INVESTIGACIÓN CLÍNICA

Artroplastia total de rodilla en pacientes con secuela de fracturas articulares.
Resultados del seguimiento a mediano plazo

 

Harold Simesen de Bielke,* Leonel Pérez Alamino,** Santiago Aguer,** Germán Garabano,** Hernán del Sel,** Fernando Lopreite**

* Staff Especialista de Cadera y Rodilla, Servicio de Ortopedia y Traumatología, Sanatorio Modelo de San Miguel de Tucumán, Tucumán, Argentina
** Servicio de Ortopedia y Traumatología, Hospital Británico de Buenos Aires, Ciudad Autónoma de Buenos Aires, Argentina
Dr. Harold Simesen de Bielke • haroldsimesen@hotmail.com
 http://orcid.org/0000-0003-2922-1440
ORCID de L. Pérez Alamino: http://orcid.org/0000-0002-1563-6947
ORCID de S. Aguer: http://orcid.org/0000-0001-9079-1966
ORCID de G. Garabano: http://orcid.org/0000-0001-5936-0607
ORCID de H. del Sel: http://orcid.org/0000-0002-3655-1408
ORCID de F. Lopreite: http://orcid.org/0000-0002-2065-8649

https://doi.org/10.15417/issn.1852-7434.2020.85.2.1011

Recibido el 6-8-2019.
Aceptado luego de la evaluación el 4-9-2019


Resumen

Introducción: Las fracturas articulares de rodilla son frecuentes y pueden evolucionar a gonartrosis postraumática. El tratamiento en su estadio final es el reemplazo total de rodilla (RTR). Cuando se indica, el especialista se enfrenta a situaciones que predisponen a resultados menos satisfactorios. El objetivo de este estudio fue evaluar los resultados del RTR en pacientes con secuela de fracturas articulares de rodilla, con un seguimiento mínimo de 4 años. Materiales y Métodos: Estudio retrospectivo observacional, entre mayo de 1999 y enero de 2013. Se evaluaron 25 RTR en 24 pacientes (edad promedio 67.1 años) con secuela de fractura articular de rodilla y un seguimiento promedio de 6.1 años. Tres (12%) tenían cirugías anteriores al RTR. Ocho se resolvieron en dos tiempos. Se empleó un implante constreñido en 4 pacientes (16%). Se determinaron el KSS, el KSSf y el rango de movilidad preoperatorios y del último control. Se documentó la supervivencia del implante. Resultados: El KSS se incrementó de 38,5 en el preoperatorio a 82,8 en promedio. El KSSf posoperatorio mejoró de 48 a 85. El rango de movilidad aumentó de un promedio de 7,5-76° a 1-102,4° en el posoperatorio. Cuatro casos fueron reoperados. La supervivencia de la prótesis fue del 92% a los 6.1 años. Conclusiones: El RTR es adecuado para la gonartrosis postraumática en su estadio final, con buenos resultados a mediano plazo. Si se logran una adecuada alineación posoperatoria y un correcto posicionamiento de los componentes, los resultados son satisfactorios y se asemejan a los del RTR por gonartrosis idiopática.

Palabras clave: Reemplazo total de rodilla; Fractura; Artroplastia.

Nivel de Evidencia: IV (Serie de casos)

Abstract

Total knee arthroplasty in patients with joint fracture sequela: Mid-term follow-up outcomes

Introduction: Knee joint fractures are common in Orthopedics, and may evolve to post-traumatic Osteoarthritis (PTOA). Total Knee Arthroplasty (TKA) is an effective treatment for the end-stage of this process. When indicated, orthopedic surgeons face many situations that may cause unsatisfactory results and affect prosthesis survival. The purpose of our study was to evaluate TKA outcomes on Osteoarthritis secondary to distal femoral and proximal tibial joint fractures, in cases with a minimum follow-up period of 4 years. Materials and Methods: We carried out an observational, retrospective study on TKA patients treated between May 1999 and January 2013. We evaluated 25 TKAs, performed on 24 patients, with knee fracture sequela, with an average follow-up of 6.1 years and an average age of 67.1 years. Three cases (12%) had required additional surgeries before TKA. Eight cases (32%) were 2-stage surgeries. Constrained implants were used in four cases (16%). The Knee Society Score (KSS), the Functional KSS (KSSf) and the Range of Motion (ROM) were evaluated preoperatively and at the last follow-up. Prosthesis survival evaluation was documented. Results: KSS increased from a preoperative average of 38.5 to a postoperative average of 82.8. Postoperative KSSf increased on average from 48 to 85. ROM increased on average from 7.5°-76° to 1°-102.4°. Four patients required a second surgical procedure. Prosthesis survival was 92% at a 6.1-year average follow-up. Conclusion: TKA is an appropriate treatment for advanced PTOA, with good mid-term outcomes. If adequate postoperative alignment and correct component positioning is achieved, expected outcomes are satisfactory and similar to those with TKA in primary osteoarthritis.

