PRESENTACIÓN DE CASOS

 

Condroblastoma de astrágalo. Reporte de un caso y revisión de la bibliografía

 

Julieta Porta Alesandria, J. Javier Masquijo, Luis M. Vázquez Bestard, Ignacio J. Toledo

Departamento de Pierna, Tobillo y Pie, Sanatorio Allende, Córdoba, Argentina

 

RESUMEN

El condroblastoma es un tumor óseo benigno infrecuente que representa el 1-2% de todos los tumores óseos primarios. Como aproximadamente solo el 4% se localiza en el astrágalo, la bibliografía es escasa. Se presenta a un varón de 18 años con un condroblastoma localizado en el astrágalo derecho. El paciente tuvo una buena evolución, sin complicaciones a los 15 meses de la cirugía. Revisamos los casos ya publicados para analizar la forma de presentación y la evolución luego del tratamiento quirúrgico.

Palabras clave: Condroblastoma; astrágalo; cirugía.

Nivel de Evidencia: IV

 

Chondroblastoma of the Talus: Case Report and Literature Review

 

ABSTRACT

Chondroblastoma (CB) is a rare benign bone tumor that represents between 1% to 2% of all primary bone tumors. Because only abouy 4% of them are located in the talus, the literature is scarce. We present a case of an 18-year-old male patient who presents with a chondroblastoma located in the right talus. He had an uneventful recovery; with no complications at his last follow-up at 15 months. We also reviewed the published literature to discuss the diagnosis and treatment of chondroblastoma in the talus.

Key words: Chondroblastoma; talus; surgical treatment.

Level of Evidence: IV

 

INTRODUCCIÓN

El condroblastoma es un tumor óseo benigno infrecuente que representa el 1% de todos los tumores óseos primarios.1-4 El pico de incidencia ocurre en la segunda década de la vida, con una relación hombre/mujer que varía entre 5:1 y 2:1. Este tumor se presenta agresivo localmente y, en más del 80% de los casos, se localiza en huesos largos, como el fémur, la tibia o el húmero. El condroblastoma suele visualizarse como una imagen radiológica característica con radiolucidez excéntrica, un margen esclerótico bien definido y áreas de calcificación intralesionales. La mayoría de estas lesiones están confinadas a la epífisis o apófisis afectada, pero algunas pueden atravesar la fisis para involucrar también la metáfisis adyacente.5-7

El condroblastoma afecta, con frecuencia, a los huesos planos, los huesos tubulares cortos de la mano y raramente los huesos del pie.1-8 Si bien el astrágalo es la localización más frecuente en el pie, existen muy pocos casos publicados. Cuando aparece en esta localización, la imagen suele ser menos típica, lo que dificulta el diagnóstico. Comunicamos el caso de un paciente con condroblastoma localizado en el astrágalo derecho. Revisamos los casos publicados para analizar la forma de presentación y la evolución luego del tratamiento quirúrgico. Se informó al paciente y a sus padres que los datos relacionados con el caso se enviarían para su publicación y dieron su consentimiento.

 

