INVESTIGACIÓN CLÍNICA

 

Resultados funcionales del tratamiento de coaliciones calcáneo-escafoideas con resección e interposición de grasa autóloga: Experiencia de dos centros

 

J. Javier Masquijo,* Victoria Allende,* Julieta Porta Alesandria,* María Belén López Villagra,* Miguel J. M. Paz**

*Departamento de Ortopedia y Traumatología Infantil, Sanatorio Allende, Córdoba, Argentina

**Departamento de Ortopedia Infantil, Hospital Universitario Austral, Buenos Aires, Argentina

 

Resumen

Objetivo: Evaluar los resultados clínico-radiográficos y las complicaciones en pacientes <18 años con coaliciones calcáneo-escafoideas (CCE) sintomáticas tratados con resección e interposición de grasa autóloga de la región glútea. Materiales y Métodos: Se analizó retrospectivamente a los pacientes con CCE sintomáticas operados con dicha técnica, en dos instituciones, y un seguimiento mínimo de 2 años. Se analizaron los datos demográficos y las complicaciones posoperatorias. Los resultados funcionales fueron evaluados con la escala AOFAS y la EAV. Se determinó la presencia de recidiva en la radiografía oblicua más reciente (defecto remanente <50%). Resultados: Entre enero de 2008 y enero de 2018, se operó a 52 pacientes (65 pies) con CCE. Cuarenta (48 pies) cumplían con los criterios de inclusión. La edad promedio al operarse era de 11.9 años. El seguimiento promedio fue de 43 meses. El puntaje AOFAS promedio mejoró significativamente de 58,9 ± 8,2 precirugía a 92,9 ± 7,8 después (p <0,001). El puntaje promedio preoperatorio de la EAV era de 6,9 ± 2,5 y de 0,49 ± 1,1 (p <0,001) en el último seguimiento. El 87,5% no tenía síntomas en el último control y 5 pacientes (6 pies) sufrían molestias ocasionales con la actividad física intensa. Hubo 5 complicaciones posoperatorias: dehiscencia de la herida e infección superficial. Dos pies (4,2%) presentaron recidiva radiográfica de la coalición aunque ningún paciente requirió revisión. Conclusión: La resección de CCE y la interposición de grasa autóloga permiten aliviar el dolor y mejorar la función con una baja tasa de complicaciones en la población pediátrico-adolescente.

Palabras clave: Pie; adolescentes; coalición calcáneo-escafoidea; resección.

Nivel de Evidencia: IV

 

Patient-reported Outcomes of Calcaneonavicular Coalitions Treated With Surgical Excision and Fat Graft Interposition: A Two-Center Experience

 

Abstract

Background: The purpose of the present study was to evaluate clinical/radiographic outcomes, and complications for calcaneonavicular coalition (CNC) excision and fat graft interposition in patients under the age of 18. Materials and Methods: A retrospective review of all pediatric patients surgically treated with symptomatic CNC at two institutions was performed. Demographic data and postoperative complications were recorded. Functional results were evaluated with AOFAS Ankle-hindfoot Scale and Visual analog scale (VAS). Radiographic assessment of coalition recurrence was performed on the most recent oblique radiograph (resected gap remaining <50%). Results: Between January 2008 and January 2018, 52 patients (65 feet) with CNC were surgically treated. Forty patients (48 feet) met the inclusion criteria and were available for evaluation. The average age at surgery was 11.9 years old (range 9-17 years old). The average follow-up was 43 months. The average AOFAS score improved from 58.9±8 points preoperative to 92.9±7.8 points postoperatively (p<0.001). Preoperative pain scores averaged 6.9 ± 2.5 points. At the last follow-up, the VAS score was 0.49 ±1.1 points (p<0.001). Most patients (87.5%) were painless at the last follow-up and five patients (6 feet) had occasional pain with strenuous activities. Five complications were recorded: wound dehiscence (N=3) and superficial infection (N=2). Two feet (4.2%) had coalition regrowth on the postoperative radiographs without requiring further surgery. Conclusion: Calcaneonavicular coalition excision with fat graft interposition can improve function and relieve pain with a low rate of complications in the pediatric-adolescent population.

Keywords: Foot, adolescent, calcaneonavicular, coalition resection.