Key words: Total knee replacement; Fracture; Arthroplasty.

Level of Evidence: IV (Case series)


 

Introducción

Las fracturas de femur distal y de tibia proximal con compromiso articular pueden desarrollar gonartrosis secundaria o postraumatica, independientemente del tratamiento que reciban, con incidencias que pueden alcanzar el 20-46% segun distintos autores.1-4 Entre los factores predisponentes, se destacan el dano inicial del cartilago por el trauma, la mala alineacion residual y la presencia de implantes en posicion subcondral, que pueden lesionar la superficie articular; la edad avanzada y la presencia de enfermedad degenerativa articular o meniscectomia anteriores al trauma.5
Una opcion adecuada para el tratamiento del estadio final de esta entidad es el reemplazo total de rodilla (RTR). La consolidacion viciosa, la seudoartrosis, los defectos oseos, la osteosintesis previa, la infeccion latente, la artrofibrosis y el compromiso de tejidos blandos periarticulares constituyen un desafio quirurgico, aumentan la complejidad del procedimiento y, en muchos casos, obligan a utilizar injerto oseo o implantes de revision.6-8 Las primeras publicaciones sobre los resultados del RTR en pacientes con secuela de fracturas articulares arrojaron valores poco alentadores, con una elevada tasa de complicaciones.2,9
El objetivo de este estudio fue evaluar los resultados del RTR en pacientes con secuela de fracturas articulares (femoral distal y tibial proximal) operados en nuestro Servicio, con un seguimiento minimo de cuatro años. Se hizo hincapie en detallar las dificultades tecnicas y las complicaciones ocurridas en los pacientes evaluados.

Materiales y Métodos

Luego del analisis retrospectivo de la base de datos de nuestro Hospital, se identificaron los pacientes operados de RTR despues de una fractura articular de rodilla. Entre mayo de 1999 y enero de 2013, en nuestro Servicio, se realizaron 1019 RTR cementados primarios, 25 (2,45%) de ellos en 24 pacientes con secuela de fractura articular de rodilla (1 caso bilateral simultaneo). Dos pacientes fallecieron por causas no relacionadas con el implante, a los 10 y 12 años del RTR, con buena evolucion en el ultimo control, por lo que fueron incluidos en el estudio.
Los criterios de inclusion fueron: pacientes con gonartrosis avanzada, asociada o no a seudoartrosis, sometidos a RTR, con antecedentes de fractura articular de rodilla, ya sea tibial proximal o femoral distal, y un seguimiento minimo de cuatro años. Se excluyo a los pacientes con antecedentes de enfermedad inflamatoria, como artritis reumatoide, y los que recibian algun tratamiento que pudiese afectar la densidad mineral osea, por ejemplo, agentes quimioterapeuticos, radioterapia, corticoides en altas dosis o metotrexato. La serie conformada tuvo un seguimiento promedio de 6.1 años (rango 4.3-16.2). Estaba integrada por siete hombres y 17 mujeres, con una edad promedio de 67.1 años (rango 26-87) en el momento de la artroplastia. Se realizaron 12 RTR derecha y 13 izquierda. El intervalo promedio entre la fractura/osteosintesis y el RTR fue de 9.4 años, con un amplio rango entre casos (4 meses-32 años). El diagnostico preoperatorio y el tratamiento previo recibido se detallan en la Tabla 1.

