INVESTIGACIÓN CLÍNICA

 

Estudio prospectivo de cirugía de hallux valgus con técnicas de Bösch y MICA. Análisis radiográfico comparativo a mediano plazo

 

Juan Manuel Yañez Arauz, Nicolás Raimondi, Andrés Eksarho, Diego Lauritto, Claudio Tomé, Bruno Terrarossa, Juan Martín Yañez Arauz

Sección de Pierna, Tobillo y Pie, Servicio de Ortopedia y Traumatología, Hospital Universitario Austral, Buenos Aires, Argentina

 

Resumen

Introducción: Existen múltiples tratamientos quirúrgicos del hallux valgus. El propósito de este estudio fue comparar los resultados radiográficos de corrección angular y su mantenimiento a mediano plazo, entre dos técnicas percutáneas: MICA y Bösch. Materiales y Métodos: Análisis prospectivo comparativo de pacientes sometidos a cirugía de hallux valgus mediante dos técnicas percutáneas (grupo Bösch: 42 pies, grupo MICA: 36 pies). Se compararon las correcciones de los ángulos IM, MTF y AMD, y el poder de corrección de ambas osteotomías y su mantenimiento a mediano plazo. Se registraron las complicaciones posoperatorias. Seguimiento mínimo: 6 meses. Resultados: La corrección promedio de los ángulos IM, MTF y AMD fue: 20,22°; 7,74°; 8,26° a los 6 meses en el grupo Bösch; y de 15,8°; 1,6° y 1,98° en el grupo MICA. El potencial de corrección IM fue mayor en el grupo Bösch. No hubo diferencias significativas entre ambos grupos en cuanto a la pérdida de corrección entre las 6 semanas y los 6 meses, salvo el ángulo MTF en el grupo MICA. La corrección del ángulo AMD fue mejor en el tiempo con la técnica MICA. Hubo 4 complicaciones con la técnica MICA y 8 con la técnica de Bösch. Conclusiones: Ambas técnicas logran una corrección adecuada del hallux valgus moderado. Sin embargo, el poder de corrección del ángulo IM a mediano plazo fue mayor con la técnica de Bösch. En el otro grupo, aunque se perdió la corrección del ángulo MTF entre las 6 semanas y los 6 meses, los valores se mantuvieron dentro de los 20° de valgo MTF.

Palabras clave: Cirugía mínimamente invasiva; hallux valgus; osteotomía de Bösch; cirugía MICA; cirugía percutánea.

Nivel de Evidencia: II

 

Bösch vs MICA Techniques in Hallux Valgus Surgery. Medium-Term Prospective Comparative Radiographic Analysis

 

Abstract

Introduction: Multiple surgical treatments for the hallux valgus have been described. The purpose of this study is to compare the radiological results for the angular correction and its stability on the medium-term between two percutaneous techniques (MICA versus BOSCH technique). Materials and Methods: Prospective comparative analysis of surgically treated patients with hallux valgus by two percutaneous techniques (BOSCH group: 42 feet; MICA group: 36 feet) in homogenous groups. Intermetatarsal, metatarsophalangeal and distal metatarsal articular angle corrections were compared, as well as the correction power of both osteotomies and its stability in the middle term. Postoperative complications were recorded. Minimum follow-up: 6 months. Results: Average angle correction of MTP, IM y DMAA 6 months after surgery in Bosch group: 20,22°; 7,74°; 8,26°; MICA: 15,8°; 1,6° and 1,98° respectively. BOSCH group had a higher IM correction power. There were no significant statistical differences between both groups in the loss of correction by 6 weeks to 6 months; except for the MTP angle in the MICA group. MICA presented a better correction of the DMAA in time. Postoperatively, MICA group had 4 complications, while BOSCH 8. Conclusions: We obtained good results with both techniques in the treatment of moderate hallux valgus. However, patients undergoing the Bosch technique had greater correction on the intermetatarsal angle in the medium-term follow-up. Although the MTP angle correction decreased between 6 weeks and 6 months in MICA technique, the values ​remained within normal 20° of valgus MTP.

Key words: Minimally invasive surgery; Bosch osteotomy; MICA technique; percutaneous surgery.

