumor de bajo grado que afecta a ambos sexos por igual, entre los 40 y 60 años de edad. El motivo de consulta suele ser dolor óseo insidioso, polimialgias, dificultad para la marcha y fracturas patológicas incompletas. Tiene como principal característica clínica inducir osteomalacia.

Los tumores inductores de osteomalacia fueron descritos, por primera vez, en 1947, por McCance.1 Sobre la base de la histología de la neoplasia, en 2006, Weidner y Santa Cruz2 los subdividieron en diferentes categorías, donde el TMF representa el 90% de los casos. Desde su descripción inicial en 1947, se comunicaron alrededor de 500 tumores inductores de osteomalacia que ocasionaron lesiones líticas únicamente en una pequeña proporción.3 Los parámetros de laboratorio característicos de un TMF son hiperfosfaturia, hipofosfatemia y niveles elevados de fosfatasa alcalina.

Si bien se han descrito tratamientos sistémicos o procedimientos terapéuticos mininvasivos, la resección tumoral con márgenes oncológicos amplios es el tratamiento definitivo. Presentamos el caso de una paciente con TMF localizado en la hemipelvis derecha con extensión a la cadera homolateral.

 

CASO CLÍNICO

Mujer de 52 años, con antecedentes clínicos de osteomalacia oncogénica (hipofosfatemia e hiperfosfaturia). Había sido sometida a una resección parcial del hueso ilíaco más cementoplastia ocho años antes, en otro Centro, con diagnóstico histopatológico inicial de hemangiopericitoma.

La paciente acudió a nuestra institución en marzo de 2018. En el examen físico, se observó una tumoración palpable en la cara externa del hueso ilíaco derecho asociada a dolor en la cara anterior del muslo homolateral. Refería dolor durante la flexo-extensión de la cadera derecha y a las rotaciones, como así también dolor a la carga sobre ese miembro. Deambulaba únicamente dentro del domicilio asistida con andador. Una radiografía de pelvis (Figura 1) mostró una alteración de la estructura compatible con lesión expansiva que comprometía el hueso ilíaco derecho, de aspecto heterogéneo y bordes irregulares, además de la presencia de cemento producto de la cementoplastia previa.

 

 

 

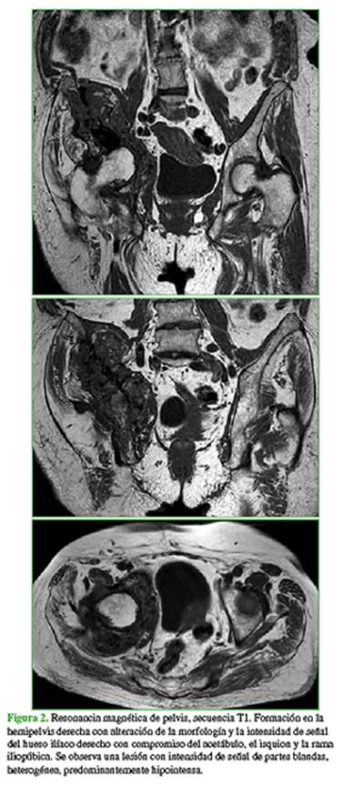
En la resonancia magnética (Figura 2), se observó una formación en la hemipelvis derecha con alteración de la morfología e intensidad de señal del hueso ilíaco derecho con compromiso del acetábulo, el isquion y la rama iliopúbica; en su topografía, se registró una lesión con intensidad de señal de partes blandas, heterogénea, predominantemente hipointensa en secuencia T1.

 

 

 

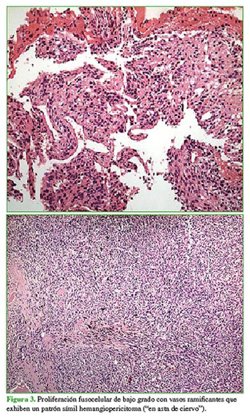
Clínicamente la paciente sufría dolores musculares insidiosos y debilidad generalizada, por lo que se solicitaron análisis bioquímicos que arrojaron los siguientes resultados: calcemia 9,1 mg/dl (valor normal [VN] 8,5-10,5), fosfatemia 1,1 mg/dl (VN 2,5-4,5), magnesemia 2,5 mg/dl (VN 1,9-2,5), parathormona 61 pg/ml (VN 12-72), fosfatasa alcalina 368 UI/l (VN 40-100), 25-OH vitamina D 8,4 ng/ml (VN 14-39) y fosfaturia 1871 mg/24 h (VN 350-1000). La asociación de hiperfosfatemia e hiperfosfaturia se engloba en un trastorno clínico denominado osteomalacia oncogénica. Para confirmar el diagnóstico se realizó una biopsia guiada bajo tomografía computarizada. La presentación clínica junto con los estudios por imágenes y la biopsia bajo tomografía computarizada (Figura 3) llevaron al diagnóstico de tumor mesenquimático fosfatúrico.