Tabla 1. Tipo de fractura y tratamiento previo recibido

Uno de los pacientes evaluados que habia sufrido una fractura articular femoral distal tratada con placa tipo DCS fue sometido al RTR a los cuatro meses de la osteosintesis debido al fallo precoz del implante; dos casos presentaron seudoartrosis (platillo tibial interno y condilo femoral externo); los restantes desarrollaron artrosis postraumatica. Tres (12%) tenian otras cirugias anteriores al RTR: uno habia sido sometido a movilizacion bajo anestesia con asistencia artroscopica, en nuestro Hospital, debido al desarrollo de rigidez (rango de movilidad [RM] 30-60o) a los 4.5 meses de la osteosintesis de la fractura de platillo tibial interno, y llego a la artroplastia con un RM de 15-110o. Otro caso con una fractura similar habia sufrido una infeccion quirurgica, por lo que requirio multiples limpiezas y tratamiento antibiotico, para luego ser operado nuevamente con diagnostico de seudoartrosis, con colocacion de placa bloqueada mas aloinjerto de banco y cirugia de cobertura de partes blandas (colgajo de gemelo interno); todos los procedimientos se habian llevado a cabo en otra institucion. El tercer individuo, con fractura supraintercondilea, debio ser intervenido otra vez por una seudoartrosis del tercio distal del femur extrarticular, a los cuatro años de la cirugia primaria (conversion de placa tipo DCS a clavo endomedular retrogrado), en otro Centro.
Solo ocho (32%) de los 25 casos fueron planificados para resolver en dos tiempos. El primero fue el paciente sometido a una movilizacion bajo anestesia, momento en el que se le retiro el implante (placa interna), se tomaron muestras de liquido articular, hueso y tejidos blandos periarticulares, con resultados negativos para infeccion. El otro paciente fue el operado en varias oportunidades con diagnostico de infeccion y seudoartrosis, al que se le retiro la osteosintesis y se le tomaron muestras oseas, con valores negativos. En otros seis casos, tambien se retiraron los implantes y se tomaron muestras (resultados negativos para infeccion) en la cirugia anterior a la artroplastia.
A fin de detectar infeccion latente, a toda la serie se le realizaron examenes fisico y de laboratorio. La toma de muestra de liquido articular, osea y de tejidos blandos no se efectuo en forma rutinaria, solo ante la sospecha de infeccion: 12 pacientes (en 6 se tomaron muestras seriadas de liquido articular mediante puncion y, a otros 6, se les tomaron muestras de liquido, hueso y tejidos blandos, durante el retiro del material de osteosintesis antes del RTR). Todos fueron operados en quirofano de flujo laminar, bajo anestesia raquidea hipotensiva. Se administro profilaxis antibiotica con cefalosporina de primera generacion, y tambien para trombosis venosa profunda/tromboembolismo pulmonar, con heparina de bajo peso molecular. Se realizo una incision cutanea anterior con artrotomia pararrotuliana interna. Se procuro mantener un puente de piel de 5-7 cm entre el abordaje del RTR y las incisiones previas (en los casos con cirugia/s previa/s). Solo, en algunos pacientes, se utilizaron los abordajes previos. Se efectuo el balance ligamentario antes de los cortes oseos en los 25 casos, dado que todos tenian un deseje en varo o en valgo.
En referencia a los gestos de ampliacion del aparato extensor, a nivel proximal, se efectuo un recorte del recto de tipo snip en 12 casos (48%), incision de Coonse-Adams en uno; y a nivel distal, se realizo una osteotomia de la tuberosidad anterior de la tibia en dos rodillas.10 Estos ultimos tres pacientes utilizaron un inmovilizador durante 45 dias despues de la cirugia. En dos oportunidades, se libero el retinaculo lateral para mejorar el encarrilado rotuliano. Se utilizaron implantes cementados con sacrificio del ligamento cruzado posterior (protesis estabilizada posterior) y se reemplazo la rotula en todos los casos. En 20 pacientes (80%), se empleo una protesis estabilizada posterior primaria (8 PFC All-Poly y 12 Sigma, DePuyR J&J, Warsaw, IN, EE.UU), cuatro (16%) fueron constrenidas varo-valgo (PFC Sigma TC3, DePuyR J&J, Warsaw, IN, EE.UU.) y uno (4%) recibio un reemplazo con estabilizacion plus (Sigma Plus, DePuyR J&J. Warsaw, IN, EE.UU.). La eleccion se baso en el examen fisico, las radiografias convencionales y con estres (solo en casos inestables) y se decidio durante el acto quirurgico (mediciones con componentes de prueba). Se implantaron tallos femorales o tibiales en nueve rodillas (36%), con cementado total. El 48% de los pacientes (12 rodillas) tenian un defecto oseo en el momento de la artroplastia. En ocho individuos, se relleno con cemento por tratarse de defectos contenidos y <5 mm; dos casos requirieron aloinjerto estructurado estabilizado con tornillos; en los dos restantes, se aplico un suplemento metalico a nivel femoral.