Level of Evidence: IV

 

Introducción

Las coaliciones calcá́neo-escafoideas (CCE) son anomalías congénitas en las que existe una conexió́n fibrosa, cartilaginosa u ó́sea entre el calcá́neo y el escafoides.1 Se cree que esta condició́n se debe a una alteració́n en la diferenciació́n y segmentació́n, lo que resulta en una falla en la formació́n normal de esta articulació́n.2 La incidencia estimada varía del 1% al 13%, esto la convierte en una de las patologías de pie y tobillo má́s comunes en niños.3,4 La conexió́n anormal entre el escafoides tarsiano y el calcá́neo puede causar una importante morbilidad. El paciente típico con una CCE sintomá́tica es un adolescente con dolor persistente, limitació́n de la movilidad y esguinces o fracturas repetidas de tobillo o pie.5 Los síntomas persistentes, pese a las medidas no quirúrgicas pueden llevar a requerir un tratamiento quirúrgico. Las CCE suelen tratarse mediante resecció́n e interposició́n de tejidos blandos para evitar las recurrencias. Jayakumar y Cowell6 fueron los primeros en publicar el uso del músculo extensor corto de los dedos como interposició́n. Otros autores han propuesto alternativamente el uso de grasa autó́loga del pliegue glúteo o la regió́n abdominal, cera ó́sea o cola de fibrina.7-9 Sigue siendo controvertido qué material de interposició́n puede proporcionar el mejor resultado funcional y la tasa de recurrencia má́s baja.

Los autores de este estudio han utilizado desde 2008 una técnica en la que se extreman los detalles en el momento de la resecció́n y se emplea grasa libre de la regió́n glútea como tejido de interposició́n. El objetivo de este estudio fue evaluar los resultados clínico-radiográ́ficos y las complicaciones en pacientes <18 años con CCE sintomá́ticos tratados con este procedimiento y un seguimiento mínimo de dos años.

 

Materiales y Métodos

Este estudio fue aprobado por el comité de ética de ambas instituciones participantes. Se analizaron retrospectivamente todos los pacientes con diagnó́stico de CCE tratados con la misma técnica quirúrgica, en un período de 10 años (de enero de 2008 a enero de 2018). Todas las cirugías se llevaron a cabo en dos centros de referencia y estuvieron a cargo de cuatro cirujanos especialistas en Ortopedia Infantil. Se excluyó́ del aná́lisis aquellos pacientes con barras asociadas, deformidad severa que requiera realineació́n en el mismo tiempo quirúrgico, cirugías de revisió́n y un seguimiento <24 meses.

 

Técnica quirúrgica

Previa anestesia general y profilaxis antibió́tica en la inducció́n anestésica, se coloca un manguito hemostá́tico en el muslo y se toman medidas de antisepsia. Se ubica al paciente en decúbito dorsal con un realce en la regió́n lateral del glúteo. Se realiza un abordaje lateral oblicuo de 3 a 4 cm centrado en la coalició́n. Se incide sobre la aponeurosis del músculo pedio. Se lo desinserta cuidadosamente de su origen proximal con electrobisturí y se lo jalona con Vicryl 0. Se identifican la coalició́n clínicamente y los má́rgenes de resecció́n mediante radioscopia. Como guía se utiliza la articulació́n calcá́neo-cuboidea para el límite proximal y la articulació́n entre el cuboides y la cuña lateral para el límite distal. La resecció́n se realiza con escoplos de 10 mm para iniciar el corte y, luego, de 5 mm en la zona plantar de la barra para evitar lesionar el cuboides o la cabeza del astrá́galo.5 Si persiste una porció́n de la barra en la zona plantar, se pueden utilizar pinzas tipo Kerrison. Se reseca completamente el periostio en la regió́n plantar de la coalició́n. Se confirma clínica y radiográ́ficamente la resecció́n completa de la fusió́n (Figuras 1 y 2).

 

 

 

A continuació́n, se procede a tomar el injerto de grasa de la regió́n glútea. En nueve casos, se tomó́ de la regió́n má́s posterior del glúteo. Como dos pacientes presentaron dehiscencia, se decidió́ modificar la incisió́n a una posició́n posteromedial. Para la toma de esta localizació́n se flexiona y abduce la cadera homolateral. La grasa se prepara con suturas Vicryl 0, se introduce en el defecto y se fija en la planta del pie con un botó́n (pull-out). Se reposiciona el músculo pedio con puntos separados de Vicryl 1 fijá́ndolo al retiná́culo extensor. Luego se cierra el tejido celular subcutá́neo con Vicryl 2.0 y la piel, con Monocryl 4.0. Se coloca un vendaje estéril y una férula de yeso por debajo de la rodilla sin apoyo por dos semanas. Tras este período, se retiran la férula y el botó́n plantar. Se indican apoyo progresivo y fisioterapia para mejorar la movilidad, la fuerza y reeducar la marcha. Habitualmente se permite el retorno progresivo a las actividades deportivas a los tres meses.