 

 

 

Inicialmente se planteó el tratamiento quirúrgico con márgenes oncológicos, que fue rechazado de plano por la paciente; en consecuencia, se le indicó analgesia, descarga sobre ese miembro, estricto control mensual, y se solicitó una interconsulta con endocrinología. Se observó un importante aumento del tamaño de la masa a los seis meses de la primera consulta.

Como la paciente se negaba a la cirugía, en un ateneo multidisciplinario, se decidió comenzar a utilizar buro-sumab, un anticuerpo monoclonal que se une al factor de crecimiento fibroblástico 23. Se trata de una proteína responsable del metabolismo fosfocálcico. Este anticuerpo se une en el riñón y lo inhibe, corrigiendo así la hipo-fosfatemia, ya que aumenta la reabsorción de este nutriente. Luego de tres meses de aplicación, no se logró revertir los valores de fósforo en sangre y la sintomatología descrita continuaba empeorando. Como ya se habían agotado todas las opciones de tratamiento médico, se habló con la paciente sobre los beneficios y las comorbilidades de la cirugía; de esta manera, se decidió con la paciente, su familia y los Servicios de Oncología y Endocrinología la resolución quirúrgica como tratamiento curativo.

Se planificó una cirugía en dos tiempos. La idea original era, en un primer tiempo, extirpar el tumor y colocar un espaciador preformado para limitar el proceso infeccioso local, y luego, en un segundo tiempo, realizar la cirugía definitiva con una prótesis no convencional.

Se planificó la vía de abordaje y la reconstrucción con un espaciador con antibiótico diseñado con impresión 3D (Figura 4).

 

 

 

Se accedió a la cavidad retroperitoneal movilizando la bolsa peritoneal. Se seccionó la arcada inguinal y se desinsertó la espina ilíaca anterosuperior, liberando vasos femorales e ilíacos con el equipo de cirugía vascular. Luego de movilizar el paquete iliofemoral, se accedió a la rama iliopúbica que fue disecada en su totalidad hasta llegar a la sínfisis del pubis. A continuación, se procedió a la osteotomía del pubis, la disección de ramas iliopúbica e isquiopúbica y la posterior osteotomía del cuello femoral. Se efectuó la disección de partes blandas de la cara externa de la pelvis conservando los músculos glúteos y el pedículo glúteo, así como los músculos pelvirrotadores. Se identificó la articulación sacroilíaca derecha y, mediante una osteotomía proximal, se completó la liberación de partes blandas retroperitoneales (músculos psoas e ilíaco) conservando los nervios crural y ciático mayor.

Se realizó la resección oncológica del ilíaco y la región periacetabular, y se envió la pieza para estudio anatomopatológico (Figura 5); luego se procedió a la reconstrucción del anillo pélvico con un implante y la colocación de un espaciador preformado (Figura 6). El estudio histopatológico posterior indicó márgenes libres.

 

 

 

 

 

 

Al tercer día, la paciente sufrió un shock cardiogénico y requirió altas dosis de noradrenalina más vasopresina, intubación orotraqueal y asistencia respiratoria mecánica. Al séptimo día, se suspendió la sedación y se la extubó. Una semana después, se le diagnosticó disnea, desaturación y taquicardia y fue trasladada a la Unidad Coronaria, con diagnóstico de tromboembolismo pulmonar. Se le administró heparina de bajo peso molecular durante dos semanas y luego se cambió a acenocumarol por cuatro meses.

La paciente fue dada de alta a los 25 días de la operación. Quince días más tarde, acudió al Servicio de Urgencia con débito purulento por dehiscencia de la herida y exposición de partes blandas (Figura 7).

 

 

 

Se solicitaron análisis bioquímicos que arrojaron los siguientes valores: glóbulos blancos 9000/mm3, eritrosedimentación 62 mm/h y proteína C reactiva 5,2 mg/dl. En una tomografía computarizada, se observaron hallazgos compatibles con colección en la región inguinal derecha (Figura 8).