Análisis
Se examino la evolucion clinica y radiografica de la muestra a partir de las historias clinicas y el archivo radiografico de nuestro Centro. Se analizaron los controles de las 3 semanas, 3 meses, 6 meses, al año y cada dos años de la cirugia. Para el analisis objetivo de la serie se utilizo el Knee Society Score (KSS), y para la valoracion funcional, el KSS funcional (KSSf). Ademas, se midio el RM del ultimo control y se lo comparo con el RM preoperatorio.
Se utilizaron las radiografias anteroposterior y lateral de mejor calidad del ultimo control para evaluar la alineacion y la posicion de los componentes, el eje anatomico posoperatorio y el aflojamiento de la protesis, definido por la presencia de una linea radiolucida completa o hundimiento femoral o tibial ≥2 mm.6
El analisis de supervivencia contemplo la necesidad de cirugia de revision por cualquier causa. Se realizo una segunda evaluacion que incluyo solo la revision de causa mecanica.

Resultados

El KSS promedio preoperatorio fue de 38,5 (rango 15-55). En el ultimo control, se habia incrementado a un promedio de 82,8 (rango 40-95). Asimismo, el KSSf preoperatorio paso de 48 (rango 25-60) a 85 (rango 55-100) en promedio (Tabla 2). El resultado fue “bueno-excelente” (>80) en 16 pacientes (64%), “aceptable” en seis casos (24%) y “pobre” en los tres restantes (12%).

Tabla 2. Datos demograficos de la serie

Respecto al RM, se incremento de un promedio preoperatorio de 7,5o (rango 0-15)-76o (rango 10-110) a 1o (rango 0-5)-102,4o (rango 85-115) en el ultimo control. Tres pacientes tuvieron contractura en flexion <5o y uno, un deficit de extension de 5o, ninguno requirio movilizacion bajo anestesia.
Se restauro el eje anatomico femorotibial (de 4o a 7o) en todos los casos.
En el analisis radiografico, se observo la adecuada posicion de los componentes protesicos en todos los pacientes (Figura). Se detectaron tres rodillas con evidencia de demarcacion tibial, con un seguimiento de 13.2 y 14.5 años, las cuales no eran progresivas durante los controles, y los pacientes no tenian sintomas hasta el final del seguimiento.


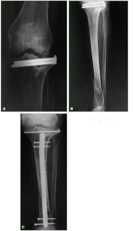
Figura. A.
Mujer con fractura de platillo tibial externo tratada con osteosintesis. B. Fractura de tibia distal, un año despues. C. Osteosintesis con clavo anterogrado endomedular de tibia.


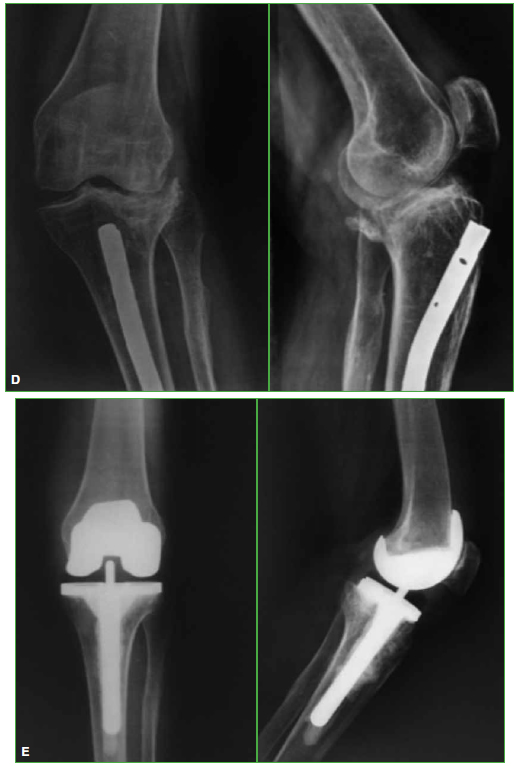
Figura. D.
Retiro de tornillos canulados y toma de muestra, a los 4 meses. E. Artroplastia total de rodilla izquierda, con vastago tibial.


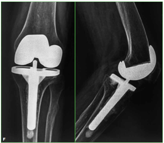
Figura. F.
Evolucion a los 7 años, sin signos de aflojamiento.

