INVESTIGACIÓN CLÍNICA

 

Lipoblastoma de extremidades y tronco: recurrencia local y complicaciones después de la resección marginal. Estudio multicéntrico

 

Patricio Manzone,* J. Javier Masquijo,** Marta Salom Taverner,# Silvana Fiscina,## Sergio F. Innocenti##

*Unidad de Patología Espinal, Servicio de Ortopedia y Traumatología Infantil, Hospital Pediátrico “Dr. Avelino Castelán”, Resistencia, Chaco, Argentina

**Departamento de Ortopedia y Traumatología, Sanatorio Allende, Córdoba, Argentina

#Unidad de Cirugía Ortopédica y Traumatología Infantil, Hospital Universitari i Politecnic La Fe, Valencia, España

##Servicio de Ortopedia y Traumatología, Hospital de Pediatría “Prof. Dr. Juan P. Garrahan”, Ciudad Autónoma de Buenos Aires, Argentina

 

Resumen

Objetivo: El lipoblastoma es una neoplasia benigna poco común que puede presentarse como un tumor localizado o difuso (lipoblastomatosis). Debido a su rareza, se han publicado, en su mayoría, solo reportes de casos. El objetivo de este estudio fue determinar la tasa de recurrencia local y las complicaciones después de la resección marginal de lipoblastomas ubicados en extremidades y tronco. Materiales y Métodos: Se realizó una revisión retrospectiva multicéntrica de los registros de pacientes pediátricos sometidos a extirpación quirúrgica de lipoblastomas en cuatro instituciones, entre 2008 y 2018. Se registraron las siguientes variables: datos demográficos, método diagnóstico, volumen de la lesión, tipo de biopsia, complicaciones, recurrencia y necesidad de procedimientos adicionales. Resultados: Durante el período de estudio, 17 pacientes cumplieron los criterios de inclusión para la evaluación. La media de la edad era de 3.9 años y el 65% eran varones. Las ubicaciones más frecuentes fueron: muslos (n = 9), columna lumbar (n = 2) y glúteos (n = 2). El volumen de masa preoperatorio medio fue de 305,5 cm3 (rango: 10,2-1745,8). La duración media del seguimiento fue de 2.8 años (rango: de 8 meses a 5.6 años). Hubo una recurrencia (5,9%) y una cicatriz retraída en el área glútea como complicación. Ninguno requirió una nueva intervención. Conclusión: La resección quirúrgica marginal de lipoblastomas localizados en el dorso o las extremidades genera una baja tasa de recurrencia a los 2.8 años de seguimiento y mínimas complicaciones.

Palabras clave: Lipoblastoma; lipoblastomatosis; niños; resección marginal.

Nivel de Evidencia: IV

 

Limb and Trunk Lipoblastoma: Local Recurrence and Complications After Marginal Resection. A Multicenter Study

 

Abstract

Objectives: Lipoblastoma is a rare benign neoplasm that resembles white fat and can occur as a localized (lipoblastoma) or diffuse (lipoblastomatosis) tumor. Due to its rarity, the literature is mostly limited to case reports. The purpose of this study was to determine the local recurrence rate and complications after marginal resection of lipoblastomas located in the extremities or the back. Materials and Methods: We performed a multicenter retrospective review of the records of pediatric patients who had undergone surgical excision of lipoblastomas at 4 tertiary care institutions from 2008 to 2018. We recorded the demographic data, diagnostic method, the volume of the lesion, type of biopsy, complications, recurrence, and the need for additional procedures. Results: Throughout the study, 17 patients met the inclusion criteria for evaluation. The average patient age was 3.9 years, and 65% were male. The most common locations included thighs (N 9), low back region (N 2), and buttocks (N 2). The mean preoperative mass volume was 305.5 cm3 (range: 10.2 cm3 - 1745.8 cm3). The mean duration of follow-up was 2.8 years (range: 8 months to 5.6 years). One patient experienced recurrence (5.9%). One patient had a retracted skin scarring in the gluteal area. Conclusion: Marginal surgical resection of lipoblastomas located in the back or extremities showed a low recurrence rate at 2.8 years of follow-up and minimal complications. Key words: Lipoblastoma; lipoblastomatosis; children; marginal resection.