 

Evaluación de los pacientes

La informació́n analizada incluyó́ datos demográ́ficos (edad, sexo, lado), tipo de barra,10 síntomas que derivaron en la consulta, tratamiento previo y complicaciones posoperatorias (infecció́n, dehiscencia de la herida, recurrencia, etc.). Las CCE se clasificaron de acuerdo con Upasani10 en cuatro tipos: frustra, fibrosa, cartilaginosa, ó́sea. Antes de la cirugía, se tomaron radiografías de pie, de frente, perfil y oblicuas, y se realizó́ una tomografía computarizada (TC) para descartar coaliciones asociadas y evaluar la alineació́n del pie.

Los resultados funcionales fueron evaluados con la Ankle-Hindfoot Scale de la AOFAS (American Orthopaedics Foot and Ankle Society)11 y la escala analó́gica visual (EAV)12,13 mediante una encuesta telefó́nica. La Ankle-Hindfoot Scale analiza pará́metros subjetivos y objetivos, con valores de 0 a 100 puntos, considerando resultados ó́ptimos directamente proporcionales a la cantidad de puntos. La EAV es una herramienta de medida unidimensional de cá́lculo de la intensidad del dolor, en la cual la respuesta corresponde a un nivel de concordancia mediante la definició́n de una posició́n en una línea continua comprendida entre dos puntos (de 0 a 10). Se definió́ como recidiva radiográ́fica de la barra cuando el margen de resecció́n intraoperatorio disminuyó́ a menos del 50% en la última radiografía oblicua.7 Se consideró́ que un paciente tenía recidiva sintomá́tica si presentaban las características antes mencionadas, pero con dolor que limitaba sus actividades habituales.

 

Análisis estadístico

Para la descripció́n de las variables cuantitativas se utilizó́ estadística descriptiva (promedio y desviació́n está́ndar) y, para las variables cualitativas, se utilizaron las frecuencias absolutas. Se evaluaron las diferencias preoperatorias y posoperatorias de la escala funcional de la AOFAS con la prueba t de Student pareada. El valor alfa se estableció́ en 0,05. Todos los aná́lisis estadísticos se realizaron con el programa SPSS v.19.0 (IBM Corp., Armonk, NY, EE. UU.).

 

Resultados

Entre enero de 2008 y enero de 2018, se operó́ a 52 pacientes (65 pies) con CCE. Cuarenta (48 pies) cumplían con los criterios de inclusió́n y pudieron ser localizados para la evaluació́n. La edad promedio en el momento de la cirugía era de 11.9 años (rango 9-17). Las características demográ́ficas de los pacientes y los resultados según la Ankle-Hindfoot Scale y la EAV se describen en la Tabla.

 

 

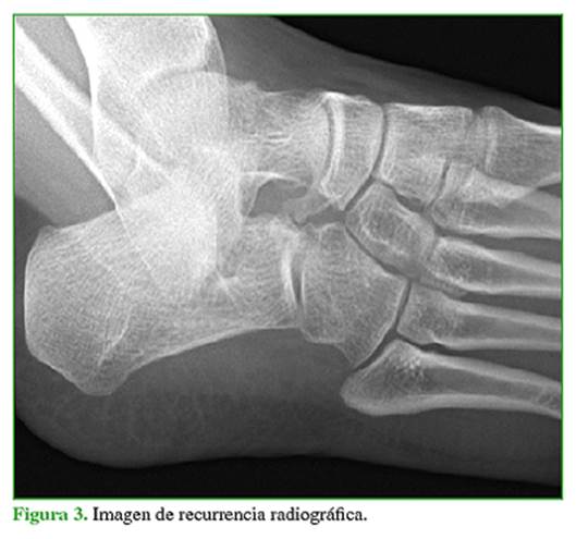
El 87,5% de los pacientes estaba completamente asintomá́tico en el último control. Seis pies (5 pacientes) tenían molestias ocasionales que no interferían con las actividades de la vida diaria. Dos pies (4,2%) tenían recidiva radiográ́fica de la coalició́n (Figura 3). Uno de estos pacientes presentó́ dolor, por lo que fue tratado con rehabilitació́n y se logró́ mejorar los síntomas. Ninguno de los dos pacientes requirió́ cirugía de revisió́n.