No se hallaron casos de necrosis cutanea/defectos tegumentarios, lesiones del aparato extensor, fractura o necrosis rotuliana, mal encarrilado femoro-rotuliano, inestabilidad clinica, trombosis venosa profunda/tromboembolismo pulmonar, lesiones neurovasculares ni distrofia simpatica refleja en el posoperatorio. Cuatro fueron operados nuevamente luego del RTR, con dos cirugias de revision. Uno sufrio una infeccion superficial de la herida quirurgica en el control de las tres semanas. Se le realizo una limpieza superficial y se le administro antibiotico, con una evolucion favorable. Otro tuvo una infeccion hematogena aguda a los tres años del RTR, luego de un absceso en el tercio proximal del muslo homolateral; se realizo limpieza artroscopica mas tratamiento antibiotico, con una buena evolucion hasta el ultimo control. Un paciente sufrio una fractura periprotesica femoral a los dos años del RTR; a pesar de la lazada de alambre profilactica en el femur distal (seudoartrosis de fractura de condilo femoral externo), se fracturo tras una caida de propia altura; se efectuo una revision del RTR con colocacion de tallo femoral cementado de mayor longitud que el anterior.
Por ultimo, el paciente al que se le habian efectuado numerosas limpiezas por una infeccion del sitio quirurgico de su fractura de platillo tibial interno, tratamiento de seudoartrosis y cirugia de cobertura de partes blandas, sufrio una infeccion subaguda de la protesis (cultivos preoperatorios negativos), con cultivo positivo de Staphylococcus resistente a meticilina. Fue sometido a una revision en dos tiempos con colocacion de espaciador prefabricado a los 35 dias del RTR y conversion a nueva protesis a los 4.5 meses. El paciente concurrio al control final con analisis de laboratorio y puncion negativos para infeccion, pero manifesto dolor y limitacion funcional, a los 5 años y 3 meses de la revision de rodilla. Se sospecha que persiste la infeccion (paciente con antecedentes de dependencia de drogas endovenosas). De acuerdo con este analisis, la supervivencia de la protesis fue del 92% a los 6.1 anos (rango 4.3-16.2) de seguimiento promedio, considerando la necesidad de revision por cualquier causa. Si discriminamos la causa mecanica, asciende al 96%.

Discusión

Sobre 25 RTR en pacientes con secuela de fracturas articulares, se obtuvo un incremento considerable en lo que respecta al KSS y al RM, con restauracion del eje anatomico en todos los casos, una tasa de reoperacion del 16% y una supervivencia de la protesis del 92% a los 6.1 años de seguimiento promedio. Los resultados del RTR en pacientes con gonartrosis como secuela de fractura articular son inferiores a aquellos que se obtienen en artroplastias primarias convencionales por artrosis idiopatica (90-95% a 10-15 años), con publicaciones que avalan dicha afirmacion.11,12
Existe escasa informacion sobre la supervivencia de la protesis a mediano o largo plazo. Entre las primeras publicaciones sobre el tema, se destacan los trabajos de Roffi y Merritt, quienes obtuvieron pobres resultados interviniendo pacientes con secuela de fractura articular de rodilla, con un seguimiento promedio de 27 meses (rango 1-4 años) y un 38,5% de malos resultados. Asimismo, Lonner y cols. observaron una tasa mas alta de complicaciones en pacientes tratados con RTR por gonartrosis postraumatica y comunicaron buenos resultados solo en el 71% de los casos.9
En publicaciones mas actuales, Saleh y cols., en una evaluacion retrospectiva, obtuvieron un 80% de resultados buenos-excelentes en 15 RTR operados con un minimo de cinco años de seguimiento. Sin embargo, tres pacientes (20%) desarrollaron una infeccion profunda, por lo que dos fueron sometidos a artrodesis y el restante, a cirugia de revision en dos tiempos, con una supervivencia de la protesis del 80% a los 6.2 años de seguimiento promedio. 4 Un estudio prospectivo de Weiss y cols. analizo 62 RTR por gonartrosis despues de una fractura de platillos tibiales, con una tasa de reoperacion del 21% (5 revisiones por causa infecciosa y mecanica); la supervivencia fue del 91,9% a los 4.7 años de seguimiento promedio.5 De manera similar, en otro estudio multicentrico de Salcedo Zunino y cols.,13 se analizaron, en forma retrospectiva, 29 rodillas sometidas a RTR por artrosis como secuela de un trauma articular, entre 2008 y 2015, con un seguimiento promedio de 45 meses. La tasa de complicaciones fue del 21% y la de supervivencia de la protesis, del 93,1%. Recientemente, Lizaur-Utrilla y cols.14 publicaron un estudio de cohorte prospectivo, en el que compararon pacientes operados con diagnostico de artrosis idiopatica con aquellos intervenidos por gonartrosis postraumatica.
Si bien no hallaron diferencias estadisticamente significativas en cuanto a la funcion y la movilidad, el grupo operado por artrosis postraumatica tuvo una tasa mas alta de complicaciones. Nuestra serie, que coincide con las publicaciones actuales, muestra resultados similares, con una supervivencia apropiada a mediano plazo, a pesar de la tasa de reoperacion elevada (Tabla 3). Las probables razones por las cuales estos casos conducen a resultados menos favorables, con una tasa mas alta de complicaciones luego del RTR incluyen: artroplastia de rodilla en pacientes jovenes con mayor demanda funcional (artrosis prematura por la extension articular de la fractura), osteosintesis previa, seudoartrosis, probabilidad de infeccion latente, defectos oseos intrarticulares y mala alineacion residual, tiempo quirurgico mas prolongado, cirugias previas al RTR que pueden comprometer la cobertura de partes blandas y predisponer a complicaciones cutaneas, y fibrosis cicatricial intrarticular relacionada con el trauma inicial que puede complicar la exposicion quirurgica, el balance ligamentario y afectar el RM.8,15,16