Level of Evidence: IV

 

Introducción

El lipoblastoma es una lesión benigna de células grasas inmaduras (originada de la grasa blanca embrionaria), compuesta por varios estados de adipocitos, que afecta casi exclusivamente a la población pediátrica. Este raro tumor que ocurre en la infancia y la niñez, comprende menos del 1% de las neoplasias pediátricas; aparece típicamente antes de los 3 años de edad, pero se puede manifestar hasta en la adolescencia. Menos del 10% de todos los tumores pediátricos de partes blandas son adiposos y solo el 5-30% de ellos representa los lipoblastomas. Suele ser más común en el sexo masculino,1-3 y, a menudo, se manifiesta como una masa lobulada de partes blandas asintomática y puede presentarse como un tumor localizado (lipoblastoma) o difuso (lipoblastomatosis).

Aunque es una lesión benigna, el manejo puede plantear mucha dificultad, debido a sus extensiones en diferentes planos faciales, especialmente en la variedad lipoblastomatosis. El tratamiento de elección es la extirpación quirúrgica completa.

A causa de su rareza, en su mayoría, se han publicado solo reportes de casos. El objetivo de este estudio fue determinar la tasa de recurrencia local y las complicaciones después de la resección marginal en lesiones del dorso y las extremidades.

 

Materiales y Métodos

Se realizó un estudio de cohorte retrospectivo multicéntrico con revisión de todos los datos clínico-quirúrgicos y de imágenes de pacientes pediátricos (entre 0 y 16 años) con diagnóstico de lipoblastoma confirmado por histología, entre enero de 2008 y diciembre de 2018, en cuatro instituciones hospitalarias terciarias de dos países (España y Argentina). El período de seguimiento se definió por la fecha de la cirugía hasta el último control clínico. Se evaluaron retrospectivamente las siguientes variables: datos demográficos, motivo de consulta, método diagnóstico, tamaño y volumen aproximado de la lesión, tipo de biopsia, diagnóstico anatomopatológico, estadificación, tipo de tratamiento quirúrgico, complicaciones, recurrencia, requerimiento de procedimientos adicionales y trastornos funcionales o secuelas. El volumen de la lesión se calculó en los estudios por imágenes preoperatorios asimilando la masa, en cada caso, a un cuerpo geométrico determinado (cilindro, esfera, etc.), midiendo los diámetros, los radios, las longitudes correspondientes en las imágenes y obteniendo luego por formulación matemática el volumen correspondiente; dicho volumen fue comparado con el de la pieza extraída.

Los datos de las diferentes variables se recolectaron en una planilla Excel. El análisis estadístico fue descriptivo con medias para variables continuas, como la edad, y porcentajes para variables categóricas, como el sexo. Se contrastaron los hallazgos con los datos surgidos de la revisión bibliográfica de la enfermedad.

 

Resultados

Se evaluó a 17 pacientes (11 varones [65%] y 6 niñas) con lipoblastomas localizados en el miembro inferior (n = 15) y el tronco (n = 2). La edad promedio era de 3 años y 2 meses (rango: de 11 meses a 10 años y 2 meses). Casi dos tercios de los pacientes (59%) habían sido derivados de otros hospitales subsidiarios de los Centros del estudio. La localización topográfica se detalla en la Figura 1.

Los motivos de consulta fueron: tumoración (82%), asimetría de miembros (12%), entendiéndose como la diferencia de volumen entre ambos miembros con tumor o sin tumor, y ambos cuadros (6%).

Dieciséis de los 17 pacientes fueron estudiados con imágenes de resonancia magnética (RM); 16, con ecografía de partes blandas y seis también con radiografías convencionales. El volumen promedio de la masa tumoral fue de 305,52 cm3 (rango: 10,2-1745,8). En la mayoría de los casos, la biopsia fue a cielo abierto (Figura 2).

El estudio anatomopatológico reveló 15 lipoblastomas de variedad localizada y dos, de variedad difusa (lipoblastoma difuso/lipoblastomatosis).