Hubo cinco complicaciones posoperatorias (10,4%). Tres pacientes sufrieron una dehiscencia de la herida: dos en la zona de toma de material de interposició́n (grasa) y uno en la cara lateral del pie. Una de ellas, localizada en el glúteo, fue tratada con desbridamiento y cierre secundario. Las otras dos dehiscencias fueron tratadas con curaciones planas. Se reportaron dos infecciones superficiales que se curaron con antibió́ticos por vía oral (cefalosporina de primera generació́n).

 

 

 

Discusión

La resecció́n quirúrgica de las CCE sintomá́ticas representa el patró́n de referencia de tratamiento.14,15 Dentro de las opciones, una de las má́s populares es la resecció́n a través de un abordaje dorsal e interposició́n de músculo pedio.6 Con esta técnica se han reportado resultados de buenos a excelentes, entre el 69% y el 88%.6,16-19 con tasas de reosificació́n que varían del 0% al 38%, según las definiciones utilizadas por los autores.16-19 Un estudio en cadá́veres refuta el uso del extensor corto de los dedos como material de interposició́n.7 Debido a restricciones anató́micas, el músculo extensor corto de los dedos no tendría la longitud y el volumen suficientes, y dejaría má́s de un tercio del defecto sin rellenar en la cara plantar de la resecció́n. Otra desventaja es que, en el músculo, residen células osteoprogenitoras20 y, como tal, puede no ser la mejor opció́n cuando el objetivo de la cirugía es reducir, al mínimo, el riesgo de recurrencia. Por otra parte, el uso del extensor corto de los dedos, en general, da como resultado una hendidura grande y poco atractiva desde el punto de vista estético en el seno del tarso.

Por esta razó́n, algunos autores5,7 recomiendan utilizar grasa autó́loga del pliegue glúteo o el abdomen. La grasa autó́loga libre se ha empleado como material de interposició́n en la resecció́n de arrestos fisarios, la sinostosis postraumá́ticas, las CCE y las coaliciones astrá́galo-calcá́neas.7,8,21-23 Tachdjian24 fue el primero en describir su aplicació́n en CCE. Si bien existen muy pocas series que describen los resultados con esta técnica,7,8 la tasa de reosificació́n sería aparentemente menor. Mubarak y cols.7 evaluaron a 55 pacientes (78 pies) tratados con resecció́n e interposició́n de grasa. El resultado fue excelente en 48 pacientes (87%), regular en cuatro (8%) y pobre en tres (5%). Si bien 10 pies presentaron reosificació́n radiográ́fica, solo tres de ellos (5%) causaban síntomas. Masquijo y cols.8 compararon los resultados funcionales y la tasa de reosificació́n en 56 pies tratados con resecció́n e interposició́n con cera para hueso (n = 18), grasa autó́loga (n = 23) y músculo pedio (n = 15). Los pacientes tratados con interposició́n de grasa tuvieron mejores resultados funcionales y una tasa significativamente menor de reosificació́n (p = 0,004). Si bien los pocos pacientes tratados con cera para hueso obtuvieron resultados comparables a aquellos con grasa autó́loga, la cera es un material sintético que puede producir reacciones de cuerpo extraño y dehiscencias de la herida; por lo tanto, debería usarse con precaució́n.25

Los resultados de la serie evaluada en este estudio son una confirmació́n de los ya reportados. La baja tasa de recurrencia (4,2%) tras un seguimiento mínimo de dos años permite afirmar que la grasa autó́loga de la zona glútea es un excelente material de interposició́n, ya que ocupa el defecto en su totalidad y tiene una mejor consistencia que la grasa obtenida localmente, evitando así la reosificació́n de la barra. Otra de las ventajas de utilizar grasa y reposicionar el músculo pedio a su inserció́n original es que evita la formació́n de una umbilicació́n (en la zona de resecció́n) y una prominencia ó́sea (porció́n anterior del calcá́neo) que suele molestar a los pacientes al utilizar calzado. En nuestra serie, se presentaron tres dehiscencias de la herida. Dos se localizaron en la zona de toma de injerto. En los primeros nueve pacientes de la serie, se tomó́ el injerto en el pliegue posterior del glúteo. Luego de la complicació́n mencionada, decidimos modificar la zona de toma de injerto utilizando el pliegue posterointerno del glúteo, porque es una zona de menor tensió́n de la piel, mejor cicatrizació́n y es má́s estética. Desde que introdujimos esta modificació́n, no hemos observado complicaciones como la descrita. La dehiscencia restante se produjo en la herida del pie. El abordaje lateral del pie tiene como desventaja que presenta poco tejido celular subcutá́neo, por lo que el cierre debe ser muy cuidadoso para evitar tal complicació́n.