 

 

 

Al día siguiente, se efectuó una limpieza con toma de muestras más colocación de un sistema de aspiración negativo, y se indicó un tratamiento antibiótico con vancomicina e imipenem por vía intravenosa. En la muestra, se aisló Staphylococcus aureus sensible a meticilina y se rotó el antibiótico a cefazolina durante una semana. La paciente fue dada de alta y se le prescribió cefalexina hasta completar los 21 días de tratamiento.

A los 18 meses, los parámetros de laboratorio eran normales, tanto inflamatorios (proteína C reactiva 0,3 mg/dl, eritrosedimentación 15 mm/h, glóbulos blancos 5600/mm3) como del metabolismo fosfocálcico (calcio 9,3 mg/dl, fósforo 3 mg/dl), no había signos clínicos de infección activa. Luego de discutir en un ateneo multidisciplinario, se propuso a la paciente la cirugía de reconstrucción definitiva de la hemipelvis derecha, a la cual se negó rotundamente, porque no tenía dolor y caminaba sin dificultades con un andador. Según el Servicio de Endocrinología, el plan será continuar el tratamiento con burosumab por tiempo indeterminado y realizar controles bimensuales de calcio y fósforo. Actualmente, en la radiografía, se puede constatar la correcta posición del espaciador, sin signos de aflojamiento ni de enfermedad activa (Figura 9).

 

 

 

 

DISCUSIÓN

Los tumores inductores de osteomalacia son una entidad paraneoplásica extremadamente infrecuente, y encontrar su ubicación anatómica es uno de los mayores retos. El tiempo promedio desde el inicio de los síntomas hasta el diagnóstico de TMF, a menudo, excede los 2.5 años.1 En nuestro caso, esta característica no generó mayores inconvenientes por el gran tamaño de la neoplasia en la pelvis. La osteomalacia oncogénica se caracteriza por hipofosfatemia con aumento de la excreción de fosfato urinario y valor deficitario o normal de 1,25(OH)-D, en presencia de calcemia normal. El motivo de consulta suele ser dolor óseo insidioso, polimialgias, dificultad para la marcha y fracturas patológicas incompletas. Nuestra paciente presentaba coxartralgia derecha de varios años de evolución, que no se curaba, pese a la intervención previa y el tratamiento con medicamentos de última generación.

Algunos tratamientos alternativos a la cirugía son la ablación por radiofrecuencia,4 el octreótido subcutáneo5 y los anticuerpos monoclonales contra el factor de crecimiento fibroblástico 23 (KRN23), sustancia producida por los osteocitos que tiene como función fisiológica regular los niveles de fósforo plasmático a nivel renal, produciendo fosfaturia. De estos anticuerpos, hoy el burosumab es el más utilizado, se une al factor de crecimiento fibroblástico 23 y lo inhibe y corrige así la hipofosfatemia. Se ha demostrado que este anticuerpo monoclonal reduce la fatiga, mejora la calidad de vida, normaliza el fósforo sérico y mejora los parámetros histomorfométricos después de 48 semanas de administración. Aunque ha surgido como una terapia prometedora, todavía falta información sobre su eficacia y seguridad a largo plazo. Además, dado que el burosumab no detiene la progresión o el crecimiento del tumor causante, su uso debe estar limitado a pacientes con tumores no resecables o no identificados.6

En la década de 1970, Enneking y Dunham fueron los primeros en publicar una serie de resecciones de tumores óseos pélvicos tratando de evitar la amputación, cirugías con una elevada tasa de morbimortalidad, pero que proporcionaban al paciente una mayor posibilidad de supervivencia y una mejor calidad de vida.7 En los últimos años, ha surgido una amplia gama de técnicas quirúrgicas con el objetivo de acortar el tiempo intraoperatorio y proporcionar una mejor solución mecánica al defecto óseo después de la resección, como la reconstrucción diseñada en tres dimensiones.8,9 Es fundamental la planificación preoperatoria detallada y precisa para lograr los resultados esperados.

Debido a la naturaleza agresiva localmente del TMF, son neoplasias propensas a la recidiva local o hasta pueden generar metástasis a distancia.10 La resección con márgenes oncológicos del TMF es la única opción curativa, el tratamiento médico se reserva para pacientes con tumores denominados inoperables o que no desean la opción quirúrgica. Se trata de un procedimiento técnicamente demandante con una alta tasa de complicaciones quirúrgicas, la más común es la infección asociada a necrosis y dehiscencia de la herida quirúrgica. Su tratamiento se basa en el desbridamiento quirúrgico agresivo asociado al tratamiento antibiótico por vía intravenosa.