CASO CLÍNICO

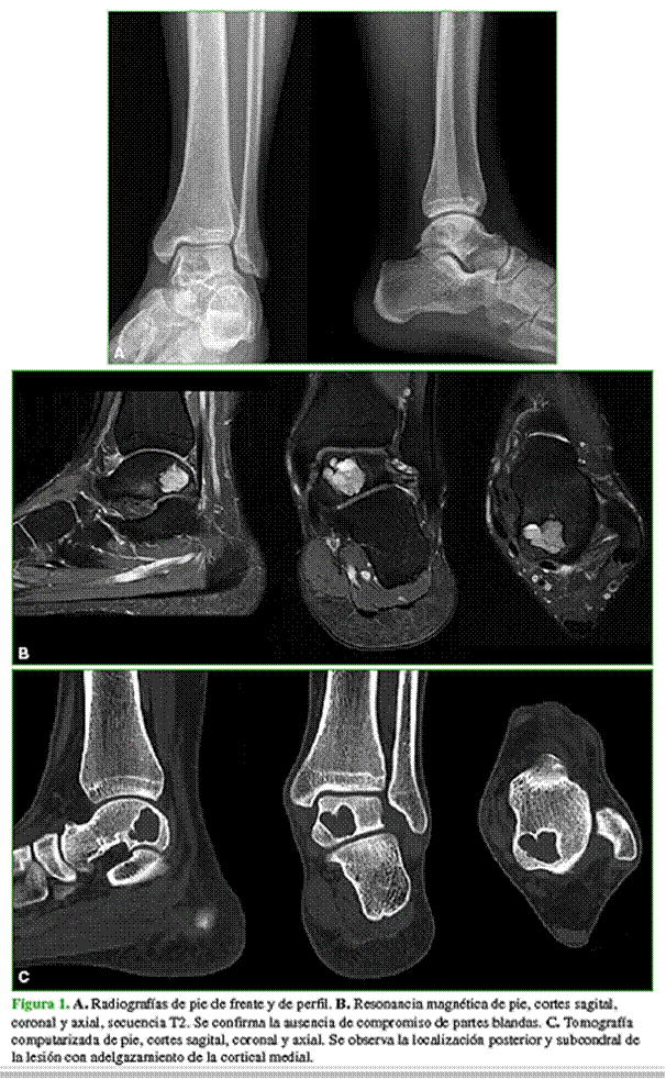
Varón de 18 años, sin antecedentes personales patológicos, que consultó por dolor de tobillo izquierdo en el Servicio de Urgencias. El paciente refirió el antecedente de una entorsis sin tratamiento, dos meses antes de la consulta. Inicialmente había sido tratado con fisiokinesioterapia, sin respuesta favorable, por lo que fue derivado al consultorio del especialista. Cuando se lo evaluó en el Departamento de Pie, refirió un dolor de 6/10 en la escala analógica visual. En el examen físico, se detectó dolor lateral de tobillo (ligamento tibioperoneo anterior ++/+++, ligamento calcaneoperoneo +/+++, estable a las maniobras de estrés). La radiografía mostraba una lesión lítica posteromedial del astrágalo, sin fractura de corticales. La resonancia magnética sin contraste y la tomografía computarizada revelaron una formación poliquística de bordes parcialmente escleróticos de 17 x 17 x 19 mm, con cortical superior e inferior del astrágalo adelgazada sin fractura evidente, algunos tabiques incompletos y sin calcificaciones (Figura 1).

Debido a las características benignas de la lesión, se decidió realizar una resección intralesional a través de un abordaje medial (Figura 2).

Se obtuvo un material gris oscuro, friable que fue enviado a anatomía patológica y se procedió al relleno del defecto con sustituto óseo (hidroxiapatita + 30% betafosfato tricálcico) y médula ósea autóloga.

El informe anatomopatológico indicó que el material correspondía a un condroblastoma. El protocolo posoperatorio utilizado fue de cuatro semanas con inmovilización sin apoyo y cuatro semanas con carga parcial. El paciente comenzó fisiokinesioterapia a la segunda semana posoperatoria y se restringieron las actividades de impacto hasta seis meses. Los controles radiográficos y tomográficos a los tres meses mostraron una buena integración sin reabsorción de injerto. En el último control a los 15 meses de la cirugía, el paciente no tenía síntomas, ni dolor al realizar las actividades de la vida diaria y el puntaje en la escala analógica visual era de 0/10 (Figura 3).

 

DISCUSIÓN

El término condroblastoma fue descrito, por primera vez, por Ewing, en 1928, como un tumor de células gigantes calcificadas y, luego por Codman, en 1931,6 como tumor epifisario de células gigantes de la extremidad proximal del húmero. Sin embargo, no fue hasta 1942 cuando Jaffe y Lichtenstein7 lo definieron como condroblastoma. Si bien se conoce hace décadas, los artículos publicados, en general, son escasos y el compromiso del astrágalo es aún más acotado. Desde 1960 hasta la fecha, solo se han publicado cuatro artículos con muestras pequeñas y pocos reportes de casos de condroblastoma de astrágalo (Tabla).1,2,8-19