Nuestro estudio presenta algunas limitaciones relacionadas con el diseño metodoló́gico y la recolecció́n retrospectiva de los datos. La escala AOFAS no ha sido validada en la població́n pediá́trica, aunque se ha utilizado en otros estudios similares.8,23 A pesar de estas limitaciones, consideramos que los resultados con un seguimiento mínimo de dos años son alentadores, ya que la mayoría de los pacientes no tiene síntomas y pudo retornar a sus actividades sin dificultades.

 

Conclusión

La resecció́n de CCE sintomá́ticas con la técnica de interposició́n de grasa libre de la regió́n glútea permite mejorar la funció́n y aliviar el dolor con una baja tasa de complicaciones.

 

 

Bibliografía

 

1.     Kernbach KJ. Tarsal coalitions: etiology, diagnosis, imaging, and stigmata. Clin Podiatr Med Surg 2010;27(1):105-17. https://doi.org/10.1016/j.cpm.2009.08.006

2.     Harris RI. Peroneal spastic flat foot (rigid valgus foot). J Bone Joint Surg Am 1965;47(8):1657-67. PMID: 5841035

3.     Stormont DM, Peterson HA. The relative incidence of tarsal coalition. Clin Orthop Relat Res 1983;(181):28-36. PMID: 6641062

4.     Masquijo JJ, Jarvis J. Associated talocalcaneal and calcaneonavicular coalitions in the same foot. J Pediatr Orthop B 2010;19(6):507-10. https://doi.org/10.1097/BPB.0b013e32833ce484

5.     Kothari A, Masquijo J. Surgical treatment of tarsal coalitions in children and adolescents. EFORT Open Rev 2020;5(2):80-89. https://doi.org/10.1302/2058-5241.5.180106

6.     Jayakumar S, Cowell HR. Rigid flatfoot. Clin Orthop Relat Res 1977;(122):77-84. PMID: 837623

7.     Mubarak SJ, Patel PN, Upasani VV, Moor MA, Wenger DR. Calcaneonavicular coalition: treatment by excision and fat graft. J Pediatr Orthop 2009;29(5):418-26. https://doi.org/10.1097/BPO.0b013e3181aa24c0

8.     Masquijo J, Allende V, Torres-Gomez A, Dobbs MB. Fat graft and bone wax interposition provides better functional outcomes and lower reossification rates than extensor digitorum brevis after calcaneonavicular coalition resection. J Pediatr Orthop 2017;37(7):e427-e431. https://doi.org/10.1097/BPO.0000000000001061

9.     Weatherall JM, Price AE. Fibrin glue as interposition graft for tarsal coalition. Am J Orthop (Belle Mead NJ) 2013;42(1):26-9. PMID: 23431536

10.  Upasani VV, Chambers RC, Mubarak SJ. Analysis of calcaneonavicular coalitions using multi-planar three-dimensional computed tomography. J Child Orthop 2008;2(4):301-7. https://doi.org/10.1007/s11832-008-0111-3

11.  Kitaoka HB, Alexander IJ, Adelaar RS, Nunley JA, Myerson MS, Sanders M. Clinical rating systems for the ankle-hindfoot, midfoot, hallux, and lesser toes. Foot Ankle Int 1994;15(7):349-53. https://doi.org/10.1177/107110079401500701

12.  Richter M. A new foot and ankle outcome score: Questionnaire based, subjective, Visual-Analogue-Scale, validated and computerized. J Foot Ankle Surg 2006;12(4):191-9. https://doi.org/10.1016/j.fas.2006.04.001

13.  McCormack HM, Horne DJ, Sheather S. Clinical applications of visual analogue scales: a critical review. Psychol Med 1988;18(4):1007-19. https://doi.org/10.1017/s0033291700009934