Un solo paciente (al que se le había tomado una biopsia en otro Centro) había sido operado en otro Centro. Los restantes 16 habían sido tratados íntegramente desde el inicio en los Centros que se incluyeron en este estudio.

Todos fueron sometidos a extirpación quirúrgica intracompartimental con resección de tipo marginal. A nueve se les aplicó un vendaje elástico compresivo en el posoperatorio, seis no tuvieron ninguna indicación especial y dos estuvieron en reposo relativo, como promedio, tres semanas.

El seguimiento promedio posoperatorio fue de 2 años y 10 meses (rango: de 8 meses a 5 años y medio), pero 12 de los 17 habían alcanzado o superado los dos años de seguimiento. La edad promedio en el seguimiento fue de 6 años y 5 meses (rango: de 1 año y 10 meses a 12 años y 5 meses). En el momento del corte del estudio, todos habían sido evaluados clínicamente; 16 además con ecografía de partes blandas y uno con RM.

 

 

 

 

 

 

Un solo paciente (caso 8) sufrió una recidiva parcial a los 5 años y medio de seguimiento, lo que representó el 5,9% de la serie. Al cierre del estudio, se encuentra estable y sin progresión. No se observaron trastornos funcionales o secuelas, salvo en un paciente con una herida deprimida y retráctil en la zona glútea.

 

Discusión

El lipoblastoma es un tumor benigno compuesto por adipocitos en diferentes estadios de maduración, inmersos en un estroma mixoide y separados por tabiques conectivos de diferente espesor. El término fue acuñado por Jaffe, en 1926.4 Por lo general, son tumores asintomáticos, superficiales y localizados en el tronco y las extremidades, aunque también son posibles muchas otras localizaciones.5,6 En 15 de nuestros pacientes, el tumor estaba localizado en los miembros inferiores, en ocho de ellos afectaba el muslo, cifra muy similar a la de los casos descritos en la bibliografía.3 Los casos cercanos a la raíz del muslo o a la zona inguinocrural o perineal tampoco son infrecuentes (Figura 3),7-11 y se ha comunicado la localización en el pie.1

 

 

 

Aparece, con mayor frecuencia, en la infancia y la niñez, un 75-90% de los casos correspondía a <3 años.5 La edad promedio de nuestra serie coincide con este dato (3 años y 2 meses), y 11 de los 17 eran <4 años como en otras series.7,12 Asimismo, en dichas series, suele predominar en el sexo masculino, tal como ocurrió en nuestro estudio (65% de varones).

Como se trata de un cuadro de crecimiento lento, casi siempre el motivo de consulta es la tumoración, la asimetría comparativa de la región o ambos signos (Tabla, Figura 3).

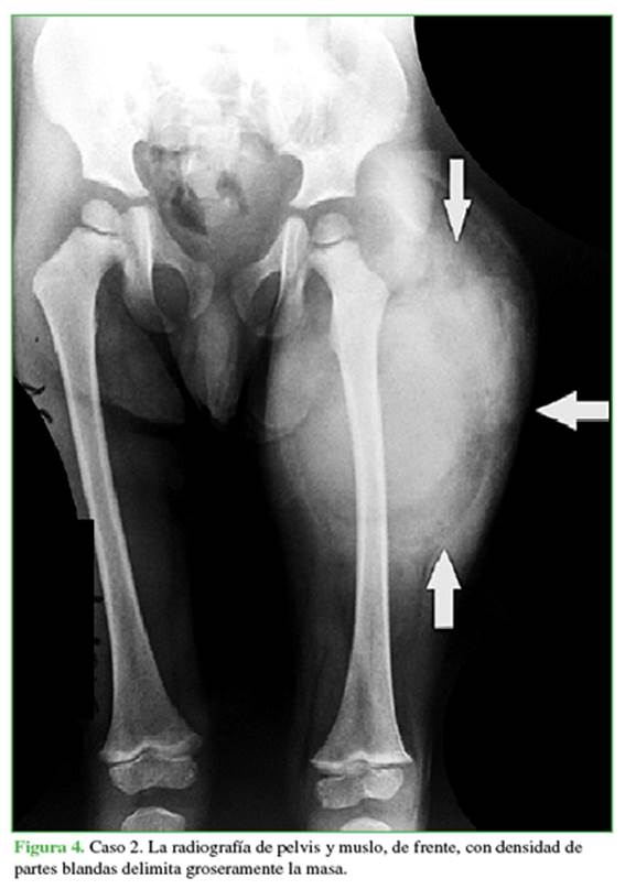
Cuando acude un paciente con estas características, habitualmente se solicitan estudios por imágenes. Las radiografías simples con densidad de partes blandas no son de gran utilidad, salvo para delimitar groseramente la masa (Figura 4).

