Fe de Erratas

 

 

En el artículo Instrucción Ortopédica de Posgrado - Imágenes, Resolución del caso, publicado en el volumen 86, número 1, 2021, páginas 130-132, las imágenes correctas de la Figura 6 son las siguientes.

 


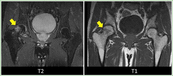
Figura 6. Resonancia magnética en secuencias T2 y T1, corte coronal. El sector subcondral periférico de la cabeza femoral derecha muestra alta señal en secuencia T2, sugestivo de edema óseo compatible con una fractura por insuficiencia en una paciente con osteopenia.

 

 

 

 

 

 

 

 

 

 

 

 

 

 

 

 

 

 

 

 

 

 

 

 

 

 

 

 

 

 

 

 

 

 

                                                                                                                                                                                Rev Asoc Argent Ortop Traumatol 2021; 86 (2): 285 ISSN 1852-7434 (en línea)          285