Una limitación de este estudio es que, al ser un reporte de un solo caso, carece de valor como evidencia. Sin embargo, registra un acontecimiento raro, contiene detalles útiles sobre el diagnóstico de la enfermedad y sus diagnósticos diferenciales, y describe un método de tratamiento infrecuente, interesante y de alta complejidad.

 

CONCLUSIÓN

El TMF es un cuadro extremadamente infrecuente caracterizado clínicamente por producir un síndrome paraneoplásico denominado osteomalacia oncogénica. El abordaje multidisciplinario resulta fundamental para tratar al paciente. El tratamiento de elección como criterio curativo es la cirugía.

 

Bibliografía

 

1.     Xian X, Xiaofang S. Phosphaturic mesenchymal tumor and related wound problem. Medicine (Baltimore) 2018;97(40):e12507. https://doi.org/10.1097/MD.0000000000012507

2.     Weidner N, Santa Cruz D. Phosphaturic mesenchymal tumors. A polymorphous group causing osteomalacia or rickets. Cancer 1987;59(8):1442-54. https://doi.org/10.1002/1097-0142(19870415)59:8<1442::aid-cncr2820590810>3.0.co;2-q

3.     Carpenter TO. Oncogenic osteomalacia - a complex dance of factors. N Engl J Med 2003;348/17):1705-8. https://doi.org/10.1056/NEJMe030037

4.     Hesse E, Rosenthal H, Bastian L. Radiofrequency ablation of a tumor causing oncogenic osteomalacia. N Engl J Med 2007;357(4):422-4. https://doi.org/10.1056/NEJMc070347

5.     Seufert J, Ebert K, Muller J, Eulert J, Hendrich C, Werner E, et al. Octreotide therapy for tumor-induced osteomalacia. N Engl J Med 2001;345(26):1883-8. https://doi.org/10.1056/NEJMoa010839

6.     Florenzano P, Hartley IR, Jimenez M, Roszko K, Collins MT. Tumor-induced osteomalacia. Calcif Tissue Int 2021;108(1):128-42. https://doi.org/10.1007/s00223-020-00691-6

7.     Enneking WF, Dunham WK. Resection and reconstruction for primary neoplasms involving the innominate bone. J Bone Joint Surg Am 1978;60(6):731-46. PMID: 701308

8.     Dahmen G, Heise U. Alloplasticherbeckenteilersatzmithüftgelenk und proximalem femur. [Partial replacement of the pelvis with the hip joint and proximal femur. A possibility in tumor treatment]. Z Orthop Ihre Grenzgeb 1985;123(3):265-72. https://doi.org/10.1055/s-2008-1045148

9.     Van-Der-Lei B, Hoekstra HJ, Veth RP, Ham SJ, Oldhoff J, Schafford-Koops H. The use of the saddle prosthesis for reconstruction of the hip joint after tumor resection of the pelvis. J Surg Oncol 1992;50(4): 216-9. https://doi.org/10.1002/jso.2930500403

10.  Sun ZJ, Jin J, Qiu GX, Gao P, Liu Y. Surgical treatment of tumor-induced osteomalacia: A retrospective review of 40 cases with extremity tumors. BMC Musculoskelet Disord 2015;16:43. https://doi.org//10.1186/s12891-015-0496-3

 

 

ORCID de S. Senes: https://orcid.org/0000-0001-6066-7892

ORCID de I. Fita: https://orcid.org/0000-0002-7521-2679

ORCID de J. P. Taleb: https://orcid.org/0000-0001-5448-8716

ORCID de P. D. Sarmiento: https://orcid.org/0000-0001-6713-6699

 

Recibido el 10-5-2021. Aceptado luego de la evaluación 11-10-2021 •  Dr. Leonardo M. Cullari •  maticullari@hotmail.comhttps://orcid.org/0000-0002-6058-6686

 

Cómo citar este artículo: Cullari LM, Senes S, Taleb JP, Fita I, Sarmiento PD. Tumor mesenquimático fosfatúrico de pelvis: abordaje multidisciplinario. Rev Asoc Argent Ortop Traumatol 2022;87(3):360-370. https://doi.org/10.15417/issn.1852-7434.2022.87.3.1371

 

 

Información del artículo

Identificación: https://doi.org/10.15417/issn.1852-7434.2022.87.3.1371

Fecha de publicación: Junio, 2022

Conflicto de intereses: Los autores no declaran conflictos de intereses.

Copyright: © 2022, Revista de la Asociación Argentina de Ortopedia y Traumatología.

Licencia: Este artículo está bajo una Licencia Creative Commons Atribución-No Comercial-Compartir Obras Derivadas Igual 4.0 Internacional. (CC-BY-NC-SA 4.0)