Level of Evidence: II

 

Introducción

El hallux valgus, término introducido por Carl Hueter para definir la subluxación de la primara articulación metatarsofalángica (MTF), se caracteriza por un metatarso primo varo y una desviación lateral del primer dedo del pie. Actualmente se sabe que puede haber hallux valgus sin una subluxación de la articulación en cuestión.1 Tiene una etiología multifactorial.2 Es mucho más frecuente en mujeres.3,4 El motivo que moviliza a la consulta suele ser el dolor, pero, con mucha frecuencia, las inquietudes estéticas o la incomodidad con ciertos calzados.

En el adulto, la corrección es de índole quirúrgica. Se han obtenido buenos resultados con las osteotomías distales del primer metatarsiano para hallux valgus de leves a moderados, con ángulos intermetatarsianos (IM) y MTF que no exceden los 15° y 30°, respectivamente.5 La osteotomía distal en Chevron popularizada por Austin y Leventen,6 hoy se acepta como una excelente alternativa para tratar el hallux valgus leve o moderado, se obtienen buenos resultados clínico-sintomáticos y en la corrección angular radiográfica.7

La cirugía percutánea o mínimamente invasiva se ha vuelto cada vez más popular, por lo que los resultados de la cirugía de antepié son comparables a los de los procedimientos a cielo abierto. Se basa en las ventajas de un menor tiempo quirúrgico, menos trauma quirúrgico y una recuperación más rápida.8 En tal dirección, es que, en 1990, Bösch9 publica una técnica percutánea para el hallux valgus. Consiste en una osteotomía subcapital perpendicular a la diáfisis del primer metatarsiano, con el objetivo de lograr un desplazamiento lateral cefálico del 75% o más del total del diámetro de la diáfisis del metatarsiano, logrando que la cortical medial del fragmento osteotomizado distal quede en contacto con la cortical lateral del fragmento proximal.10

En 2015, aprovechando las bondades de la osteotomía en Chevron, Redfern y Vernois publicaron una técnica percutánea que denominaron Minimally Invasive Chevron Akin (MICA),11,12 donde informan los beneficios de combinar una osteotomía distal metatarsiana en Chevron percutánea asociada a osteosíntesis más una osteotomía de falange proximal tipo Akin percutánea.

Pese a que se han descrito las técnicas percutáneas, dado el tiempo publicado de seguimiento y los niveles de evidencia (III y IV), aún siguen siendo un tema de debate y controversia.13

En el caso de la osteotomía de Bösch y la técnica MICA, no existe un estudio que compare los resultados de ambas, sus beneficios y sus complicaciones. Tratándose de dos técnicas percutáneas, consideramos importante poder evaluar sus ventajas y desventajas, y sus resultados radiográficos en cuanto a corrección angular de la deformidad de hallux valgus.

El objetivo primario de este estudio fue analizar comparativamente los resultados radiográficos de la corrección de los ángulos IM, MTF y articular distal metatarsiano (ADM), así como su mantenimiento a mediano plazo, entre dos técnicas mínimamente invasivas para tratar el hallux valgus (la técnica MICA y la técnica de Bösch).

El objetivo secundario fue evaluar el logro de ángulos normales después de la cirugía con ambas técnicas, y sus complicaciones.

 

Materiales y Métodos

Se trata de un estudio sistemático prospectivo de cohortes, con homogeneidad. Se realizó un análisis prospectivo y comparativo de pacientes operados por deformidad de hallux valgus sintomático, y se los controló en el tiempo. Se formaron dos grupos de pacientes de similares características en cuanto a tipo y grado de deformidad del primer rayo, su actividad funcional, así como el rango etario y el sexo. Un grupo fue tratado con la técnica percutánea de Bösch mediante estabilización con un tornillo y un clavo de Kirschner; y el otro grupo, mediante la técnica percutánea MICA. Todos fueron operados entre abril de 2017 y febrero de 2019.

El tiempo mínimo para evaluar la corrección final radiográfica se definió como 6 meses después de la cirugía, asumiendo que las osteotomías y las partes blandas están completamente cicatrizadas, por lo que los ángulos encontrados a partir de esa fecha podrían considerarse definitivos. Por tal motivo, a los fines del objetivo de este estudio, el seguimiento mínimo fue de 6 meses, con un máximo de 20 meses.