 

 

 

Los estudios ecográficos suelen ser la primera línea de investigación por su disponibilidad y porque no requieren sedación ni anestesia:13,14 en 16 de nuestros pacientes fue el primer estudio. En contrapartida, la RM distingue fácilmente los componentes adiposos del lipoblastoma, así como los componentes quísticos y la vascularidad, aproximando mucho el diagnóstico;14 en esta serie, también 16 pacientes fueron estudiados con RM (Figura 5).

 

 

 

Si bien es difícil diferenciar entre lipoblastoma y liposarcoma mixoide por RM, dada la extrema rareza de este último cuadro en niños <10 años, visualizar una lesión lipomatosa con componentes no adiposos en un niño pequeño sugiere mucho más un lipoblastoma que una lesión maligna.13,15

La biopsia para el estudio anatomopatológico puede ser de diferentes tipos: por incisión, por escisión, por punción con aguja fina o por punción con agujas Tru-Cut. La mayoría de nuestros pacientes fueron sometidos a una biopsia a cielo abierto (por incisión o escisión) (Tabla).

Sin embargo, las biopsias por punción pueden servir como una herramienta útil en el diagnóstico preoperatorio del lipoblastoma16,17 y pueden realizarse con anestesia mínima. Para los patólogos es más dificultoso identificar y clasificar, de manera segura, las lesiones de partes blandas por el material obtenido en una biopsia por punción (especialmente en una punción con aguja fina), pero esto se puede realizar con bastante seguridad.17

La edad de presentación, el examen histopatológico y los marcadores cromosómicos son los tres factores que ayudan a llegar al diagnóstico patológico final.

Desde el punto de vista histopatológico, el lipoblastoma es una neoplasia celular de arquitectura lobular, compuesta por adipocitos inmaduros (lipoblastos) que muestran diferentes grados de diferenciación y maduración desde los verdaderos lipoblastos hasta adipocitos maduros, células mesenquimáticas primitivas, matriz mixoide, con tabiques fibrosos relativamente bien definidos, una fina red vascular y una seudocápsula periférica.3,9,18,19 Las características mitosis anormales del liposarcoma no se observan en el lipoblastoma.3

Se los clasifica histológicamente en: clásico, mixoide, tipo lipoma y tipo hibernoma.5-7,12 En nuestra serie, todos fueron del tipo clásico, excepto tres que fueron tipo lipoma (Tabla).

 

 

 

Ocasionalmente se describen una heterogeneidad de apariencia y cierta coincidencia histológica con otros tumores lipogénicos; en estos casos, la microscopia no puede diferenciarlos de los tumores adiposos malignos, como el liposarcoma mixoide, el liposarcoma de células redondas y el liposarcoma bien diferenciado.20 Cuando la microscopia no es de ayuda, se recurre a la integración de la genética, la inmunohistoquímica, la biología molecular y la anatomía patológica.2,3,21,22 En nuestros 17 casos, los hallazgos histopatológicos característicos, asociados a la edad y las imágenes, fueron suficientes para establecer el diagnóstico de certeza; no se requirieron, por tanto, estudios inmunohistoquímicos ni moleculares.