Tabla 3. Comparacion de las distintas variables

Si bien el RTR, en estos casos, es tecnicamente demandante, destacamos la importancia de obtener una adecuada alineacion posoperatoria y conseguir un posicionamiento correcto de los componentes protesicos, en intima relacion con el logro de un buen resultado posquirurgico; hay estudios que aseveran este concepto.17,18 Se demostro que la inapropiada colocacion de componentes tiene implicancias negativas en la supervivencia de la protesis a largo plazo. En el estudio de Weiss y cols.,5 los casos con posicionamiento suboptimo de los componentes o deseje residual se asociaron con pobres resultados, comparados con las rodillas con aceptable restauracion de la alineacion. En nuestra evaluacion, la alineacion y la colocacion de los componentes protesicos fueron adecuadas en todos los pacientes. La tasa de infeccion en estos pacientes es mas alta al compararla con lo descrito por diferentes autores respecto de RTR intervenidos por gonartrosis idiopatica, con una prevalencia que oscila entre el 1% y el 2% (Tabla 4).19-21

Tabla 4. Series detalladas en orden cronologico, con sus casos y tasas de infeccion respectivos

Al igual que los estudios de Weiss y cols.11 (3,2%) y Civinini y cols.22 (4%), obtuvimos una tasa relativamente baja de infeccion de la protesis (4%), teniendo en cuenta que otros dos casos fueron de origen hematogeno agudo y superficial (este ultimo sin comprometer al implante), en comparacion con las series de Lonner y cols.9 y de Saleh y cols.,4 con una tasa del 10% y 15%, respectivamente. Una explicacion probable para entender esta tasa mas baja de infeccion es que nuestra serie incluyo fracturas articulares de rodilla que recibieron tratamiento incruento.
Nuestra practica diaria incluye un algoritmo de estudios preoperatorios con el objetivo de descartar una infeccion oculta en este tipo de cuadro. Luego de un minucioso examen fisico, se procede a los analisis de sangre de rutina (recuento de globulos blancos, eritrosedimentacion y proteina C reactiva cuantitativa). Ante la sospecha de infeccion, se realiza la puncion/aspiracion de liquido articular y se toman muestras de tejido oseo (este procedimiento se efectua cuando se decide realizar el RTR en dos tiempos, con previa extraccion de la osteosintesis). A pesar de los recaudos detallados, el unico caso de infeccion profunda (paciente con multiples operaciones y diagnostico de infeccion, seudoartrosis y defecto de cobertura) que requirio una cirugia de revision en dos tiempos, arrojo resultados negativos para infeccion en la puncion y la muestra osea antes del RTR.
Una complicacion frecuente es el retraso de la cicatrizacion y la infeccion de la herida quirurgica. De manera similar a Weiss y cols.,5 con tres limpiezas mas terapia antibiotica por infeccion superficial (4,8%), uno de nuestros pacientes desarrollo la complicacion a las tres semanas del RTR, con identica resolucion (4%).
Debido a las distintas variables en juego, esta cirugia plantea una demanda tecnica elevada. Por ello, la planificacion preoperatoria constituye un instrumento imprescindible al abordar estos casos. Durante el examen fisico, se deben valorar el estado tegumentario (incisiones previas), el estado neurovascular, el RM y el grado de estabilidad de la rodilla. Se debe elegir cuidadosamente y a conciencia el sitio del abordaje cutaneo, manteniendo un puente de 5-7 cm en relacion con las cicatrices previas. La evaluacion preoperatoria de la rotula puede dar una idea de la dificultad para el abordaje; una rotula fija en extension, con una flexion limitada <90°, indica una alta probabilidad de realizar algun gesto sobre el aparato extensor para una adecuada exposicion. Las radiografias convencionales muestran la osteosintesis previa, la alineacion residual y la presencia de defectos oseos, los que pueden estar disimulados por el material de osteosintesis previo, por lo cual puede ser util recurrir a una tomografia axial computarizada en dicha planificacion. En los casos de inestabilidad clinica, se requieren radiografias con estres varovalgo, a fin de determinar el grado de estabilidad articular y elegir el grado de constrenimiento del implante por colocar. En esta etapa de planificacion, es preciso determinar, ademas, la necesidad de suplementacion (cemento, hueso o suplementos metalicos) y el uso de tallos femoral o tibial. Es recomendable utilizar tallos que salteen el defecto del tornillo tibial mas distal o femoral mas proximal en aquellos pacientes en los que se retire el material de osteosintesis.
Las debilidades de este estudio son su diseno retrospectivo, el periodo prolongado de recoleccion de datos, el escaso numero de pacientes de la muestra y los diferentes tipos de fracturas con tratamientos dispares. La fortaleza es el tiempo de seguimiento posoperatorio.