La gravedad de la deformidad se definió según lo descrito por Coughlin,14 de acuerdo con el valor del ángulo

MTF en el preoperatorio: deformidad leve (16-20°), deformidad moderada (21-39°) y deformidad severa (≥40°).

Todos tenían deformidad moderada de hallux valgus.

La recurrencia de la deformidad se definió como la presencia de un ángulo MTF >20° en el posoperatorio.15

 

Muestra poblacional

Se evaluaron 78 pies en 69 pacientes, nueve tenían patología quirúrgica bilateral. Se conformaron dos grupos de cohortes según la técnica quirúrgica realizada (Tabla 1):

 

 

 

Grupo 1 (Bösch): 42 pies de 37 pacientes. El 90,4% eran mujeres. La técnica quirúrgica fue una osteotomía percutánea de Bösch estabilizada con osteosíntesis mediante un tornillo canulado doble rosca, además de un alambre de Kirschner endomedular. En todos los casos, se liberó el tendón conjunto.

Grupo 2 (MICA): 36 pies de 32 pacientes. El 86% eran mujeres. La técnica quirúrgica fue una osteotomía distal en Chevron percutánea del primer metatarsiano con deslizamiento lateral, asociada a estabilización con dos tornillos canulados doble rosca y a una osteotomía de Akin falángica percutánea.

Todas las cirugías se realizaron en la misma institución y estuvieron a cargo de tres especialistas en cirugía de pierna, tobillo y pie.

Los criterios de inclusión fueron: 1) hallux valgus sintomático moderado y 2) edad >18 años. Los criterios de exclusión fueron: 1) cirugías previas de hallux valgus, 2) artritis reumatoide u otras artritis destructivas, 3) deformidades graves, 4) inestabilidad cuneo-metatarsiana evidenciable clínicamente, 5) enfermedades neuromusculares, 6) falta de seguimiento.

 

Análisis radiográfico

Se analizaron las radiografías en dos incidencias: de frente y de perfil estricto, ambas con carga del peso corporal. Las radiografías se tomaron antes de la cirugía, a las 6 semanas y a los 6 meses de la intervención. Con dichos datos, se comparó la corrección angular lograda en el posoperatorio cercano y a los 6 meses de la intervención, considerando este último tiempo, como tiempo suficiente de consolidación y maduración de las osteotomías y los tejidos blandos. Las alteraciones angulares posteriores a los 6 meses se consideraron secundarias a otras causas y no a la técnica quirúrgica en sí (p. ej., inestabilidad inadvertida cuneo-metatarsiana).

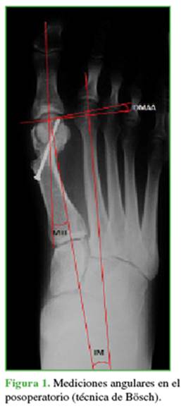
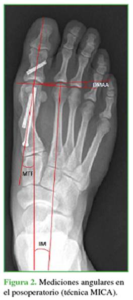
Las mediciones radiográficas después de la cirugía estuvieron a cargo de cirujanos que no habían operado al paciente (Figuras 1 y 2). De esta manera, se evaluó la pérdida o no de la corrección en ambas técnicas quirúrgicas. Todas las imágenes fueron digitales, con un programa computarizado (MB Rouler® versión 4.0), se calcularon los siguientes parámetros: a) el ángulo MTF, b) el ángulo IM usando la técnica de medición de Miller16 y c) el ángulo AMD, según la técnica mencionada por Deenik y cols.17

En el estudio estadístico, se analizaron ambos grupos, el porcentaje de corrección angular, el objetivo de lograr ángulos dentro de los valores normales, y corroborar la pérdida o no de la corrección a los 6 meses.

En cada grupo, se registró el promedio en grados de medición de ángulos, en las radiografías de frente y de perfil con carga, antes de la cirugía, a las 6 semanas y a los 6 meses de la operación. Se calcularon las medias y las desviaciones estándar de las muestras.

Para el análisis de las diferencias en la distribución de una variable en ambos grupos, se utilizó la prueba t para muestras emparejadas. Se consideró estadísticamente significativo un valor p <0,05.

Mediante el test de Mann-Whitney se compararon las mediciones radiográficas en ambos grupos de estudio (comparación entre técnicas).

 

 

 

La evolución de las mediciones en el tiempo (mantenimiento de la corrección lograda) en cada grupo se comparó con el test de Student para varianzas semejantes.