En términos generales, se puede decir, de manera más adecuada, que se presentan en dos formas clínicas: los tumores circunscriptos, subcutáneos, de localización preferencial en las extremidades (70%), y la forma infiltrativa y difusa de localización más bien profunda con mayor tendencia a la recurrencia y márgenes no tan bien delimitados, denominada lipoblastomatosis (30%).5,23

La última edición de la clasificación de tumores de partes blandas de la Organización Mundial de la Salud divide a estas lesiones en: benignas, intermedias (agresivas localmente), intermedias (que, rara vez, hacen metástasis) y malignas,5 y en general los lipoblastomas son incluidos entre los benignos.13-15 En dicha publicación se explicita que la estadificación no es clínicamente relevante, pero también se reconoce el carácter recidivante e infiltrativo de muchas de sus formas, y no existen pautas que puedan hacer una distinción pronóstica en este sentido.5 Sería útil, por tanto, el diseño de algún sistema de estadificación que permita brindar un pronóstico de las posibilidades de recidivas posquirúrgicas.

El diagnóstico diferencial debe considerar otras lesiones benignas (como lipomas en sus diferentes variedades) y lesiones malignas (como los distintos tipos de liposarcomas, rabdomiosarcoma y el tumor desmoide).5 La edad no es un factor absoluto en estos diagnósticos diferenciales, pero sí es muy útil, dado que, por ejemplo, los liposarcomas son muy raros en los niños pequeños.5

El tratamiento de todos nuestros pacientes fue el mismo: la extirpación completa por resección intracompartimental, con un nivel “marginal”, procedimiento generalmente aceptado (Figura 6).7,11,18,19 A pesar del excelente pronóstico de dicho tratamiento, la tasa de recidiva es del 12-25%,10,19 puede llegar hasta el 33-46%.2 Esta alta tasa de recurrencia se asocia, más a menudo, con la variedad infiltrativa o la lipoblastomatosis o con resecciones incompletas.19,20,24 Considerando el seguimiento promedio de casi tres años de nuestra serie y que un gran porcentaje de los pacientes superaron los dos años, el 5,9% de recidiva en este estudio parece bajo a pesar de no completar los cinco años de seguimiento.

 

 

 

Este estudio tiene algunas limitaciones evidentes: es retrospectivo, los métodos de diagnóstico interinstitucionales fueron diferentes y posee un análisis estadístico muy básico, con poco poder estadístico. Sin embargo, al ser multicéntrico, estudiar solo dos localizaciones (miembros y dorso), y con una cantidad importante para una patología poco prevalente, se pueden efectuar disquisiciones válidas.

Así, hasta el final del estudio, solo un paciente (5,9%) tuvo una recidiva parcial que, a los 5 años y medio de la cirugía, se mantiene estable: de manera llamativa era uno de los casos localizados en el tronco y no en los miembros (Tabla, caso 8). No se pueden extraer conclusiones de un solo caso pero, considerando los factores anatómicos particulares de la región, se podría plantear la hipótesis de que dicha recidiva esté relacionada con las dificultades técnicas mayores de realizar una resección marginal completa en la musculatura dorsal.

La alta tasa de recurrencia local hace que el seguimiento deba ser estricto durante varios años,1,7 hasta 6 u 8 años.2,3,5,9,10,19,24 Ahora bien, el tiempo medio de seguimiento de esta serie fue de 2 años y 10 meses (rango: de 8 meses a 5 años y medio), y aunque este no es suficiente para descartar una recurrencia futura, 12 de los 17 habían superado los dos años de seguimiento.

Aunque algunos autores recomienden una resección amplia local especialmente para la forma difusa, dada la benignidad de la patología y aún con una alta tasa de recurrencia se coincide con otros autores3,19,20,25 en que no es recomendable una cirugía radical mutilante. Además, en esta serie, tampoco hubo complicaciones posoperatorias inmediatas ni alejadas con la ablación marginal (Figura 7); solo un paciente presentó una depresión con umbilicación de la cicatriz quirúrgica. Esto aboga a favor de la resección marginal en este tipo de lesión.

 

 

 

 

Conclusiones

La resección marginal completa de un lipoblastoma que aparece en las extremidades y el tronco de neonatos y niños pequeños como una masa indolora y de crecimiento progresivo, ofrece buenas tasas de éxito con mínimas complicaciones. Puede haber recidiva en dichas localizaciones, aunque la tasa puede ser más baja que la reportada previamente y, en general, no suele comprometer el resultado final.