Esta lesión afecta principalmente a pacientes del sexo masculino durante la segunda década de la vida.1,7,20 Los condroblastomas localizados en el pie suelen presentarse en grupos etarios mayores con un promedio de 25 años,21 lo cual difiere de nuestro paciente que tenía 18 años. La mayoría de los condroblastomas se localizan en la epífisis de huesos largos (fémur, tibia y húmero).10-22 Los condroblastomas localizados en el astrágalo representan solo alrededor del 4%, aunque son uno de los principales tumores benignos en dicha localización.23 Clínicamente los pacientes suelen presentarse con dolor moderado y limitación de la movilidad. Anatómicamente la localización más frecuente es en la región posterior del cuerpo,1 a nivel subcondral con reacción cortical en la mayoría de los casos.10-13 En las imágenes radiográficas, suele observarse una lesión lítica bien definida en la epífisis, con reacción cortical.13,14 En la resonancia magnética, el corte axial en secuencia DP Fat Sat es donde mejor se pueden observar los niveles líquido-líquido de este tipo de tumores. El diagnóstico diferencial incluye quiste óseo aneurismático, tumor de células gigantes de hueso, fibroma condromixoide y condrosarcoma de células claras.15 El tumor de células gigantes de hueso tiene una distribución ósea similar a la del condroblastoma, pero ocurre generalmente en pacientes de mayor edad. Histológicamente, estos tumores no presentan calcificaciones y tienen células agrupadas y alargadas. Si el aspecto histológico no confirma un diagnóstico, se puede realizar una tinción S100 que será positiva en el condroblastoma. El condrosarcoma de células claras difiere, porque muestra mayores grados de calcificación y se tiñe positivamente para el colágeno tipo II. El fibroma condromixoide suele tener una distribución diferente, con una mayor preferencia por la metadiáfisis de los huesos largos.21

 

 

 

 

 

 

 

 

 

 

 

 

La ablación por radiofrecuencia se ha propuesto como una alternativa al tratamiento quirúrgico en casos muy seleccionados.22 Sin embargo, se desaconseja su uso en lesiones extensas, articulaciones de carga y próximas al cartílago articular, ya que existe un riesgo de colapso articular y recurrencia. La cirugía es el tratamiento de elección primario y definitivo. Si bien la mayoría de los condroblastomas de astrágalo se localizan en la región posterior, no existe evidencia publicada sobre cuál es la mejor vía de abordaje. Anderson y Ramsey,10 y Zhang y cols.13 utilizaron el abordaje anterolateral con una ventana en el cuello del astrágalo, mientras que Sterling y Wilson,9 y Xu y cols.19 usaron el abordaje lateral por el seno del tarso. Si bien algunos son técnicamente más demandantes, como el abordaje posterior, al ser un tumor con una localización subcondral y con reacción perióstica en la mayoría de los casos, creemos que la elección debe ser la más directa a la lesión donde se encuentre la cortical más debilitada para evitar, de esta forma, violar corticales sanas y tejido óseo no afectado. En nuestro paciente, inicialmente planteamos un abordaje posteromedial, pero al analizar los cortes axiales de la tomografía computarizada, comprendimos que la pared más debilitada era la medial, por lo que consideramos que un abordaje medial de astrágalo era el más adecuado para este paciente. Si bien es técnicamente más dificultoso que el abordaje posterior, nos permitió acceder, de manera más directa, a la lesión evitando lesionar tejido sano.

El curetaje intralesional (con adyuvancia con fenol u otro agente o sin ella) y el relleno con autoinjerto o aloinjerto logran muy buenos resultados, con una tasa de recidiva que oscila entre el 10% al 15%.1,22 Alrededor del 15-32% puede estar asociado a un quiste óseo aneurismático secundario.20,23 Angelini y cols.1 mencionan que la tasa de recurrencia en el pie sería menor que en otras localizaciones; sin embargo, no existen estudios que correlacionen la localización y la tasa de recidiva. Otros autores sostienen que la recurrencia estaría relacionada tanto con la agresividad del tumor como con una resección inadecuada.23 Si bien en los 64 casos que se han publicado no se han registrado recidivas, la recurrencia podría tratarse con los mismos principios de otras localizaciones: repitiendo el curetaje o con resección en bloque y reconstrucción.