Por último, se determinó si existían diferencias en la evolución de acuerdo con el grupo (técnica de Bösch vs. MICA), mediante el test t de Student.

Como se realizaron dos técnicas para tratar un mismo cuadro, en poblaciones de características similares y homogéneas, se buscó reducir, al mínimo, las influencias de variables no controladas.

 

Técnicas quirúrgicas

Resumen de la técnica de Bösch18 (modificada)

Paciente en decúbito dorsal. Liberación del tendón conjunto con técnica percutánea desde el primer espacio dorsal. Incisión paraungueal medial del primer dedo y avance de un alambre de Kirschner de 2,0 mm de diámetro hasta la metáfisis distal del primer metatarsiano. Portal metafisario distal medial del primer metatarsiano por donde se realiza una osteotomía transversal con fresa de corte tipo Shannon larga. Bajo control con intensificador de imágenes, se realiza la corrección angular metatarsiana (desplazamiento lateral) y se avanza el alambre de Kirschner endomedular hasta anclarlo en la base del mismo hueso. Estabilización percutánea con un tornillo canulado doble rosca de 3 mm, y síntesis de piel (Figura 3).

 

Resumen de la técnica MICA

Asocia una osteotomía en Chevron percutánea a través de un portal medial distal metatarsiano con una fresa Shannon larga y de forma extrarticular; y una osteotomía percutánea de Akin con fresa Shannon corta. El corte metatarsiano debe ser orientado inicialmente con un ángulo plantar de 10°, y luego realizar las dos ramas (plantar y dorsal). Se estabiliza la osteotomía metatarsiana luego del deslizamiento lateral de la cabeza, con dos tornillos canulados doble rosca largos paralelos, desde la metáfisis proximal del metatarsiano hacia la cabeza del mismo hueso (Figura 4); y eventualmente la Akin con un tornillo canulado.

 

 

Resultados

La edad promedio general era de 48.9 años. En el grupo 1, era de 51.2 años (rango 23-77) y, en el grupo 2, de 46.6 años (rango 18-75). Nueve pacientes eran hombres y 69, mujeres. Se trató a 40 pies izquierdos y 38 derechos.

En el grupo 1 (Bösch), 38 de los 42 pies correspondían a mujeres y cuatro, a hombres. Diecinueve pies eran izquierdos y 23 pies, derechos. Todos los pacientes presentaron hallux valgus moderados, cinco eran bilaterales.

En el grupo 2 (MICA), cinco de los 36 pies correspondían a hombres y los 31 restantes, a mujeres. En cuatro casos, la patología era bilateral. Todos los pies tenían hallux valgus moderado. Veintiún pies eran izquierdos y 15, derechos.

 

Grupo 1 (Bösch): análisis de mediciones radiográficas

1)        El promedio de corrección para los ángulos MTF, IM y AMD fue de 20,79°; 8,14°; y 8,65° a las 6 semanas; y 20,22°; 7,74° y 8,26° a los 6 meses, respectivamente.

2)        Las diferencias entre el ángulo IM preoperatorio y a las 6 semanas de la cirugía, y entre el preoperatorio y a los 6 meses de la cirugía fueron estadísticamente significativas (ambas p <0,005). La relación entre el ángulo IM a las 6 semanas y a los 6 meses de la cirugía no fue estadísticamente significativa (p = 0,033). Esto muestra que no hubo pérdida de corrección significativa entre las 6 semanas y los 6 meses del posoperatorio.

3)       Las diferencias entre el ángulo MTF preoperatorio y a las 6 semanas de la cirugía; y entre el preoperatorio y a los 6 meses de la cirugía fueron estadísticamente significativas (ambas p <0,005). La relación entre el ángulo IM a las 6 semanas y a los 6 meses de la intervención no fue estadísticamente significativa (p = 0,34). Esto muestra que no hubo pérdida de corrección significativa entre las 6 semanas y los 6 meses posoperatorios.

4)        En cuanto a la corrección del AMD, la relación entre el preoperatorio y a las 6 semanas y a los 6 meses de la cirugía fue significativa en ambas mediciones (p <0,005). La pérdida de corrección entre las 6 semanas y los 6 meses posoperatorios no fue significativa (p = 0,50).