 

Bibliografía

 

1.     Gilbert TJ, Goswitz JJ, Teynor JT, Griffiths  HJ. Lipoblastoma of the foot. Skeletal Radiol 1996;25(3):283-6. https://doi.org/10.1007/s002560050081

2.   Coffin  CM, Lowichik A, Putnam A. Lipoblastoma (LPB): A clinicopathologic and immunohistochemical. Analysis

      of 59 Cases. Am J Surg Pathol 2009;33(11):1705-12. https://doi.org/10.1097/PAS.0b013e3181b76462

3.     Akhtar T, Alladi A, Ahmed SM, Siddappa OS. Giant lipoblastoma of the thigh: A rare soft tissue tumor in an infant. J Can Res Ther 2012;8:1578. https://doi.org/10.4103/0973-1482.95202

4.     Jaffe RH. Recurrent lipomatous tumors of the groin: liposarcoma and lipoma pseudomyxomatodes. Arch Pathol 1926;1:381-7.

5.     WHO Classification of Tumours Editorial Board. Soft Tissue and Bone Tumours. 5th ed., vol. 3. WHO Classification of Tumours Series, International Agency for Research on Cancer. Disponible en: https://publications.iarc.fr/588

6.     Jung SM, Chang PY, Luo CC, Huang CS, Lai JY, Hsueh C. Lipoblastoma/lipoblastomatosis: a clinicopathologic study of 16 cases in Taiwan. Pediatr Surg Int 2005;21(10):809-12. https://doi.org/10.1007/s00383-005-1502-x

7.     Collins M, Chatten J. Lipoblastoma/lipoblastomatosis: A clinicopathologic study of 25 tumors. Am J Surg Pathol 1997;21(10):1131-7. https://doi.org/10.1097/00000478-199710000-00002

8.     Kucera A, Šnajdauf J, Vyhnánek M, Morávek J, Kodet R, Stejskalová E, et al. Lipoblastoma in children: an analysis of 5 cases. Acta Chir Belg 2008;108(5):580-2. https://doi.org/10.1080/00015458.2008.11680289

9.     Nam SH, Lim YJ, Kim YM. Inguinal lipoblastoma mimicking recurrent inguinal hernia. J Korean Assoc Pediatr Surg 2014;20(2):5861. https://doi.org/10.13029/jkaps.2014.20.2.58.10

10.  Armenise T, Gentile O, Orofino A, Leggio S, Lanzillotto PM, Paradies G, et al. Lipoblastoma in infant: Our experience. J Pediatr Surg Case Rep 2015;3(2):63-4. https://doi.org/10.1016/j.epsc.2014.12.001

11.  Susam-Sen H, Yalcin B, Kutluk T, Tanyel FC, Haliloglu M, Akyuz C, et al. Lipoblastoma in children: Review of 12 cases. Pediatr Int 2017;59(5):545-50. https://doi.org/10.1111/ped.13239

12.  Abdul-Ghafar J, Ahmad Z, Tariq MU, Kayani N, Uddin N. Lipoblastoma: a clinicopathologic review of 23 cases from a major tertiary care center plus detailed review of literature. BMC Res Notes 2018;11(1):1-6. https://doi.org/10.1186/s13104-018-3153-8

13.  Shek KW, Cheng SS, Tse KS, Lai KC, Chan MK. Lipoblastoma: different features on magnetic resonance imaging. Hong Kong J Radiol 2015;18:302-6. https://doi.org/10.12809/hkjr1515332

14.  Navarro OM. Pearls and pitfalls in the imaging of soft-tissue masses in children. Semin Ultrasound CT and MRI 2020;41(5):498-512. https://doi.org/10.1053/j.sult.2020.05.014

15.  Moholkar S, Sebire NJ, Roebuck DJ. Radiological–pathological correlation in lipoblastoma and lipoblastomatosis. Pediatr Radiol 2006;36(8):851-6. https://doi.org/10.1007/s00247-006-0175-5