Conclusiones

El RTR es un tratamiento adecuado para la gonartrosis postraumatica en su estadio final, con buenos resultados a mediano plazo. Sin embargo, el ortopedista debe estar al tanto de la tasa mas alta de complicaciones, en comparacion con la artroplastia primaria por gonartrosis idiopatica. Dada la complejidad de estos casos, se recomienda realizar una detallada planificacion preoperatoria. Algunos pacientes requeriran protesis con mayor grado de constrenimiento, suplementos metalicos y tallos femorales/tibiales, implantes en ocasiones reservados para revisiones de rodilla complejas. Si se logran una adecuada alineacion posoperatoria y un correcto posicionamiento de los componentes protesicos, los resultados son satisfactorios y se asemejan a los del RTR de rutina. Queda pendiente la evaluacion de los resultados a mas largo plazo, considerando que se trata de pacientes jovenes, con elevada demanda funcional y expectativa de vida, en quienes se han utilizado implantes de revision en algunos casos, lo cual sugiere posibles revisiones a futuro.

Conflicto de intereses: Los autores no declaran conflictos de intereses.

Bibliografía

1. Saleh H, Yu S, Vigdorchik J, Schwarzkopf R, Saleh H, Yu S, et al. Total knee arthroplasty for treatment of posttraumatic arthritis: Systematic review. World J Orthop 2016;7(9):584-91. https://doi.org/10.5312/wjo.v7.i9.584

2. Massin P. Total knee replacement in post-traumatic arthritic knees with limitation of flexion. Orthop Traumatol Surg Res [Internet]. 2011;97(1):28-33. https://doi.org/10.1016/j.otsr.2010.06.016

3. Putman S, Argenson J, Bonnevialle P, Ehlinger M, Vie P, Leclercq S, et al. Ten-year survival and complications of total knee arthroplasty for osteoarthritis secondary to trauma or surgery: A French multicentre study of 263 patients. Orthop Traumatol Surg Res 2018;104:161-4. https://doi.org/10.1016/j.otsr.2017.11.019

4. Saleh K, Sherman P, Katkin P, Windsor R, Haas S, Laskin R, Sculco P. Total knee arthroplasty after open reduction and internal fixation of fractures of the tibial plateau. J Bone Joint Surg (Am) 2001;83(8):1144-8. https://doi.org/10.2106/00004623-200108000-00002

5. Weiss NG, Parvizi J, Hanssen AD, Trousdale RT, Lewallen DG. Total knee arthroplasty in post-traumatic arthrosis of the knee. J Arthroplasty 2003;18(3):23-6. https://doi.org/10.1054/arth.2003.50068

6. El-galaly A, Haldrup S, Pedersen AB, Kappel A, Jensen MU, Nielsen PT. Increased risk of early and medium-term revision after post-fracture total knee arthroplasty. Results from the Danish Knee Arthroplasty Register. Acta Orthop 2017;88(3):263-8. https://doi.org/10.1080/17453674.2017.1290479