 

Grupo 2 (MICA): análisis de mediciones radiográficas

1)    El promedio de corrección para los ángulos MTF, IM y AMD fue de 16,83°; 1,8° y 2,06° a las 6 semanas; y de 15,8°; 1,6° y 1,98° a los 6 meses, respectivamente.

2)    La diferencia entre el ángulo IM preoperatorio y a las 6 semanas de la cirugía fue estadísticamente significativa (p <0,005), al igual que entre el preoperatorio y a los 6 meses de la cirugía (p <0,005). La relación entre la corrección IM lograda a las 6 semanas y los 6 meses no fue estadísticamente significativa (p = 0,324). Esto muestra que no hubo pérdida de corrección significativa.

3)    Las diferencias entre el ángulo MTF preoperatorio y a las 6 semanas de la cirugía, así como entre el preoperatorio y a los 6 meses de la cirugía fueron estadísticamente significativas (ambas p <0,005). La relación de corrección del ángulo MTF entre la semana 6 y el mes 6 posoperatorios fue estadísticamente significativa (p = 0,010), lo que habla de una pérdida de corrección MTF con la técnica MICA.

4)    En cuanto a la corrección del AMD, la relación entre el preoperatorio y a las 6 semanas y los 6 meses posoperatorios fue significativa en ambas mediciones (p <0,005). La pérdida de corrección entre las 6 semanas y los 6 meses de la cirugía no fue significativa (p = 0,57). No hubo pérdida de corrección.

 

Relación entre ambos grupos

Mediciones preoperatorias (Tabla 2)

A excepción del ángulo AMD preoperatorio de ambos grupos (que tuvo una diferencia significativa, p <0,005), el resto de los ángulos medidos no presentaron diferencias significativas en ambos grupos.

 

Medición a las 6 semanas de la cirugía, en ambos grupos

1.    El porcentaje promedio de corrección angular del ángulo IM fue del 61% en los pacientes tratados con la técnica de Bösch y del 16% con la técnica MICA (p <0,005).

2.    El ángulo MTF tuvo un porcentaje de corrección del 65% con la técnica de Bösch y del 59,4% con la otra técnica (p >0,05).

3.    El AMD tuvo un porcentaje de corrección del 49% con la técnica de Bösch y del 33% con la técnica MICA (p <0,05) cuando se compararon ambas técnicas estadísticamente. Cabe considerar que, en el grupo con MICA, se logró el 100% de ángulos normales en los pacientes evaluados, si bien se partió de menores valores angulares comparativamente.

 

 

Medición a los 6 meses de la cirugía y pérdida de corrección angular Grupo Bösch (Tabla 3)

a)    La pérdida promedio de corrección del ángulo IM fue de 0,3° entre las 6 semanas y los 6 meses (p = 0,56).

b)    La pérdida promedio de corrección del ángulo MTF fue de 0,57° entre las 6 semanas y los 6 meses (p = 0,34).

c)    La pérdida promedio de corrección del ángulo AMD fue de 0,38° entre las 6 semanas y los 6 meses (p = 0,50).

d)    En cuanto a la corrección final a ángulos normales: (Figuras 5-7)

-    El 95,3% de los casos presentaron ángulos IM normales a los 6 meses de la cirugía. Solo dos tenían un ángulo de 11° y uno de 12° (4,7% restante).

-    El 92,85% de los casos presentaron ángulos MTF normales a los 6 meses de la cirugía. El 7,14% restante (3 casos) tenía ángulos MTF de recidiva.

-    El 33,33% de los casos presentaron ángulos AMD anormales a los 6 meses de la cirugía.

 

 

 

Grupo MICA (Tabla 4)

a)    La pérdida promedio de corrección del ángulo IM fue de 0,17° entre las 6 semanas y los 6 meses (p = 0,32; no significativo).

b)    La pérdida promedio de corrección del ángulo MTF fue de 1° entre las 6 semanas y los 6 meses (p = 0,01; significativo).

c)    La pérdida promedio de corrección del ángulo AMD fue de 0,08° entre las 6 semanas y los 6 meses (p = 0,57).

d)    En cuanto a la corrección final a ángulos normales: (Figuras 8-10)

-    El 77,8% presentó ángulos IM normales a los 6 meses de la cirugía. Ocho tenían ángulos de entre 11° y 15° (22,2% restante).