16.  Ferreira J, Esteves G, Fonseca R, Martins C, André S, Lemos MM. Fineneedle aspiration of lipoblastoma: Cytological, molecular, and clinical features. Cancer Cytopathol 2017;125(12):934-9. https://doi.org/10.1002/cncy.21916

17.  Agrawal P, Srinivasan R, Rajwanshi A, Gupta N, Dey P, Samujh R, et al. Fine needle aspiration cytology of paediatric soft tissue tumours highlighting challenges in diagnosis of benign lesions and unusual malignant tumours. Cytopathology 2019;30(3):301-8. https://doi.org/10.1111/cyt.12685

18.  Kok KYY, Telisinghe PU. Lipoblastoma: clinical features, treatment, and outcome. World J Surg 2010;34(7):1517­ 22. https://doi.org/10.1007/s00268-010-0466-8

19.  Kerkeni Y, Sahnoun L, Ksia A, Hidouri S, Chahed J, Nouri A, et al. Lipoblastoma in childhood: About 10 cases. Afr J Paediatr Surg 2014;(11):32-4. https://doi.org/10.4103/0189-6725.129210

20.  Ghosh P, Das RN, Ghosh R, Chatterjee U, Datta C, Mishra PK. Lipoblastoma and lipoblastomatosis: A clinicopathological study of six cases. J Can Res Ther 2015;11(4):1040. https://doi.org/10.4103/0973-1482.176135

21.  Morerio C, Nozza P, Tassano E, Rosanda C, Granata C, Panarello C, et al. Differential diagnosis of lipoma-like lipoblastoma. Pediatr Blood Cancer 2009;52(1):132-4. https://doi.org/10.1002/pbc.21747

22.  Krishnan J, Hathiramani V, Hastak M, Redkar RG. Myxoid lipoblastoma. Indian Pediatr 2013;50(6):603-5. PMID: 23942405

23.  Chung EB, Enzinger FM. Benign lipoblastomatosis: an analysis of 35 cases. Cancer 1973;32(2):482-92. https://doi.org/10.1002/1097-0142(197308)32:23.0.co;2-e

24.  Dao D, Najor AJ, Sun PY, Farrokhyar F, Moir CR, Ishitani MB. Follow-up outcomes of pediatric patients who underwent surgical resection for lipoblastomas or lipoblastomatosis: a single-institution experience with a systematic review and meta-analysis. Pediatr Surg Int 2020;36(3):341-55. https://doi.org/10.1007/s00383-019-04612-z

25.  Shen LY, Amin SM, Chamlin SL, Mancini AJ. Varied presentations of pediatric lipoblastoma: case series and review of the literature. Pediatr Dermatol 2017;34(2):180-6. https://doi.org/10.1111/pde.13071

 

 

ORCID de J. J. Masquijo: https://orcid.org/0000-0001-9018-0612

ORCID de S. Fiscina: https://orcid.org/0000-0003-2655-4063

ORCID de M. Salom Taverner: https://orcid.org/0000-0002-8626-2401

ORCID de S. F. Innocenti: https://orcid.org/0000-0001-5650-1056

 

Recibido el 22-4-2021. Aceptado luego de la evaluación el 6-2-2022 •  Dr. Patricio Manzone •  manzonepatricio@hotmail.com https://orcid.org/0000-0002-3987-267X

 

Cómo citar este artículo: Manzone P, Masquijo JJ, Salom Taverner M, Fiscina S, Innocenti SF. Lipoblastoma de extremidades y tronco: recurrencia local y complicaciones después de la resección marginal. Estudio multicéntrico. Rev Asoc Argent Ortop Traumatol 2022;87(3):349-359. https://doi.org/10.15417/issn.1852-7434.2022.87.3.1358

 

 

Información del artículo

Identificación: https://doi.org/10.15417/issn.1852-7434.2022.87.3.1358

Fecha de publicación: Junio, 2022

Conflicto de intereses: Los autores no declaran conflictos de intereses.

Copyright: © 2022, Revista de la Asociación Argentina de Ortopedia y Traumatología.

Licencia: Este artículo está bajo una Licencia Creative Commons Atribución-No Comercial-Compartir Obras Derivadas Igual 4.0 Internacional. (CC-BY-NC-SA 4.0)