7. Papadopoulos EC, Parvizi J, Lai CH, Lewallen DG. Total knee arthroplasty following prior distal femoral fracture. Knee 2002;9:267-74. https://doi.org/10.1016/s0968-0160(02)00046-7

8. Elsoe R, Johansen MB, Larsen P. Tibial plateau fractures are associated with a long-lasting increased risk of total knee arthroplasty a matched cohort study of 7,950 tibial plateau fractures. Osteoarthr Cartil [Internet] 2018. https://doi.org/10.1016/j.joca.2018.12.020

9. Lonner JH, Pedlow FX, Siliski JM. Total knee arthroplasty for post-traumatic osteoarthritis. J Arthroplasty 1999;14(8):969-75. https://doi.org/10.1016/s0883-5403(99)90012-8

10. Coonse KD, Adams JD. A new operative approach for the knee joint. Surg Gynecol Obs 1943;77:344-7.

11. Weiss NG, Parvizi J, Trousdale RT, Bryce RD, Lewallen DG. Total knee arthroplasty in patients with a prior fracture of the tibial plateau. J Bone Joint Surg 2003;85(2):218-21. https://doi.org/10.2106/00004623-200302000-00006

12. Meftah M, Jhurani A, Bhat JA, Ranawat AS, Ranawat CS. The effect of patellar replacement technique on patellofemoral complications and anterior knee pain. J Arthroplasty [Internet] 2012;27(6):1075-1080.e1. http://dx.doi.org/10.1016/j.arth.2011.10.006

13. Salcedo Zunino LA, Gutierrez Olivera N, Pioli I, Bidolegui F, Vindver G, Allende BL. Reemplazo total de rodilla en secuela de fracturas alrededor de la rodilla. Rev Asoc Arg Ortop Traumatol 2017;82(2):102-8. https://doi.org/10.15417/551

14. Lizaur-Utrilla A, Collados-Maestre I, Miralles-Munoz FA, Lopez-Prats FA. Total knee arthroplasty for osteoarthritis secondary to fracture of the tibial plateau . A prospective matched cohort study. J Arthroplasty 2015;30(8):1329-32. https://doi.org/10.1016/j.arth.2015.02.032

15. Manidakis N, Dosani A, Dimitriou R, Stengel D, Matthews S, Giannoudis P. Tibial plateau fractures: functional outcome and incidence of osteoarthritis in 125 cases. Int Orthop 2010;34(4):565-70. https://doi.org/10.1007/s00264-009-0790-5

16. Gehrke T, Parvizi J. Proceedings of the International Consensus Meeting on Periprosthetic Joint Infection. https://www.efort.org/wp-content/uploads/2013/10/Philadelphia_Consensus.pdf

17. Khoshbin A, Stavrakis A, Sharma A, Woo P. Patient-reported outcome measures of total knee arthroplasties for post-traumatic arthritis versus osteoarthritis: A short-term (5- to 10-year) retrospective matched cohort study. J Arthroplasty 2019;34(5):P872-6. https://doi.org/10.1016/j.arth.2019.01.022

18. Lunebourg A, Parratte S, Gay A, Ollivier M, Garcia-Parra K, Argenson JN. Lower function, quality of life, and survival rate after total knee arthroplasty for posttraumatic arthritis than for primary arthritis. Acta Orthop 2015;86(2):189-94. https://doi.org/10.3109/17453674.2014.979723

19. Gaine WJ, Ramamohan NA, Hussein NA, Hullin MG, McCreath SW. Wound infection in hip and knee arthroplasty. J Bone Joint Surg Br 2000;82(4):561-5. https://doi.org/10.1302/0301-620x.82b4.10305

20. Chun KC, Kim KM, Chun CH. Infection following total knee arthroplasty. Knee Surg Relat Res 2013;25(3):93-9. https://doi.org/10.5792/ksrr.2013.25.3.93

21. Suzuki G, Saito S, Ishii T, Motojima S, Tokuhashi Y, Ryu J. Previous fracture surgery is a major risk factor of infection after total knee arthroplasty. Knee Surg Sports Traumatol Arthrosc 2011;19(12):2040-4. https://doi.org/10.1007/s00167-011-1525-x

22. Civinini R, Carulli C, Matassi F, Villano M, Innocenti ML. Total knee arthroplasty after complex tibial plateau fractures. Chir Organi Mov 2009;93(3):143-7. https://doi.org/10.1007/s12306-009-0033-3