-    Todos tenían ángulos MTF normales a los 6 meses de la cirugía.

-    Todos tenían ángulos AMD normales a los 6 meses de la cirugía.

 

No se registraron complicaciones durante la cirugía, en ninguno de los dos grupos. Se produjeron ocho complicaciones posoperatorias en el grupo 1 (Bösch) y cuatro con la técnica en Chevron (Figura 11). Sin embargo, la incidencia de complicaciones entre las dos técnicas fue similar (ji al cuadrado, p = 0,41). En el grupo 1 (Bösch), hubo cinco casos de celulitis en el ingreso del alambre de Kirschner, una rotura del implante, una neuritis y una osteomielitis. En el grupo 2 (MICA), hubo dos casos de metatarsalgia por transferencia, un caso de migración del material de osteosíntesis que requirió el retiro y uno de recidiva del hallux valgus.

 

 

 

 

 

 

Discusión

La cirugía mínimamente invasiva aplicada al pie se fue popularizando a partir de la década de 1980. En los últimos 20 años, cada vez más cirujanos la realizan.

Portaluri19 y Magnan y cols.20 publican una serie de 118 pies tratada con la técnica de Bösch sin tornillo y con un seguimiento promedio de 35.9 meses, y mencionan que los resultados clínicos son comparables a los obtenidos mediante la cirugía abierta convencional.

Giannini y cols.21 llevaron a cabo un estudio aleatorizado que comparó los resultados clínico-radiográficos de 40 pacientes tratados por hallux valgus bilateral. En un pie, hicieron una osteotomía en “scarf” y, en el otro, una cirugía de Bösch percutánea sin tornillo. No hallaron diferencias estadísticamente significativas en las mediciones angulares posoperatorias. Sin embargo, la cirugía percutánea arrojó tiempos quirúrgicos menores, fue más simple y menos agresiva. En el presente estudio, ambas cirugías son percutáneas y lograron correcciones radiográficas aceptables de los ángulos medidos (con significancia estadística). No obstante, la osteotomía de Bösch demostró tener un mayor poder de corrección que la técnica MICA en lo que respecta al ángulo IM (61% vs. 16%, respectivamente).

Brogan22 compara la osteotomía de tipo Chevron percutánea y la convencional. Los puntajes clínicos y radiográficos posoperatorios de todos los ángulos mejoraron sustancialmente en ambos grupos (p <0,001), pero no hubo diferencias estadísticamente significativas en la mejoría angular entre el grupo abierto y el grupo con cirugía mínimamente invasiva (p >0,05). En nuestro estudio, las correcciones logradas mediante la técnica MICA (que incluye Chevron percutánea) fueron estadísticamente significativas (con el 100% de los valores angulares AMD y MTF normales, y un 77,8% del ángulo IM).

Si bien Vernois y Redfern23 refieren que la técnica MICA puede ser usada en ángulos severos, desplazando más del 80% de la cabeza hacia lateral, creemos que dicho desplazamiento exagerado podría ser riesgoso o generar acortamientos o desplazamientos inaceptables al primer espacio. Por ello, no hemos realizado esta técnica en ángulos IM >18°. Los autores también mencionan que el hecho de ser extrarticular y no requerir un clavo de Kirschner intramedular, permite una rehabilitación rápida de la función. En nuestro estudio, no se evaluó la funcionalidad, sino las correcciones radiográficas.

En los estudios, no se mencionan los costos de los implantes, que por lógica, son más altos en la técnica MICA que en la técnica de Bösch (ya que insume el doble o triple de osteosíntesis, 2 o 3 tornillos).

No hemos encontrado publicaciones que comparen la osteotomía de Bösch, con la cirugía MICA. Del estudio presentado, se infiere que ambas técnicas obtuvieron buenos resultados radiográficos en cuanto a corrección de la deformidad. Sin embargo, la técnica de Bösch en nuestras manos presentó un mayor poder de corrección del ángulo IM y menor poder de corrección del ángulo AMD (solo corrigió un 33,3% de los casos a valores normales).

Iannó y cols.24 publican una serie de casos de cirugía percutánea de Bösch sin osteosíntesis, y advierten sobre la alta incidencia de complicaciones, entre ellas, cuatro casos de consolidación viciosa, osteonecrosis y 16 casos de recidivas. En nuestro estudio, con un número apreciable estadístico, no hubo recidivas, osteonecrosis, ni hallux varus.

