INSTRUCCIÓN ORTOPÉDICA DE POSGRADO – IMÁGENES

Presentación del caso

 

Ricardo Trueba

Departamento de Resonancia y Tomografía Computada, Grupo Médico Rostagno, Diagnóstico por Imágenes, Ciudad Autónoma de Buenos Aires, Argentina
Dr. Ricardo Trueba • ricardotrueba@gmail.com  https://orcid.org/0000-0001-7908-817X

https://doi.org/10.15417/issn.1852-7434.2020.85.1.1044

Mujer de 22 años con dolor en la cadera izquierda de larga evolución. Sin antecedentes de relevancia. En el examen físico, se detecta dolor inguinal anterior con los movimientos de rotación de la cadera izquierda sin claudicación. Se solicitan radiografías de ambas caderas de frente (no se muestran), una resonancia magnética (RM) y una tomografía computarizada (TC).

Hallazgos e interpretación de los estudios por imágenes

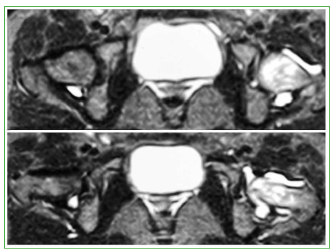
La paciente llega a la consulta con radiografías previas (no se muestran), imágenes de RM y TC tomadas en otra institución, y diagnóstico de sinovitis transitoria. Las imágenes de RM de ambas caderas (21 de octubre de 2019), corte axial en secuencias potenciadas en T2 muestran edema óseo en la cabeza y el cuello del fémur izquierdo, asociado a un aumento del líquido articular (Figura 1).

 


Figura 1.
Resonancia magnética de caderas, corte axial en secuencias potenciadas en T2. Se observa edema óseo en la cabeza y el cuello del fémur izquierdo, asociado a un aumento del líquido articular.

En el corte coronal, se detectan los mismos hallazgos (Figura 2). Se decide realizar una TC de ambas caderas con reconstrucción coronal y axial a nivel de las cabezas y cuellos femorales para valorar la estructura ósea (Figura 3). Los hallazgos sugieren sinovitis transitoria, por lo cual se le indica un tratamiento clínico.


Figura 2.
Resonancia magnética de caderas, corte coronal en secuencias potenciadas en T2. Se observa edema de la cabeza y el cuello del fémur izquierdo, asociado a un aumento del líquido articular.


Figura 3. Tomografía computarizada de ambas caderas, reconstrucción coronal y axial a nivel de las cabezas y cuellos femorales.

A los dos meses, se realiza una RM de caderas de control (28 de diciembre de 2019), corte coronal en secuencias potenciadas en T2 y T1. Se observa la persistencia del edema óseo en la cabeza y el cuello del fémur izquierdo y del derrame articular (Figura 4). En los cortes coronales en secuencias potenciadas en T1 y T2, se visualizan los mismos hallazgos (Figura 5).


Figura 4.
Resonancia magnética de caderas, corte coronal en secuencias potenciadas en T2 (A) y T1 (B). Se observa la persistencia del edema óseo en la cabeza y el cuello del fémur izquierdo, y también del derrame articular.


Figura 5.
Resonancia magnética de caderas, corte coronal en secuencias potenciadas en T1 (A) y T2 (B). Se observa la persistencia del edema óseo en la cabeza y el cuello del fémur izquierdo, y también del derrame articular.

Ante la falta de mejoría clínica y los signos persistentes de edema óseo en la RM, la paciente acude para una TC de haz cónico (cone beam computed tomography) de alta resolución ósea con foco en el cuello femoral izquierdo. En este estudio, podemos reconocer, con certeza, un engrosamiento de la cortical inferior de la unión del cuello con la cabeza femoral y una imagen radiolúcida de aproximadamente 8 mm con esclerosis central (Figura 6).


Figura 6.
Tomografía computarizada de haz cónico con foco en el cuello femoral izquierdo. Se observa el engrosamiento de la cortical inferior y una imagen radiolúcida de aproximadamente 8 mm con esclerosis central (flechas).

Conflicto de intereses: El autor no declara conflicto de intereses.