 

CONCLUSIONES

El condroblastoma es un tumor benigno infrecuente que raramente se localiza en el astrágalo. El curetaje intra-lesional y el relleno permitieron, en este caso, eliminar el tumor y obtener un buen resultado funcional. La revisión bibliográfica sugiere que la evolución sería más favorable en esta localización, con una menor tasa de recidiva.

 

BIBLIOGRAFÍA

 

1.     Angelini A, Arguedas F, Varela A, Ruggieri P. Chondroblastoma of the foot: 40 cases from a single nstitution. J Foot Ankle Surg 2018;57(6):1105-9. https://doi.org/10.1053/j.jfas.2018.05.005

2.     Angelini A, Hassani M, Mavrogenis A, Trovarelli G, Romagnoli C, Berizzi A, et al. Chondroblastoma in adult age. Eur J Orthop Surg Traumatol 2017;27(6):843-9. https://doi.org/10.1007/s00590-017-1996-7

3.     Garin IE, Wang EH. Chondroblastoma. J Orthop Surg 2008;16(1):84-7. https://doi.org/10.1007/s00292-017-0397-3

4.     Reda B. Cystic bone tumors of the foot and ankle. J Surg Oncol 2018;117(8):1786-98. https://doi.org/10.1002/jso.25088

5.     Bloem JL, Mulder JD. Chondroblastoma: a clinical and radiological study of 104 cases. Skeletal Radiol 1985;14(1):1-9. https://doi.org/10.1007/BF00361187

6.     Codman EA. The Classic: Epiphyseal chondromatous giant cell tumors of the upper end of the humerus. Clin Orthop Relat Res 2006;450:12-6. https://doi.org/10.1097/01.blo.0000229309.90265.df

7.     Jaffe HL, Lichtenstein L. Benign chondroblastoma of bone: A reinterpretation of the so-called calcifying or chondromatous giant cell tumor. Am J Pathol 1942;18(6):969-91. PMID: 19970672

8.     Fink BR, Temple HT, Chiricosta FM, Mizel MS, Murphey MD. Chondroblastoma of the foot. Foot Ankle Int 1997;18:236-42. https://doi.org/10.1177/107110079701800410

9.     Sterling G, Wilson A. Chondroblastoma of the talus: A case report. J Foot Ankle Surg 2002;41(3):178-82. https://doi.org/10.1016/s1067-2516(02)80068-0

10.  Anderson AF, Ramsey JR. Chondroblastoma of the talus treated with osteochondral autograft transfer from the lateral femoral condyle. Foot Ankle Int 2003;24(3):283-7. https://doi.org/10.1177/107110070302400315

11.  Davila JA, Amrami KK, Sundaram M, Adkins MC, Unni KK. Chondroblastoma of the hands and feet. Skeletal Radiol 2004;33(10):582-7. https://doi.org/10.1007/s00256-004-0762-1

12.  Atalar H, Basarir K, Yildiz Y, Erekul S, Saglik Y. Management of chondroblastoma: retrospective review of 28 patients. J Orthop Sci 2007;12(4):334-40. https://doi.org/10.1007/s00776-007-1141-2

13.  Zhang K, Gao Y, Dai H, Zhang S, Li G, Yu B. Chondroblastoma of the talus: a case report and literature review. J Foot Ankle Surg 2012;51(2):262-5. https://doi.org/10.1053/j.jfas.2011.10.006

14.  Ningegowda RV, Subramanian K, Suresh I. Chondroblastoma of the talus. J Foot Ankle Surg 2013;52(5):673-7. https://doi.org/10.1053/j.jfas.2013.02.020

15.  Sun B, Li XY, Zhao XY, Feng Wei, Liu JG. Chondroblastoma with associated aneurysmal bone cyst of the talus: a case report and review of relative literatures. Zhongguo Gu Shang 2015;28(7):657-9. PMID: 26399111