Las fortalezas de nuestro estudio son: un análisis estadístico exhaustivo, un seguimiento prospectivo de ambos grupos y la presentación de una comparación inédita en la literatura.

Como debilidades se mencionan el número de casos presentados y la falta de seguimiento a largo plazo. Tampoco se realizó la medición en las radiografías de perfil en el posoperatorio, que hubieran evaluado el ascenso o descenso cefálico metatarsiano. Asimismo, creemos que la curva de aprendizaje con la técnica MICA puede ser un factor de debilidad en los resultados obtenidos. La falta de evaluación clínica no se menciona como debilidad, ya que no era un objetivo propuesto del estudio.

 

Conclusiones

Se desprende de este estudio que tanto la cirugía de Bösch estabilizada con tornillo, como la cirugía MICA obtienen una adecuada corrección en los hallux valgus moderados. El poder de corrección del ángulo IM a mediano plazo fue mayor en los pacientes tratados con cirugía percutánea de Bösch y la corrección y el mantenimiento en el tiempo del ángulo AMD fueron mayores en los pacientes operados con la técnica MICA.

En la evolución, ambas técnicas se comportaron de forma similar respecto a la pérdida de corrección y las complicaciones posoperatorias.

 

Bibliografía

 

1.     Coughlin M, Saltzman C, Anderson R, Mann R. Mann’s surgery of the foot and ankle. Philadelphia: Saunders/ Elsevier; 2014.

2.     Mann RA, Coughlin MJ. Hallux valgus-etiology, anatomy, treatment and surgical considerations. Clin Orthop Relat Res 1981;157:31-41. PMID: 7249460

3.     Coughlin MJ, Thompson FM. The high price of high-fashion footwear. Instr Course Lect 1995;44:371-7. PMID: 7797875

4.     Coughlin MJ. Hallux valgus in men: effect of the distal metatarsal articular angle on halux valgus correction. Foot Ankle Int 1997;18:463-70. https://doi.org/10.1177/107110079701800802

5.     Amor RT. Pierna, tobillo y pie. Buenos Aires: Cámara Argentina del Libro; 2009.

6.     Austin DW, Leventen EO. A new osteotomy for hallux valgus. Clin Orthop Relat Res 1981;157:25. PMID: 7249456

7.     Schneider W, Aigner N, Pinggera O, Knahr K. Chevron osteotomy in hallux valgus. Ten-year results of 112 cases. J Bone Joint Surg Br 2004;86(7):1016-20. https://doi.org/10.1302/0301-620X.86B7.15108

8.     Maffulli N, Longo UG, Marinozzi A, Denaro V. Hallux valgus: effectiveness and safety of minimally invasive surgery. A systematic­ review. Br Med Bull 2011;97:149-67. https://doi.org/10.1093/bmb/ldq027

9.     Bösch P, Markowski H, Rannicher V. Technik und erste ergebnisse der subkutanen distalen metatarsale-I-osteotomie. Orthopädische Praxis 1990;26:51-6.

10.  Sotelano P, Migues A. Tratamiento percutáneo del hallux valgus. Técnica de Bosch. Rev Asoc Argent Ortop Traumatol 2007;72(3):233-41. https://www.aaot.org.ar/revista/2007/n3_vol72/art5.pdf

11.  Redfern D, Vernois J, Legre BP. Percutaneous surgery of the forefoot. Clin Podiatr Med Surg 2015;32:291-332. https://doi.org/10.1016/j.cpm.2015.03.007

12.  Redfern D, Vernois J. Minimally invasive Chevron Akin (MICA) for correction of hallux valgus. Tech Foot Ankle Surg 2106;15(1):3-11. https://doi.org/10.1097/BTF.0000000000000102

13.  Perera AM, Redfern A, Singh D, Lomax A. Minimally invasive forefoot surgery. J Trauma Orthop 2015;3(1):50-5.

14.  Coughlin MJ. Instructional Course Lectures, The American Academy of Orthopaedic Surgeons – Hallux valgus. J Bone Joint Surg Am 1996;78:932-66. https://journals.lww.com/jbjsjournal/Citation/1996/06000/Instructional_Course_Lectures,_The_American.18.aspx

15.  Chiang CC, Lin CF, Tzeng YH. Distal linear osteotomy compared to oblique diaphyseal osteotomy in moderate to severe hallux valgus. Foot Ankle Int 2012;33:479-86. https://doi.org/10.3113/FAI.2012.0479

16.

