INSTRUCCIÓN ORTOPÉDICA DE POSGRADO – IMÁGENES

Resolución del caso

 

Ricardo Trueba

Departamento de Resonancia y Tomografía Computada, Grupo Médico Rostagno, Diagnóstico por Imágenes, Ciudad Autónoma de Buenos Aires, Argentina
Dr. Ricardo Trueba • ricardotrueba@gmail.com
https://orcid.org/0000-0001-7908-817X

https://doi.org/10.15417/issn.1852-7434.2020.85.2.1076

DIAGNÓSTICO

Enfermedad de Köhler (osteocondrosis de escafoides).

DISCUSIÓN

La enfermedad de Köhler es la necrosis isquémica del escafoides, de origen poco conocido. Se cree que los microtraumatismos compresivos sobre el escafoides localizado en el ápex del arco plantar longitudinal, rodeado de huesos ya osificados, durante la marcha sea la causa de la compresión dorsal, la oclusión vascular y la necrosis ósea. Como todos los cuadros que involucran núcleos de osificación pueden estar favorecidos por el estado nutricional del niño, enfermedades endocrinas (hipotiroidismo, déficit de hormona de crecimiento, etc.), malformaciones del pie (pie equinovaro, metatarso varo o adductus, braquimetatarsia del primer metatarsiano).
Suele aparecer frecuentemente entre los 3 y 7 años, y la relación varones:niñas es de 5:1. El 80% de los casos son unilaterales. Es habitual la presentación dolorosa en la zona dorsomedial del tarso, que produce una marcha antálgica en el niño, que apoya el borde externo del pie. En el examen físico, además del dolor, se puede observar la tumefacción local y es posible provocar dolor a la movilización rotatoria del pie.
La niña presentada tiene 10 años y podemos especular que ha evolucionado sin una sintomatología clara. Al ser un cuadro inadvertido, puede interpretarse, en la fase aguda, como una lesión de partes blandas, si el profesional no la sospecha hasta solicitar la radiología pertinente, por algún otro motivo.
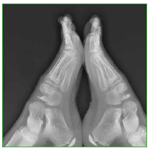
Es poco frecuente la bilateralidad, como se observa en la Figura 5, con diferentes estadios. El escafoides derecho muestra mayor fragmentación, pero menor esclerosis. En el escafoides izquierdo, se observa también fragmentación y mayor densidad (esclerosis en el fragmento proximal).


Figura 5.
Radiografía de perfil de ambos pies en un paciente con cambios morfológicos en ambos escafoides tarsianos. El derecho muestra mayor fragmentación y reabsorción que el izquierdo, pero menor esclerosis. El fragmento proximal del escafoides izquierdo muestra mayor densidad radiológica que el resto de las estructuras óseas secundaria a esclerosis.

Se diagnostica mediante radiografías convencionales que deben incluir proyecciones anteroposterior y lateral en carga, así como oblicuas, en rotación interna de ambos pies, en las que se constatará el escafoides aplanado.
Según los estadios, se observarán áreas de esclerosis, rarefacción y pérdida del patrón trabecular normal e incluso fragmentación irregular. Dichos patrones pueden confundirse con variaciones de la osificación normal. Por este motivo, se establecieron tres criterios diagnósticos de enfermedad de Köhler: a) los cambios se detectan en un escafoides previamente normal, b) las alteraciones radiográficas de reabsorción y osificación deben ser compatibles con las de una osteonecrosis y c) tiene que haber manifestaciones clínicas.
Cuando surgen dudas en las radiografías, se aconseja solicitar una gammagrafía ósea o una resonancia magnética para corroborar el diagnóstico.
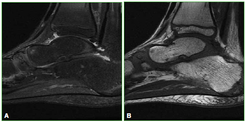
En la resonancia magnética (Figuras 6-8) del pie derecho, puede observarse la fragmentación y el edema óseo en el sector superior del escafoides. También se visualiza una línea negra en secuencias T1 que corresponde a esclerosis ósea.

 


Figura 6.
Resonancia magnética, plano sagital en secuencias STIR (A) y T1 (B) en el escafoides derecho. Se observa el edema óseo en el sector superior del escafoides tarsiano derecho que se encuentra fragmentado y con leve esclerosis.


Figura 7.
Resonancia magnética, plano coronal, en secuencia T1. Se visualizan los mismos hallazgos en el pie derecho.


Figura 8.
Resonancia magnética, plano axial, secuencia T1. Se visualizan los mismos hallazgos en el pie derecho.

Conflicto de intereses: El autor no declara conflicto de intereses.