14.  Khoshbin A, Law PW, Caspi L, Wright JG. Long-term functional outcomes of resected tarsal coalitions. Foot Ankle Int 2013;34(10):1370-5. https://doi.org/10.1177/1071100713489122

15.  Mosier KM, Asher M. Tarsal coalitions and peroneal spastic flat foot. A review. J Bone Joint Surg Am 1984;66(7): 976-84. PMID: 6480656

16.  Gonzalez P, Kumar SJ. Calcaneonavicular coalition treated by resection and interposition of the extensor digitorum brevis muscle. J Bone Joint Surg Am 1990;72(1):71-7. PMID: 2104855

17.  Fuson S, Barrett M. Resectional arthroplasty: treatment for calcaneonavicular coalition. J Foot Ankle Surg 1998;37(1):11-5. https://doi.org/10.1016/s1067-2516(98)80005-7

18.  Alter SA, McCarthy BE, Mendicino S, DiStazio J. Calcaneonavicular bar resection: a retrospective study. J Foot Surg 1991;30(4):383-9. PMID: 1940041

19.  Moyes ST, Crawfurd EJ, Aichroth PM. The interposition of extensor digitorum brevis in the resection of calcaneonavicular bars. J Pediatr Orthop 1994;14(3):387-8. https://doi.org/10.1097/01241398-199405000-00024

20.  Levy MM, Joyner CJ, Virdi AS, Reed A, Triffitt JT, Simpson AH, et al. Osteoprogenitor cells of mature human skeletal muscle tissue: an in vitro study. Bone 2001;29(4):317-22. https://doi.org/10.1016/s8756-3282(01)00585-3

21.  Williamson RV, Staheli LT. Partial physeal growth arrest: treatment by bridge resection and fat interposition. J Pediatr Orthop 1990;10(6):769-76. PMID: 2250063

22.  Jupiter JB, Ring D. Operative treatment of post-traumatic proximal radioulnar synostosis. J Bone Joint Surg Am 1998;80(2):248-57. https://doi.org/10.2106/00004623-199802000-00012

23.  Masquijo JJ, Vazquez I, Allende V, Lanfranchi L, Torres-Gomez A, Dobbs MB. Surgical reconstruction for talocalcaneal coalitions with severe hindfoot valgus deformity. J Pediatr Orthop 2017;37(4):293-7. https://doi.org/10.1097/BPO.0000000000000642

24.  Tachdjian MO. The child’s foot. Philadelphia: WB Saunders; 1985:261-94.

25.  Lavigne M, Boddu Siva Rama KR, Doyon J, Vendittoli PA. Bone-wax granuloma after femoral neck osteoplasty. Can J Surg 2008;51(3):E58-60. PMID: 18682762

 

 

ORCID de V. Allende: https://orcid.org/0000-0003-4893-7276

ORCID de M. B. López Villagra: https://orcid.org/0000-0003-3460-4833

ORCID de J. Porta Alesandria: https://orcid.org/0000-0001-9662-0367

ORCID de M. J. M. Paz: https://orcid.org/0000-0002-7937-4421

 

Recibido el 10-9-2020. Aceptado luego de la evaluación el 12-11-2020 •  Dr. J. Javier Masquijo •  javimasquijo@yahoo.com.ar https://orcid.org/0000-0001-9018-0612

 

Cómo citar este artículo: Masquijo JJ, Allende V, Porta Alesandria J, López Villagra MB, Paz MJM. Resultados funcionales del tratamiento de coaliciones calcáneo-escafoideas con reseccion e interposicion de grasa autologa: Experiencia de dos centros. Rev Asoc Argent Ortop Traumatol 2021;86(3):342-348. https://doi.org/10.15417/issn.1852-7434.2021.86.3.1201

 

 

Información del artículo

Revista: Revista de la Asociación Argentina de Ortopedia y Traumatología

Sección: Investigación Clínica

DOI: https://doi.org/10.15417/issn.1852-7434.2021.86.3.1201

Fecha de publicación: Junio, 2021

Conflicto de intereses: Los autores no declaran conflictos de intereses.

Copyright: © 2021, Revista de la Asociación Argentina de Ortopedia y Traumatología.

Licencia: Este artículo está bajo una Licencia Creative Commons Atribución-No Comercial-Compartir Obras Derivadas Igual 4.0 Internacional. (CC-BY-NC-SA 4.0)