INSTRUCCIÓN ORTOPÉDICA DE POSGRADO – IMÁGENES

Presentación del caso

 

Dr. Juan Pablo Ghisi, Dr. Adrián Trache

Argus Diagnóstico Médico
Jefe del Servicio de Resonancia Magnética, Hospital General de Agudos “Dr. Juan A. Fernández”, Ciudad Autónoma de Buenos Aires, Argentina
Dr. Juan Pablo Ghisi • jpghisi@gmail.com http://orcid.org/0000-0001-7991-9228

Médico de Staff del Servicio de Resonancia Magnética, Hospital General de Agudos “Dr. Juan A. Fernández”, Ciudad Autónoma de Buenos Aires, Argentina
Argus Diagnóstico Médico
http://orcid.org/0000-0002-5111-3828

http://dx.doi.org/10.15417/issn.1852-7434.2019.84.4.1022

Mujer de 26 años, cuyo signo cardinal es el engrosamiento de ambos tendones de Aquiles. Refiere que, aproximadamente a los 14 años, comenzó con dolor y tumefacción de ambos tobillos que recuerda como de presentación aguda. En aquella oportunidad, fue tratada con antinflamatorios, porque el cuadro se interpretó como esguinces.
Con el correr de los años, la tumefacción de ambos tobillos no sólo no mejoró, sino que, por el contrario, se hizo más evidente (Figura 1). Además, aparecieron (o se incrementaron de tamaño) otros nódulos en manos y codos (Figura 2).


Figura 1.
Fotografía del tobillo izquierdo. Se observa la grosera tumefacción del tendón de Aquiles. La piel que recubre la región es sana y no tiene cambios de coloración.


Figura 2.
Fotografía de la mano derecha. Se observa una tumoración ovoidea en el trayecto del tendón extensor del tercer dedo, a la altura de la articulación metacarpofalángica.

La concentración de colestanol en suero por cromatografía de gases acoplada a espectrometría de masas fue de 20,30 μmol/l (valor de referencia: <5,0 μmol/l) y la determinación de ácidos biliares en orina por espectrometría de masas por ionización con electrospray detectó un aumento de 27-nor colestanopentol, 5â-colestanotetrol y 5â-colestanohexol. Este perfil bioquímico y los hallazgos de las imágenes sugirieron el diagnóstico que fue confirmado con una biopsia de tendones de Aquiles. Se le indicó ácido quenodesoxicólico. Esta terapia de reemplazo mejoró la tumefacción tendinosa que volvió a incrementarse una vez que la paciente abandonó temporalmente la medicación. Luego, fue operada de ambos tendones de Aquiles con el fin de reducir sus volúmenes.
Los síntomas neurológicos han sido escasos a lo largo de los años y sólo ha manifestado cefaleas y eventuales mareos. Nunca refirió trastornos visuales. Tampoco señala alteraciones del ritmo evacuatorio. A la paciente aún no se le realizó el estudio genético.

Hallazgos e interpretación de los estudios por imágenes

La paciente fue estudiada mediante ecografía de los tendones de Aquiles, radiología convencional de tobillos (imágenes no mostradas) y resonancia magnética (RM) de tobillos, cerebro, columna vertebral, manos y codos.
La RM de tobillos muestra engrosamiento difuso de aspecto fusiforme de ambos tendones de Aquiles. El tendón adquiere un patrón de señal heterogéneo reticulado, con señal iso-hiperintensa en secuencias de T1 y densidad protónica con supresión grasa interpuesta entre las fibras tendinosas normales hipointensas. De manera incidental, en el estudio de los tobillos, se encontró un similar patrón de presentación por RM, en ambos tendones peroneos largos (Figuras 3 y 4).


Figura 3.
Resonancia magnética, corte axial potenciado en densidad protónica con supresión grasa (3990/36) del tendón de Aquiles izquierdo. Además del engrosamiento, esta proyección permite ver el patrón reticular característico de la entidad presentada. Similar hallazgo se repite en el tendón peroneo largo (puntas de flechas).


Figura 4.
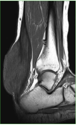
Resonancia magnética, corte sagital potenciado en T1 (660/25) del tendón de Aquiles izquierdo. Se advierte un marcado engrosamiento fusiforme del tendón de Aquiles con señal heterogénea a expensas de hiperintensidad global que alterna con trabeculaciones lineales que reflejarían tejido patológico (probablemente con cambios inflamatorios asociados) y fascículos residuales de colágeno normal, respectivamente.

El examen de las otras regiones también mostró tumoraciones fusiformes en los tendones extensores del tercer dedo (Figuras 5 y 6) y el tríceps (Figuras 7 y 8), en forma bilateral.


Figura 5.
Resonancia magnética, corte axial potenciado en densidad protónica con supresión grasa (2960/29) y T1 (636/13) de la mano derecha. La imagen nodular (flechas blancas) engloba al tendón extensor del tercer dedo protruyendo sobre el plano tegumentario. Las fibras tendinosas normales se entremezclan con el tejido de la tumoración.


Figura 6.
Resonancia magnética, corte sagital potenciado en densidad protónica con supresión grasa (2100/25) y T1 (587/13) de la mano derecha. En el plano sagital, el nódulo (flechas amarillas) adquiere una morfología fusiforme.


Figura 7.
Resonancia magnética, corte axial potenciado en densidad protónica con supresión grasa (2770/39) del codo izquierdo. Se identifica una tumoración en el trayecto del tendón del tríceps, que se palpaba clínicamente.


Figura 8.
Resonancia magnética, corte sagital potenciado en densidad protónica con supresión grasa (3340/37) del codo izquierdo. Se distingue el patrón reticulado característico de este tipo de lesiones.

La RM de cerebro reveló anomalías menores en la fosa posterior (Figura 9), sin alteraciones evidentes en el compartimento supratentorial (lo que coincide con los escasos síntomas neurológicos de esta paciente). La RM de columna fue normal.


Figura 9.
Resonancia magnética, corte axial potenciado en T2 con supresión grasa (5470/95) de cerebro. Se reconoce una sutil alteración de señal en la topografía del núcleo dentado derecho (flechas).

Conflicto de intereses: Los autores no declaran conflictos de intereses.