16.  Munoz LB, Heldt ME. Massive chondroblastoma of the talus: treatment with en bloc talectomy and tibiocalcaneal arthrodesis: long-term follow-up of a case. Foot Ankle Spec 2017;10(3):274-7. https://doi.org/10.1177/1938640016676339

17.  Outani H, Kakunaga S, Hamada K, Takenaka S, Sho N, Yasuda N, et al. Clinical outcomes of chondroblastoma treated using synthetic bone substitute: risk factors for developing radiographic joint degeneration. World J Surg Oncol 2020;18(1):47. https://doi.org/10.1186/s12957-020-01829-4

18.  De Mattos CB, Angsanuntsukh C, Arkader A, Dormans JP. Chondroblastoma and chondromyxoid fibroma. J Am Acad Orthop Surg 2013;21:225-33. https://doi.org/10.5435/JAAOS-21-04-225

19.  Xu H, Nugent D, Monforte HL, Binitie OT, Ding Y, Letson GD, et al. Chondroblastoma of bone in the extremities: a multicenter retrospective study. J Bone Joint Surg Am 2015;97(11):925-31. https://doi.org/10.2106/JBJS.N.00992

20. Springfield DS, Capanna R, Gherlinzoni F, Picci P, Campanacci M. Chondroblastoma. A review of seventy cases. J Bone Joint Surg Am 1985;67(5):748-55. PMID: 3997927

21.  Suneja R, Grimer RJ, Belthur M, Jeys L, Carter SR, Tillman RM, et al. Chondroblastoma of bone: long-term results and functional outcome after intralesional curettage. J Bone Joint Surg Br 2005; 87(7):974-8. https://doi.org/10.1302/0301-620X.87B7.16009

22.  Lalam RK, Cribb GL, Tins BJ, Cool WP, Singh J, Tyrrell PN, et al. Image guided radiofrequency thermo-ablation therapy of chondroblastomas: should it replace surgery? Skeletal Radiol 2014;43(4):513-22. https://doi.org/10.1007/s00256-014-1820-y

23.  Lin PP, Thenappan A, Deavers MT, Lewis VO, Yasko AW. Treatment and prognosis of chondroblastoma. Clin Orthop Relat Res 2005;438:103-9. https://doi.org/10.1097/01.blo.0000179591.72844.c3

24.  Ochsner PE, von Hochstetter AR, Hilfiker B. Chondroblastoma of the talus: natural development over 9.5 years. Case report. Arch Orthop Trauma Surg 1988;107(2):122-5. https://doi.org/10.1007/BF00454501

 

 

ORCID de J. J. Masquijo: https://orcid.org/0000-0001-9018-0612

ORCID de L. M. Vázquez Bestard: https://orcid.org/0000-0001-8596-5466

ORCID de I. J. Toledo: https://orcid.org/0000-0003-4033-8818

 

Recibido el 5-7-2020. Aceptado luego de la evaluación el 10-7-2021 •  Dra. Julieta Porta Alesandria •  juportaa@gmail.comhttps://orcid.org/0000-0001-9662-0367

 

Cómo citar este artículo: Porta Alesandria J, Masquijo JJ, Vázquez Bestard LM, Toledo IJ. Condroblastoma de astrágalo. Reporte de un caso y revisión de la bibliografía. Rev Asoc Argent Ortop Traumatol 2022;87(1):64-70. https://doi.org/10.15417/issn.1852-7434.2022.87.1.1152

 

 

Información del artículo

Identificación: https://doi.org/10.15417/issn.1852-7434.2022.87.1.1152

Fecha de publicación: Febrero, 2022

Conflicto de intereses: Los autores no declaran conflictos de intereses.

Copyright: © 2022, Revista de la Asociación Argentina de Ortopedia y Traumatología.

Licencia: Este artículo está bajo una Licencia Creative Commons Atribución-No Comercial-Compartir Obras Derivadas Igual 4.0 Internacional. (CC-BY-NC-SA 4.0)