Miller JW. Distal first  metatarsal displacement osteotomy: its place in the schema of bunion surgery. J Bone Joint

 

Surg Am 1974;56:923-31. http://citeseerx.ist.psu.edu/viewdoc/download?doi=10.1.1.1033.3979&rep=rep1&type=pdf

17.

Deenik AR, de Visser E, Louwerens JWK, Malefijt  MW, Draijer FF, de Bie RA. Hallux valgus­ angle as main

 

predictor for correction of hallux valgus. BMC Musculoskelet Disord 2008;9:70. https://doi.org/10.1186/1471-2474-9-70

18.  Bosch P, Wanke S, Legenstein R. Hallux valgus correction by the method of Bosch: a new technique with a seven-to-ten-year follow-up. Foot Ankle Clin 2000;5(3):485-98. PMID: 11232393

19.  Portaluri M. Hallux valgus correction by the method of Bösch: a clinical evaluation. Foot Ankle Clin 2000;5(3):499-511. PMID: 11232394

20.  Magnan B, Samaila E, Viola G, Bartolozzi P. Minimally invasive retrocapital osteotomy of the first metatarsal in hallux valgus deformity. Oper Orthop Traumatol 2008;20(1):89-96. https://doi.org/10.1007/s00064-008-1231-0

21.  Giannini S, Faldini C, Vannini F, Bevoni R, Biagini C. Surgical treatment of hallux valgus: a clinical prospective randomized study comparing linear distal metatarsal osteotomy with scarf osteotomy. Orthop Proceed 2009;91B(Supp I):162.

22.  Brogan K. Minimally invasive and open distal Chevron osteotomy for mild to moderate hallux valgus. Foot Ankle Int 2016;37(11):1197-1204. https://doi.org/10.1177/1071100716656440

23.  Vernois J, Redfern D. Percutaneous surgery for severe hallux valgus. Foot Ankle Clin 2016;21(3):479-93. https://doi.org/10.1016/j.fcl.2016.04.002

24.  Iannó B, Familiari F, De Gori M, Galasso O, Ranuccio F, Gasparini G. Midterm results and complications after minimally invasive distal metatarsal osteotomy for treatment of hallux valgus. Foot Ankle Int 2013;34(7):969-77. https://doi.org/10.1177/1071100713481453

 

 

ORCID de N. Raimondi: https://orcid.org/0000-0002-2561-8590

ORCID de A. Eksarho: https://orcid.org/0000-0002-1115-5759

ORCID de D. Lauritto: https://orcid.org/0000-0003-2277-8369

ORCID de C. Tomé: https://orcid.org/0000-0003-2790-0183

ORCID de B. Terrarossa: https://orcid.org/0000-0003-1082-6618

ORCID de J. M. Yañez Arauz: https://orcid.org/0000-0003-3321-3726

 

Recibido el 24-3-2020. Aceptado luego de la evaluación el 16-6-2020    Dr. J. M. Yañez Arauz    juanyanezarauz@gmail.com

https://orcid.org/0000-0001-5739-3130

 

Cómo citar este artículo: Yañez Arauz JM, Raimondi N, Eksarho A, Lauritto D, Tomé C, Terrarossa B, Yañez Arauz JM. Estudio prospectivo de cirugía de hallux valgus con técnicas de Bösch y MICA. Análisis radiográfico comparativo a mediano plazo. Rev Asoc Argent Ortop Traumatol 2021;86(1):5-16. https://doi.org/10.15417/issn.1852-7434.2021.86.1.1084

 

 

Información del artículo

Identificación: https://doi.org/10.15417/issn.1852-7434.2021.86.1.1296

Fecha de publicación: Febrero, 2021

Conflicto de intereses: Los autores no declaran conflictos de intereses.

Copyright: © 2021, Revista de la Asociación Argentina de Ortopedia y Traumatología.

Licencia: Este artículo está bajo una Licencia Creative Commons Atribución-No Comercial-Compartir Obras Derivadas Igual 4.0 Internacional. (CC-BY-NC-SA 4.0)